Чистите зубы правильно: 5 ошибок, которые вредят вашему здоровью
- Чистите зубы правильно: 5 ошибок, которые вредят вашему здоровью
- Связанные вопросы и ответы
- Как часто следует чистить зубы, чтобы избежать ошибок в гигиене полости рта
- Можно ли использовать слишком жёсткую зубную щётку без вреда для дёсен
- Почему использование зубной нити так важно для предотвращения ошибок в гигиене полости рта
- Как правильно чистить зубы, чтобы не повредить эмаль
- Какие ошибки в гигиене полости рта могут привести к кариесу
- Нужно ли чистить язык для поддержания гигиены полости рта
- Может ли чрезмерное использование ополаскивателя нанести вред
- Как правильно выбрать зубную пасту, чтобы избежать ошибок в гигиене
- Какие ошибки в гигиене полости рта чаще всего приводят к воспалению дёсен
- Влияют ли сахаросодержащие напитки на эффективность гигиены полости рта
Чистите зубы правильно: 5 ошибок, которые вредят вашему здоровью
Чтобы сохранить зубы здоровыми, мало использовать зубную пасту и щетку, важно еще правильно это делать.
Ошибки при чистке зубов могут привести к повреждению десен, зубной эмали и даже спровоцировать развитие кариеса.
Какие ошибки допускает большинство людей при чистке зубов?
Слишком жесткая или мягкая щетка
Во-первых, нужно правильно выбрать жесткость зубной щетки.
Если имеется склонность к образованию зубного налета и камня, то предпочтение стоит отдавать жестким щеткам.
Если зубы чувствительные, а десна склонны к кровоточивости, нужно выбирать щетки с мягкой щетиной.
Разумеется, в XXI веке пора задуматься о покупке электрической или ультразвуковой зубной щетки. Не бойтесь «повредить» зубы такой щеткой – это невозможно.
Ученые давно доказали, что электрическая щетка в тысячи раз лучше очищает зубы, чем обычная.
Чистка зубов один раз в день
Не все люди чистят зубы утром и перед сном, а вечерняя чистка считается самой важной.
Дело в том, что к вечеру в зубах собираются остатки пищи и налет от выпитых напитков.
Если не почистить зубы на ночь, то всю ночь бактерии будут размножаться.
Более того, стоматологи рекомендуют чистить зубы после каждого приема пищи.
Забывают о чистке языка
Не стоит забывать о чистке языка. Вы не достигните чистоты во рту, если не будете уделять внимание чистке языка, на котором также скапливаются микробы.
Не используют ирригатор
Ирригатор – это такое устройство, которое напором воды вымывает все частички пищи, труднодоступные для щетки, даже электрической.
Используя ирригатор можно добиться идеальной чистоты зубов
Не чистят саму щетку
На зубной щетке после того, как мы почистили зубы остаются остатки пасты, пищи и зубного налета, поэтому ее нужно тоже мыть.
После каждой чистки зубов нужно промыть щетку под краном и продезинфицировать жидкостью для полоскания рта. После этого щетку нужно встряхнуть.
Также стоматологи рекомендуют хранить щетку в специальном футляре, который пропускает воздух.
Связанные вопросы и ответы:
1. Какая ошибка в гигиене полости рта связана с выбором зубной щетки
Одна из распространенных ошибок в гигиене полости рта — это выбор зубной щетки с слишком жесткими щетинками. Жесткие щетинки могут травмировать десны, их кровоточивость и отступление. Это может привести к обнажению шеек зубов и повышению чувствительности. Также важно помнить, что зубная щетка должна подходить к размеру полости рта, чтобы обеспечивать удобство и эффективность чистки. Рекомендуется использовать щетки с мягкими или средними щетинками, которые более безопасны для десен и зубов.
2. Почему использование слишком жесткой зубной пасты может быть вредным
Использование слишком жесткой зубной пасты может привести к повреждению эмали зубов. Жесткие абразивные частицы в составе пасты могут стирать не только зубной налет, но и саму эмаль, делая зубы более чувствительными. Это может вызвать дискомфорт при употреблении горячих или холодных напитков и пищи. Кроме того, чрезмерное использование жестких паст может привести к эрозии зубов, что усложняет их дальнейшее лечение. Стоит выбирать зубные пасты с мягким абразивом или консультироваться с стоматологом при выборе.
3. Как неправильная техника чистки зубов может повлиять на здоровье полости рта
Неправильная техника чистки зубов может привести к недостаточной очистке зубов, что способствует накоплению налета и камня. Это может вызвать кариес, воспаление десен и другие стоматологические проблемы. Также неправильная техника может травмировать десны, вызывая их кровоточивость и воспаление. Важно чистить зубы круговыми движениями, не нажимая сильно на щетку, чтобы избежать повреждения десен и эмали. Регулярное обучение правильной технике чистки у стоматолога поможет предотвратить эти ошибки.
4. Зачем необходимо чистить язык и небо во время гигиены полости рта
Чистка языка и неба необходима для удаления бактерий, которые могут вызывать неприятный запах изо рта и способствовать развитию кариеса. Язык и небо могут накапливать налет, который содержит патогенные микроорганизмы, способные привести к воспалению десен и другим инфекциям. Регулярная чистка этих участков помогает поддерживать свежесть дыхания и общее здоровье полости рта. Для чистки можно использовать специальные скребки для языка или обратную сторону зубной щетки. Это также улучшает ощущение чистоты во рту и снижает риск стоматологических заболеваний.
5. Как недостаточная продолжительность чистки зубов влияет на их состояние
Недостаточная продолжительность чистки зубов может привести к неполной очистке зубов от налета и бактерий. Это может вызвать накопление налета, который со временем превращается в зубной камень — твердое образование, которое невозможно удалить обычной чисткой. Тooth камень может привести к кариесу, воспалению десен и другим стоматологическим проблемам. Рекомендуется чистить зубы не менее двух минут утром и вечером, чтобы обеспечить тщательную очистку всех поверхностей зубов. Использование таймера или песенки может помочь соблюдать необходимое время.
6. Какие последствия могут возникнуть из-за чрезмерного использования ополаскивателей для рта
Чрезмерное использование ополаскивателей для рта может привести к сухости во рту, так как многие ополаскиватели содержат спирт, который обезвоживает слизистые оболочки. Это может вызвать дискомфорт, неприятный запах изо рта и увеличение риска кариеса из-за снижения слюноотделения. Также некоторые ополаскиватели могут содержать агрессивные компоненты, которые при частом использовании могут раздражать десны и слизистые. Важно использовать ополаскиватели в умеренных количествах и выбирать их в зависимости от конкретных потребностей полости рта, лучше после консультации со стоматологом.
7. В чем опасность использования зубной щетки с жесткими щетинками
Использование зубной щетки с жесткими щетинками может привести к травмированию десен, что вызывает их кровоточивость и отступление. Это может обнажить шейки зубов, делая их более чувствительными к температурным и механическим раздражителям. Кроме того, жесткие щетинки могут повредить эмаль зубов, делая их более склонными к кариесу и эрозии. Важно выбирать щетки с мягкими щетинками, которые эффективно очищают зубы без вреда для десен и эмали. Регулярная смена щетки (каждые 3-4 месяца) также помогает поддерживать ее эффективность и безопасность.
Как часто следует чистить зубы, чтобы избежать ошибок в гигиене полости рта
Будет верным чистить зубы до завтрака, поскольку после сна во рту скапливаются микроорганизмы. Не почистив зубы, вы рискуете занести патогенную микрофлору в желудок и кишечник. Вечером рекомендуется чистить зубы перед сном и не принимать пищу после гигиенических процедур.алгоритм правильной чистки зубов обычной (традиционной, ручной) и электрической щетками
рекомендуется придерживаться правильной последовательности чистки зубов:- 1. Сначала необходимо промыть щетку или насадку электрической щетки под проточной водой и нанести на нее пасту размером с горошину.
- 2. Чистку зубов начинают с наружной поверхности боковых зубов, продвигаясь к середине. Правильная техника чистки зубов подразумевает, что нужно держать щетку под углом 45о. В случае использования обычной зубной щетки необходимо выполнять правильные движения, а именно – по 4-5 выметающих движений сверху вниз на верхней челюсти и снизу вверх на нижней. При применении электрической зубной щетки никаких движений делать не нужно, кроме как передвигать ее от дальних зубов к передним, задерживаясь на каждом по несколько секунд без чрезмерного надавливания.
- 3. Затем требуется произвести аналогичные действия с внутренней стороны.
- 4. Далее очистить жевательные поверхности тоже в направлении от задних зубов к передним, производя круговые движения.
- 5. Следом нужно помассировать щеткой десны аккуратными круговыми движениями. Для электрической зубной щетки существуют специальные насадки для десен, неба и языка.
- 6. Очистить поверхность языка специальным приспособлением, которое должно быть на щетке, либо использовать для этого специальный скребок.
- 7. В конце очищают межзубные пространства зубной нитью, для каждого промежутка используют новый кусок нити.
Можно ли использовать слишком жёсткую зубную щётку без вреда для дёсен

Воспаление десен довольно распространенное заболевание среди взрослого населения. Основная причина воспаления — бактерии, скопившиеся в мягком и твердом зубном налете. Гигиенический уход — это одно из средств лечения воспаления десен, главное — правильно подобрать зубную щетку и пасту. Именно от выбора первой будет во многом зависеть успех излечения.
Классическим симптомом воспаления десен можно назвать их кровоточивость. И как только она появилась, многие пациенты начинают жалеть себя и использовать мягкие зубные щетки, или же вовсе отказываются от полноценной чистки зубов. Любое из этих действий ошибочно.
Отказ от гигиенического ухода чреват более активным размножением бактерий в полости рта, что только ухудшает течение воспаления десен. Оно может переходить в осложненные формы и уже трудно поддается лечению.
Использование мягкой зубной щетки также является ошибкой, которая может стать причиной усугубления воспаления. Ее щетины просто не могут полноценно удалить скопление налета в пришеечной области, что чревато развитием кариеса и прогрессией воспаления.
Использовать зубные щетки с мягкой щетиной рекомендовано только при серьезных заболеваниях десен, например, пародонтозе и только после консультации со специалистом. В остальных случаях рекомендована зубная щетка средней жесткости.
Кроме того, при воспалении десен в качестве лечебно-профилактической меры могут быть рекомендовано особые методы чистки зубов: метод Басса. Для его исполнения рекомендовано пользоваться особыми, монопучковыми щетками.
Почему использование зубной нити так важно для предотвращения ошибок в гигиене полости рта

Шаг 1. Отрезать нужное количество флосса.
Необходимо взять 25-35 см материала или больше. Такая длина нужна, чтобы легко и надежно зафиксировать нить на пальцах.
Использовать флосс рекомендовано регулярно 1-2 раза в день после еды. Важно соблюдать максимальную осторожность, чтобы не повредить десну.
Шаг 2. Зафиксировать пальцами отрезок зубной нити.
Нужно намотать внахлест концы флосса на ногтевые фаланги средних пальцев, но не перетягивать их. Затем растянуть между двумя руками фрагмент длиной 3-8 см, зажать его указательными и большими пальцами. Для очистки одного зуба следует использовать участок примерно 3-5 см. Переходя на следующую субъединицу, следует понемногу отматывать неиспользованную часть нити с пальца руки.
Нельзя пользоваться одним отрезком флосса дважды, чтобы не переносить с использованного отрезка налет и микроорганизмы с одной единицы на другую.
Как сделать чистку комфортнее? Используйте флоссер.
Он гигиеничен, удобен и позволяет прочистить межзубную зону одной рукой. Существуют различные специальные станки, например: для комфортной чистки моляров, зубов мудрости, а также для людей с ортодонтическими конструкциями во рту.
Шаг 3. Держа флосс под правильным углом, прочистить межзубные промежутки.
Нужно завести флосс в межзубную щель, одна рука при этом должна опираться на подбородок (для лучшей фиксации). Затем потребуется изогнуть нить в "с" образную форму, и сохраняя одно направление, совершать до 5-7 возвратно-поступательных скользящих движений сверху вниз по контактной поверхности эмали.
Каждую единицу следует прочищать поочередно. Стоит начать с передних резцов верхней челюсти, а затем перейти в левую или правую сторону. В конце следует прочистить дистальные области зубов. Аналогичные действия повторите и с нижней челюстью.
Важно убрать налет в области шейки зуба (хорошая профилактика зубного камня), для этого при чистке понадобится аккуратно опустить флосс чуть ниже края десны. Однако не стоит усердствовать, иначе можно травмировать слизистую.
Совет врача:
Почему после использования зубной нити десна кровоточит?
Это нормальное явление для тех, кто только начинает пользоваться флоссом. Чистка десен или шейки зуба от налета в первое время немного травматична для слизистой. Однако важно понаблюдать за этим симптомом. Возможно, вы неправильно пользуетесь нитью или в деснах образуется воспаление. Если кровоточивость не прошла в течение недели, стоит прийти на осмотр к гигиенисту.
Если десны склонны к кровоточивости, рекомендую после чистки пользоваться ополаскивателем с активным веществом триклозаном, он помогает снять воспаления. Также хороший результат будет, если полоскать рот бальзамами с натуральными ореховыми маслами, экстрактами хвои, ягод, они смягчают и увлажняют слизистую, имеют вяжущий и заживляющий эффект. Однако важно помнить, полоскание не замена похода к врачу.
Как правильно чистить зубы, чтобы не повредить эмаль
Задаваясь вопросом: как правильно чистить зубы зубной щеткой взрослым, следует знать, что кроме обычной пасты допускается задействовать для очищения ротовой полости и другие вещества. Из наиболее распространенных отметим несколько вариантов.
Пищевая сода
Является довольно эффективным способом отбеливания. Относится к числу абразивов, поэтому действительно работает. Да, полюбоваться хорошим результатом можно будет уже после первого применения. Однако при этом эмалевый слой неизменно окажется поврежден. Поэтому если использовать такое средство регулярно — проблемы с зубами не заставят себя долго ждать.
Активированный уголь
Ценится за выраженный обеззараживающий эффект. Другими полезными свойствами по сути не обладает в отношении ухода за ротовой полостью. Данное вещество представляет собой абразив, что означает — при систематическом использовании может привести к нарушению целостности эмали. В отличие от соды не дает ощутимого результата. Явной белизны зубов после применения не наблюдается.
Поваренная соль
В этом варианте вновь можно отследить все те же недостатки, которые присущи первым двум способам. Кроме того, крупные соляные частицы могут стать причиной травмирования десневых тканей и щек. Поэтому специалисты стоматологического центра «Дентика» советуют не акцентировать внимание на народных методиках. Современная стоматология позволяет использовать действительно эффективные и полностью безопасные методы.
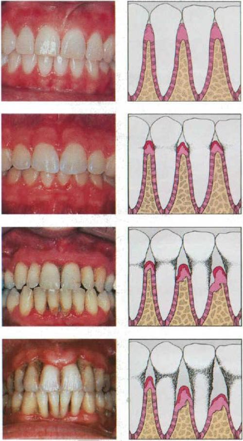
Какие ошибки в гигиене полости рта могут привести к кариесу
Несмотря на справедливость утверждения, что плохой уход за зубами может привести к кариесу, кариес — не самое плохое , что может случиться с зубами.
Кариес и его осложненную форму — пульпит, относительно несложно лечить . Конечно, в случае пульпита потребуется лечение каналов (об этом в статье Почему после удаления нерва важно хорошо запломбировать каналы зуба? ), но несоблюдение гигиены зубов может иметь куда более худшие последствия .
Если кариес разрушает зуб, то заболевания десен (основной или сопутствующей причиной которых является плохая гигиена) приводят к разрушению тканей удерживающих зуб в кости.
Мы рассказываем об этом в статье Почему убывает десна, оголяется шейка и корень зуба?
Что Вам больше нравится: здоровые десны или тяжелая форма пародонтита?
Коренные зубы , которые дарует нам природа после молочных, не имеют эквивалентной замены кроме как на имплантаты, но установка имплантатов может быть затруднена и даже невозможна из-за убыли костной ткани. Об этом читайте в статье Недостаточный объем и качество костной ткани — противопоказания к установке имплантатов .
Посмотрите на стадии заболевания десен: гингивит, пародонтит, его осложненная форма… В итоге значительной потери костной ткани зубы теряют опору, расшатываются и выпадают .

В отличие от кариеса, тяжелая форма пародонтита не лечится . Единственное, что можно сделать при пародонтите — замедлить развитие заболевания и это сложней, чем соблюдать правильную ежедневную гигиену зубов.
Посмотрите , как можно избежать проблем, следуя рекомендациям стоматолога по ежедневному уходу за полостью рта.
Нужно ли чистить язык для поддержания гигиены полости рта
Чистить язык необходимо как минимум 2 раза в день. Обычную зубную щетку использовать нежелательно, так как щетина высокой и средней жесткости может травмировать мягкую поверхность и вызвать рвотный рефлекс. В домашних условиях безопаснее и удобнее пользоваться специальными приспособлениями. У них нет существенной функциональной разницы, поэтому при выборе можете руководствоваться только личными предпочтениями.

Сегодня без проблем можно приобрести продукцию известных брендов Curaprox, Dentaid, Jetpik, One Drop Only, Miradent, Pierrot и др. В ассортименте товаров разных производителей есть все необходимое для полноценного качественного ухода за полостью рта.
Скребки напоминают лопатку. Простая конструкция может быть изготовлена из силикона или пластмассы, реже из металла и дерева. Удобное в использовании приспособление деликатно очищает поверхность языка, не вызывая рвотного рефлекса. Лопасти скребка соответствуют форме языка и легко промываются водой.
Ложечки делают из пластика. Наконечником с дополнительной насадкой можно пользоваться каждый день. Изделия мягко и эффективно удаляют налет, не травмируя поверхность языка.

Многофункциональные зубные щетки особой формы позволяют дотянуться до корня языка. Мягкая щетина и рельефная поверхность на обратной стороне максимально адаптированы к размеру и форме языка. Очищение проходит быстро, эффективно, без физиологического дискомфорта.
Насадки для ирригатора в форме лопатки качественно удаляют налет со всех сторон. Во время работы устройства вода или антисептический раствор подаются из резервуара под большим давлением. С помощью насадок жидкость подается на участки, к которым невозможно добраться зубной щеткой. За счет высокой пульсации очищаются десны, межзубные промежутки и язык. Прибор удобен тем, что режим напора воды можно настраивать самостоятельно.
Все очистители для языка предназначены для индивидуального пользования. У вас должен быть свой набор аксессуаров, а вот гелями, пастами и ополаскивателями можно пользоваться всей семьей. Универсальные составы для очищения языка содержат антисептические компоненты. При растворении они выделяют кислород, который оказывает противомикробный эффект.
Может ли чрезмерное использование ополаскивателя нанести вред
Ольга Никитина , интегративный врач-стоматолог,автор проекта «Полюби свою улыбку»Процедура полоскания технически эффективна: жидкости легче проникнуть в области, недоступные щетке и пасте. К тому же очищать всю полость рта, а не только зубы, кажется вполне разумной идеей. Но не все ополаскиватели полезны, и найти в аптеках и магазинах безопасный нелегко.При выборе средства обращайте внимание на состав. Отдавайте предпочтение тем, что сделаны на основе натуральных компонентов. Они бережно освежат дыхание, не нарушая естественный кислотно-щелочной баланс в полости рта.
Продукция многих брендов содержит агрессивные компоненты, которые могут негативно влиять на здоровье зубов. Например:
Спирт. В ополаскивателе может быть до 26% спирта в виде этанола, что вызывает сухость во рту, галитоз (неприятный запах изо рта) и чрезмерно кислый pH во рту. Диоксид хлора. Это вещество является отбеливающим агентом и антибактериальным соединением. В малых дозах он не опасен, но при злоупотреблении вредит эмали. Хлоргексидин . Антисептик является сильным аллергеном. Наиболее распространенная реакция на хлоргексидин — контактный дерматит, в редких случаях — анафилактический шок. Кокамидопропилбетаин . Поверхностно-активное вещество используется для увеличения пенообразования. Оно представляет собой умеренно опасный аллерген, то есть, обнаружив его в составе, нужно учитывать индивидуальные особенности организма. Парабены . Это эндокринные разрушители, которые также могут стимулировать аллергические реакции. Полоксамер . По некоторым данным может вызывать гиперлипидемию, то есть повышение липидов в крови. Формальдегид . Побочные реакции при злоупотреблении включают проблемы с кожей, сбои в дыхательной системе и развитие онкологии.
Применение ополаскивателей с агрессивными компонентами может привести к неприятным последствиям. Перечислим возможные риски.Как правильно выбрать зубную пасту, чтобы избежать ошибок в гигиене
В идеальном мире каждый человек выбирает себе зубную пасту вместе со стоматологом — врач учтет все проблемы и подберет оптимальный вариант. Но в большинстве случаев покупатель оказывается один на один с длинными полками, заполненными пастами разных брендов, и выбирает по цене, красоте упаковки и многообещающим надписям. Что необходимо знать, совершая покупку?
Пасты бывают универсальные, которые подходят для ежедневного использования. А бывают лечебные и лечебно-профилактические — предназначенные для подавления воспаления и укрепления тканей.
При выборе зубной пасты следует учитывать возраст человека и индивидуальные особенности полости рта, такие как чувствительность зубов, наличие пломб, протезов или брекетов; учитывать, есть ли воспалительные процессы в полости рта; страдает ли человек от заболеваний ЖКТ; вредные привычки (курит ли он) и многое другое. Все это надо учесть, чтобы ответить на вопрос, какую пасту выбрать для зубов?
Даже то, с какой силой человек чистит зубы, как часто и как долго он это делает — все эти нюансы играют роль. То есть, важна не столько паста, сколько сама чистка зубов — тщательная и регулярная. После еды, особенно содержащей сахар, на зубной эмали образуется налет. Он содержит кислоты, со временем разъедающие эмаль, отчего в ней появляются поры, в которые и устремляются микробы. В итоге образуется кариес. Поэтому в первую очередь паста должна хорошо удалять налет и нейтрализовывать эти кислоты.
Тем не менее, если есть конкретная проблема, следует подобрать пасту с теми компонентами, которые поспособствуют решению этой проблемы.
Леонид Заварзин
стоматолог-терапевт, стоматолог-ортопед, главный врач стоматологической клиники «Протетикс»
Какие пасты рекомендуют стоматологи, зависит от того, что именно вас беспокоит. При воспалениях в полости рта стоматолог может порекомендовать, пасту которая содержат хлоргексидин, триклозан или бензоат натрия — эти компоненты обладают антисептическим эффектом. Те, кто страдает от чувствительности в зоне шейки зуба, пользуются пастой с нитратом или цитратом калия или хлоридом стронция. Если ваши зубы быстро меняют цвет из-за кофе или чая, тогда следует выбрать отбеливающую зубную пасту, с ксилитом, карбамидом или ферментами (энзимами). Для курильщиков требуются пасты с высокой степенью абразивности. Для профилактики кариеса, для укрепления эмали (при дефиците фтора) нужны фторосодержащие пасты, и т.д.
Иногда одна и та же паста может помочь в решении нескольких проблем. Чтобы выбрать пасту, важно обращать внимание на ее состав.
Какие ошибки в гигиене полости рта чаще всего приводят к воспалению дёсен
Газированные напитки - это популярный выбор для охлаждения в жаркую погоду или для получения заряда энергии. Однако мало кто задумывается о том, как они влияют на наше здоровье в целом, а особенно на зубы.
Главный враг зубов в газированных напитках - это сахар. Высокое содержание сахара в газированных напитках стимулирует рост бактерий в полости рта. Эти бактерии разлагают сахар, выделяя кислоту, которая атакует эмаль зубов, вызывая кариес. Кроме того, газированные напитки часто имеют кислотное pH, что увеличивает риск повреждения зубов.
Помимо сахара, газированные напитки также содержат красители, которые могут окрашивать зубную эмаль и делать ее более подверженной пятнам. Кроме того, газированные напитки часто имеют темные оттенки, что может усилить визуальное воздействие на зубы.
Как минимизировать вред от употребления газированных напитков на здоровье зубов? Во-первых, ограничьте их потребление. Замените газированные напитки водой или негазированными напитками, чтобы уменьшить воздействие сахара и кислот на зубы. После употребления газированных напитков рекомендуется промыть рот водой или жевать сахаросодержащую жевательную резинку, чтобы ускорить процесс удаления остатков на поверхности зубов.
Для предотвращения повреждения зубов от газированных напитков также рекомендуется регулярно посещать стоматолога для профессиональной чистки и осмотра состояния зубов. Помимо этого, правильное чистка зубов с использованием зубной нити и профессионального чистящего средства также поможет сохранить здоровье зубов.
Не стоит забывать, что здоровье зубов напрямую влияет на общее состояние организма. Поэтому следует следить за регулярным уходом за полостью рта и правильным питанием для поддержания здоровья зубов и всего организма в целом.
В итоге, хотя газированные напитки могут приносить удовольствие в том моменте, их употребление в больших количествах может нанести непоправимый вред здоровью зубов. Будьте внимательны к тому, что вы употребляете, и помните о последствиях для своего здоровья. Умеренность и правильный уход за зубами - основа здоровья вашей улыбки!
Специалисты клиники ИннДента в Хотьково готовы ответить на все вопросы по профилактике и здоровью зубов!
Влияют ли сахаросодержащие напитки на эффективность гигиены полости рта
Стоматолог призвала менять зубную щетку после ОРВИ
Стоматолог Савинова посоветовала менять зубную щетку после ОРВИ, чтобы избежать повторного заражения
Врач-стоматолог-гигиенист АО «Медицина» Наталия Савинова посоветовала заменять зубную щетку после перенесенного ОРВИ во избежание повторного заражения.

Сорвать пломбы: что происходит на российском рынке стоматологии
Доступность импортной продукции снизилась, а борьба с контрафактом усиливается
В беседе с «Газетой.Ru» в четверг, 9 февраля, специалист отметила, что зубная щетка, как и любой другой предмет гигиены, со временем делается непригодной для использования из-за попавших туда при чистке бактерий и микробов. Со временем эти микробы начинают размножаться, и чистить такой щеткой зубы становится небезопасно.
Врач рассказала, что зубной щеткой можно пользоваться максимум три месяца. Между тем лучше заменить ее раньше, если человек перенес инфекционное или вирусное заболевание. Савинова объяснила, что даже после выздоровления на щетке остаются бактерии, которые могут спровоцировать повторное заражение.
«Непригодна щетка, и если она оказалась на полу или другой загрязненной поверхности. Даже полная очистка щетки не гарантирует ее безопасность для зубов и ротовой полости», — предупредила стоматолог.
По ее словам, сменить щетку также стоит, если щетинки потемнели, пожелтели, в них появился налет или плесень. Старые щетки с изношенными и деформированными щетинками могут травмировать десны и спровоцировать воспаление.
«Слишком долгое использование может привести к ряду проблем: боли и дискомфорту при чистке, кровоточивости десен, образованию налета на зубах и кариеса, инфекции и воспалению тканей десен», — предостерегла Савинова.
Отслеживать длительность использования помогают зубные щетки с индикатором, который меняет цвет по истечении срока годности.
Ранее, 9 февраля, стоматолог-ортопед Рауль Отхозория рассказал, что самыми эффективными для чистки зубов являются электронные щетки, отмечает телеканал «360» . Он также развеял популярные мифы о чистке зубов. В частности, он отметил, что жесткая щетка не чистит зубы лучше, а может даже навредить эмали при неправильной технологии чистки.
В этот же день врач-стоматолог Яким Лахай развеял миф об отсутствии необходимости лечения молочных зубов. По его словам, если не лечить их, то есть вероятность рано их потерять, что приведет к замещению места для постоянного зуба соседними молочными, которые начнут наклоняться в сторону отсутствующего зуба, пишет RT .
7 февраля детский стоматолог, стоматолог общей практики клиники семейной стоматологии DLC Алена Бубнова заявила, что жевательная резинка может привести к изнашиванию пломб. Кроме того, жвачка может негативно повлиять на здоровье зубов и желудочно-кишечного тракта.
В октябре стоматолог Владимир Лосев предупреждал, что старая зубная щетка может стать источником инфекции и препятствовать восстановлению организма после перенесенных ОРВИ, COVID-19 и других заболеваний. Лосев заявил, что оставшиеся на зубной щетке микроорганизмы и вирусы могут стать причиной воспаления слизистой или препятствовать полному выздоровлению, переводя инфекцию в разряд хронических, пишет НСН .
