Знаете ли вы, какие 3 ошибки портят вашу зубную здоровье? Узнайте и исправьте их
- Знаете ли вы, какие 3 ошибки портят вашу зубную здоровье? Узнайте и исправьте их
- Связанные вопросы и ответы
- Какие основные ошибки люди совершают при домашнем уходе за зубами
- Какие последствия могут возникнуть из-за неправильного ухода за зубами
- Сколько раз в день рекомендуется чистить зубы, чтобы избежать ошибок
- Как выбрать правильную зубную щетку, чтобы не навредить зубам
- Можно ли чистить зубы слишком сильно, и как это влияет на зубы
- Почему использование зубной нити важно, и как часто его делать
- Как выбрать подходящую зубную пасту для предотвращения ошибок в уходе
- Сколько времени должно занять правильное очищение зубов
- Почему регулярность чистки важна, и какие ошибки возникают при ее отсутствии
Знаете ли вы, какие 3 ошибки портят вашу зубную здоровье? Узнайте и исправьте их
Стоматолог назвала пять портящих здоровье зубов привычек
Стоматолог Тюрякова предостерегла от чистки зубов сразу после еды
Чтобы зубы оставались здоровыми и красивыми, важно не только соблюдать гигиену и посещать стоматолога, но и контролировать свои привычки, так как некоторые из них оказывают негативное влияние на здоровье полости рта. О таких привычках «Известиям» 27 марта рассказала Стоматолог-терапевт, стоматолог-пародонтолог «СМ-Стоматология» Наталья Тюрякова.
Одной из них врач назвала привычку постоянно жевать на одной стороне, из-за чего нагрузка на зубы и челюсти распределяется неравномерно. В результате нарушается работа суставов челюсти, прикус постепенно становится не правильным, появляется боль.
«Жевание на одной стороне ведет к стиранию эмали зубов, и, как следствие, развитию кариеса. Также следует учитывать, что при жевании происходит процесс самоочищения зубов, из-за чего неактивная сторона более подвержена образованию налета и зубного камня», — добавила Тюрякова.
По ее словам, негативно влияет на здоровье зубов и привычка грызть ногти.
«Такая привычка считается психическим расстройством и чаще всего проявляется у детей, поэтому отучать от нее важно с раннего возраста. Однако и среди взрослых немало тех, кто начинает грызть ногти в стрессовой ситуации. Помимо того что под ногтями содержится большое количество микроорганизмов, в результате такой привычки портятся передние зубы — на них появляются микротрещины», — отметила стоматолог.
Еще одна привычка, которой специалист посоветовала избегать — чистка зубов сразу после приема пищи. Объясняется это тем, что после еды бактерии, живущие в зубном налете, активизируются — поглощая сахара, которые поступают с пищей, они выделяют кислоту, что приводит к снижению Ph (кислотности).
«При Ph ниже 5.5 из эмали начинают вымываться минералы, она становится рыхлой. Если в этот момент почистить зубы щеткой, на поверхности эмали возникнут трещины и углубления. Поэтому после еды лучше подождать 30 минут, пока слюна не нейтрализует кислоту и не насытит эмаль минералами, а уже после чистить зубы», — посоветовала Тюрякова.
Также она отметила вред для зубов курения, в том числе вейпов.
«Пропиленгликоль и глицерин, входящий в состав вейпа, вытягивает влагу. Из-за этого слюноотделение уменьшается, слизистая пересушивается, эмаль зубов истончается, становится более чувствительной, появляются трещины, повышается риск развития кариеса», — объяснила специалист.
Другая привычка, о вреде которой предупредила врач, — ношение пирсинга языка.
«Детали пирсинга покрываются липкой пленкой, на которой поселяются патогенная микрофлора, из-за которой возникает неприятный запах изо рта. Постоянное трение пирсинга о слизистую приводит к ее стиранию, опущению десны и оголению корней зубов. А удар металлических шариков о внутренних поверхность зубов — к сколам и трещинам. Кроме того, если постоянно надавливать украшением на передние зубы, они ослабнут и разъедутся в стороны, появится щель между зубами», — предупредила Тюрякова.

Сам себе стоматолог: чем опасны наборы для домашнего пломбирования
Среди возможных последствий — анафилактический шок и потеря зуба
14 февраля феврале врач-стоматолог Виктория Шелудкова перечислила сладости, которые можно есть без вреда для зубов . К ним она отнесла леденцы и жвачки с ксилитом. Она пояснила, что ксилит является сахарозаменителем, который совершенно не усваивается бактериями, а также приводит в норму кислотно-щелочной баланс полости рта после еды, а это уже в разы снижает развитие кариеса.
Связанные вопросы и ответы:
Вопрос 1: Какие основные ошибки совершают люди при домашнем уходе за зубами
Основные ошибки при домашнем уходе за зубами включают использование слишком жесткой щетки, неправильную технику чистки, недостаточную частоту чистки, использование неподходящих зубных паст и недостаток внимания к языку и деснам. Эти ошибки могут привести к различным стоматологическим проблемам, таким как кариес, гингивит и эрозия эмали. Важно уделять внимание всем аспектам гигиены полости рта, чтобы поддерживать здоровье зубов и десен.
Вопрос 2: Почему использование слишком жесткой щетки вредно для зубов и десен
Использование слишком жесткой щетки может травмировать десны, вызывая их кровоточивость и отступление, что может привести к обнажению шеек зубов и повышению чувствительности. Также это может привести к износу зубной эмали, делая зубы более восприимчивыми к кариесу и другим повреждениям. Стоит выбирать щетки с мягкими щетинками, чтобы избежать таких проблем.
Вопрос 3: Какая техника чистки зубов считается наиболее эффективной
Наиболее эффективной считается техника "ротационная", когда щетку берут под углом 45 градусов к деснам и выполняют вращательные движения, обеспечивая тщательную очистку всех поверхностей зубов. Эта техника помогает удалить налет и остатки пищи без повреждения десен и эмали. Также важно чистить зубы не менее двух минут, чтобы обеспечить качественную очистку.
Вопрос 4: Как часто нужно чистить зубы, чтобы избежать ошибок в уходе
Рекомендуется чистить зубы не менее двух раз в день, утром и вечером, и желательно использовать нить для чистки зубов для удаления остатков пищи из межзубных пространств. Частота чистки должна быть регулярной, чтобы предотвратить накопление налета и развитие кариеса. Также важно чистить зубы после приема пищи и напитков, содержащих сахар, чтобы минимизировать риск повреждения зубов.
Вопрос 5: Почему важно использовать зубную пасту с фтором
Фтор укрепляет зубную эмаль, предотвращает кариес и снижает чувствительность зубов. Использование зубной пасты без фтора может привести к ослаблению зубов и повышению риска кариозных поражений. Фтор также помогает восстанавливать поврежденные участки эмали, что делает зубы более устойчивыми к внешним факторам.
Вопрос 6: Какие последствия могут возникнуть из-за недостаточного внимания к языку и деснам
Недостаточная гигиена языка и десен может привести к накоплению бактерий, вызывающих неприятный запах изо рта, воспаление десен (гингивит) и даже более серьезные проблемы, такие как пародонтит. Воспаление десен может привести к кровоточивости, боли и отеку, что может существенно повлиять на качество жизни. Регулярная очистка языка и десен помогает поддерживать свежесть дыхания и здоровье полости рта.
Вопрос 7: Можно ли использовать соду для чистки зубов вместо зубной пасты
Использование соды для чистки зубов не рекомендуется, так как она может быть слишком абразивной и повредить зубную эмаль. Это может привести к повышению чувствительности и другим проблемам. Лучше использовать зубную пасту с мягкими абразивами и фтором, которая обеспечивает эффективную очистку без повреждения зубов.
Какие основные ошибки люди совершают при домашнем уходе за зубами
Каждый знает, что следить за здоровьем нужно с самого детства. Здоровье зубов – не исключение. Сложного ухода они не требуют, а за заботу отплатят красивой улыбкой и отсутствием неприятной боли.
Уход за полостью рта – это не просто чистка зубов, а целый комплекс процедур, чтобы зубы, дёсны и вся челюстно-лицевая зона оставалась в отличном состоянии. Каждый из нас иногда пренебрегает основными правилами ухода, а некоторые ухаживают за зубами неправильно.
Используем неправильную щётку
Казалось бы, как щётка может быть неправильной, они ведь все одинаковые. С такими мыслями мы и выбираем упаковку одинаковых щёток для всей семьи, а потом удивляемся, что дёсны кровоточат.
- Следует выбирать щётку средней жёсткости. Все они промаркированы на упаковке, поэтому найти такую будет несложно. Однако, если же ваши дёсны очень чувствительны и воспалены, то ваш вариант – щётка с мягким ворсом.
- Помимо жёсткости зубные щётки отличаются формой. Счастливчики с идеально ровными зубами могут выбирать головку с ровной щетиной. Если же зубы слегка выдвинуты вперёд, то идеальный вариант – зигзагообразная форма.
- Лучше выбирать зубную щётку, ручка которой имеет резиновые вставки. Так рука не будет скользить, и чистить зубы будет намного удобнее.
- Не стоит забывать менять зубную щётку не реже, чем раз в 2 месяца.
- Нельзя пользоваться электрической зубной щёткой людям с чувствительной поверхностью зубов и заболеваниями дёсен, ведь так можно только усугубить положение.
Какие последствия могут возникнуть из-за неправильного ухода за зубами
«Иди чистить зубы, а то кариес будет», — чаще всего так мотивируют на соблюдение ежедневной гигиены. Судя по тому, как выполняется эта просьба, КАРИЕС не очень-то пугает. А после вечерней «чистки» многие тянут в кровать что-нибудь вкусненькое, и так поступают не только дети.
Если в этом примере Вы не узнаете себя, все равно прочитайте эту статью, потому что ежедневная гигиена полости рта — это не только зубная паста и щетка.
Пугать нужно не кариесом!
Несмотря на справедливость утверждения, что плохой уход за зубами может привести к кариесу, кариес — не самое плохое , что может случиться с зубами.
Кариес и его осложненную форму — пульпит, относительно несложно лечить . Конечно, в случае пульпита потребуется лечение каналов (об этом в статье Почему после удаления нерва важно хорошо запломбировать каналы зуба? ), но несоблюдение гигиены зубов может иметь куда более худшие последствия .
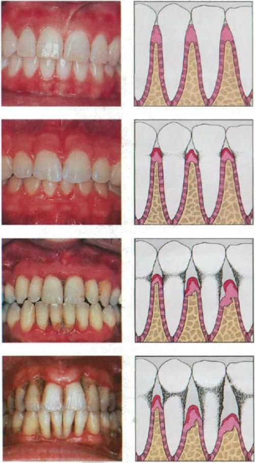
Если кариес разрушает зуб, то заболевания десен (основной или сопутствующей причиной которых является плохая гигиена) приводят к разрушению тканей удерживающих зуб в кости.
Мы рассказываем об этом в статье Почему убывает десна, оголяется шейка и корень зуба?
Что Вам больше нравится: здоровые десны или тяжелая форма пародонтита?
Коренные зубы , которые дарует нам природа после молочных, не имеют эквивалентной замены кроме как на имплантаты, но установка имплантатов может быть затруднена и даже невозможна из-за убыли костной ткани. Об этом читайте в статье Недостаточный объем и качество костной ткани — противопоказания к установке имплантатов .
Посмотрите на стадии заболевания десен: гингивит, пародонтит, его осложненная форма… В итоге значительной потери костной ткани зубы теряют опору, расшатываются и выпадают .

В отличие от кариеса, тяжелая форма пародонтита не лечится . Единственное, что можно сделать при пародонтите — замедлить развитие заболевания и это сложней, чем соблюдать правильную ежедневную гигиену зубов.
Посмотрите , как можно избежать проблем, следуя рекомендациям стоматолога по ежедневному уходу за полостью рта.
Что нужно для правильной ежедневной гигиены полости рта?
Кроме правильно подобранной зубной пасты и щетки, в Вашем арсенале, как минимум должны быть : зубная нить (флосс), щетка для языка и раствор для полоскания.
Если Вы носите брекеты, имеете коронки или другие ортопедические конструкции, а также при заболеваниях пародонта, необходимо дополнительно использовать — ершики, пучковые щетки и ирригатор.
Сколько раз в день рекомендуется чистить зубы, чтобы избежать ошибок
Будет верным чистить зубы до завтрака, поскольку после сна во рту скапливаются микроорганизмы. Не почистив зубы, вы рискуете занести патогенную микрофлору в желудок и кишечник. Вечером рекомендуется чистить зубы перед сном и не принимать пищу после гигиенических процедур.алгоритм правильной чистки зубов обычной (традиционной, ручной) и электрической щетками
рекомендуется придерживаться правильной последовательности чистки зубов:- 1. Сначала необходимо промыть щетку или насадку электрической щетки под проточной водой и нанести на нее пасту размером с горошину.
- 2. Чистку зубов начинают с наружной поверхности боковых зубов, продвигаясь к середине. Правильная техника чистки зубов подразумевает, что нужно держать щетку под углом 45о. В случае использования обычной зубной щетки необходимо выполнять правильные движения, а именно – по 4-5 выметающих движений сверху вниз на верхней челюсти и снизу вверх на нижней. При применении электрической зубной щетки никаких движений делать не нужно, кроме как передвигать ее от дальних зубов к передним, задерживаясь на каждом по несколько секунд без чрезмерного надавливания.
- 3. Затем требуется произвести аналогичные действия с внутренней стороны.
- 4. Далее очистить жевательные поверхности тоже в направлении от задних зубов к передним, производя круговые движения.
- 5. Следом нужно помассировать щеткой десны аккуратными круговыми движениями. Для электрической зубной щетки существуют специальные насадки для десен, неба и языка.
- 6. Очистить поверхность языка специальным приспособлением, которое должно быть на щетке, либо использовать для этого специальный скребок.
- 7. В конце очищают межзубные пространства зубной нитью, для каждого промежутка используют новый кусок нити.
Как выбрать правильную зубную щетку, чтобы не навредить зубам
Чистить зубы следует каждый день, поэтому недопустимо, чтобы щетка травмировала эмаль или десны. Чувствительность у всех людей разная, однако выбор слишком жесткой щетки будет вреден для большинства потребителей. Стоматологи рекомендуют использовать мягкие, либо средние по жесткости щетки. Интуитивно кажется, что жесткая щетина на зубной щетке поможет лучше справиться с налетом. Однако мягкая щетина при соблюдении правильной техники чистки зубов поможет добиться того же результата и не повредит эмаль.
Как утверждают специалисты, следует выбирать щетки с маленькой головкой. Они лучше проникают в труднодоступные уголки рта. Тем же обосновывается рекомендация покупать щетки с различной длиной щетинок. Некоторые щетки изготовлены так, что щетинки перекрещиваются под углом. Эту особенность трудно заметить невооруженным взглядом, поэтому о ней пишут на упаковке. В некоторых щетках головка подвижная, что позволяет щетинкам проникать во все уголки рта. Как показывает практика, натуральные ворсинки являются хорошей средой для размножения бактерий. Лучше отдавать предпочтение синтетическим материалам.
Детские зубные щетки должны иметь очень мягкие ворсинки. Желательно выбирать варианты с ярким оформлением, чтобы у ребенка выработалась привычка регулярно чистить зубы. Первый год жизни лучше использовать силиконовую насадку на палец вместо щетки. Длина ручки должна быть достаточной, чтобы контролировать жесткость нажима на щетку. Желательно, чтобы она была частично покрыта резиной. Это увеличит трение при соприкосновении с рукой, исключив скольжение.
Можно ли чистить зубы слишком сильно, и как это влияет на зубы
У тех, кто слишком интенсивно чистит зубы, край десны может отходить от зуба, вызывая повышенную чувствительность. Но кроме того может повреждаться верхний слой зуба и обнажаться дентин. Как следствие, зубы реагируют на горячую, холодную и сладкую пищу.
Чтобы нивелировать этот эффект, следует обратиться к врачу для подбора оптимальной жесткости зубной щетки, освоить правильную методику чистки зубов и использовать средства для укрепления поврежденной эмали.
Профилактическая зубная паста STOMATOL №9 ULTRA EFFECT для мгновенного снятия чувствительности
Зубная паста STOMATOL №9 ULTRA EFFECT — уникальная разработка российских технологов. Формула STOMATOL обеспечивает мгновенное снижение дискомфорта при сверхчувствительности зубной эмали, создаёт невидимый защитный слой на поверхности дентина. Действие в составе направлено на получение максимального результата за минимальный промежуток времени. Паста бережно очищает эмаль от налёта, возвращая зубам природный цвет.
- Ионы калия и кальция из гидроксиапатита и солей калия проникают внутрь дентинных канальцев, снижая чувствительность нервных окончаний, запечатывая мелкие трещинки.
- Дикальцийфосфат дигидрат регулирует ph и выполняет минерализующую функцию за счёт ионов кальция и фосфора.
- Тетракалия пирофосфат растворяет зубной налёт, восстанавливает естественную белизну зубов.
- Ксилит препятствует развитию кариеса.
- Экстракты зверобоя и коры дуба оказывают мощное противовоспалительное действие.
- Аллантоин ухаживает за дёснами, увлажняет и успокаивает их.
- Эфирные масла лаванды и кедра освежают, тонизируют.
Почему использование зубной нити важно, и как часто его делать
- круглая;
- плоская;
- ленточная;
- объемная.
Иногда нить пропитывается ментолом. Тогда при ее применении во рут остается приятный запах и холодок, как при чистке зубной пастой. Пропитанные фтором способствуют размягчению налета и лучшей очистке. Но такую нить нужно использовать с осторожностью при кариесе и поврежденной эмали зубов. А если вы нечаянно поранили десна, то нить с перцовой пропиткой лучше вообще не применять. Оставьте ее на то время, когда ваши десны заживут.
Еще флоссы могут быть вощеными и не вощеными. Вощеные более гладкие и лучше проникают между зубами. Не вощеные более качественно очищают.
Выбирая зубную нить, учитывайте состояние своих зубов. Не используйте ее в то время, пока на деснах есть раны. Щетка очищает только три зубные поверхности, остальные две чистят при помощи флосса.
Мнение врачей:
Зубная нить является важным инструментом для поддержания здоровья полости рта. Врачи рекомендуют использовать зубную нить ежедневно, так как она помогает удалять налет и остатки пищи из промежутков между зубами, куда обычная зубная щетка не может достичь. Правильное использование зубной нити включает нежное скольжение по боковым поверхностям каждого зуба, без слишком сильного давления, чтобы избежать повреждения десен. Регулярное использование зубной нити помогает предотвратить развитие кариеса, заболеваний десен и сохранить здоровье зубов на долгие годы.
Как выбрать подходящую зубную пасту для предотвращения ошибок в уходе
В идеальном мире каждый человек выбирает себе зубную пасту вместе со стоматологом — врач учтет все проблемы и подберет оптимальный вариант. Но в большинстве случаев покупатель оказывается один на один с длинными полками, заполненными пастами разных брендов, и выбирает по цене, красоте упаковки и многообещающим надписям. Что необходимо знать, совершая покупку?
Пасты бывают универсальные, которые подходят для ежедневного использования. А бывают лечебные и лечебно-профилактические — предназначенные для подавления воспаления и укрепления тканей.
При выборе зубной пасты следует учитывать возраст человека и индивидуальные особенности полости рта, такие как чувствительность зубов, наличие пломб, протезов или брекетов; учитывать, есть ли воспалительные процессы в полости рта; страдает ли человек от заболеваний ЖКТ; вредные привычки (курит ли он) и многое другое. Все это надо учесть, чтобы ответить на вопрос, какую пасту выбрать для зубов?
Даже то, с какой силой человек чистит зубы, как часто и как долго он это делает — все эти нюансы играют роль. То есть, важна не столько паста, сколько сама чистка зубов — тщательная и регулярная. После еды, особенно содержащей сахар, на зубной эмали образуется налет. Он содержит кислоты, со временем разъедающие эмаль, отчего в ней появляются поры, в которые и устремляются микробы. В итоге образуется кариес. Поэтому в первую очередь паста должна хорошо удалять налет и нейтрализовывать эти кислоты.
Тем не менее, если есть конкретная проблема, следует подобрать пасту с теми компонентами, которые поспособствуют решению этой проблемы.
Леонид Заварзин
стоматолог-терапевт, стоматолог-ортопед, главный врач стоматологической клиники «Протетикс»
Какие пасты рекомендуют стоматологи, зависит от того, что именно вас беспокоит. При воспалениях в полости рта стоматолог может порекомендовать, пасту которая содержат хлоргексидин, триклозан или бензоат натрия — эти компоненты обладают антисептическим эффектом. Те, кто страдает от чувствительности в зоне шейки зуба, пользуются пастой с нитратом или цитратом калия или хлоридом стронция. Если ваши зубы быстро меняют цвет из-за кофе или чая, тогда следует выбрать отбеливающую зубную пасту, с ксилитом, карбамидом или ферментами (энзимами). Для курильщиков требуются пасты с высокой степенью абразивности. Для профилактики кариеса, для укрепления эмали (при дефиците фтора) нужны фторосодержащие пасты, и т.д.
Иногда одна и та же паста может помочь в решении нескольких проблем. Чтобы выбрать пасту, важно обращать внимание на ее состав.
Сколько времени должно занять правильное очищение зубов
В стоматологии различают два основных метода профессиональной гигиены полости рта: механический и аппаратный. Разберём каждый способ подробнее.
Механическая чистка подразумевает очищение зубов от твёрдого и мягкого налёта вручную с помощью специальных инструментов. Такая профгигиена имеет ряд недостатков: она часто проходит с болезненными ощущениями, есть риск повреждения эмали и дёсен. Противопоказана для пациентов с высокой степенью чувствительности зубов. Данная методика сейчас встречается в списке услуг стоматологических клиник редко, так как распространён более щадящий и эффективный вариант — аппаратная чистка.
Аппаратная методика профессиональной гигиены полости рта объединила несколько способов. Расскажем коротко про каждый.
Ультразвуковой способ профчистки зубов получил широкое распространение среди пациентов за счёт эффективности, отсутствия болезненных ощущений и доступной стоимости. В процессе процедуры на рабочую насадку подаются высокочастотные колебания ультразвуковой частоты одновременно со струёй воды. Ультразвук расщепляет отложения, а вода или антисептический состав вымывают их из полости рта. Помимо удаления камня и налёта ультразвук имеет противомикробное действие. Для более тщательного очищения зубов от налёта и полировки эмали используется метод Air Flow.

Технология Air Flow заключается в воздействии на зубы воздушного потока со специальным абразивным материалом, чаще всего в качестве которого применяется пищевая сода. Метод позволяет очистить налёт даже в труднодоступных местах, обеспечивает полировку эмали и незначительный эффект отбеливания на 1-2 тона. Чаще всего применяется в комплексе с ультразвуковой чисткой, но может использоваться и как самостоятельная процедура при незначительном количестве зубных отложений.
Принцип действия лазерной профгигиены основан на постепенном выпаривании жидкости из твёрдых и мягких отложений на зубах, которое приводит к их постепенному разрушению. Помимо удаления камня, действие лазера обладает антисептическим и отбеливающим эффектом. Данная методика — самая эффективная и современная, но из-за высокой стоимости услуги она пока не получила широкого распространения в стоматологиях и среди пациентов.
В зависимости от степени тяжести и причины образования флюса врач может рекомендовать удаление зуба или метод периостотомии (рассечение надкостницы и удаление гнойного содержимого), а также сочетание обоих методов.
Этапы профессиональной гигиены полости рта
Как делают профессиональную чистку зубов? Разберём основные ступени профгигиены на примере комплексной аппаратной услуги.
- Устранение твёрдых зубных отложений в виде камня специальной насадкой с ультразвуком.
- Финальная мягкая полировка щёткой и специальной пастой.
- Фторирование эмали специализированным составом для профилактики возникновения кариеса и её укрепления.
- Индивидуальные рекомендации после профессиональной чистки зубов от стоматолога-гигиениста.

Сколько длится профессиональная чистка зубов
Время проведения процедуры зависит от выбранного вами метода профгигиены и количества зубных отложений у конкретного пациента. Механический способ занимает большее количество времени – примерно
1-1,5 часа. Аппаратная методика — 40-60 минут, при этом она менее травматичная, поэтому в большинстве стоматологий применяется
именно она.
Как часто делать профессиональную чистку зубов? Стоматологи советуют выполнять профгигиену не реже, чем два раза в год. Курильщикам рекомендуется проводить процедуру раз в четыре месяца.
Рекомендации после профессиональной чистки зубов
Что делать после профессиональной чистки зубов для того, чтобы сохранить эффект и не навредить эмали? Основные советы, которые требуется выполнять после профгигиены:
- Ограничьте в первые 1-3 суток употребление кофе, чая и других продуктов, которые обладают выраженным красящим эффектом. К ним можно отнести свёклу, морковь, соки, вино и другие.
- Не рекомендуется курить после профессиональной чистки зубов и принимать алкоголь минимум сутки.
- Ежедневно чистите зубы два раза в день щёткой средней жесткости и специально подобранной качественной пастой.
- Для устранения остатков пищи регулярно полоскайте рот.
- В течение первых дней исключите слишком холодные и слишком горячие продукты, кислое и сладкое.
Регулярно посещайте стоматолога, соблюдайте рекомендации после профессиональной чистки зубов, и ваши зубки будут здоровыми и красивыми. Записывайтесь на приём в Лечебно-исследовательский Центр «МКС-Стоматология», мы всегда вам рады!
Почему регулярность чистки важна, и какие ошибки возникают при ее отсутствии
Существует несколько основных видов чистки лица, каждый из которых имеет свои особенности, преимущества и недостатки. Выбор метода зависит от состояния кожи, её типа, а также от желаемого результата. Рассмотрим основные виды чистки лица более подробно.
Первый метод — это механическая чистка, которая включает в себя ручное удаление загрязнений и комедонов с помощью специальных инструментов. Эта процедура позволяет глубоко очистить поры и удалить омертвевшие клетки кожи. Механическая чистка может быть болезненной и требует определенной подготовки, а также соблюдения правил гигиены, чтобы избежать воспалений и инфекций.
Второй вариант — это вакуумная чистка, которая осуществляется с помощью специального аппарата. Этот метод подходит для людей с чувствительной кожей, так как он менее травматичен. Вакуумная чистка помогает удалить загрязнения и излишки жира, а также улучшает кровообращение и способствует обновлению клеток. Однако, несмотря на свою мягкость, она может быть неэффективной при наличии глубоких загрязнений.
Третий вид — ультразвуковая чистка, основанная на воздействии ультразвуковых волн. Этот метод позволяет не только очищать кожу, но и улучшать её текстуру, стимулировать выработку коллагена и эластина. Ультразвуковая чистка подходит для всех типов кожи и не вызывает дискомфорта. Она идеально подходит для профилактики и поддержания здоровья кожи.
Четвертый метод — лазерная чистка, которая использует лазерное излучение для удаления загрязнений и улучшения состояния кожи. Этот метод эффективен при наличии акне, пигментации и других проблем. Лазерная чистка требует более длительного восстановления, но результаты могут быть впечатляющими.
Наконец, химическая чистка, которая предполагает использование кислот для удаления омертвевших клеток и улучшения текстуры кожи. Этот метод может быть как поверхностным, так и глубоким, в зависимости от концентрации используемых кислот. Химическая чистка подходит для людей с проблемной кожей, но требует осторожности и предварительной консультации с косметологом.
Каждый из этих методов имеет свои показания и противопоказания, поэтому важно проконсультироваться с квалифицированным специалистом перед выбором подходящего способа чистки лица.