Headlines:
- Headlines:
- Связанные вопросы и ответы
- Какие самые распространённые ошибки люди совершают при чистке зубов
- Может ли использование неправильной щётки нанести вред дёснам
- Как влияет неправильная техника использования нитки на здоровье полости рта
- Почему важно регулярно менять зубную щётку
- Что происходит, если вы не чистите язык регулярно
- Как часто следует посещать стоматолога, чтобы избежать проблем с гигиеной полости рта
- Влияет ли частота замены щётки на накопление зубного камня
- Какие последствия могут возникнуть от использования слишком большого количества зубной пасты
Headlines:
Почему Заголовки Так Важны?
В эпоху информационного изобилия заголовок стал одним из ключевых элементов, которые определяют, привлечет ли ваш контент внимание аудитории. Заголовок — это первое, что видит читатель, и он часто решает, стоит ли тратить время на чтение статьи, открытие письма или переход по ссылке. Хорошо написанный заголовок может увеличить количество просмотров, повысить вовлеченность и улучшить конверсию.
Структура Эффективного Заголовка
Хороший заголовок должен быть четким, лаконичным и содержать ключевое сообщение. Он может включать в себя несколько ключевых элементов, которые помогают привлечь внимание:
| Элемент | Описание |
|---|---|
| Ключевое слово | Основная тема или идея, которую вы хотите донести. |
| Эмоциональный Хук | Элемент, который вызывает эмоции: удивление, любопытство, страх. |
| Преимущество | Что читатель получит, прочитав ваш материал. |
| Срочность | Почему стоит обратить внимание прямо сейчас. |
Психологические Aspectы Заголовков
Заголовки работают на подсознательном уровне, влияя на решение читателя. Вот некоторые ключевые психологические механизмы, которые можно использовать:
- Любопытство: Заголовки, которые вызывают вопросы, заставляют читателя хотеть узнать больше.
- Страх Потерять: Упоминание о том, что можно потерять, если не действовать.
- Обещание Легкого Решения: Подсказка о том, что проблема может быть легко решена.
- Социальное Доказательство: Упоминание о том, что другие уже делают или достигли.
Практические Советы по Написанию Заголовков
Написание эффективных заголовков — это навык, который можно развивать. Вот несколько практических советов, которые помогут вам стать лучше:
- Начинайте с Ключевого Слова: Определите основную тему и построите заголовок вокруг нее.
- Используйте Действенные Глаголы: Глаголы, которые передают действие, делают заголовок более динамичным.
- Экспериментируйте: Напишите несколько вариантов заголовка и протестируйте их.
- Сохраняйте Простоту: Избегайте сложных слов и длинных предложений.
- Используйте Цифры: Цифры в заголовке делают его более конкретным и привлекательным.
Общие Ошибки при Написании Заголовков
Даже опытные авторы иногда допускают ошибки, которые снижают эффективность заголовков. Избегайте следующего:
- Слишком Общие Формулировки
- Заголовки, которые не несут конкретной информации, теряются в массе.
- Переизбыток Эмоций
- Чрезмерное использование эмоциональных слов может показаться неискренним.
- Недостоверность
- Обещания, которые не выполняются, разрушают доверие.
- Отсутствие Фокуса
- Заголовок должен быть четким и понятным, безambiguity.
Связанные вопросы и ответы:
Вопрос 1: Какие самые частые ошибки в гигиене полости рта
Среди самых частых ошибок в гигиене полости рта можно выделить несколько ключевых моментов. Во-первых, многие люди используют зубную щетку, которая не подходит по жесткости или размеру для их зубов. Во-вторых, не все соблюдают рекомендованное время чистки зубов, которое должно составлять как минимум две минуты. В-третьих, некоторые забывают менять зубную щетку своевременно, что может привести к снижению эффективности чистки. Наконец, немногие правильно используют зубную нить, что может оставлять пищевые частицы между зубами. Эти ошибки могут привести к проблемам с деснами и зубами.
Вопрос 2: Какие последствия могут возникнуть из-за неправильной гигиены полости рта
Последствия неправильной гигиены полости рта могут быть серьезными. Прежде всего, это приводит к накоплению зубного налет и камня, что может вызвать кариес и воспаление десен. Далее, недостаточная чистка может привести к гингивиту, который, если не лечить, может перерастать в пародонтоз. Кроме того, плохая гигиена может вызвать неприятный запах изо рта, что создает дискомфорт в общении. Еще одним последствием может быть увеличение риска потери зубов, особенно если проблемы не решаются своевременно. Все это подчеркивает важность правильного ухода за полостью рта.
Вопрос 3: Как избежать распространенных ошибок в гигиене полости рта
Избежать распространенных ошибок в гигиене полости рта можно, придерживаясь нескольких простых правил. Во-первых, важно использовать зубную щетку с мягкой или средней жесткостью щетинок, подходящую для вашего возраста и состояния зубов. Во-вторых, чистите зубы не менее двух минут, уделяя внимание каждой области рта. В-третьих, регулярно меняйте зубную щетку – оптимально делать это каждые три месяца или при износе щетинок. Также важно правильно использовать зубную нить, проходя ею между всеми зубами. Наконец, не забывайте посещать стоматолога для профессиональной очистки и осмотра.
Вопрос 4: Как современные методы гигиены полости рта могут помочь избежать ошибок
Современные методы гигиены полости рта предлагают множество решений, которые помогают избежать распространенных ошибок. Например, электрические зубные щетки с таймером и датчиком давления могут помочь соблюдать рекомендуемое время чистки и избежать давления на десны. Умные зубные щетки с приложениями для смартфонов могут отслеживать качество чистки и напоминать о смене щетки. Также существуют зубные пасты с различными свойствами, такими как отбеливание или укрепление эмали, которые можно выбирать в зависимости от потребностей. Кроме того, использование ирригаторов может дополнить гигиену, эффективно очищая пространство между зубами. Эти инновации делают уход за полостью рта более эффективным и удобным.
Вопрос 5: Какая роль зубной нити в гигиене полости рта и почему ее часто не используют
Зубная нить играет важную роль в гигиене полости рта, так как она позволяет удалить пищевые частицы и налет из труднодоступных мест между зубами и под деснами, которые зубная щетка не всегда может достичь. Однако многие люди не используют зубную нить регулярно, считая ее использование сложным или неудобным. Некоторые просто забывают о ней или не видят ее необходимости, особенно если они не сталкиваются с явными проблемами, такими как кровотечение десен. Тем не менее, регулярное использование зубной нити помогает предотвратить воспаление десен и кариес, делая ее важным элементом гигиены. Для удобства существуют также ирригаторы и зубные нити с удобными ручками, которые облегчают процесс.
Вопрос 6: Влияет ли качество зубной пасты на эффективность гигиены полости рта
Качество зубной пасты действительно влияет на эффективность гигиены полости рта. Выбор зубной пасты зависит от индивидуальных потребностей: например, для укрепления эмали, борьбы с чувствительностью или удаления зубного камня. Использование пасты с фтором помогает укрепить эмаль и предотвратить кариес. Однако даже самая качественная паста не сможет обеспечить хорошую гигиену, если не соблюдать правильную технику чистки и не делать это регулярно. Также важно следовать рекомендациям стоматолога, который может посоветовать определенную пасту в зависимости от состояния полости рта. Таким образом, сочетание качественной пасты и правильной техники чистки дает наилучший результат.
Какие самые распространённые ошибки люди совершают при чистке зубов
Ассортимент зубных щеток сегодня как никогда велик, и многих людей это ставит в тупик: как не ошибиться при выборе щетки для чистки зубов? Для начала, определите, как реагируют ваши десны на воздействия внешней среды. Если ваши десны чувствительны и кровоточат, то ошибкой будет покупать зубную щетку с жесткой щетиной, ведь она способна травмировать десневую ткань.
Самый оптимальный вариант, по словам врачей, это покупка щетки с щетинками средней жесткости или, при повышенной чувствительности десен и зубов, с мягкими щетинками.
Самая распространенная ошибка при выборе зубной щетки – это покупка её на основании лишь «внешних» данных – красивая упаковка, многофункциональность, высокая цена. Действительно, не стоит покупать щетки малоизвестных марок, но «навороченность» зубной щетки ещё не говорит о том, что она вам подойдет. Подумайте – нужны ли вам, например, ароматизированные щетинки? Ведь в большинстве случаев такие щетинки не повышают эффективность чистки зубов. А вот специальная подушечка для чистки языка вам пригодится, ведь гигиену языка также нужно проводить два раза в день.
Многие люди ошибаются, полагая, что требование менять щетку минимум каждые три месяца носит условный характер. Это не так – очень важно неукоснительно соблюдать смену щеток. За три месяца на щетинках зубной щетки скапливаются бактерии, поэтому щетку необходимо менять регулярно. Также необходимо менять щетку сразу после перенесенного вирусного заболевания.
У некоторых людей сложился стереотип, что электрическая зубная щетка лучше обычной. Нет, это не так, и электрическая, и зубная щетка имеют как свои плюсы, так и свои минусы. Как утверждают стоматологи, по эффективности лучше обычных зубных щеток лишь те электрические, пучки ворсинок которых вращаются в разные стороны. Другие электрические зубные щетки отличаются от обычных только тем, что обрабатывают конкретно один зуб при чистке – можно сказать, что это вариант чистки зубов «для ленивых».
Может ли использование неправильной щётки нанести вред дёснам

Воспаление десен довольно распространенное заболевание среди взрослого населения. Основная причина воспаления — бактерии, скопившиеся в мягком и твердом зубном налете. Гигиенический уход — это одно из средств лечения воспаления десен, главное — правильно подобрать зубную щетку и пасту. Именно от выбора первой будет во многом зависеть успех излечения.
Классическим симптомом воспаления десен можно назвать их кровоточивость. И как только она появилась, многие пациенты начинают жалеть себя и использовать мягкие зубные щетки, или же вовсе отказываются от полноценной чистки зубов. Любое из этих действий ошибочно.
Отказ от гигиенического ухода чреват более активным размножением бактерий в полости рта, что только ухудшает течение воспаления десен. Оно может переходить в осложненные формы и уже трудно поддается лечению.
Использование мягкой зубной щетки также является ошибкой, которая может стать причиной усугубления воспаления. Ее щетины просто не могут полноценно удалить скопление налета в пришеечной области, что чревато развитием кариеса и прогрессией воспаления.
Использовать зубные щетки с мягкой щетиной рекомендовано только при серьезных заболеваниях десен, например, пародонтозе и только после консультации со специалистом. В остальных случаях рекомендована зубная щетка средней жесткости.
Кроме того, при воспалении десен в качестве лечебно-профилактической меры могут быть рекомендовано особые методы чистки зубов: метод Басса. Для его исполнения рекомендовано пользоваться особыми, монопучковыми щетками.
Как влияет неправильная техника использования нитки на здоровье полости рта
Запрос Издания Газета.Ру экспертам MaxTreat: Что может быть с зубами и деснами если неправильно использовать зубную нить? Ошибки при использовании флосса
Главная ошибка – не использовать зубную нить. Использование флосса – обязательный этап ежедневного ухода за полостью рта.
Зубная нить помогает устранить частички пищи и налет из межзубных промежутков – там, куда не проникает зубная щетка. Этап использования зубной нити крайне важен, так как именно на контактных поверхностях часто образуется самый коварный кариес. Коварный, потому что он недоступен человеческому глазу и дает о себе знать, когда кариозное поражение достаточно глубокое.
Однако при неправильном подборе нити и технике ее применения флосс может травмировать мягкие ткани полости рта.

Максим Валерьевич Копылов
Стоматолог-хирург, пародонтолог, основатель клиники MaxTreat
Мягкие ткани – это фундамент, который удерживает зубы в полости рта. Поэтому здоровью тканей пародонта следует уделять особое внимание. Состояние мягких зависит от множества факторов: природных, таких как фенотип (у кого-то он более тонкий и нежный, у кого-то более плотный и резистентный), внешних воздействий, таких как домашний и профессиональный уход за полостью рта.
Неправильная техника чистки зубов, использование щетки с жесткими щетинками, агрессивных зубных паст и неправильно подобранной зубной нити, могут сильно травмировать мягкие ткани. Микротравма, которую мы наносим, неправильно используя зубную нить, может привести к убыли мягких тканей, рецессии десны (это когда корни зуба оголяются).
Рецессия десны – неприятная патология не только по визуальным соображениям, но и дискомфортная. Оголение корней зуба вызывает повышенную чувствительность зубов. Зубы начинают реагировать на раздражители – кислое, холодное, горячее.


Почему важно регулярно менять зубную щётку
Время, через какое меняют зубную щетку, далеко не всегда составляет допустимые 2-4 месяца. При возникновении определенных обстоятельств придется приобрести аксессуар несколько раньше. В противном случае не избежать проблем с зубами, и они возникнут очень скоро. Причины, по которым стоит это сделать:
- Истек трехмесячный срок использования. Стоматологи советуют производить замену чаще, если человек прибегает к гигиенической чистке больше двух раз в день.
- Деформирование щетины. С течением времени ворсинки раздвигаются и наклоняются в разные стороны. В таком состоянии аксессуар не сможет полноценно выполнять свои функции по качественному очищению ротовой полости и массированию мягких тканей.
- Неудобство применения. Например, щетка приносит дискомфорт при удерживании в руке, плохо проворачивается во рту и вообще только раздражает активного пользователя. Все это свидетельствует о неправильном подборе предмета, а значит, его придется поменять, иначе польза от гигиенических процедур будет сведена к нулю.
- Человек перенес инфекционное заболевание. После простуды или другой болезни стоит обязательно избавиться от старого изделия, поскольку на нем остаются бактерии и другие патогенные микроорганизмы. На щетинках создана благоприятная влажная среда для их активного размножения. Впоследствии возможно повторное инфицирование, особенно если организм сильно ослаблен.
- После возвращения из длительной поездки. В путешествия лучше брать отдельную одноразовую «походную» вещь, которую потом обязательно нужно утилизировать. Почему после гигиены зубов надо менять зубную щетку, даже если отдых длится недолго? Брать с собой домой ее точно не стоит, потому что она как минимум не успеет полностью высохнуть, а еще на ней будет присутствовать множество «чужеродных» бактерий.
- После падения в грязь или труднодоступные места. Если предмет упал на пол в ванной комнате, ничего страшного не случится, достаточно просто промыть его под проточной водой, предварительно обработав мыльным раствором. Другое дело, если приспособление закатилось за стиральную машину или попало в любой другой угол, где редко удается проводить влажную уборку. Там накапливается пыль, мелкий мусор, появляется плесень.
- Щеткой пользовались другие люди. Элементарное правило личной гигиены гласит, что использовать гигиенический аксессуар может только один человек.
- После проведенной в ванной комнате травли насекомых (дезинсекции), если аксессуар не был заранее спрятан и защищен от воздействия химических составов.
- Выбрана неподходящая степень жесткости. Желательно подбирать предмет по этому критерию исключительно со стоматологом. В противном случае можно повредить эмаль и спровоцировать другие проблемы с зубами и деснами.
- Некачественный уход за щеткой. До и после использования необходимо тщательно промывать ее под проточной водой. Раз в неделю рекомендуется дезинфицировать щетину, замачивая ее в растворе перекиси водорода. Кроме того, нельзя держать аксессуар в закрытой емкости, поскольку он должен полностью просыхать и проветриваться для предупреждения размножения патогенных микроорганизмов.
- В стаканчике или на самом изделии образовалась плесень. Изменился оттенок ворсинок, появились подозрительные пятна, неприятный запах, щетина выпадает, или у основания сформировался налет.
Что происходит, если вы не чистите язык регулярно
- Улучшает ваши вкусовые рецепторы. Если на языке скопились лишние частицы, вкусовые рецепторы, расположенные над ним, не смогут полностью уловить вкус пищи. Таким образом ухудшается вкус некоторых превосходных блюд. Поскольку все хотят наслаждаться лучшей едой, чистка языка может помочь улучшить ваши вкусовые рецепторы. Соскоб или чистка языка щеткой удалит этот слой, и тогда вы ощутите улучшенный вкус всего, что вы едите. Это достигается по мере того, как вкусовые рецепторы лучше воспринимают и могут более точно различать различные типы пищи, такие как сладкая, соленая, горькая или кислая.
- Улучшается внешний вид вашего языка. Когда на вашем языке скапливается много мусора, он образует на нем грязно выглядящую белую пленку. Такой налет на языке выглядит косметически непривлекательно. Соскабливание этой пленки с помощью хорошего средства для чистки языка улучшит внешний вид языка и повысит вашу уверенность в себе.
- Уменьшает количество бактерий.
Бактерии являются основными виновниками многих стоматологических проблем, таких как зубной налет, неприятный запах изо рта, кариес или гингивит. Исследования показали, что регулярное очищение языка снижает размножение бактерий, таких как Streptococcus mutans и Lactobacilli, в нашей ротовой полости. Эти бактерии образуют вокруг себя биопленку, которая защищает их. Очистить это — единственный способ избавиться от этих бактерий.
- Уменьшает неприятный запах изо рта или неприятный запах изо рта.
Неприятный запах изорта возникает из-за уменьшения слюноотделения, что приводит к чрезмерному накоплению и размножению бактерий в полости рта. Если язык не чистый, это также способствует скоплению бактерий и ухудшает здоровье полости рта. Биопленка сохраняет бактерии неповрежденными, и регулярный полоскание рта или полоскание рта не избавят вас от неприятного запаха изо рта. Соскабливание языка — отличный способ очистить язык и эффективно уменьшить неприятный запах изо рта. - Улучшает ваше общее состояние здоровья.
Бактерии вредны не только для ротовой полости, но они также могут распространяться на другие части тела через системный кровоток. Таким образом, избавление от бактерий улучшает не только здоровье полости рта, но и общее состояние здоровья.
Как правильно чистить язык?
Бактерии во рту очень живучи, и жидкость для полоскания рта или полоскание рта водой не смогут удалить их. Он смывает только несколько поверхностных клеток за пределами биопленки. Бактерии внутри него останутся нетронутыми и невредимыми.
Соскоб — лучший и наиболее распространенный метод эффективной очистки языка. Вы должны быть очень внимательны и нежны при чистке языка, так как это тонкий орган. Не царапайте его слишком грубо, потому что есть риск травмы из-за неправильного обращения. Выберите хороший скребок для языка из металла или пластика, который легко найти в магазинах.
Однако если вы опасаетесь использовать скребок, вы можете просто очистить язык зубной щеткой. Существуют определенные зубные щетки, задняя сторона которых имеет выпуклости и канавки для чистки языка.
Когда вы начинаете соскабливать, начинайте как можно дальше от зубов. Затем легким движением и достаточным давлением удалите слой плавно. Повторяйте процесс, пока не покроете все части языка. Продолжайте полоскать рот водой, чтобы не проглотить удаленный мусор обратно.
Если вы регулярно чистите язык, можно использовать антисептическое средство для полоскания рта, чтобы помочь избавиться от бактерий изо рта. Вместе с ним можно использовать антисептическое средство для полоскания рта, чтобы помочь избавиться от бактерий изо рта.
Как часто следует посещать стоматолога, чтобы избежать проблем с гигиеной полости рта
Врачи-стоматологи рекомендуют менять зубную щетку каждые 3 месяца. При этом важно обращать внимание на признаки и причины износа, а не только ее «возраст».
Рассмотрим подробнее рекомендации по замене зубной щетки:
- Смена зубной щетки необходима каждые три месяца. Этот срок основан на статистике износа щетинок и потере эффективности чистки. По истечению этого времени щетинки могут стать слишком жесткими и изогнутыми, что уменьшит их способность эффективно очищать зубы и десны.
- Рекомендуется сменить зубную щетку, если вы переболели гриппом, ОРВИ или другим инфекционным заболеванием. Микробы и бактерии могут скапливаться на щетинках, поэтому использование новой щетки поможет избежать повторного риска инфицирования.
Впрочем, многие стоматологи считают, что бежать в магазин за новой щеткой, переболев гриппом или даже коронавирусом, не стоит. При крепком иммунитете микробы, оставшиеся на поверхности щетинок, не смогут спровоцировать повторное заражение. Это относится и к бактериальным инфекциям, таким как острый фарингит.
- Если щетинки на вашей зубной щетке стали выглядеть изогнутыми, изношенными или иссохшими, это повод поменять ее, даже если срок ее службы меньше трех месяцев. Такая щетка не справится с зубными отложениями.
- Если у вас было хирургическое вмешательство в полости рта или иная стоматологическая процедура, врачи также рекомендуют заменить зубную щетку.
Обычная щетка
Зубную щетку оптимально менять каждые три месяца. Однако иногда замена необходима раньше указанного срока:
- при кровоточивости десен, кариесе;
- при изменении цвета или появлении налета на щетинках;
- если щетка попала в грязное место;
- при деформации щетинок;
- при появлении плесени на щетке, что может произойти из-за влажности в ванной комнате.
– Если же вы проходите лечение, например, от гингивита, стоматита или пародонтита, то совершайте замену зубной щетки раз в месяц, – добавляет гигиенист Наталья Савинова.
Электрическая щетка
Правила использования для насадок электрических зубных щеток те же самые, что и для обычных. Насадки подлежат замене каждые 2-3 месяца, в зависимости от индивидуальной частоты использования и износа. А ведь многие из-за довольно высокой цены не меняют насадки по полгода и более! Поэтому при покупке электрической зубной щетки сразу рассчитывайте, что вам придется менять насадки достаточно часто.
– У электрической зубной щетки есть преимущество — это индикатор, который помогает отслеживать сроки использования и подсказывает, когда пора ее заменить. Важно следить за состоянием зубной щетки, чтобы поддерживать гигиену зубов и ротовой полости, — добавляет наш эксперт.
Влияет ли частота замены щётки на накопление зубного камня
С чего начинается ваш день? Наверняка с умывания и чистки зубов. Каждое утро мы пользуемся зубной пастой, и порой кажется, что знаем о ней буквально все. Тем более что в этом знании нам активно помогает реклама. Но так ли это на самом деле? Практика показывает, что нет. Как это ни странно, но существует множество заблуждений, связанных с зубной пастой. Предлагаем вам ознакомиться с десятью самыми странными, а порой и нелепыми, мифами.

Орлова Анна Евгеньевна-стоматтолог-терапевт Кабанова Наталья Александровна-стоматолог-терапевт
- «Зубные пасты работают хуже гелей»- э то заблуждение. Отличие в структуре и цвете обусловлено тем, что гель не содержит диоксида титана и карбоната кальция. Разницы в действии между пастообразными и гелевыми средствами нет.
- «Зубная паста работает 24 часа в сутки». Даже самые качественные и дорогие пасты не защищают полость рта более 10-12 часов. Именно поэтому чистить зубы нужно утром и вечером.
- Пасты с лечебными компонентами полезнее. Если речь идет об экстрактах лекарственных растений, то это действительно так. Что же касается паст с антисептическими добавками, то использовать их можно только по назначению врача.
- «Отбеливающую зубную пасту можно применять ежедневно» . Опасное заблуждение, которое приводит к истончению эмали и другим проблемам. Дело в том, что отбеливающий эффект достигается за счет абразивов, которые травмируют эмаль.
- «Свежее дыхание = качественная гигиена» . Еще один миф, способный стать причиной заболеваний зубов и десен. Дело в том, что свежесть во время чистки и сразу после нее достигается с помощью специальных добавок, которые не имеют отношения к гигиене.
- Фтор — спаситель зубов. Прежде чем покупать зубную пасту с фтором, следует узнать, какой уровень этого вещества содержится в питьевой воде в вашем регионе. Если его больше 1 мг на литр, то фторсодержащая зубная паста не только не нужна, но и может быть опасна.
- «Зубы можно отбелить пастой «. Как уже говорилось выше, отбеливающая паста оказывает абразивное действие. С ее помощью можно снять мягкий налет, за счет чего зубы станут светлее на 1-2 тона. Не более. Если же вы хотите добиться сияющей белизны, как в рекламе, выход один — профессиональное отбеливание.
- «Зубная паста с кальцием укрепляет зубы» . Для здоровья зубов кальций действительно необходим. Однако проблема в том, что в составе зубных паст присутствует карбонат кальция — неорганическое соединение, которое не усваивается организмом. Именно поэтому зубная паста с кальцием — не более чем рекламный трюк.
- «Больше пасты — чище зубы» . Ничего подобного! Количество, конечно, играет роль — экономить не стоит. Но и выдавливать половину тюбика за раз тоже не имеет смысла. Обратите внимание! На большинстве зубных щеток середина выделена другим цветом. Так производители обозначают место для пасты. Этого количества вполне достаточно.
- «Паста для всей семьи «. Еще одно заблуждение. Дети в возрасте до 5-6 лет часто проглатывают пасту во время чистки зубов. Именно поэтому для дошколят выпускают специальные гигиенические средства, которые содержат минимальное количество фтора, а также добавок, способных стать причиной аллергии.
Какие последствия могут возникнуть от использования слишком большого количества зубной пасты
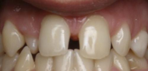
Небольшая щербинка
между верхними резцами – больше проблема, чем изюминка во внешности, как
считают некоторые. Если ею серьезно не заняться, маленькая щель превратится в
широкую расщелину, принося неудобства своему хозяину. При значительном пробеле начинают
страдать эстетика внешности и дикция - нельзя позволить себе открытую улыбку,
из-за шепелявости появляются комплексы во время диалога. Может ли диастема
навредить другим зубам или ее убирают
чисто для красоты зубного ряда? Об этом расскажет наша статья.
Причина патологии
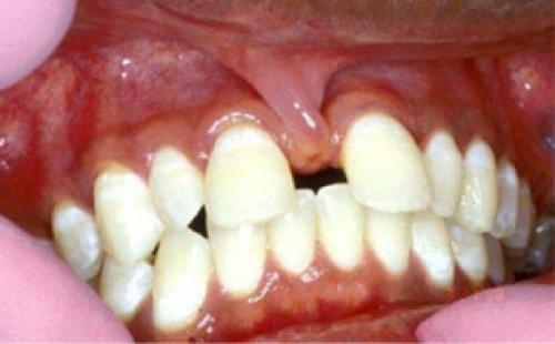
Размеры межзубного пространства в зоне улыбки колеблются от 1 мм до 10 мм. Подобная зубочелюстная деформация встречается у 20 % людей. Стоит уточнить, что пробелы между остальными зубами – это уже тремы. Диастема возникает только между двумя центральными резцами, может быть как параллельной, так и треугольной. Ее нередко сопровождают другие патологии, связанные с формой, размерами и положением зубных единиц.
Факторы, обуславливающие появление щербинки:
- Наследственность. Если щель между главными резцами была у родителей, не исключено, что она будет и у детей.
- Патология уздечек под
верхней губой и под языком. Перепонка низко прикреплена или слишком
массивная. - Аномалия формы и размеров резцов. Интервалы образуются, если зубы по отношению к десне слишком маленькие.
- Запоздалое прорезание резцов. Пробелы возникают при опережении развития десны по сравнению с ростом зубов.
- Анатомический дефект десны. При веерном росте резцов между зубами образуются пространства.
- Обгрызание ногтей, предметов (карандашей/ручек), злоупотребление семечками, затянувшееся сосание детских сосок. Из-за этих привычек зубы могут расти в разных направлениях и вне ряда.
- Множественная адентия (отсутствие) боковых зубов. При потере моляров и премоляров функция жевания возлагается на резцы, что влечет их расхождение.
- Травма или потеря одного из резцов. Зубы разъезжаются, возникает щель, если своевременно не поставить протез взамен утраченной единице.
массивная.