Просто и эффективно: основы ухода за зубами
- Просто и эффективно: основы ухода за зубами
- Связанные вопросы и ответы
- Сколько раз в день нужно чистить зубы
- Какой тип зубной щётки лучше использовать
- Как часто нужно менять зубную щётку
- Как правильно чистить зубы
- Можно ли чистить зубы после каждого приема пищи
- Как часто нужно посещать стоматолога
- Как узнать, что у вас начался кариес
Просто и эффективно: основы ухода за зубами
Классическое правило ухода за зубами — нужно проводить чистку зубов минимум два раза в день. Как правило, мы беремся за зубную щетку сразу после пробуждения, но большинство стоматологов считает, что это не совсем верно. Лучше всего чистить зубы после завтрака, то есть первого приема пищи. Если все-таки не удалось изменить своей привычке, то после еды тщательно прополоскайте рот и проведите чистку еще раз. Повторно эту процедуру следует выполнять вечером, перед отходом ко сну.
Крайне важно соблюдать технику чистки. Уделяйте внимание не только тем единицам, что видны во время улыбки, но и всему ряду. Какой щеткой вы предпочитаете пользоваться, автоматической или обычной, — неважно.
Основные рекомендации по технике чистки:
Двигайте щеткой так, как будто вы выметаете загрязнения — от десны к краю зуба. Так хорошо прочищаются и боковые поверхности.
Добавляются круговые движения.
Движения вперед и назад — выполняются во время чистки жевательных зубов.
Следите, чтобы не было обделенных участков, поэтому челюсти условно разделите на половинки. Части очищайте по принципу от центра к дальним зубным единицам.
В идеале выбор зубной пасты лучше делать совместно со стоматологом, так как у каждого есть индивидуальные особенности здоровья полости рта. Например, для укрепления возможно лучшим вариантом станут пасты с кальцием и фтором. Дополнительно укрепить десны поможет состав с добавлением лекарственных трав.
Совместно с врачом подумайте об использовании дополнительных средств, например:
- ополаскивателя для полости рта;
- очистителя для языка.
зубной нити;
Помните, что даже при тщательном и своевременном уходе за зубами нельзя отменять визит к стоматологу! Он сможет провести комплексное обследование полости рта и порекомендовать действительно действенные средства для ухода. Кроме того, есть ряд процедур, которые нельзя проводить в домашних условиях.
Связанные вопросы и ответы:
Вопрос 1: Какие средства и инструменты используются для ухода за зубами
Ответ: Для ухода за зубами используются зубные щётки, зубные нити, зубные пасты, зубные насадки и зубные порошки. Зубные щётки помогают удалить остатки пищи и бактерии с поверхности зубов, а зубные нити помогают очистить пространство между зубами. Зубные пасты содержатabrasives, которые помогают удалить пятна и остатки пищи, а также содержат fluoride, который укрепляет эмаль зубов. Зубные насадки и зубные порошки также могут быть использованы для дополнительного очищения зубов.
Вопрос 2: Сколько раз в день нужно чистить зубы
Ответ: Рекомендуется чистить зубы дважды в день - утром и вечером. Утром чистка зубов помогает очистить зубы от остатков пищи и бактерий, которые могут накопиться во время сна. Вечером чистка зубов помогает очистить зубы от остатков пищи и бактерий, которые могут накопиться в течение дня.
Вопрос 3: Как правильно чистить зубы
Ответ: Чтобы правильно чистить зубы, следует использовать зубную щётку с мягкими щетинками и зубную пасту с фтором. Зубную щётку нужно держать под углом 45 градусов к зубам и двигать ею вверх-вниз и вправо-влево, чтобы очистить все поверхности зубов. Не забывайте чистить и язык, чтобы очистить его от бактерий. Чистка должна длиться не менее двух минут.
Вопрос 4: Как часто нужно менять зубную щётку
Ответ: Зубную щётку нужно менять каждые три-четыре месяца или раньше, если щетинки становятся изношенными или распрямлены. Использование изношенной зубной щётки может привести к неэффективной чистке зубов и повреждению эмали.
Вопрос 5: Можно ли чистить зубы после каждого приема пищи
Ответ: Не рекомендуется чистить зубы сразу после приема пищи, так как это может повредить эмаль зубов. Лучше подождать не менее 30 минут после приема пищи, прежде чем чистить зубы. В это время кислотность в ротовой полости снижается, и эмаль зубов становится менее восприимчивой к повреждениям.
Вопрос 6: Можно ли использовать зубные пасты без фтора
Ответ: Не рекомендуется использовать зубные пасты без фтора, так как фтор укрепляет эмаль зубов и защищает их от кариеса. Использование зубных паст без фтора может привести к повышенному риску развития кариеса. Если вы испытываете аллергию на фтор или имеете другие медицинские противопоказания, советуется обратиться к дантисту для получения индивидуального рекомендации.
Сколько раз в день нужно чистить зубы
Чистить зубы необходимо не менее 2 раз в день по 2 минуты, причем необходимо стараться распределять это время равномерно на весь зубной ряд.Будет верным чистить зубы до завтрака, поскольку после сна во рту скапливаются микроорганизмы. Не почистив зубы, вы рискуете занести патогенную микрофлору в желудок и кишечник. Вечером рекомендуется чистить зубы перед сном и не принимать пищу после гигиенических процедур.
алгоритм правильной чистки зубов обычной (традиционной, ручной) и электрической щетками
рекомендуется придерживаться правильной последовательности чистки зубов:- 1. Сначала необходимо промыть щетку или насадку электрической щетки под проточной водой и нанести на нее пасту размером с горошину.
- 2. Чистку зубов начинают с наружной поверхности боковых зубов, продвигаясь к середине. Правильная техника чистки зубов подразумевает, что нужно держать щетку под углом 45о. В случае использования обычной зубной щетки необходимо выполнять правильные движения, а именно – по 4-5 выметающих движений сверху вниз на верхней челюсти и снизу вверх на нижней. При применении электрической зубной щетки никаких движений делать не нужно, кроме как передвигать ее от дальних зубов к передним, задерживаясь на каждом по несколько секунд без чрезмерного надавливания.
- 3. Затем требуется произвести аналогичные действия с внутренней стороны.
- 4. Далее очистить жевательные поверхности тоже в направлении от задних зубов к передним, производя круговые движения.
- 5. Следом нужно помассировать щеткой десны аккуратными круговыми движениями. Для электрической зубной щетки существуют специальные насадки для десен, неба и языка.
- 6. Очистить поверхность языка специальным приспособлением, которое должно быть на щетке, либо использовать для этого специальный скребок.
- 7. В конце очищают межзубные пространства зубной нитью, для каждого промежутка используют новый кусок нити.
Какой тип зубной щётки лучше использовать
Электрические зубные щётки чистят лучше традиционных, не разрушая качественно установленные пломбы и не повреждая восстановленные зубы. Они различаются по виду, функциональности, ценовой категории, а также форме и оттенку. Сейчас подробно разберем ключевые моменты.

Технология чистки
Принцип удаления зубного налета – первый критерий, который следует учитывать перед покупкой электрической щетки. По своей технологии такие устройства разделяются на стандартные (они же механические), звуковые и ультразвуковые. Согласно основному принципу действия они выполняют те или иные функции.
Стандартные
Это первые варианты щеток, оснащенных моторчиком. С помощью него активизируется головка, и обеспечиваются очищающие движения. Существуют и модели с головкой круглой формы, вращающейся во все стороны.
Интенсивность колебаний щетки составляет 30000/мин., что позволяет безопасно ее использовать. Стандартные электрические щетки самые доступные в своем сегменте. К примеру, стоимость бюджетного варианта Colgate 360 составляет ~500 руб (когда курс рубля к доллару был 75 рубль, то стоимость данной щётки составляла около 210 рублей).


Методы движения щетки
- Технология 1 D
Головка устройства осуществляет лишь вращательные движения, благодаря чему батарейки служат дольше. Они имеют доступную стоимость, но отличаются низкой эффективностью в работе.
- Технология 2D
Возвратно-выметающие движения осуществляются в двух направлениях, за счет чего повышается общая эффективность. При этом такие модели плохо удаляют пятна от употребления кофе, черного чая и табакокурения. К недостаткам можно отнести более высокую стоимость по сравнению с предыдущим типом.
- 3 D -технология
Щетка может вращаться в разные стороны, а благодаря пульсации обеспечивается эффективное очищение зубов от пятен и налета. Но при этом увеличивается и стоимость.
Электрическая щетка, функционирующая по механическому принципу, не имеет противопоказаний. Ими могут пользоваться люди с пломбами, коронками, мостовидными протезами, а также дети. Однако звуковым и ультразвуковым устройствам характерна более высокая эффективность чистки.
Звуковые
Устройства имеют мембраны, генерирующие звуковые волны, обеспечивающие образование однородной смеси из воды, зубной пасты и воздуха. Колебания при чистке равномерно передаются по ворсу прибора. Она не движется, а вибрирует, как в случае с механическими устройствами.

Такие вибрации безопасны для десен, не травмируют их, сохраняя состояние пломб, установленных виниров, брекетов. В случае высокой чувствительности зубов могут появляться определенные проблемы. Поэтому перед покупкой такого варианта рекомендуется проконсультироваться со специалистом.
Помимо этого, большинство звуковых устройств предусмотрены для взрослых, что и указывается в инструкции. Это обуславливается классическими головками, имеющими большой размер, не подходящим для ротовой полости детей. Также здесь отсутствуют необходимые щадящие режимы.
Наиболее простые модели функционируют в двух режимах и имеют низкую интенсивность колебаний. К примеру, стоимости модели Mijia T100 от бренда Xiaomi достигает 1400 рублей (когда курс рубль к доллару был ~75 рублей, то его стоимость составляла около 700 рублей). Она может работать в двух режимах – стандартном и деликатном. Корпус и батарея устройства являются водонепроницаемыми, заряда хватает на месяц автономной работы. Модель может достигать 16500 колебаний/мин.

На рынке есть и другие, более современные варианты. Среди таких Dr. Bei Sonic Electric Totthbrush S7 . Щетка имеет пять режимов работы: первичное обучение, режим регулярной и деликатной очистки, для проведения отбеливания зубов, массаж. Она оснащена специальным датчиком, контролирующим уровень давления при чистке. При сильном давлении электроника автоматически корректирует степень вибраций, чтобы предотвратить повреждение зубной эмали.

Как часто нужно менять зубную щётку
Как известно, стоматологи рекомендуют чистить зубы не реже двух раз в день. Износ зубной щетки из-за частого использования со временем станет заметен визуально, но заменить ее нужно до того, как щетинки ощутимо повредятся.
На вопрос о том, как часто нужно менять щетку, большинство стоматологов и производителей средств гигиены для полости рта отвечают, что раз в 12–16 недель. Замена по истечении 16 недель может негативно повлиять на здоровье полости рта, открыв ворота для бактерий и инфекций.
Как часто менять зубную щетку взрослому
Средний срок службы зубной щетки — три с половиной месяца. Однако рекомендация по трехмесячной замене применима при обычной чистке два раза в день и при условии правильного ухода за инструментом. Есть обстоятельства, при которых следует выбросить старую щетку раньше:
- если вы или член вашей семьи заболели, особенно в случае вирусных и бактериальных инфекций;
- если кто-то по ошибке воспользуется вашей зубной щеткой: чужая микрофлора негативно влияет на состояние полости рта;
- если щетка изначально низкого качества и выглядит изношенной раньше срока.
Как часто менять зубную щетку ребенку
Детям следует менять зубные щетки чаще, чем взрослым, поскольку малыши склонны грызть ручку или зажимать головку инструмента между зубами. Это снижает эффективность использования зубной щетки.
Как часто нужно менять насадки для электрической зубной щетки
Насадки изнашиваются еще быстрее, поскольку нейлоновые щетинки короче, чем у обычных моделей, и вращаются. Менять насадки следует каждые 3 месяца, не реже.
Как правильно чистить зубы
Задаваясь вопросом: как правильно чистить зубы зубной щеткой взрослым, следует знать, что кроме обычной пасты допускается задействовать для очищения ротовой полости и другие вещества. Из наиболее распространенных отметим несколько вариантов.
Пищевая сода
Является довольно эффективным способом отбеливания. Относится к числу абразивов, поэтому действительно работает. Да, полюбоваться хорошим результатом можно будет уже после первого применения. Однако при этом эмалевый слой неизменно окажется поврежден. Поэтому если использовать такое средство регулярно — проблемы с зубами не заставят себя долго ждать.
Активированный уголь
Ценится за выраженный обеззараживающий эффект. Другими полезными свойствами по сути не обладает в отношении ухода за ротовой полостью. Данное вещество представляет собой абразив, что означает — при систематическом использовании может привести к нарушению целостности эмали. В отличие от соды не дает ощутимого результата. Явной белизны зубов после применения не наблюдается.
Поваренная соль
В этом варианте вновь можно отследить все те же недостатки, которые присущи первым двум способам. Кроме того, крупные соляные частицы могут стать причиной травмирования десневых тканей и щек. Поэтому специалисты стоматологического центра «Дентика» советуют не акцентировать внимание на народных методиках. Современная стоматология позволяет использовать действительно эффективные и полностью безопасные методы.
Можно ли чистить зубы после каждого приема пищи
Залог здоровья зубов – хорошая гигиена. Всех нас учат с самого детства, что нужно чистить зубы 2 раза в день, чтобы поддерживать чистоту в полости рта. Для проведения полноценного ухода за зубами в домашних условиях необходимо иметь арсенал средств.
Самый главный атрибут, без которого невозможно осуществить чистку зубов – зубная щетка.
Они бывают нескольких видов: мануальные (ручные) и электрические. Современный рынок предлагает огромный ассортимент данного предмета гигиены, который может удовлетворить потребности любого человека. Выбор зубной щетки осуществляется на основе предпочтений и удобства.
Многие люди считают, что электрическая зубная щетка намного лучше справляется со своей функцией, чем классическая. Отчасти это так. Она позволяет убрать большее количество зубного налета, а также имеет дополнительные функции в зависимости от модели: встроенный таймер, датчик давления, разные режимы чистки и др.
Однако есть одно существенное замечание.
Очень важно соблюдать правильную технику чистки зубов. Без нее электрическая зубная щетка не будет достаточно справляться со своими функциями, но и даже может причинить вред зубам. Обучение правильной технике чистки зубов проводит врач-стоматолог. После диагностики Вашей методики чистки при помощи специальных индикаторов зубного налета доктор сможет наглядно продемонстрировать все недочеты и провести подробный анализ. После этого он даст все необходимые рекомендации по улучшению гигиены полости рта.
Также зубные щетки различаются щетиной: мягкая, средняя и жесткая. В зависимости от клинической ситуации и наличия дополнительных факторов, которые способствуют оседанию избыточного налета на зубах (курение, употребление крепкого чая и кофе и др.) стоматолог подберет «идеальную» зубную щетку именно для Ваших зубов.
Еще один важный атрибут – зубная паста. Классические пасты для ежедневного применения содержат в своем составе достаточное количество абразивных компонентов, которые бережно убирают накопившийся налет, не травмируя ткани зуба. При повышенной чувствительности зубов могут использоваться менее абразивные пасты, а при наличии плотного или пигментированного налета – отбеливающие (более абразивные).
Также в ритуале ухода за зубами и полостью рта используются дополнительные инструменты: ополаскиватели, зубные нити и ершики, ирригатор. Они позволяют удалять налет в труднодоступных местах. Это позволит добиться хорошего уровня гигиены полости рта и профилактировать развитие кариеса и воспалительных заболеваний десен.
Один из частых вопросов на приеме врача-стоматолога: когда нужно чистить зубы?
Правило не изменилось: стоматологическая ассоциации России рекомендует проводить уход за полостью рта 2 раза в день (утром и вечером). Вечерняя чистка зубов позволяет очистить зубы от налета, который образовался в течение дня. Утренняя чистка – налет, который образовался в период сна. Ночью снижается выработка слюны в полости рта, что способствует образованию более «агрессивного» налета, ведь в нем содержится повышенное количество бактерий.
Что нужно делать сначала: чистить зубы или завтракать?
Врачи-стоматологи рекомендуют чистить зубы перед первым приемом пищи. Очищение от зубного налета устранит дискомфорт и неприятный запах изо рта. Также в чистой полости рта будет полноценно ощущаться вкус пищи, который принесет приятные ощущения с самого утра. После приема пищи не рекомендуется проводить чистку зубов, а лишь очистить поверхность зубов при помощи ополаскивателей. При применении зубной щетки после еды часть компонентов пищи «втирается» в поверхность зубов (особенно при неправильной технике) и приводит к повреждению эмали. Это негативно скажется на Вашем стоматологическом здоровье.
Более подробно узнать о состоянии своих зубов, а также получить рекомендации по поддержанию должного уровня гигиены полости рта, можно на консультации в нашей стоматологической клинике. Наши врачи-стоматологи ждут Вас на профилактические осмотры, на которых проведут необходимую диагностику и с удовольствием ответят на все интересующие вопросы!
Как работают зубные пасты для восстановления эмали?
В полости рта постоянно идут процессы реминерализации (восстановления) и деминерализации (разрушения, выхода минералов). Это обусловлено скачками pH слюны от нейтральной до экстремально кислой.
гигиена гигиена полости рта
Как разные напитки влияют на зубную эмаль?
«Газировка растворяет зубную эмаль!» - верны, но лишь отчасти.
правильное питание напитки
Нужно ли дезинфицировать зубную щетку?
Полезная информация про зубные щетки.
Как часто нужно посещать стоматолога
К сожалению, лишь немногие пациенты регулярно проходят профилактический осмотр у врача-стоматолога. Профосмотр необходим как взрослым, так и детям, вне зависимости от возраста.
Профилактический осмотр стоматолога рекомендуется проходить каждые полгода даже при отсутствии жалоб и подозрений на наличие проблем.
Зачем нужен профилактический осмотр?
Отсутствие зубной боли не означает, что зубы здоровы. Стоит помнить, что кариес не проявляет себя на ранних стадиях. А если он расположен в контактной зоне между зубами, обнаружить его без рентгенологического снимка невозможно.
Если «поймать» заболевание на ранней стадии, можно обойтись без использования бормашины. Жужжание бора нравится далеко не всем пациентам, поэтому рекомендуем воспользоваться шансом избежать этой процедуры.
Как проходит профилактический осмотр?
Во время консультации стоматолог проведет тщательный визуальный осмотр полости рта. При подозрении на наличие заболеваний на приеме делаются необходимые снимки: панорамный, прицельный или компьютерная томография.
Врач может порекомендовать сделать процедуру профессиональной гигиены полости рта - она также рекомендована раз в полгода. Какой бы качественной не была домашняя чистка зубов, чаще всего многие зоны остаются без внимания.
Известно, что наиболее частая причина проблем с зубами - недостаточная гигиена. Профессиональное оборудование позволит очистить каждый уголок полости рта.
Регулярный осмотр полости рта стоматологом:
- Поможет предотвратить развитие заболеваний
Осмотр зубов и десен позволит спрогнозировать развитие патологий и предотвратить их. Стоматолог всегда готов научить пациента правильной домашней гигиене и дать полезные рекомендации.
- Сбережет ваш кошелек от лишних трат
Лечить заболевания на поздних стадиях и восстанавливать утраченные зубы намного дороже регулярной профилактики. Выгоднее дважды в год оплатить процедуру профессиональной гигиены, чем спустя время единократно оставить крупную сумму в клинике.
- Избавит от переживаний о состоянии зубов
Вы будете уверены в здоровье своих зубов.
Профилактика - залог здоровья!
Имеются противопоказания, необходимо ознакомиться с инструкцией по применению или проконсультироваться со специалистом.
Используемые материалы
- Зарипова Э. М., Мингазова Э. Н., Иорданишвили А. К. Совершенствование лечебно-профилактической работы врача-стоматолога медсанчасти речного пароходства //Пародонтология. – 2009. – №. 1. – С. 57-59.
- Лучинский А. В. Мнение населения и представителей профессионального сообщества о профилактике стоматологических заболеваний //Стоматология. – 2015. – Т. 94. – №. 4. – С. 16-19.
- Савина Е. А. и др. Психотерапевтические приемы при проведении лечебно-профилактических мероприятий в рамках деонтологического поведения врача-стоматолога-терапевта //Саратовский научно-медицинский журнал. – 2011. – Т. 7. – №. 3. – С. 683-689.
Источник: https://moezdorovieclub.ru/stati/delaem-razbor-11-rasprostranennyh-mifov-o-gigiene-polosti-rta
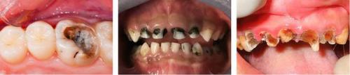
Как узнать, что у вас начался кариес
Выделяют следующие разновидности кариеса:
- По характеру поражённого зуба:
- кариес молочных зубов;
- кариес коренных (постоянных) зубов.
- По возрастным особенностям возникновения:
- ювенильный кариес — возникает в молодом возрасте;
- сенильный кариес — возникает в зрелом возрасте.
- В зависимости от начального звена поражения:
- первичный кариес — образование кариозного дефекта на здоровой эмали зуба, который ранее не подвергался лечению;
- вторичный кариес — возникновение кариеса на запломбированном пролеченном зубе (кариозное поражение, возникшее вокруг очага ранее купированного кариозного процесса, в области депульпированных зубов и кариес, расположенный под искусственной коронкой).
- По наличию или отсутствию осложнений:
- осложнённый кариес — кариозный процесс с развитием периодонтита и пульпита;
- неосложнённый кариес.
Осложнённый и неосложнённый кариес - По количеству затрагиваемых зубов:
- единичный кариес — затрагивается не более пяти зубов;
- множественный кариес — в кариозный процесс вовлечено более пяти зубов.
Различают также понятие "цветущий кариес" — острый процесс, который затрагивает большинство зубов.
Цветущий кариес
Анатомы делят кариес на:
- кариес коронки зуба;
- кариес шейки зуба;
- кариес корня зуба.
Локализация кариеса
Кариес может поражать различные участки зубов, поэтому по месту локализации выделяют четыре формы кариеса:
- фиссурный кариес — кариозное поражение поверхности жевательных зубов и премоляров;
- апроксимальный карисес — возникает между зубами;
- пришеечный кариес — образуется в области шейки зуба;
- циркулярный кариес — кариозное поражение, опоясывающее область шейки зуба.
Формы кариеса
По стадии развития — в зависимости от глубины поражения и быстроты течения кариозного процесса, различают четыре формы кариеса:
- Начальный кариес или кариозное пятно — жалобы отсутствуют; на поверхности зуба обнаруживается пятно меловидного цвета.
- Поверхностный кариес — поражена только эмаль зуба; жалобы либо отсутствуют, либо возникает боль от химических и температурных раздражителей.
- Средний кариес — поражена эмаль и поверхностный слой дентина; болевая реакция может быть не выражена или возникать от приёма пищи и механического раздражения при вскрытии кариозной полости.
- Глубокий кариес — поражена эмаль и значительный слой дентина, но над полостью зуба остаётся его тонкая прослойка; боли возникают от действия механических, химических и температурных раздражителей; при длительном течении кариозного процесса болевые симптомы менее выражены.
Классификация кариеса по глубине поражения
По течению выделяют острые и хронические формы кариеса. При этом не стоит забывать об острейших и бессимптомных формах заболевания.
Всемирная организация здравоохранения также имеет свою классификацию, согласно которой кариес подразделяется на:
- начальный кариес;
- кариес эмали;
- кариес дентина;
- кариес цемента;
- приостановившийся кариес (когда кариозный процесс стабилизирован).
Стоит также отметить, что существуют кариесовосприимчивые зоны. В связи с этим кариес может быть:
- типичным — располагается в естественных углублениях зубов, контактных поверхностях, а также в пришеечных областях;
- атипичным — чаще всего локализуется в областях, устойчивых к образованию кариеса, например: экватор, бугры жевательных зубов, оральные поверхности зубов, в зоне корня зуба.
Осложнённый и неосложнённый кариес