Как правильно ухаживать за полостью рта: избегайте этих ошибок
- Как правильно ухаживать за полостью рта: избегайте этих ошибок
- Связанные вопросы и ответы
- Как часто рекомендуется чистить зубы для предотвращения ошибок в гигиене
- Можно ли использовать зубную нить каждый день без вреда для дёсен
- Какие ошибки в гигиене полости рта чаще всего приводят к кариесу
- Влияет ли диета на ошибки в гигиене полости рта и как это проявляется
- Как правильно выбрать зубную щётку, чтобы избежать ошибок в чистке
- Какие последствия могут возникнуть из-за неправильного использования зубной пасты
- Можно ли использовать одни и те же зубные протезы без регулярной санации
- Какие ошибки в гигиене полости рта могут привести к неприятному запаху изо рта
Как правильно ухаживать за полостью рта: избегайте этих ошибок
Введение
Уход за полостью рта – это важная часть нашей повседневной гигиены, которая влияет не только на здоровье зубов и дёсен, но и на общее самочувствие. Однако многие из нас совершают распространённые ошибки, которые могут привести к серьёзным стоматологическим проблемам. В этой статье мы рассмотрим основные правила ухода за полостью рта и подскажем, как избежать наиболее распространённых ошибок.
Правильная чистка зубов
Как правильно чистить зубы?
Чистка зубов – это основа гигиены полости рта. Однако важно знать, как это делать правильно. Вот основные рекомендации:
- Чистите зубы не менее двух раз в день: утром и вечером.
- Используйте зубную пасту с фтором.
- Двигайте зубную щётку мягкими движениями, не нажимая сильно на дёсны.
- Уделите внимание всем поверхностям зубов: передним, задним и жевательным.
- Чистка должна длиться не менее двух минут.
Ошибки при чистке зубов
Среди наиболее распространённых ошибок при чистке зубов можно выделить:
| Ошибка | Последствия |
|---|---|
| Сильное нажатие на щётку | Повреждение дёсен и эмали зубов |
| Быстрая чистка | Недостаточное удаление налёта и бактерий |
| Использование твёрдой щётки | Повреждение дёсен и эмали |
Выбор средств гигиены
Как выбрать зубную щётку?
Выбор зубной щётки – это важный шаг в уходе за полостью рта. Вот, на что стоит обратить внимание:
- Щётка должна иметь мягкую или среднюю жёсткость щетинок.
- Размер щётки должен соответствовать вашему возрасту и размеру полости рта.
- Менять щётку рекомендуется каждые 3-4 месяца или при износе щетинок.
Зубная нить
Использование зубной нити – это важная часть гигиены полости рта. Она помогает удалить частицы пищи и налёт из межзубных пространств, которые не доступны для щётки. Используйте зубную нить 1-2 раза в неделю.
Дополнительные методы гигиены
Ополаскиватель для рта
Использование ополаскивателя может дополнить вашу гигиену. Он помогает:
- Удалить остатки пищи и бактерий.
- Укрепить эмаль зубов.
- Освежить дыхание.
Стоматологическая нить
Стоматологическая нить – это специальная нить, которая помогает очистить межзубные пространства. Её можно использовать вместо обычной зубной нити.
Роль питания в здоровье полости рта
Питание играет важную роль в здоровье полости рта. Следует избегать:
- Сахаросодержащих продуктов.
- Кислых напитков.
- Острых и твёрдых продуктов, которые могут повредить зубы.
Регулярные стоматологические осмотры
Регулярные визиты к стоматологу – это важная часть профилактики. Стоит посещать стоматолога не менее двух раз в год для профилактического осмотра и чистки.
Связанные вопросы и ответы:
1. Какие ошибки могут возникнуть при выборе зубной щетки
При выборе зубной щетки важно обратить внимание на жесткость щетинок. Жесткие щетки могут травмировать десны и эмаль зубов, что приводит к кровоточивости и повышенному чувствительию. Также стоит выбирать щетку с небольшой головкой, чтобы она могла легко очищать труднодоступные места, такие как задние зубы. Неправильный размер щетки может оставить некоторые участки зубов неочищенными, что способствует накоплению зубного камня и кариесу. Рекомендуется использовать мягкие или ультрамягкие щетки, которые эффективно очищают зубы без вреда для десен и эмали.
2. Какие последствия могут возникнуть из-за неправильной техники чистки зубов
Неправильная техника чистки зубов может привести к травмам десен и их кровоточивости. Если использовать слишком сильное давление, это может вызвать эрозию эмали и повышенную чувствительность зубов. Также, если не чистить все поверхности зубов, остатки пищи могут оставаться, что способствует развитию кариеса и воспалению десен. Правильная техника включает легкие круговые движения и обработку всех поверхностей зубов, включая жевательные. Регулярная практика правильной техники помогает предотвратить такие проблемы.
3. Почему недостаточная продолжительность чистки зубов может быть вредной
Если чистить зубы слишком быстро, остатки пищи и бактерии могут не быть полностью удалены. Это приводит к накоплению зубного камня и развитию кариеса. Минимальная продолжительность чистки должна составлять две минуты, чтобы тщательно обработать все зубы. Использование таймера может помочь соблюдать это правило. Недостаточная очистка может также привести к неприятному запаху изо рта и воспалению десен. Следует уделять достаточно времени каждой части полости рта, чтобы обеспечить качественную гигиену.
4. Забывают ли люди часто чистить язык и внутреннюю поверхность щек
Да, многие люди забывают чистить язык и внутреннюю поверхность щек, что может привести к накоплению бактерий и неприятному запаху изо рта. Язык и щеки являются местами, где скапливаются микробы, вызывающие галитоз (плохой запах). Регулярная очистка этих участков помогает поддерживать свежесть дыхания и общее здоровье полости рта. Для этого можно использовать специальные скребки для языка или обратную сторону зубной щетки. Очистка должна быть мягкой, чтобы не травмировать слизистую.
5. Может ли ополаскиватель заменить чистку зубов
Ополаскиватель не может полностью заменить чистку зубов, так как он не удаляет остатки пищи и зубной налет с поверхности зубов. Однако он может быть полезен в качестве дополнительного средства для ослабления зубного камня и свежести дыхания. Ополаскиватель с фтором помогает укреплять эмаль, а с антисептиками – бороться с бактериями. Тем не менее, механическая очистка зубной щеткой и пастой остается основным методом гигиены. Используйте ополаскиватель в дополнение к чистке, но не вместо нее.
6. Почему важно регулярно менять зубную щетку
Регулярная смена зубной щетки необходима, так как со временем щетинки становятся изношенными и менее эффективными. Изношенная щетка не может качественно удалять зубной налет, что может привести к кариесу и воспалению десен. Также, если щетка была использована во время болезни, она может содержать бактерии, которые могут вызвать повторное инфицирование. Рекомендуется менять щетку каждые три месяца или при первых признаках износа. Это обеспечит постоянную эффективность гигиены и защиту полости рта.
7. Какие ошибки в гигиене полости рта могут возникнуть у детей
Дети часто не уделяют достаточного внимания чистке зубов, что может привести к кариесу и другим проблемам. Родители должны контролировать процесс чистки и учить детей правильной технике. Также важно использовать зубные пасты с возрастным содержанием фтора, чтобы не вызвать его избыток. Некоторые дети могут глотать зубную пасту, что вредно, поэтому нужно использовать пасты с низким содержанием фтора или специальные детские. Регулярные визиты к стоматологу помогают выявить проблемы на ранней стадии и предотвратить их развитие.
8. Почему важно регулярно посещать стоматолога
Регулярные визиты к стоматологу помогают выявить кариес, заболевания десен и другие проблемы на ранней стадии, когда их легче вылечить. Многие люди избегают посещать врача, что может привести к усугублению заболеваний и более сложному лечению. Стоматолог может также дать рекомендации по улучшению гигиены и выбору средств для ухода. Профилактические осмотры каждые шесть месяцев являются важной частью поддержания здоровья полости рта и предотвращения серьезных проблем.
Как часто рекомендуется чистить зубы для предотвращения ошибок в гигиене
Ухаживать за полостью рта необходимо не более 2 раз в день. Не стоит чистить зубы чаще, потому что чрезмерный процесс чистки истирает эмаль. Она становится тоньше, а зубы теряют свою чувствительную устойчивость к перепадам температур. После приема пищи рекомендуется использовать специальные бальзамы для ополаскивания рта или полоскать рот простой водой, сплевывая. А в идеале, применяйте и зубную нить. Еще можно воспользоваться жевательной резинкой без сахара, до двух применений в день и не более пяти минут. Жвачкой, как методом очистки рта, пользуйтесь реже, так как во время жевательного процесса происходит выделение слюны, предназначенной для обработки поступающей пищи. Во время частого использования жвачки выделение слюны становится не контролируемым.
Утром просто ополаскивайте ротовую полость водой или бальзамом. Чистите зубы после завтрака, чтобы максимально ограничить себя от скопления зубного налета и избавиться от остатков пищи между зубами и на языке. Вы не только получите красивую улыбку и свежее дыхание, но и обезопасите себя от скопления микробов. К тому же, наш желудок питается тем, что попадает к нему через рот. В том числе и микробами, которые спускаются в желудок. Таким образом, избавляясь от микробов, вы одновременно забоитесь о зубах и о своем организме в целом.
Вечером, то есть чистить зубы перед сном. Так вы избавляетесь от скоплений вредных микроорганизмов. Ночью, когда вы засыпаете, естественное очищения рта — это выделение слюны, приостанавливается, и микробы продолжают свою жизнедеятельность. Результатом этому вы можете ощутить неприятный привкус и запах изо рта. Поэтому, не игнорируйте вечерний уход за зубами.

Можно ли использовать зубную нить каждый день без вреда для дёсен

Шаг 1. Отрезать нужное количество флосса.
Необходимо взять 25-35 см материала или больше. Такая длина нужна, чтобы легко и надежно зафиксировать нить на пальцах.
Использовать флосс рекомендовано регулярно 1-2 раза в день после еды. Важно соблюдать максимальную осторожность, чтобы не повредить десну.
Шаг 2. Зафиксировать пальцами отрезок зубной нити.
Нужно намотать внахлест концы флосса на ногтевые фаланги средних пальцев, но не перетягивать их. Затем растянуть между двумя руками фрагмент длиной 3-8 см, зажать его указательными и большими пальцами. Для очистки одного зуба следует использовать участок примерно 3-5 см. Переходя на следующую субъединицу, следует понемногу отматывать неиспользованную часть нити с пальца руки.
Нельзя пользоваться одним отрезком флосса дважды, чтобы не переносить с использованного отрезка налет и микроорганизмы с одной единицы на другую.
Как сделать чистку комфортнее? Используйте флоссер.
Он гигиеничен, удобен и позволяет прочистить межзубную зону одной рукой. Существуют различные специальные станки, например: для комфортной чистки моляров, зубов мудрости, а также для людей с ортодонтическими конструкциями во рту.
Шаг 3. Держа флосс под правильным углом, прочистить межзубные промежутки.
Нужно завести флосс в межзубную щель, одна рука при этом должна опираться на подбородок (для лучшей фиксации). Затем потребуется изогнуть нить в "с" образную форму, и сохраняя одно направление, совершать до 5-7 возвратно-поступательных скользящих движений сверху вниз по контактной поверхности эмали.
Каждую единицу следует прочищать поочередно. Стоит начать с передних резцов верхней челюсти, а затем перейти в левую или правую сторону. В конце следует прочистить дистальные области зубов. Аналогичные действия повторите и с нижней челюстью.
Важно убрать налет в области шейки зуба (хорошая профилактика зубного камня), для этого при чистке понадобится аккуратно опустить флосс чуть ниже края десны. Однако не стоит усердствовать, иначе можно травмировать слизистую.
Совет врача:
Почему после использования зубной нити десна кровоточит?
Это нормальное явление для тех, кто только начинает пользоваться флоссом. Чистка десен или шейки зуба от налета в первое время немного травматична для слизистой. Однако важно понаблюдать за этим симптомом. Возможно, вы неправильно пользуетесь нитью или в деснах образуется воспаление. Если кровоточивость не прошла в течение недели, стоит прийти на осмотр к гигиенисту.
Если десны склонны к кровоточивости, рекомендую после чистки пользоваться ополаскивателем с активным веществом триклозаном, он помогает снять воспаления. Также хороший результат будет, если полоскать рот бальзамами с натуральными ореховыми маслами, экстрактами хвои, ягод, они смягчают и увлажняют слизистую, имеют вяжущий и заживляющий эффект. Однако важно помнить, полоскание не замена похода к врачу.
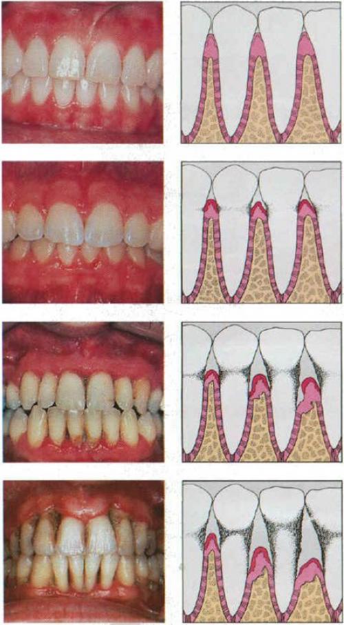
Какие ошибки в гигиене полости рта чаще всего приводят к кариесу
Несмотря на справедливость утверждения, что плохой уход за зубами может привести к кариесу, кариес — не самое плохое , что может случиться с зубами.
Кариес и его осложненную форму — пульпит, относительно несложно лечить . Конечно, в случае пульпита потребуется лечение каналов (об этом в статье Почему после удаления нерва важно хорошо запломбировать каналы зуба? ), но несоблюдение гигиены зубов может иметь куда более худшие последствия .
Если кариес разрушает зуб, то заболевания десен (основной или сопутствующей причиной которых является плохая гигиена) приводят к разрушению тканей удерживающих зуб в кости.
Мы рассказываем об этом в статье Почему убывает десна, оголяется шейка и корень зуба?
Что Вам больше нравится: здоровые десны или тяжелая форма пародонтита?
Коренные зубы , которые дарует нам природа после молочных, не имеют эквивалентной замены кроме как на имплантаты, но установка имплантатов может быть затруднена и даже невозможна из-за убыли костной ткани. Об этом читайте в статье Недостаточный объем и качество костной ткани — противопоказания к установке имплантатов .
Посмотрите на стадии заболевания десен: гингивит, пародонтит, его осложненная форма… В итоге значительной потери костной ткани зубы теряют опору, расшатываются и выпадают .

В отличие от кариеса, тяжелая форма пародонтита не лечится . Единственное, что можно сделать при пародонтите — замедлить развитие заболевания и это сложней, чем соблюдать правильную ежедневную гигиену зубов.
Посмотрите , как можно избежать проблем, следуя рекомендациям стоматолога по ежедневному уходу за полостью рта.
Влияет ли диета на ошибки в гигиене полости рта и как это проявляется
Проведённый недавно опрос показал, что 73 процента британцев не придают значения тому, какое влияние их рацион питания может оказывать на здоровье полости рта.
Результаты опроса свидетельствуют о том, что мужчины реже женщин придерживаются принципов здорового питания, а 32 процента опрошенных просто не знают о проблемах, к которым может привести потребление сладких продуктов и напитков.
Исполнительный директор Британского фонда стоматологического здоровья д-р Найджел Картер так комментирует результаты опроса: «Большинство из нас знает, что различные продукты питания и напитки влияют на общее состояние здоровья, однако многие до сих пор не понимают, что рацион питания играет ключевую роль и в поддержании здоровья полости рта. Неправильное питание способствует развитию целого ряда стоматологических проблем, в числе которых кариес, эрозия эмали и неприятный запах изо рта.
Каждый раз, когда человек съедает или выпивает что-нибудь сладкое, его зубы подвергаются кислотной атаке. Ключевую роль в нейтрализации кислот в полости рта играет слюна, однако, этот процесс может занимать около часа. При частом потреблении сладких напитков и продуктов питания, эмаль зубов постоянно находится под воздействием кислот и не имеет возможности восстановиться. Именно поэтому мы рекомендуем как можно реже употреблять сладости.
Частое потребление сладких продуктов и напитков приводит к повреждению эмали зубов, поэтому мы советуем ограничиться тремя плотными приёмами пищи в день вместо семи — десяти перекусов».
Он добавляет: «Если вам всё же приходится перекусывать между приёмами пищи, выбирайте продукты питания и напитки, которые не содержат сахара, такие как сыр, хлебную соломку, сырые овощи или орехи. Лучше всего, особенно детям, употреблять сладости вместе с основным приёмом пищи, а не растягивать удовольствие на несколько часов. Более четверти детей 5-летнего возраста страдают от кариеса, поэтому родителям необходимо ограничивать потребление детьми сладостей. Старайтесь придерживаться следующего режима питания: три основных приёма пищи в день и не более двух перекусов».
Как правильно выбрать зубную щётку, чтобы избежать ошибок в чистке
Кажется, что уж что-что, а чистить зубы-то мы умеем. Но оказывается, это не так. Существует много мифов об этой рутинной процедуре. Из-за неправильных действий страдает гигиена полости рта. Какая паста лучше, сколько реально раз в день нужно чистить зубы, всем ли так необходимо обзавестись электрической щеткой – об этом рассказала стоматолог Офелия Егиазарян .
Чистить зубы надо обязательно 2 раза в день?
Оказывается, нет. Можно обойтись и одним разом, при условии, что чистка пройдет качественно. Это значит, что она должна занимать не полминуты, и даже не две – а целых 20 минут!
«По современным стандартам врачей-гигиенистов, чистка зубов начинается с обычной мануальной зубной щетки. Если человек все делает качественно и пользуется всеми дополнительными средствами: межзубным ершиком, нитью и ирригатором, то можно делать это один раз в сутки. Особое внимание нужно уделить вечерней чистке зубов, так как в течение дня мы едим, происходит активное слюноотделение и самоочищение. А ночью слюноотделение минимальное, образуется зубной налет», - объясняет врач.Чем жестче щетка, тем чистка качественнее?
«Жесткая щетка не показана никому, - говорит стоматолог. Если у нее на маленькой рабочей части большое количество щетинок, то можно даже брать мягкую. Правильно подобранная щетка – это 90% работы. У нее должна быть короткая рабочая часть, головка длиной на два зуба, щетинки – одноуровневые, без силиконовых вставок и зазубрин, ручка – прямая. Ставим щетку под углом 45 градусов от поверхности эмали и проводим круговые движения на один-два зуба. Движение такое, как будто мы взбиваем что-то венчиком».
А может лучше электрическую?
По крайней мере, так постоянно твердят в рекламе – якобы обычной щеткой не добиться такой чистоты. Но медики считают иначе:
«Электрическая зубная щетка не показана всем. Мы смотрим по качеству гигиены полости рта обычной мануальной щеткой. Если она проводится некачественно, то тогда уже можно подключить электрическую. Врачи-пародонтологи и врачи-гигиенисты не рекомендуют электрическую щетку как основную», - говорит Офелия Егиазарян
А от долгой чистки не стирается эмаль?
«Это один из главных мифов. У нас очень часто говорят, что при чистке зубов травмируется эмаль. Якобы чем реже чистить – тем лучше будет, это, конечно же, неправда».
Чем больше пасты, тем лучше?
«Да, в рекламе показывают, что ее надо выжимать так, чтобы она уже сваливалась с щетки. Это тоже миф. Чем меньше вы будете использовать зубную пасту, тем более комфортные условия будут создаваться условия для адекватной работы микрофлоры. Если паста остается, то там может развиваться патологическая флора», - утверждает стоматолог.
Какую пасту тогда лучше использовать?
«Важно не чем, чистить, а как чистить. Есть у нас много пациентов, которые вообще без пасты чистят зубы в связи с заболеваниями слизистой оболочки рта или аллергией. Обычной зубной щеткой без всего они прочищают идеально. Не надо смотреть на фирмы», - советует спикер.
Какие последствия могут возникнуть из-за неправильного использования зубной пасты
Очищение съемных протезов надо проводить вне полости рта. Протезы должны очищаться 2 раза в день путем 3-5 минутного погружения в раствор специализированного средства (таблетки для очистки протезов, растворяющейся в ёмкости с тёплой водой). Протез должен быть полностью покрыт раствором. После этого протез извлекается из ёмкости и проводится его дополнительная механическая очистка мягкой зубной щёткой и этим же раствором для замачивания. Такая методика очистки наиболее щадящая, не нарушает структуру материала, из которого сделан протез (не царапает), и максимально устраняет микробное загрязнение протеза, неприятный запах, пигментные пятна.
При отсутствии специализированных средств для очистки можно воспользоваться туалетным мылом, также нанося его на поверхность протеза мягкой зубной щеткой.
В течение дня после приемов пищи в случае попадания под протез ее частиц конструкцию необходимо извлечь изо рта и достаточно будет промыть ее под проточной водой.
При использовании адгезивных средств для фиксации протеза необходимо сначала удалить их остатки с поверхности базиса мягкой щеткой и уже затем погружать протез в специализированный раствор и проводить окончательное очищение.
Очищение протеза с использованием зубной пасты, зубного порошка, уксуса, чистящих средств для посуды (механических и химических), кипячение в воде и др. запрещено ! При таком воздействии нарушается структура материала протеза, что приводит к его порче, изменению формы и разрушению.
Во время очищения не рекомендуется держать протез высоко над керамической раковиной или другой поверхностью, упав на которую может произойти его поломка. Очищение съемного протеза во рту не даст должного результата. Использование одной и той же щетки при очищении зубов и протеза недопустимо.
Кроме протеза не забывайте чистить и сами зубы (при их сохранении).
Можно ли использовать одни и те же зубные протезы без регулярной санации
Вроде бы, к вопросу о том, как применять ополаскиватель, инструкция не требуется, но есть ряд правил, соблюдение которых сделает использование средства более эффективным для здоровья полости рта.
5 правил таковы:
- Ополаскиватель – это дополнение к гигиеническим процедурам, он не может стать полноценной заменой стандартной чистки зубной щеткой, но способен усилить ее эффект. Очищение эмали и десен щеткой обеспечивает механическое удаление налета и должно выполнятся систематически. Средство необходимо применять после очищения зубов для дополнительной очистки ротовой полости от остатков еды и налета. В такой ситуации результат от его применения будет на максимуме.
- Ополаскивать полость нужно правильно и аккуратно. Колпачок наполняется на 10-20 мл средством для полоскания. Рот мысленно делится на 4 части, и каждая из них прополаскивается на протяжение 5-7 сек. Важно при этом уделять особенное внимание подробной чистке пространств между зубами. В общем, полоскать ротовую полость средством нужно не меньше полуминуты. Это время требуется для того, чтобы прочистились промежутки между зубами, а активные вещества ополаскивателя смогли эффективно действовать на зубы и слизистую.
- Средство также эффективно применять после любой трапезы, оно быстро удалит микрочастицы еды из ротовой полости и освежит дыхание. Делая выбор между обычными освежителями дыхания и ополаскивателем, правильно выбрать второе средство.
- Когда ополаскивателем человек пользуется первый раз, то вкус и свежесть могут показаться чрезмерно насыщенным и активным. В такой ситуации можно развести средство чистой водой, и постепенно понижать уровень разбавления.
- После применения не нужно полоскать рот водой, и естественно глотать ополаскиватель нельзя.
Какие ошибки в гигиене полости рта могут привести к неприятному запаху изо рта
Можно потратить на чистку зубов пять минут, но оставить на них весь налёт. Важно соблюдать правильную технику чистки:
- Щётка должна быть сухой, не нужно смачивать её водой перед чисткой. Раньше зубные пасты были рыхлыми и их приходилось смачивать. А современные пасты содержат пенообразователи, поэтому, если их намочить, во рту появится слишком много пены.
- Если ребёнок будет выплёвывать или глотать пасту — время чистки сократится. И хотя паста для детей безопасна, лучше сразу учить не глотать её.
Схема правильной чистки зубов
- Выдавите пасту размером с горошину. В рекламе часто показывают, что нужно выдавливать пасту по всей поверхности щётки, но для чистки требуется гораздо меньше.
- Сядьте или встаньте позади ребёнка перед зеркалом. Так он будет видеть, что именно вы делаете. Попросите его открыть рот.
- Левой рукой придерживайте ребенка за подбородок, а правой расположите щётку под углом 45° по отношению к зубу и двигайтесь выметающими движениями от десны вверх — для нижних зубов и вниз — для верхних. По жевательной поверхности делайте продольные и круговые движения.
- Сделайте по 6–8 движений на каждую пару зубов. Чистка должна длиться не меньше 2–3 минут.
После трёх лет к чистке зубов добавляется чистка межзубных пространств. В этом возрасте часто встречается контактный кариес — между соседними зубами. Зубы растут плотно друг к другу, и вычистить налёт и остатки пищи между ними становится сложнее.
Здесь на помощь приходит зубная нить (флосс) и ирригатор — прибор, который направляет струю воды между зубами и в пространство под дёсны и вычищает налёт.
Для правильной чистки флоссом возьмите не менее 18 см нити и намотайте её края на указательный или средний пальцы. Между пальцами должно остаться около 3 см свободной нити. Вводите нить в межзубное пространство плавными движениями, прижимая её к одному из зубов. Это позволит не повредить поверхность межзубного сосочка. После процедуры прополощите полость рта.
Схема чистки зубов с помощью зубной нити
После зубной нити воспользуйтесь ирригатором. Поскольку это электроприбор, ребёнок может пользоваться им только под контролем взрослых.
Как пользоваться ирригатором:
1. Выберите уровень давления воды. Для ребёнка нужен минимальный.
2. Расположите прибор во рту у ребёнка. Не прижимайте ирригатор к зубам или дёснам, расстояние между ними должно быть 2-3 мм.
3. Попросите ребёнка слегка наклониться над раковиной, чтобы не разбрызгивать воду.
4. Направляйте струю на зубы под углом 90° к вертикальной поверхности.
5. Удерживайте струю на каждом зубе и в межзубных пространствах в течение 2–3 секунд. Чистка ирригатором занимает около минуты.
6. После ирригатора наносите на зубы ребёнка гель, укрепляющий эмаль. Какой именно гель подойдёт вашему ребёнку — порекомендует детский стоматолог.
