Почему неправильная чистка зубов может навредить вашему здоровью
- Почему неправильная чистка зубов может навредить вашему здоровью
- Связанные вопросы и ответы
- Какие основные ошибки люди совершают при чистке зубов
- Почему использование слишком жёсткой щетки может быть вредным
- Как часто следует менять зубную щётку, чтобы избежать ошибок в чистке
- В чём опасность слишком сильного давления на зубы при чистке
- Может ли неправильная техника чистки зубов привести к эрозии эмали
- Как определить, что вы используете зубную пасту правильно
- Какие последствия могут возникнуть из-за слишком редкой чистки зубов
Почему неправильная чистка зубов может навредить вашему здоровью
Еда — один из агрессивных факторов, способствующих формированию кариеса и воспаления десен, и, как следствие, неприятного запаха изо рта. Остатки пищи прилипают к зубам, становясь питательной средой для размножения флоры. После приема пищи в полости рта меняется рН в кислую сторону — это наиболее приемлемая среда для размножения большинства микроорганизмов. Все эти процессы являются предрасполагающим фактором для развития кариеса.
Как остановить этот процесс? Почистить зубы — механическое очищение позволяет удалить остатки пищи, сменить рН в щелочную сторону, при которой размножение флоры сдерживается. Ни один стоматолог не будет отрицать необходимость чистки зубов после каждого приема пищи, но делать это нужно правильно.
Запрещено чистить зубы сразу после приема пищи — между этими процессами должны пройти как минимум полчаса. Если же игнорировать эти рекомендации, то в перспективе это может закончиться формированием трещин на эмали, которые быстро осложняются кариесом.
Уход за полостью рта редко проходит без использования дополнительных средств, например, ополаскивателей. Некоторые из них обладают слишком ярким вкусом, вследствие чего возникает желание прополоскать рот водой. После чистки зубов и использования ополаскивателей запрещены полоскания. Этот процесс способствует смыванию всех лекарственных компонентов, которые уже не попадут к зубам и деснам, следовательно, ополаскиватели окажутся лишь наполовину эффективными.
Связанные вопросы и ответы:
Вопрос 1: Какие самые распространенные ошибки при чистке зубов
Среди самых распространенных ошибок при чистке зубов можно выделить использование жесткой зубной щетки, которая может травмировать десны и стачивать эмаль. Еще одной ошибкой является неправильная техника чистки, например, горизонтальные движения вместо рекомендуемых вертикальных или круговых. Также многие люди забывают чистить внутренние поверхности зубов и язык, что может привести к неприятному запаху изо рта и другим проблемам. Некоторые используют слишком много или слишком мало зубной пасты, что не улучшает качество чистки. Кроме того, многие не меняют зубную щетку достаточно часто, что снижает ее эффективность.
Вопрос 2: Какие последствия для зубов и десен от использования слишком жесткой зубной щетки
Использование слишком жесткой зубной щетки может привести к травмам десен, таким как кровотечение и отступление десны, что может обнажить шейки зубов и вызвать повышенную чувствительность. Кроме того, жесткая щетка может стачивать эмаль зубов, делая их более восприимчивыми к кариесу и другим повреждениям. В некоторых случаях это может привести к необходимости сложного лечения, такого как наложение пломб или даже удаление зубов. Поэтому важно выбирать щетки с мягкими или средними щетинками, чтобы избежать таких последствий.
Вопрос 3: Почему важно чистить не только передние, но и задние зубы
Задние зубы, или моляры, часто более подвержены накоплению пищи и бактерий из-за их расположения и сложной структуры. Если не чистить задние зубы регулярно, это может привести к образованию кариеса, воспалению десен и другим проблемам с полостью рта. Кроме того, задние зубы играют важную роль в пережевывании пищи, и их здоровье напрямую влияет на общее самочувствие. Чистка задних зубов помогает удалить остатки пищи и бактерии, предотвращая их накопление и развитие патологий.
Вопрос 4: Может ли недостаточное время чистки зубов привести к проблемам с полостью рта
Да, недостаточное время чистки зубов может привести к проблемам с полостью рта. Если чистка проводится слишком быстро, не все остатки пищи и бактерии удаляются, что может вызвать кариес, воспаление десен и другие проблемы. Рекомендуется чистить зубы не менее двух минут, чтобы обеспечить тщательное удаление всех загрязнений. Недостаточное время чистки может также привести к накоплению зубного камня, который требует профессионального удаления и может вызвать более серьезные проблемы со здоровьем полости рта.
Вопрос 5: Как часто следует менять зубную щетку
Toothbrush должна меняться каждые три месяца или при явном износе щетинок, например, когда они становятся разбухшими или деформированными. Использование изношенной щетки может привести к менее эффективной чистке и увеличению риска травм десен. Также рекомендуется менять щетку после болезни, чтобы избежать повторного заражения. Регулярная смена щетки помогает поддерживать хорошую гигиену полости рта и предотвращать развитие различных стоматологических проблем.
Вопрос 6: Почему горизонтальные движения зубной щетки считаются вредными
Горизонтальные движения зубной щетки могут быть вредными, потому что они могут травмировать десны, особенно если щетка используется с большим нажимом. Это может привести к кровотечению десен, их отступлению и обнажению шеек зубов. Кроме того, такие движения могут стачивать эмаль зубов, делая их более восприимчивыми к кариесу и другим повреждениям. Рекомендуется использовать вертикальные или круговые движения, которые более мягко и эффективно очищают зубы без вреда для десен и эмали.
Вопрос 7: Может ли чистка зубов сразу после еды нанести вред
Да, чистка зубов сразу после еды, особенно после потребления кислых продуктов, может нанести вред. Кислые продукты, такие как соки, газированные напитки или фрукты, могут временно размягчить эмаль зубов. Чистка в это время может повредить эмаль, стирая ее и делая зубы более уязвимыми. Рекомендуется ждать около часа после еды, прежде чем чистить зубы, чтобы эмаль успела восстановиться. Это помогает избежать повреждений и сохранить здоровье зубов.
Какие основные ошибки люди совершают при чистке зубов
Чем жестче зубная щетка, тем лучше она чистит зубы?
Или же так можно навредить?
Индекс жесткости щетины зубных щеток измеряется в ньютонах на мм².
Определяется он на специальном приборе, который имитирует трение щетины о зубы.
Жесткость щетины должна указываться на упаковке.
1. У жестких зубных щеток это «hard», «x-hard» или «extra hard».
Главное их отличие — это плотно расположенные щетинки большого диаметра.
Также есть щетки с комбинированным типом щетины: более мягкий и жесткий участки.
✔️Зубные щетки с жесткой щетиной нужно использовать только по назначению врача.
Чаще всего они нужны при чистке полных съемных протезов.
Для родных зубов их использовать не рекомендуется.
2. Щетки с комбинированной щетиной подойдут:
- людям со склонностью к усиленному образованию и минерализации зубного налета.
- с одиночными коронками;
- со скученностью зубов (при условии, что эмаль и дёсны в порядке).
• Самая главная опасность жесткой зубной щетки состоит в том, что ее частое и интенсивное использование может привести к истиранию эмали.
• Может появиться чувствительность зубов от механического, химического или термического раздражения.
• Грубое механическое воздействие зубной щеткой также приводит к возникновению абфракционного (клиновидного) дефекта, к увеличению чувствительности и кровоточивости десен.
✔️Обычному здоровому взрослому лучше выбирать щетку средней жесткости (medium).
❗Не забывайте менять ее каждые 3 месяца или после перенесенного заболевания.
Селютина Юлия Игоревна
Остались вопросы? Запишитесь на консультацию к нашим специалистам.
Почему использование слишком жёсткой щетки может быть вредным
У каждого человека есть в арсенале зубная щетка. Но многие люди не задумываются о том, сколько времени можно ей пользоваться и требуется ли ее замена?
Оказывается, правильный выбор чистящего инструмента, уход за ним и своевременная замена играют большую роль для сохранения здоровья зубов . Поэтому вы просто обязаны знать, как часто следует менять зубную щетку.
Замена зубной щетки: стоматологи рекомендуют
С раннего детства детей приучают чистить зубы. При двукратной ежедневной чистке щетка изнашивается. Если пользуетесь инструментом более двух месяцев, можете увидеть, что щетинки расслоились, стали мягкими, а верхушки стерлись. Из-за этого качество чистки становится хуже , налет на эмали не очищается. Длительное применение способствует оседанию микробов и бактерий на щетинках. Они попадают в межзубные промежутки, в результате можно заполучить воспаление десен и заболевание зубов.
Сигналом о замене может послужить также ставший неприглядным внешний вид.
По мнению врачей-стоматологов , менять чистящий инструмент надо каждые два-три месяца и взрослым, и детям. Если же было перенесено какое-либо инфекционное или простудное заболевание, желательно произвести замену сразу, не дожидаясь рекомендуемого срока.
Как выбрать зубную щетку?
Наиболее удачный выбор — это зубная щетка с щетиной средней жесткости . Она позволит не испытывать дискомфорт при чистке. Щетки с жесткой щетиной желательно использовать по назначению стоматолога (если у вас имеется патологическое
образование отложений на зубной эмали).
Обратите внимание на то, чтобы щетинки были расположены под наклоном. Тогда налет будет удаляться эффективнее. Чистящие качества улучшают антибактериальное покрытие и лазерная обработка. Лучше всего, если будет установлен индикатор износа.
Если отдаете предпочтение электрическим щеткам , приобретайте сразу запасные насадки. Это позволит вовремя произвести замену.
Правила ухода за зубной щеткой
После чистки зубов рекомендуется промыть щетку, используя мыло . Затем встряхнуть и поставить в стаканчик щетинками вверх. Если в стакане стоят щетки нескольких членов семьи, нужно следить, чтобы они не соприкасались.
Когда вы отправляетесь в поездку, щетку рекомендовано промыть, высушить и поместить в специальный футляр . Это позволить избежать деформации и сохранить ее в чистоте.
Для очистки и дезинфекции выпускаются специальные стерилизаторы с ультрафиолетом или озоном . Поместите в прибор на несколько минут щетку ― 99% микробов уничтожено.
Зубная щетка для детей
Приучать ребенка чистить зубы желательно в возрасте одного года. Начиная с шестимесячного возраста, мама чистит зубки смоченным в кипяченой воде бинтиком или специальным колпачком с мягкой щетиной. Для годовалого ребенка лучше приобрести щетку с искусственной мягкой щетиной.
При покупке щеток для детей выбирайте яркие расцветки, чтобы малыши с удовольствием осваивали правила гигиены полости рта .
По мнению специалистов, использовать электрические щетки для детей можно только с шести лет . Насадки на ней подлежат замене через два-три месяца, как и замена простой щетки. Обратите внимание, что после того, как ребенок переболел простудой или перенес другое заболевание, обязательно должна быть произведена замена.
Следуйте рекомендациям специалистов: вовремя меняйте зубные щетки! Сохраните здоровье зубов — так рекомендует и « Цифровая стоматология » в Калининграде.
Как часто следует менять зубную щётку, чтобы избежать ошибок в чистке
а) Силовое усилие при чистке . В исследовании, проведенном среди взрослых пациентов, не проходивших специального обучения гигиене полости рта, установлено, что значение силового воздействия при чистке зубов составляет 2,3±0,7 Н, максимум — 4,1 Н (Ganss et al., 2009а). Доказано, что при использовании электрических зубных щеток силовое воздействие значительно ниже (около 1,0 Н) (van der Weijden et al., 1996c), чем при применении ручных щеток. McCracken и соавт. (2003) установили, что при изменении давления от 0,75 до 3,0 Н эффективность удаления налета начинала возрастать после превышения порогового значения прилагаемой силы в 1,5 Н (при использовании электрической зубной щетки).
В исследовании, проведенном с участием профессионалов, их просили чистить зубы с давлением 1,0; 1,5; 2,0; 2,5 и 3,0 Н, при этом определяли степень очищения зубов. Эффективность очищения возрастала при увеличении силового воздействия от 1,0 до 3,0 Н (van der Weijden et al., 1996c). Hasegawa и соавт. (1992) оценили эффект воздействия различных силовых усилий при чистке зубов на степень удаления налета при повышении усилий на каждые 100 г (по шкале от 100 до 500 г). Результаты подтвердили данные более ранних исследований и показали, что с увеличением силы происходит удаление большего количества налета. Кроме того, авторы установили, что использование силового воздействия, эквивалентного 300 г, наиболее эффективно при использовании ручных зубных щеток как у детей, так и у взрослых.
Сила, превышающая 300 г, вызывала появление болезненных ощущений и кровоточивости десен. Исследование эффективности использования зубных щеток в соответствии с применяемым силовым воздействием показало, что взаимоотношение между силой и эффективностью нелинейное (van der Weijden et al., 1998a). При использовании ручных щеток установлено наличие положительной корреляции между эффективностью и силовым воздействием (до 4,0 Н): чем больше силовое воздействие, тем больше эффективность удаления налета. Однако эффективность снижается при превышении силового воздействия 4,0 Н. Возникает обратная (негативная) корреляция (считают, что это следствие деформации щетинок зубной щетки). При воздействии выше 4,0 Н очищение поверхности зубов происходит уже не за счет контакта с кончиками щетинок, поскольку щетинки изгибаются, а за счет боковых поверхностей щетинок. Силовое воздействие — не единственный фактор, определяющий эффективность чистки.
Другие факторы, такие как движения щетки, размер головки, время чистки и мануальные навыки, могут оказывать даже большее влияние на эффективность чистки.
Чрезмерное силовое воздействие — фактор, который частично связан с травмированием (повреждением) тканей десны. Специально для пациентов, которые применяют чрезмерное давление при чистке зубов, производители электрических зубных щеток представили модели с ограничителями силового воздействия и, соответственно, снижением риска повреждения мягких и твердых тканей. Однако наличие линейной корреляции между силовым воздействием на щетку и повреждением тканей десны до настоящего времени не подтверждено. Исследования in vitro подтвердили, что после чистки зубов с чрезмерным силовым воздействием не произошло ни тотальной потери минеральных компонентов, ни пространственной потери минерализированного дентина (измерение проводили с помощью профилометрии). Матрица деминерализованного органического дентина была крайне устойчивой к механическому воздействию даже при условии использования чрезмерных сил (Ganss et al., 2009b).
Mierau и Spindler (1989) представили количественную оценку девяти сеансов чистки у 28 человек. Изучали результаты различного силового воздействия на ткани зубов. Сила воздействия варьировала в диапазоне от 1,0 до 7,4 Н. При визуальном осмотре авторы не обнаружили каких-либо поражений зубов после чистки с использованием силы менее 2 Н. При силовом воздействии более 2 Н такие факторы, как время, метод и частота чистки, определяли появление острых очагов поражения. Burgett и Ash (1974) доказали, что потенциальный негативный эффект связан с применением локального силового воздействия, то есть с компрессией тканей. Следует учитывать, что головка ручной зубной щетки имеет больший размер по сравнению с электрической. Поскольку силовое воздействие щетки распределено по всей ее поверхности, можно предположить, что давление от ручной щетки будет меньше, чем от электрической. Van der Weijden и соавт. (1996с) не выявили разницы давления, оказываемого мягкими ручными (11,33 г/мм2) и электрическими (11,29 г/мм2) щетками.
В чём опасность слишком сильного давления на зубы при чистке
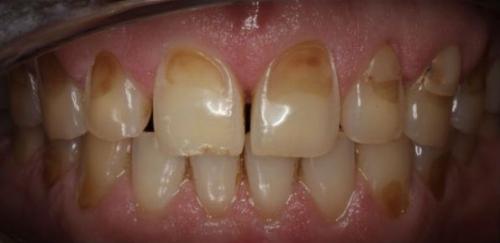
Эрозия твёрдых тканей зуба — это прогрессирующий дефект, при котором разрушаются эмаль и дентин. Диагностируется преимущественно у пациентов среднего и пожилого возраста. Обычно встречается на верхних резцах и клыках, имеет симметричный характер. Нижние резцы и края зубов поражаются крайне редко.
Разрушение эмали и дентина
На раннем этапе эрозия имеет вид округлого дефекта с гладким дном на выступающей части передней поверхности резцов. Со временем эмаль полностью стирается, обнажается дентин, который затем тоже убывает. На начальной стадии дефект эмали может иметь размер всего несколько миллиметров, но при отсутствии своевременной стоматологической помощи поражается вся поверхность зуба. Если зона поражения находится в пределах эмали, цвет резцов не меняется. При обнажении дентина появляются жёлтые пятна.
В отличие от кариеса , эрозивные дефекты не связаны с размножением в ротовой полости патогенной микрофлоры.
Причины эрозии зубов. Деминерализация эмали, которая приводит к возникновению эрозий, может быть вызвана разными причинами:
1. Химическая теория. Чаще всего эрозии вызваны воздействием различных кислот:
- Кислот, содержащихся в продуктах. У многих пациентов разрушение резцов связано с пищевыми привычками, а именно употреблением продуктов, содержащих кислоты. К ним относятся цитрусовые, кислые фрукты, кетчупы, уксус, майонез, горчица, соленья, газированные сладкие напитки, кисломолочные продукты, сухие вина. Если регулярно употреблять их, страдает эмаль зубов.
- Кислот на химических производствах. Люди, постоянно контактирующие с кислотами, тоже подвержены эрозии зубов.
- Кислоты́ желудочного сока. При гастроэзофагеальном рефлюксе происходит заброс содержимого желудка в ротовую полость, что тоже негативно влияет на эмаль. Если этот процесс происходит постоянно, развивается эрозия. .
Может ли неправильная техника чистки зубов привести к эрозии эмали
Наверняка вы обращали внимание, что на ребристой поверхности задней части тюбиков зубных паст (и тюбиков с другим содержимым) нанесены цветные разметки. А задавались ли вы вопросом, что они обозначают?

В интернете можно встретить несколько мнений на этот счет:
1. Они указывают на экологичность содержимого
Например, зеленый квадратик/прямоугольник/полоска указывает на 100% натуральность компонентов, черный, наоборот, говорит о синтетическом составе, красный — продукт сочетает в себе как натуральные (30%), так и химические вещества (70%), а синий — включает лекарственные компоненты.
2. Полоски на шве тубы указывают на частоту использования
Синяя полоска говорит о возможности профилактического ежедневного использования пасты, а вот красные или черные метки — о необходимости делать перерывы из-за высокой концентрации лекарственных или отбеливающих эмаль компонентов.
3. Цветная маркировка подсказывает степень абразивности
Например, зеленая маркировка — что в составе пасты есть мелкие частицы, которые мягко счищают налет и подходят для профилактического применения. Красный квадратик — абразивы средней величины, а синий или черный — крупные частицы, которые быстро устраняют налет, осветляют эмаль, но при длительном применении могут нанести вред.
Как мы видим, большинство мнений склоняются к тому, что зеленая маркировка лучше, что по сути неверно, однако и не лишено смысла. На самом деле все немного проще.
Такая цветная маркировка — лишь стандартная разметка для облегчения процесса производства тюбиков, она позволяет оптимизировать затраты на их изготовление. Главное правило — отметка должна контрастно выделяться на общем фоне, тогда ее считает специальный датчик и оборудование на конвейере правильно разрежет заготовку. В дальнейшем тубус с одной стороны запаивается, а с другой — заполняется пастой.
При этом встречаются тюбики и вовсе без меток, при изготовлении которых датчики ориентируются на другие элементы дизайна.
Однако, если вы человек наблюдательный, то заметили, что цвет метки на тюбике обычно полностью или частично совпадает с цветом шрифта на нем. Так как производители зачастую используют зеленый цвет, чтобы подчеркнуть натуральность компонентов в составе, отсюда, вероятно, и пошло заблуждение про маркировку на шве.

Но на тубусе зубных паст может быть и другая маркировка, на которую действительно стоит обращать внимание.
1. Ppm — указывает на концентрацию фтора в зубной пасте (сколько миллиграммов фтора в килограмме).
Все мы знаем, что фтор защищает зубную эмаль от кариеса (участвует в ее реминирализации), однако переизбыток фтора вреден для организма.
Поэтому при ежедневном применении концентрация фтора в пастах для взрослых должна быть 0,13-0,15% (1350-1500 ppm). Для детей этот показатель ниже, так как они часто глотают пасту (0,1% или 1000 ppm).
2. RDA — индекс абразивности пасты.
Отражает насыщенность пасты твердыми абразивными частицами, которые счищают налет и осветляют эмаль.
Для ежедневного безопасного использования рекомендуют пасты с индексом RDA 50-90.
3. М (6М, 12М или 24М) — срок годности пасты.
Говорит о числе месяцев, в течение которых можно использовать пасту после вскрытия тюбика.
Как определить, что вы используете зубную пасту правильно
- Кариес. Это заболевание оказывает разрушающее воздействие на зубную эмаль, из-за этого появляются полости в зубных единицах. Если заболевание не лечить, то оно будет прогрессировать, постепенно разрушая зуб, в итоге все может закончиться его удалением. Разрушающийся зуб будет болеть, и доставлять дискомфорт;
- Периодонтит. Бактерии, накапливающиеся в ротовой полости, вырабатывают ферменты, разрушающие зубы. Периодонтит быстро прогрессирует, распространяется на соседние зубы и затрагивает десна, поэтому лечить его нужно сразу при появлении первых симптомов;
- Диабет. Хроническая патология. Результаты исследований подтверждают наличие взаимосвязи между воспалением десен и диабетом. У пациентов, игнорирующих гигиену полости роста, во многих случаях диагностируется диабет;
- Заболевания сердца и сосудов. Скопившиеся на поверхности зубов бактерии, появившиеся из-за отсутствия чистки зубов, попадают в кровь и начинают влиять на функционирование органов. В качестве примера можно рассмотреть снижение эффективности работы защитных механизмов. Также в зоне риска оказывается сердечная мышца и сосуды. В некоторых случаях врачи диагностируют у пациентов болезнь Альцгеймера;
- Неприятный запах изо рта. Если не чистить зубы каждый день, то на них будут скапливаться отложения и остатки пищи. В таких условиях происходит распространение бактерий. Налет, отложения и остатки пищи делают запах изо рта неприятным, что приносит дискомфорт, как самому человеку, так и окружающим;
- Гингивит. Среди симптомов этого заболевания можно выделить возникновение воспалительного процесса и отеков, также начинают кровоточить десны. Если не чистить зубы или не обращаться к врачу при проявлении первых симптомов, у человека на постоянной основе будут возникать болевые ощущения;
- Разрушение зубной эмали. Она выполняет важную функцию, обеспечивает защиту зубов от влияния совокупности факторов. В качестве примера можно рассмотреть высокую температуру в ротовой полости, необходимую для разложения остатков пищи, являющихся источником питания бактерий. Если зубная эмаль будет разрушена, то защита зубов снизится, что повысит вероятность возникновения кариеса на них;
- Пятна на зубах. Потребляемая пища и напитки могут стать причиной изменения цвета зубов, что проявляется в их потемнении или появлении пятен. Частое употребление кофе, вина может привести к таким последствиям. Это же касается и сигарет. Если пятно сохраняется в течение длительного промежутка времени, то решить проблему поможет профессиональная чистка зубов;
- Инсульт. Игнорирование гигиены ротовой полости на постоянной основе является фактором, повышающим вероятность инсульта или сердечного приступа. Бактерии из ротовой полости попадают в кровь и оседают на стенках кровеносных сосудов, если они ведут к сердечной мышце или мозгу, то поступление крови может быть ограничено. Клетки в сердце, не получая достаточно крови, погибают, следствием этого является ухудшение работы органа и появление патологий.
Какие последствия могут возникнуть из-за слишком редкой чистки зубов
Рис. 1. Твёрдый зубной налёт.
Зубной налёт бывает мягким и твёрдым. Кальцифицированный налёт называется ещё зубным камнем. Зубной камень и налёт могут располагаться над десной и под десной. Наддесневой зубной камень, как правило, более светлый, поддесневой – темнее.
Рис. 2. Зубной камень.
Мягкие зубные отложения можно самостоятельно устранить путём эффективной очистки обычной зубной щёткой. Вращающаяся электрическая щётка может частично убрать твёрдый наддесневой налёт. Полностью удалить его, а также зубной камень можно только в кресле стоматолога. Эта процедура называется профессиональной гигиеной полости рта.
Рис. 3. Мягкий зубной налёт.
Ранее чистка проводилась с использованием ручных экскаваторов и кюрет Грейси. С конца XX века этот метод стал постепенно уступать место ультразвуковой и воздушно-абразивной обработке (AirFlow). Воздушно-абразивной обработкой можно удалить только наддесневой налёт. Наддесневой зубной камень AirFlow устраняет с трудом – лучше использовать в этом случае ультразвук. Ультразвуком убираются любые виды зубных отложений, но наддесневой налёт удалять им не рекомендуется, поскольку это может привести к появлению трещин эмали. Таким образом, наилучшим вариантом гигиенической чистки является комбинация этих двух вариантов.
Рис. 4. Наконечник для воздушно-абразивной обработки Airflow (EMS, Швейцария).
Альтернативным вариантом профессиональной чистки зубов является система Вектор. Аппарат Vector Paro более щадяще действует на зубы, но при этом качество очищения ниже по сравнению с ультразвуком.
Рис. 5. Наконечник Vector Paro (Durr, Германия).
Польза
Вопреки распространённому убеждению доказательств полезности профессиональной гигиены в отношении предотвращения развития кариеса в настоящее время нет.
Зато профессиональная чистка является хорошей профилактикой пародонтита . Более того, при гингивите и лёгких формах пародонтита она может оказаться единственным методом лечения. Устраняя зубной камень, снимается воспаление маргинальной десны – таким образом состояние пародонта нормализуется, и других способов лечения не требуется.
Удаление наддесневого тёмного пигментированного налёта улучшает внешний вид. Иногда даже профессиональную гигиену путают с отбеливанием. При отбеливании изменяется структура тканей зуба химическим путём, при чистке только устраняет налёт, прилипший к поверхности (сам цвет зубов не меняется, но визуально они выглядят светлее, чем с тёмным налётом).
Вред
Воздушно-абразивная обработка представляет собой частицы порошка, под давлением вылетающие из стоматологического аппарата и выбивающие поверхностный слой зубных отложений. Долгое время основными чистящими средствами были сода (NaHCO3) и мел (CaCO3). Они и сейчас широко применяются при чистке, но в последнее десятилетие на смену им приходят глицин и эритритол - более щадящие по отношению к тканям зуба абразивы. Ведь кроме зубных отложений во время чистки снимается и наружная часть эмали (совсем незначительное, незаметное глазу количество). Опасения ежегодными чистками сточить себе полностью эмали не обоснованы, однако после применения AirFlow поверхность зуба становится неровной. Причём не только там, где был налёт, но и на соседних участках (куда попадает порошок соды). Это приводит к быстрому повторному прилипанию налёта. Для устранения этого недостатка рекомендуется полировка зубов щётками и пастами после чистки в кресле стоматолога. Однако, следует понимать, что вращающаяся щётка может добраться далеко не до всех мест зуба, где побывали мини-частицы порошка. Контактные поверхности в большинстве своём отполировываются плохо.