Здоровье полости рта: ключ к долголетию и хорошему самочувствию
- Здоровье полости рта: ключ к долголетию и хорошему самочувствию
- Связанные вопросы и ответы
- Что такое здоровье полости рта и почему оно важно
- Какие факторы могут влиять на здоровье полости рта
- Какие проблемы могут возникнуть при плохом уходе за полостью рта
- Какие продукты питания могут быть полезными для здоровья полости рта
- Какие продукты питания могут быть вредными для здоровья полости рта
- Основные механизмы вреда
- 1. Кислоты
- 2. Сахара
- 3. Липкость
- 4. Частота потребления
- Самые вредные продукты для зубов
- 1. Сладкие газированные напитки
- 2. Конфеты и сладости
- 3. Кислые фрукты и соки
- 4. Сладкие выпечки и пирожные
- 5. Сухофрукты
- 6. Чипсы и крекеры
- 7. Спортивные напитки и энергетики
- 8. Алкогольные напитки
- 9. Лед
- Как минимизировать вредное воздействие
- 1. Ограничьте потребление
- 2. Чистите зубы регулярно
- 3. Полоскание рта
- 4. Используйте зубную нить
- 5. Пейте много воды
- 6. Жуйте жевательную резинку без сахара
- Какие средства гигиены полости рта можно использовать для поддержания здоровья
- Как часто нужно посещать стоматолога для профилактики проблем здоровья полости рта
Здоровье полости рта: ключ к долголетию и хорошему самочувствию
Поддержание гигиены ротовой полости играет крайне важную роль в общем здоровье человека. Регулярное очищение ротовой полости от бактерий и налета может помочь предотвратить различные заболевания, такие как кариес, пародонтит, гингивит, воспаление десен, а также другие инфекционные заболевания. Кроме того, улучшение гигиены может предотвратить плохой запах изо рта, который может создавать неловкость при общении с другими людьми. Этот неприятный запах является результатом размножения бактерий в ротовой полости, которые могут производить сероводород и другие неприятные запахи. Правильная гигиена полости рта помогает предотвратить этот эффект и сохранить свежее дыхание.
Следует также отметить, что поддерживать гигиену полости рта необходимо не только для взрослых, но и для детей. Детские зубы требуют особого ухода, поскольку они еще не полностью развиты, и могут быть более подвержены кариесу и другим заболеваниям. Родители могут помочь своим детям правильно заботиться о зубах и деснах, обучая им правильной технике чистки зубов и выбору правильных продуктов для ухода.
В целом, поддержание гигиены полости рта является ключом к поддержанию общего здоровья организма. Регулярная чистка зубов, использование зубной нити и средств для ополаскивания рта, правильное питание и ограничение потребления сладостей и кислых продуктов, а также регулярные посещения зубного врача - все это меры, которые помогут сохранить здоровье зубов и десен на долгие годы. Не забывайте, что здоровье полости рта - это неотъемлемая часть общего здоровья, и следует уделять ей должное внимание!
Связанные вопросы и ответы:
1. Что такое здоровье полости рта и почему оно важно
Здоровье полости рта - это состояние здоровья, когда все ткани и органы в полости рта функционируют нормально и не имеют никаких заболеваний. Важность здоровья полости рта заключается в том, что оно влияет на общую физическую и психологическую благополучность человека. Кроме того, здоровье полости рта связано с другими системами организма, такими как пищеварение и дыхание, поэтому его состояние может повлиять на их работу.
2. Какие проблемы могут возникнуть при плохом состоянии здоровья полости рта
При плохом состоянии здоровья полости рта могут возникнуть различные проблемы, такие как кариес зубов, пародонтит, гингивит, пародонтит, а также различные виды рака. Кроме того, плохое состояние здоровья полости рта может привести к развитию других заболеваний, таких как сердечно-сосудистые заболевания, беременность, диабет и другие.
3. Как можно определить, что у человека плохое состояние здоровья полости рта
Плохое состояние здоровья полости рта можно определить по различным симптомам, таким как боль в зубах, чувство раздражения и жжения в полости рта, зуд и покраснение языка, плохой запах изо рта, потеря зубов и другие. Кроме того, для определения состояния здоровья полости рта можно пройти медицинский осмотр у стоматолога.
4. Как можно поддерживать здоровье полости рта
Поддержание здоровья полости рта возможно благодаря соблюдению правил гигиены полости рта, таких как регулярное полоскание рта, использование зубных нит, чистка языка, избегание употребления табака и алкоголя, а также регулярные посещения стоматолога.
5. Как часто нужно посещать стоматолога для профилактики заболеваний полости рта
Обычно стоматологи рекомендуют посещать их минимум два раза в год для профилактики заболеваний полости рта. Однако, если у человека есть какие-либо проблемы с здоровьем полости рта, то стоматологи могут рекомендовать более частые посещения.
6. Как влияет здоровье полости рта на общую физическую и психологическую благополучность человека
Здоровье полости рта влияет на общую физическую и психологическую благополучность человека, так как оно связано с другими системами организма, такими как пищеварение и дыхание. Кроме того, плохое состояние здоровья полости рта может привести к развитию других заболеваний, таких как сердечно-сосудистые заболевания, беременность, диабет и другие, что может негативно повлиять на общую физическую и психологическую благополучность человека.
7. Как влияет здоровье полости рта на работу других систем организма
Здоровье полости рта связано с работой других систем организма, таких как пищеварение и дыхание. При плохом состоянии здоровья полости рта может возникнуть проблема с пищеварением, так как зубы и язык не могут нормально пережёвывать пищу. Кроме того, плохое состояние здоровья полости рта может привести к развитию инфекций, которые могут распространиться на другие части организма, такие как гортань, трахея и лёгкие.
Что такое здоровье полости рта и почему оно важно
А вы знали, что в 0,001 г зубного налёта содержится 300 млн бактерий…
Процесс образование налета запускается уже через 5-10 минут после приема пищи, а уже через 48 часов он начинает активно действовать на зубы и десны.
Можете себе представить, что происходит с полостью рта и зубами, если этот налет не удалять? Воспаление и кровоточивость десен, зубные отложения, неприятный запах изо рта – и это далеко не весь список.
Специалисты из Южной Кореи выяснили, что поддержание здоровья зубов и дёсен — путь к долгой жизни. А некачественная гигиена полости рта влияет на развитие болезней сердца, сахарного диабета и других опасных состояний.
Это также подтверждает исследование из Китая. Выяснилось, что вероятность появления гипертонии у тех, кто чистит зубы один раз в день, снижается на 23 %, у тех, кто два — на 45 %1.

Статистика показывает, что приблизительно у 90% пациентов с заболеванием сердечно-сосудистой системы обнаруживается пародонтит - воспалительное заболевание десен, при котором возникает угроза потери зубов.
Представьте себе, воспаленная десна постоянно кровоточит, организм пытается бороться с этим, вырабатывая больше активных веществ, призванных повысить свертываемость крови, чтобы сократить потери. Но свертываемость повышается во всем организме, а не только в тканях десны, что может привести к нарушению кровообращения в мелких сосудах сердца и головного мозга.
Таким образом, пародонтит повышает риск развития сердечно-сосудистых заболеваний, в частности инфарктов и инсультов.
Также исследования обнаружили взаимосвязь между пародонтитом и:
✓ Ревматоидным артритом.
Согласно исследованию Джона Хопкинса (2016), бактерии, ответственные за хроническую инфекцию десен, запускают выработку цитруллинированных белков. Эти белки вырабатывают аутоантитела, которые влияют на развитие артрита.
Исследование, проведенное Школой стоматологической медицины Университета Кейс Вестерн, показало, что пациенты, получавшие нехирургическое лечение заболеваний десен, сообщали о значительном улучшении своего состояния при ревматоидном артрите. Болевые ощущения и скованность в суставах у этих пациентов уменьшались.
✓ Заболеваниями легких.
Результаты исследования показали, что пародонтит влияет на тяжесть течения и исходы таких болезней, как пневмония и ХОБЛ.
Связь между заболеваниями полости рта и болезнями легких обусловлена заносом бактериальной, вирусной или грибковой инфекции через дыхательные пути2.
Теперь уже не секрет, что плохая гигиена полости рта может быть опасна не только для зубов, но и для всего организма. Поэтому важность ежедневной гигиены полости рта неоспорима.

Для качественной ежедневной гигиены достаточно заменить свою обычную зубную пасту на зубную пасту «Мирамед Антисептик» с современной антисептической молекулой, которая уничтожает до 99% вредных бактерий и образовавшегося налета3.
Эта молекула обладает широким спектром действия и успешно применяется для лечения различных заболеваний, например, тонзиллита, ларингита, фарингита и других инфекционных и вирусных заболеваний горла. В стоматологии же этот антисептик способен лечить и профилактировать такие инфекционно-воспалительные заболевания полости рта, как стоматиты, гингивиты, пародонтиты, периодонтиты и др.
Зубная паста Мирамед от Эвалар - объединила в себе сразу несколько действий. Она не только очищает зубы от налета, но и оказывает лечебное действие: устраняет воспаление, боль и кровоточивость десен; борется с повышенной чувствительностью эмали, способствует быстрому заживлению ран и восстановлению после стоматологического вмешательства.
В отличие от других антибактериальных паст, Мирамед не оказывает негативного воздействия на эмаль: не повреждает и не изменяет ее цвет. Поэтому подходит для ежедневного применения и разрешена детям с 14 лет.
Еще одно преимущество зубной пасты Мирамед – противовирусное действие. Благодаря чему она идеальна для использования в сезон простуд, так как создает эффект «невидимой маски», образуя защитный барьер для проникновения и развития вирусов извне.
Для здоровья полости рта, а значит и вашего общего здоровья, замените свою обычную зубную пасту на зубную пасту Мирамед !
Какие факторы могут влиять на здоровье полости рта
Согласно исследованиям в области микробиологии, во рту здорового человека одновременно присутствует сотни различных видов микроскопических живых организмов. Это особая экосистема, имеющая существенное значение для жизнедеятельности человека. Микробиология разделяет всю совокупность организмов в полости рта на группы:
- аутохтонные микроорганизмы – присутствующие в полости рта человека как биологического вида;
- аллохтонные – организмы, мигрировавшие в ротовую полость из других органов, например, носоглотки или кишечника;
- заносные — микрофлора полости рта, попавшая из окружающей среды.
Главную роль среди микробиоты играют аутохтонные (резидентные) организмы. Их делят на:
- облигатную микрофлору, постоянно присутствующую в полости рта;
- факультативную, в состав которой входят условные патогены.
Микроскопические организмы селятся колониями на слизистой оболочке и поверхности зубов. Изучение механизмов взаимодействия различных форм биоты является основой разработки методик стоматологического лечения.
Состав нормальной микрофлоры полости рта:
- Бактерии – преобладающая форма. Их больше всего утром натощак и меньше всего сразу после еды. Самую большую резидентную группу составляют кокки.
- Вирусы.
- Грибы.
- Простейшие.
В разных количествах резидентная микрофлора полости рта постоянно содержит такие формы:
- Стафилококки. Это факультативные неподвижные кокки анаэробного типа, их колония похожа на виноградные гроздья. Самый распространенный представитель этого рода — Staphylococcus epidermidis, формирующий зубной налет. Он участвует в расщеплении остатков пищи, а при создании благоприятных условий для размножения (углеводистая среда) – в формировании кариеса. Другой представитель — Staphylococcus aureus ответственен за развитие гнойных заболеваний.
- Стрептококки. Это также факультативный анаэроб. Его роль подобна стафилококку, локализуется на языке и в тканях эмали зубов.
- Вейлонеллы. Грамотрицательные анаэробы, разлагающие остатки пищи до органических кислот, повышающие кислотность слюны и тем самым способствующие деминерализации зубов и образованию полостей.
- Лактобактерии. Грамположительные факультативные анаэробные бациллы. Их называют молочнокислыми бактериями за способность выделять при разложении молочную кислоту, которая сдерживает развитие других патогенов, но, с другой стороны, способствует реминерализации эмали.
- Актиномицеты (лучистые грибы). Низшие представители микрофлоры полости рта и кишечника. Бактерии образуют ветвистый мицелий, расщепляют углеводы и выделяют кислоты. При благоприятных условиях колонизируют на воспаленных участках десны, гранулемах, разрушенных участках зубных корней.
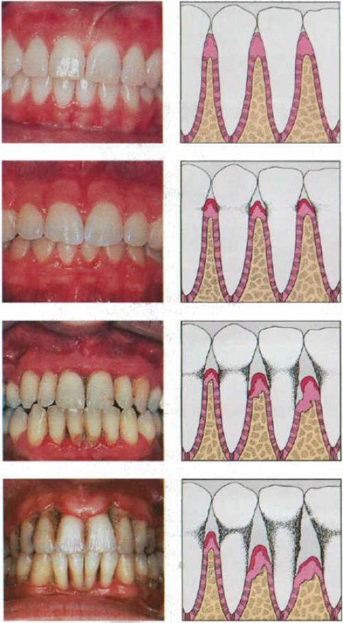
Какие проблемы могут возникнуть при плохом уходе за полостью рта
Несмотря на справедливость утверждения, что плохой уход за зубами может привести к кариесу, кариес — не самое плохое , что может случиться с зубами.
Кариес и его осложненную форму — пульпит, относительно несложно лечить . Конечно, в случае пульпита потребуется лечение каналов (об этом в статье Почему после удаления нерва важно хорошо запломбировать каналы зуба? ), но несоблюдение гигиены зубов может иметь куда более худшие последствия .
Если кариес разрушает зуб, то заболевания десен (основной или сопутствующей причиной которых является плохая гигиена) приводят к разрушению тканей удерживающих зуб в кости.
Мы рассказываем об этом в статье Почему убывает десна, оголяется шейка и корень зуба?
Что Вам больше нравится: здоровые десны или тяжелая форма пародонтита?
Коренные зубы , которые дарует нам природа после молочных, не имеют эквивалентной замены кроме как на имплантаты, но установка имплантатов может быть затруднена и даже невозможна из-за убыли костной ткани. Об этом читайте в статье Недостаточный объем и качество костной ткани — противопоказания к установке имплантатов .
Посмотрите на стадии заболевания десен: гингивит, пародонтит, его осложненная форма… В итоге значительной потери костной ткани зубы теряют опору, расшатываются и выпадают .

В отличие от кариеса, тяжелая форма пародонтита не лечится . Единственное, что можно сделать при пародонтите — замедлить развитие заболевания и это сложней, чем соблюдать правильную ежедневную гигиену зубов.
Посмотрите , как можно избежать проблем, следуя рекомендациям стоматолога по ежедневному уходу за полостью рта.
Какие продукты питания могут быть полезными для здоровья полости рта
Все знают, что для зубов полезен кальций и все продукты с ним. А вот про десны почему-то часто забывают. Тем временем, им тоже необходимы витамины и минералы, а некоторые продукты — вредят. Разбираемся, какие продукты полезны для десен, а каких — лучше избегать.
Конечно, забота о зубах и деснах — это далеко не только правильные продукты питания. «Здоровье тканей скорее зависит от других факторов, наследственных и приобретенных, — говорит Максим Копылов , стоматолог-хирург, пародонтолог . — Значение имеет биотип десны, наличие вредных привычек, таких как курение, качество ухода за полостью рта и регулярность визитов на профессиональную гигиену. Однако если мы говорим о продуктах, есть ряд критериев, которые влияют на здоровье зубов и десен в целом, а именно на микрофлору полости рта».
Белок — обязателен
Протеины — одна из самых важных составляющих нашего питания. Нужны они и для здоровья зубов и десен. «Для здоровой флоры ротовой полости лучше отдавать предпочтение продуктам, содержащим белки и клетчатку», — предупреждает Максим Копылов. Белки нужны также, чтобы предупреждать заболевания десен. «Раздражение и воспаление десен связано с недостаточным поступлением белка к тканям пародонта, — говорит врач стоматолог-ортопед, хирург и имплантолог Иван Муссуров . — Чтобы не допустить этого, рекомендую обратить внимание на ежедневный рацион питания».
Витамины и минералы
Кальций, фосфор и фтор — микроэлементы , которые обычно рекомендуют для здоровья зубов, полезны и для десен. Но не только они.
«Зубам необходимо железо, оно нужно для обеспечения достаточного питания мягких тканей полезными веществами, — перечисляет Эмиль Сулейманов , стоматолог-ортопед . — Этот элемент содержится в горохе сое, чечевице и нуте.
Витамин D повышает внутренние защитные силы организма, способствует усвоению кальция и фосфора. Получить его можно из ультрафиолета (загорая) или потребляя такие продукты, как рыбий жир, яйца, печень трески, сливочное и оливковое масло.
Витамин С — очень важен для здоровья десен и слизистой. Его много в цитрусовых, киви, клубнике, шиповнике, шпинате и черной смородине.
Витамин Е — незаменимый компонент комплексного лечения заболеваний пародонта, костной ткани и слизистых оболочек рта. Чтобы его получать, нужно включить в рацион зерновые и бобовые ростки, растительное масло и яичный желток.
Витамин А отвечает за нормальную секрецию слюнных желез, обеспечивает крепость и эластичность окружающих зуб тканей.Нужно есть абрикосы, морковь, помидоры, кукурузу, рыбную печень.
Витамин РР предотвращает воспаления языка и слизистой рта, чтобы его получить, нужны дрожжи и грибы».
Итак, чтобы получить необходимые витамины и минералы для зубов и десен, нужно включать в рацион:
- молочные продукты;
- листовые овощи;
- морская рыба;
- морковь и яблоки;
- садовые и лесные ягоды.
Главный враг
Что же портит не только зубы, но и десны? Это — всеми любимые сладости и сладкая выпечка, быстрые углеводы. «Продукты, богатые быстрыми углеводами, подкармливают патогенную флору в полости рта, — объясняет Максим Копылов. — Это провоцирует размножение болезнетворных бактерий, способных привести к развитию заболеваний как твердых тканей, то есть эмали зубов, так и мягких тканей, десен.
Кроме того, с возрастом изобилие простых углеводов дает нам скачки инсулина и раскачивает нашу эндокринную систему. Риск воспаления десен, пародонтита на фоне предрасположенности к сахарному диабету в этом случае будет возрастать».
Лучше исключить
«Любители ирисок, нуги, леденцов и всяких орешков часто обращаются с механическими повреждениями эмали зубов и десен, — рассказал Иван Муссуров. — Также лучше воздерживаться от сладостей с желатином — кислота и сахар в них создают благоприятную среду для развития бактерий». По словам эксперта, вредны для ротовой полости также вязкие сухофрукты, такие как инжир, курага, чернослив. Они попадают в межзубное пространство и начинают расщепляться там, вызывая воспаление десны.
«Негативно влияет на десны употребление алкоголя, этанол блокирует витамины группы В1, В6, что способствует скоротечному воспалению десен и расшатыванию зубов, — предупреждает Иван Муссуров. — Мак, кунжут, кокосовая крошка, семечки застревают в зубных промежутках и раздражают слизистую, создавая условия для развития патогенной микрофлоры. Наконец, избыточное употребление соленых огурцов и квашеной капусты тоже нежелательно. В квашеных овощах содержится много молочной кислоты. Она может создать очаги эрозии в полости рта».
Внимание! Самолечение недопустимо! При любой проблеме со здоровьем зубов и десен нужно обратиться к специалисту.
Какие продукты питания могут быть вредными для здоровья полости рта
Терапия

Питание играет важнейшую роль в общем состоянии здоровья человека, включая здоровье зубов и десен. Влияние пищи на зубы не ограничивается только тем, что мы едим, но также включает в себя частоту и способ потребления пищи. В этой статье мы рассмотрим, какие продукты питания наиболее вредны для зубов, какие механизмы вызывают их вредное воздействие и как можно минимизировать негативное влияние этих продуктов на здоровье полости рта.
Основные механизмы вреда
Прежде чем рассматривать конкретные продукты, важно понять, какие механизмы лежат в основе их вредного воздействия на зубы.
1. Кислоты
Кислоты могут размягчать и разрушать эмаль зубов, что делает их более уязвимыми к кариесу. Продукты с высоким содержанием кислот могут непосредственно повреждать зубную эмаль.
2. Сахара
Сахара являются основным источником питания для бактерий, вызывающих кариес. Бактерии преобразуют сахара в кислоты, которые затем атакуют эмаль зубов.
3. Липкость
Липкие продукты задерживаются на зубах и деснах, создавая благоприятную среду для размножения бактерий. Это увеличивает время воздействия сахаров и кислот на зубы.
4. Частота потребления
Частое потребление пищи и напитков, особенно тех, которые содержат сахара и кислоты, повышает риск разрушения зубов. Каждый прием пищи или напитка вызывает снижение pH в полости рта, что может способствовать деминерализации эмали.
Самые вредные продукты для зубов
1. Сладкие газированные напитки
Газированные напитки содержат высокий уровень сахаров и кислот, что делает их одними из самых вредных продуктов для зубов. Они могут вызвать деминерализацию эмали и развитие кариеса. Частое потребление газированных напитков увеличивает продолжительность воздействия кислот на зубы.
2. Конфеты и сладости
Конфеты, особенно липкие и карамельные, задерживаются на зубах и деснах, что способствует длительному воздействию сахаров на зубы. Это создает идеальные условия для размножения бактерий и образования кариеса.
3. Кислые фрукты и соки
Цитрусовые фрукты, такие как лимоны, апельсины и грейпфруты, а также соки из них содержат много кислоты. Частое потребление этих продуктов может привести к эрозии эмали. Это особенно актуально, если фрукты и соки употребляются между основными приемами пищи.
4. Сладкие выпечки и пирожные
Торты, пирожные и другая сладкая выпечка содержат большое количество сахаров и часто имеют липкую консистенцию. Эти продукты могут задерживаться на зубах и способствовать развитию кариеса.
5. Сухофрукты
Сухофрукты, такие как изюм и курага, содержат натуральные сахара и имеют липкую текстуру. Они могут застревать между зубами, создавая благоприятную среду для роста бактерий и образования кариеса.
6. Чипсы и крекеры
Крахмалистые продукты, такие как чипсы и крекеры, могут распадаться на мелкие частицы, которые застревают между зубами и превращаются в сахара под действием ферментов слюны. Это повышает риск развития кариеса.
7. Спортивные напитки и энергетики
Эти напитки часто содержат высокий уровень сахаров и кислот, что делает их вредными для зубов. Они могут способствовать деминерализации эмали и развитию кариеса, особенно при частом употреблении.
8. Алкогольные напитки
Алкогольные напитки, особенно те, которые содержат сахар (например, коктейли и ликеры), могут способствовать разрушению эмали. Кроме того, алкоголь вызывает сухость во рту, что уменьшает количество слюны, естественного защитника зубов.
9. Лед
Хотя лед сам по себе не содержит сахаров или кислот, жевание льда может повредить зубы механическим путем, вызывая трещины и сколы эмали.
Как минимизировать вредное воздействие
Несмотря на то, что перечисленные продукты могут быть вредны для зубов, существуют способы минимизировать их негативное воздействие.
1. Ограничьте потребление
Сведите к минимуму потребление сладких, кислых и липких продуктов. Постарайтесь употреблять их реже и в небольших количествах.
2. Чистите зубы регулярно
Регулярная чистка зубов дважды в день с использованием фторсодержащей зубной пасты помогает удалить остатки пищи и бактериальный налет.
3. Полоскание рта
После употребления вредных для зубов продуктов полощите рот водой, чтобы снизить уровень кислотности и удалить остатки пищи.
4. Используйте зубную нить
Зубная нить помогает удалить пищевые остатки и налет из межзубных промежутков, что особенно важно при употреблении липких и крахмалистых продуктов.
5. Пейте много воды
Питьевая вода способствует очищению полости рта и поддержанию нормального уровня слюны, что помогает защитить зубы от кариеса и эрозии.
6. Жуйте жевательную резинку без сахара
Жевательная резинка без сахара стимулирует выработку слюны, что помогает нейтрализовать кислоты и очистить зубы.
Какие средства гигиены полости рта можно использовать для поддержания здоровья
К сожалению, лишь немногие пациенты регулярно проходят профилактический осмотр у врача-стоматолога. Профосмотр необходим как взрослым, так и детям, вне зависимости от возраста.
Профилактический осмотр стоматолога рекомендуется проходить каждые полгода даже при отсутствии жалоб и подозрений на наличие проблем.
Зачем нужен профилактический осмотр?
Отсутствие зубной боли не означает, что зубы здоровы. Стоит помнить, что кариес не проявляет себя на ранних стадиях. А если он расположен в контактной зоне между зубами, обнаружить его без рентгенологического снимка невозможно.
Если «поймать» заболевание на ранней стадии, можно обойтись без использования бормашины. Жужжание бора нравится далеко не всем пациентам, поэтому рекомендуем воспользоваться шансом избежать этой процедуры.
Как проходит профилактический осмотр?
Во время консультации стоматолог проведет тщательный визуальный осмотр полости рта. При подозрении на наличие заболеваний на приеме делаются необходимые снимки: панорамный, прицельный или компьютерная томография.
Врач может порекомендовать сделать процедуру профессиональной гигиены полости рта - она также рекомендована раз в полгода. Какой бы качественной не была домашняя чистка зубов, чаще всего многие зоны остаются без внимания.
Известно, что наиболее частая причина проблем с зубами - недостаточная гигиена. Профессиональное оборудование позволит очистить каждый уголок полости рта.
Регулярный осмотр полости рта стоматологом:
- Поможет предотвратить развитие заболеваний
Осмотр зубов и десен позволит спрогнозировать развитие патологий и предотвратить их. Стоматолог всегда готов научить пациента правильной домашней гигиене и дать полезные рекомендации.
- Сбережет ваш кошелек от лишних трат
Лечить заболевания на поздних стадиях и восстанавливать утраченные зубы намного дороже регулярной профилактики. Выгоднее дважды в год оплатить процедуру профессиональной гигиены, чем спустя время единократно оставить крупную сумму в клинике.
- Избавит от переживаний о состоянии зубов
Вы будете уверены в здоровье своих зубов.
Профилактика - залог здоровья!
Имеются противопоказания, необходимо ознакомиться с инструкцией по применению или проконсультироваться со специалистом.
Используемые материалы
- Зарипова Э. М., Мингазова Э. Н., Иорданишвили А. К. Совершенствование лечебно-профилактической работы врача-стоматолога медсанчасти речного пароходства //Пародонтология. – 2009. – №. 1. – С. 57-59.
- Лучинский А. В. Мнение населения и представителей профессионального сообщества о профилактике стоматологических заболеваний //Стоматология. – 2015. – Т. 94. – №. 4. – С. 16-19.
- Савина Е. А. и др. Психотерапевтические приемы при проведении лечебно-профилактических мероприятий в рамках деонтологического поведения врача-стоматолога-терапевта //Саратовский научно-медицинский журнал. – 2011. – Т. 7. – №. 3. – С. 683-689.
Как часто нужно посещать стоматолога для профилактики проблем здоровья полости рта
Боль во рту может быть вызвана как местными, так и системными факторами. Болезненные ощущения в полости рта обычно не беспокоят изолированно. Как правило, они сочетаются с другими симптомами, характерными для определенной патологии: гиперемией и отечностью слизистой, высыпаниями и язвами в полости рта, налетом, неприятным запахом , трудностями жевания и открывания рта, слюнотечением . Боль во рту, несмотря на свой локальный характер, нарушает общее самочувствие и работоспособность, препятствует нормальной дикции, полноценному приему пищи.
Боль в губах
Носит локальный или разлитой характер. Может быть вызвана травматическими, инфекционными, химическими, физическими факторами, опухолевым поражением. Боль обычно сочетается с сухостью губ , трещинами, покраснением, пузырьковыми высыпаниями, изъязвлением, насыханием корочек. Распространенные причины боли в губах:
- Хейлит . Может быть следствием сенсибилизации ( аллергический хейлит ), неврогенных причин ( эксфолиативный , макрохейлит), неблагоприятных климатических факторов ( метеорологический хейлит ), дефицита витаминов (гиповитаминозный хейлит), инфекции ( гландулярный хейлит ). Общими признаками выступает поражение красной каймы, сопровождающееся сухостью, болезненными трещинами и язвами, отечностью, жжением , зудом.
- Лабиальный герпес . В продромальном периоде отмечается локальное пощипывание, покалывание, зуд в зоне верхней или нижней губы. Затем появляется пузырек, содержащий жидкость. После самопроизвольного или насильственного вскрытия пузырька на его месте формируется язвочка, которая, подсыхая, покрывается струпом. При растрескивании корочки из-под нее сочится сукровица. Элементы герпеса резко на всех стадиях болезненны. От продрома до полной эпителизации проходит 10-12 дней.
- Красный плоский лишай . Может поражать красную кайму губ, язык, слизистую рта. Основные элементы – папулы, которые при слиянии образуют белесые участки ороговения. Иногда КПЛ протекает с образованием мокнущих участков, эрозий, пузырей – в этих случаях присоединяется жжение, сильная боль во рту, делающая невозможной прием пищи.
- Невралгия тройничного нерва . Тригеминальная невралгия является распространенной причиной лицевых болей . При поражении верхне- и нижнечелюстной ветвей тройничного нерва могут возникать резкие интенсивные прострелы в щеке, верхней или нижней губе, челюсти, напоминающие удары электротока.
- Травмы. Ожоги губ могут быть вызваны употреблением горячих напитков, попаданием агрессивных химических веществ, воздействием солнечного света или открытого огня. При ожогах легкой степени появляется боль, отек губы, гиперемия; при тяжелых – образуются волдыри, струпы, некроз тканей. Механические повреждения (порезы, прикусывания) губы сопровождаются болезненностью, кровотечением.
- Рак губы . Внешне может представлять собой бородавчатое или папилломатозное разрастание, инфильтрат. Вначале элементы не вызывают дискомфорта, но их изъязвление, инфицирование, распад сопровождаются выраженной болью во рту.