Гигиена зубов и полости рта: основные принципы и правила
- Гигиена зубов и полости рта: основные принципы и правила
- Связанные вопросы и ответы
- Как часто нужно чистить зубы
- Какие средства для чистки зубов лучше использовать
- Как правильно чистить зубы
- Как часто нужно менять зубную щётку
- Как предотвратить кариес зубов
- Как устранить зубную патологию
- Как правильно чистить язык
- Как предотвратить гингивит
Гигиена зубов и полости рта: основные принципы и правила
Индивидуальная гигиена полости рта – это снятие зубного налета самим пациентом дома с использованием различных средств гигиены, проще говоря - это домашняя чистка зубов. Домашняя гигиена не всегда позволяет убрать все зубные отложения, но правильная гигиена позволяет снизить количество зубного налета и бактерий.
Зубная щетка
Зубная щетка должна быть мягкой. Для многих это удивительно, потому что большинство привыкли пользоваться щеткой высокой и средней жесткости – но это неправильно.
При использовании мягкой щетки сначала будет казаться, что гигиена проводится некачественно, но в этом есть свои преимущества - времени на чистку будет уходить больше, а гигиена будет проводиться должным образом.
Благодаря мягкой зубной щетке снижается риск травматизации эмали и десен. Зубная щетка должна обладать ровной густой щетиной.
Монопучковая зубная щетка
Позволяет наиболее тщательно очистить зону десневой борозды. Монопучок очищает места, недоступные для обычной щетки.
Монопучковой щеткой удобно пользоваться при выраженном рвотном рефлексе. Такая щетка является обязательным средством гигиены, ей можно чистить зубы без использования зубной пасты.
Правила пользования монопучковой щеткой:
- Удерживаем монопучковую щетку вертикально
- Размещаем щетку таким образом, чтобы щетинки оказались вокруг линии десны
- Передвигаем пучок от одного зуба к другому вдоль линии десны мягкими штрихующими движениями
- Не давим
- Эти же действия повторяем со стороны внутренней поверхности зубов
Зубная нить
Зубная нить (флоссы) должна быть безопасной и не травмировать десну при правильном использовании. Зубные нити можно классифицировать по цвету, толщине и структуре волокон.
Классификация зубных нитей:
КЛАССИФИКАЦИЯ | |||
| классификация: | По форме: |
| |
| классификация: | По обработке: |
| |
| | |
Связанные вопросы и ответы:
1. Какие продукты питания могут привести к кариесу зубов
Продукты с высоким содержанием сахара и крахмала, такие как сладкое, хлеб, паста и картофель, могут привести к кариесу зубов, так как бактерии в ротовой полости превращают сахар в кислоту, которая разрушает эмаль зубов.
1. Как часто нужно чистить зубы
Зубы нужно чистить минимум два раза в день - утром и вечером, а также после каждого приема пищи, если это возможно.
1. Какие средства для гигиены полости рта существуют
Существуют различные средства для гигиены полости рта, такие как зубные щётки, зубные нити, зубные пасты, зубные насадки, зубные полотенца и зубные порошки.
1. Как правильно чистить зубы
Чтобы правильно чистить зубы, нужно использовать зубную щётку с мягкими щетинками и зубную пасту. Зубы нужно чистить по кругу, начиная с верхней челюсти, затем переходить к нижней. В процессе чистки нужно обращать внимание на задние зубы и места между зубами.
1. Как часто нужно менять зубную щётку
Зубную щётку нужно менять каждые 3-4 месяца или раньше, если щетинки становятся сжатыми или изношенными.
1. Как предотвратить кариес зубов
Чтобы предотвратить кариес зубов, нужно соблюдать правила гигиены полости рта, регулярно чистить зубы, использовать зубную нить и зубную пасту с флуором, избегать продуктов с высоким содержанием сахара и посещать стоматолога регулярно.
Как часто нужно чистить зубы
Основываясь на самых популярных заблуждениях, в том числе как часто нужно чистить зубы, мнениях стоматологов и рекомендациях по оптимальной гигиене полости рта, мы разобрали основные мифы, связанные с чисткой зубов.
Миф первый: частая чистка разрушает зубы
Стоматологи рекомендуют чистить зубы не менее 2 раз в сутки — утром и перед сном. Утренний уход за зубами и полостью рта рекомендуется проводить после завтрака, чтобы удалить скопившийся за ночь налёт и одновременно очистить полость рта после приема пищи. Тогда в течение дня будет меньше образовываться бактериальный налёт и дольше сохранится свежее дыхание. Перед завтраком можно пользоваться ополаскивателем для полости рта, чтобы убрать неприятные ощущения или привкус после пробуждения.
Вечерний уход за полостью рта рекомендуется проводить после всех приёмов пищи, чтобы предотвратить размножение бактерий во время сна. В тщательно очищенной полости рта ночные обменные процессы, выделение слюны, самостоятельное очищение и восстановление слизистой происходит физиологично.
Частая чистка может привести к микротравмам эмали и слизистой, а активные компоненты зубной пасты могут изменить биологическое равновесие в полости рта.
Людям с некоторыми стоматологическими проблемами приходится проводить гигиену чаще — например, тем, кто носит брекеты . Индивидуальные рекомендации даются в зависимости от заболевания или состояния, вызвавшего их необходимость.
Миф второй: утром нужно чистить зубы тщательнее
Тщательной должна быть каждая чистка зубов. Гигиена полости рта будет достаточно эффективной в борьбе с кариесом только тогда, когда и утром, и перед сном будут тщательно очищены зубы, промежутки между ними и слизистая.
Необходимость утренней чистки зубов обусловлена тем, что во время сна в человеческом организме изменяются многие физиологические процессы, в том числе выработка слюны. Из-за этого во рту становится чрезмерно сухо, ухудшается противомикробная активность, а бактериальный налёт на зубах формируется очень быстро.
Если почистить зубы сразу после пробуждения, это поможет устранить сухость и связанные с ней процессы, но после завтрака в межзубных промежутках и на зубах останутся незаметные частички пищи. Они активизируют образование налёта, способствуют появлению неприятного запаха изо рта . Поэтому стоматологи рекомендуют чистить зубы с помощью зубной щётки и зубной пасты, флосса (зубной нити) и ополаскивателя для полости рта после еды.
Важность вечернего ухода не менее значима. В течение дня после приёма пищи, напитков, общения и недостаточного потребления чистой воды происходит изменение бактериального состава на поверхности зубов и слизистой оболочки полости рта. Частички пищи, табака, красящие вещества чая, кофе, соков — всё это остаётся на зубах и между ними, а питающиеся этим бактерии в процессе жизнедеятельности повреждают эмаль.
Миф третий: неважно, как часто надо чистить зубы, главное — это хорошая зубная паста и жёсткая зубная щётка
Выбор средств для гигиены полости рта требует вдумчивого подхода с учётом индивидуальных потребностей каждого члена семьи, их возраста, наличия стоматологических проблем или заболеваний. Детям и пожилым нужна мягкая, нетравмирующая щетина. Тем, кто страдает от повышенной чувствительности эмали, — мягкие неабразивные пасты. Проконсультировать по подбору средств может стоматолог или гигиенист.
.Какие средства для чистки зубов лучше использовать
Все пасты для чистки зубов можно разделить на две большие группы: со фтором и без фтора. Стоматологи советуют использовать пасты со фтором, потому что соединения фтора встраиваются в кристаллическую структуру эмали, заполняя её изнутри и даже восстанавливая на начальной стадии разрушения – когда кариес еще на стадии пятна.
Если внимательно почитать состав пасты на тюбике - можно увидеть количество фтора, оно рассчитывается в ppm. Количество фтора в пасте для взрослого должно быть не меньше 1450-1500 ppm , пасты с меньшим уровнем фтора малоэффективны против кариеса .
Важно, какое именно соединение фтора используется в пасте. Самыми эффективными признаны фторид натрия (Sodium fluoride) и аминофторид (Aminofluorid/Olaflur) , аминофторид даже образует на эмали своеобразную защитную плёнку. При выборе пасты рекомендуется отдавать предпочтение продукту с содержанием этих веществ. Например, Curaprox Enzycal 1450, Miradent Mirasensitive hap+, Miradent Mirafluor C, R.O.C.S. Teens .
Зубные пасты без фтора можно использовать людям с высокой устойчивостью к кариесу, у которых почти нет пломб. Такие пасты создаются на основе очищающих ферментов, соединений кальция и растительных экстрактов. Например, все пасты Splat производятся без фтора. Есть бесфтористые пасты среди R.O.C.S., Elmex и Biorepair .
Если у вас склонность к кариесу, то вам можно пользоваться и пастами без фтора, но лучше сочетать их с фторсодержащими и применять курсами, чередовать.
Однако при домашней гигиене полости рта гораздо важнее методика чистки зубов, чем то, какая у вас паста. Если вы тщательно вычищаете налёт со всех поверхностей зубов, то любая паста будет работать на ура.

Как правильно чистить зубы
Будет верным чистить зубы до завтрака, поскольку после сна во рту скапливаются микроорганизмы. Не почистив зубы, вы рискуете занести патогенную микрофлору в желудок и кишечник. Вечером рекомендуется чистить зубы перед сном и не принимать пищу после гигиенических процедур.алгоритм правильной чистки зубов обычной (традиционной, ручной) и электрической щетками
рекомендуется придерживаться правильной последовательности чистки зубов:- 1. Сначала необходимо промыть щетку или насадку электрической щетки под проточной водой и нанести на нее пасту размером с горошину.
- 2. Чистку зубов начинают с наружной поверхности боковых зубов, продвигаясь к середине. Правильная техника чистки зубов подразумевает, что нужно держать щетку под углом 45о. В случае использования обычной зубной щетки необходимо выполнять правильные движения, а именно – по 4-5 выметающих движений сверху вниз на верхней челюсти и снизу вверх на нижней. При применении электрической зубной щетки никаких движений делать не нужно, кроме как передвигать ее от дальних зубов к передним, задерживаясь на каждом по несколько секунд без чрезмерного надавливания.
- 3. Затем требуется произвести аналогичные действия с внутренней стороны.
- 4. Далее очистить жевательные поверхности тоже в направлении от задних зубов к передним, производя круговые движения.
- 5. Следом нужно помассировать щеткой десны аккуратными круговыми движениями. Для электрической зубной щетки существуют специальные насадки для десен, неба и языка.
- 6. Очистить поверхность языка специальным приспособлением, которое должно быть на щетке, либо использовать для этого специальный скребок.
- 7. В конце очищают межзубные пространства зубной нитью, для каждого промежутка используют новый кусок нити.
Как часто нужно менять зубную щётку
Как известно, стоматологи рекомендуют чистить зубы не реже двух раз в день. Износ зубной щетки из-за частого использования со временем станет заметен визуально, но заменить ее нужно до того, как щетинки ощутимо повредятся.
На вопрос о том, как часто нужно менять щетку, большинство стоматологов и производителей средств гигиены для полости рта отвечают, что раз в 12–16 недель. Замена по истечении 16 недель может негативно повлиять на здоровье полости рта, открыв ворота для бактерий и инфекций.
Как часто менять зубную щетку взрослому
Средний срок службы зубной щетки — три с половиной месяца. Однако рекомендация по трехмесячной замене применима при обычной чистке два раза в день и при условии правильного ухода за инструментом. Есть обстоятельства, при которых следует выбросить старую щетку раньше:
- если вы или член вашей семьи заболели, особенно в случае вирусных и бактериальных инфекций;
- если кто-то по ошибке воспользуется вашей зубной щеткой: чужая микрофлора негативно влияет на состояние полости рта;
- если щетка изначально низкого качества и выглядит изношенной раньше срока.
Как часто менять зубную щетку ребенку
Детям следует менять зубные щетки чаще, чем взрослым, поскольку малыши склонны грызть ручку или зажимать головку инструмента между зубами. Это снижает эффективность использования зубной щетки.
Как часто нужно менять насадки для электрической зубной щетки
Насадки изнашиваются еще быстрее, поскольку нейлоновые щетинки короче, чем у обычных моделей, и вращаются. Менять насадки следует каждые 3 месяца, не реже.
Источник: https://moezdorovieclub.ru/stati/chistka-zubov-15-vazhnyh-punktov-o-kotoryh-vam-neobhodimo-znat
Как предотвратить кариес зубов
Кариес зубов — одна из распространенных проблем со здоровьем в мире. От него не застрахован никто. Какие здоровые привычки помогут его предотвратить?
Как сохранить красоту улыбки
Красота и белизна улыбки во многом зависят от образа жизни человека. Какие меры могут поддержать здоровье зубов ?
1. Покупайте пасту с фтором
В идеале зубы нужно чистить после каждого приема пищи. Однако это подходит не всем. Чистите зубы, по крайней мере, два раза в день, используя для этого фтор пасту. Для эффективной очистки межзубного пространства используйте зубную нить.
На заметку! Стоматологи рекомендуют выбирать пасту, ориентируясь на возраст человека. Для детей от 2 до 6 лет содержание фтора в пасте должно быть в пределах 250-500, с 6 лет — от 1000 до 1500. При необходимости врач может назначить дополнительные средства с фтором — гели, таблетки, капли.
2. Не игнорируйте ополаскиватели
Если ваш стоматолог считает, что у вас высокий риск возникновения кариеса, он может рекомендовать применять ополаскиватель для рта, содержащий фтор. После каждого приема пищи также полезно ополаскивать рот просто водой, чтобы смыть остатки пищи.
3. Избегайте частых перекусов
Когда вы едите или пьете любые напитки, вы помогаете бактериям полости рта создавать кислоты, которые разрушают ваши зубы. Если вы часто чем перекусываете, ваши зубы находятся под постоянной угрозой.
А вы знали? В налете, который образуется на зубах, могут отлично сосуществовать до 300 различных видов бактерий.
4. Ешьте здоровую для зубов пищу
Свежие овощи и фрукты — идеальная пища для поддержания здоровья полости рта. Они увеличивают поток слюны, обогащают организм витаминами и минеральными веществами.
Учитывайте, что некоторые из них содержат кислоты и красят вещества, поэтому даже после них желательно прополоскать рот водой.
5. Подумайте про бактерии полости рта
Если человек находится в группе риска по образованию кариеса (например, в результате основного заболевания), стоматолог может рекомендовать антибактериальные полоскания для полости рта. Благодаря регулярным процедурам, сократится количество вредной микрофлоры, в свою очередь снизит вероятность возникновения кариеса.
При этом надо учитывать, что антибактериальные полоскания — это серьезная мера, которая назначается врачом, исходя из индивидуальных показаний пациента.
А вы знали ? Сегодня очень популярна процедура отбеливания зубов . Стоматологи неохотно говорят о ее вреде и часто преуменьшают риски. Однако всем, кто на нее решился, следует знать, что после отбеливания эмаль зубов становится чуть тоньше, что потенциально увеличивает вероятность возникновения кариеса .
6. Откажитесь от курения
Эта вредная привычка со временем приводит к уменьшению количества слюны во рту, возникновению сухости. Ведь слюна играет важную роль в поддержании здоровья полости рта!
7. Обращайтесь за профессиональной чисткой
Регулярное посещение врача-стоматолога — лучший способ сохранить зубы здоровыми. Кроме тщательного осмотра полости рта на предмет кариеса, важно хотя бы 1-2 раза в год делать профессиональную чистку зубов .
На заметку! В домашних условиях мало чистить зубы 2 минуты, как было в ранних рекомендациях стоматологов. Качественная чистка зубов длится не менее 3-5 минут.
8. Пользуйтесь жевательной резинкой
Ежедневно эксперты работают над разработкой новых средств для профилактики кариеса. Одно многообещающе исследование показало, что жевательная резинка, содержащая подсластитель ксилит, временно замедляет рост бактерий, вызывающих его.
При этом специалисты рекомендуют жевать резинку не менее 20 минут.
9. Проконсультируйтесь по поводу герметизации
Герметизация фиссур зубов — одна из эффективных методик профилактики кариеса. После ее проведения поверхность зубов выравнивается, становясь практически гладкой, появляется барьер (герметик), который защищает фиссуры зубов от вредной микрофлоры. Однако подходит процедура не всем, есть противопоказания.
Как устранить зубную патологию
Лечение гиперестезии направлено на то, чтобы снизить скорость течения жидкости в дентинных канальцах. Этого можно достигнуть следующими способами:
- закупоркой микропор эмали с помощью десенситайзеров — препаратов, снижающих чувствительность зубов;
- уменьшением размеров микропор с помощью минерализующих средств, например, гелей с высоким содержанием фтора и кальция. К ним относятся гели R.O.C.S. Medical Minerals, GC Tooth Mousse;
- закрытием или сужением дентинных канальцев с помощью лазера;
- препарированием и пломбировкой зуба при кариозных поражениях;
- операцией на десне при её опущении в результате пародонтоза;
- исправлением прикуса.
Закупорка дентинных канальцев веществами, содержащимися в зубной пасте
В 1935 г. стоматолог L. Grossman выделил основные свойства идеального средства для борьбы с гиперестезией. По его мнению, оно должно быстро и действовать, долгое время быть эффективным, не раздражать пульпу, не провоцировать боль и не изменять цвет зубов. Таких препаратов сейчас довольно много. Десенсибилизирующие средства (снижающие чувствительность зубов) выпускают в форме геля, зубной пасты, ополаскивателя, лака и др. Чаще всего используют зубные пасты.
При гиперестезии лёгкой степени , как правило, достаточно аппликаций различных растворов.
Препарат ремодент в форме 3 % водного раствора для аппликаций наносится на участки гиперестезии на 15-20 мин. Чтобы курс лечения был действенным, необходимо сделать 8-28 таких аппликаций (по одной 2 раза в неделю), пока не будет достигнут положительный результат. Иногда 3 % раствор ремодента используют в качестве ополаскивателя (4 раза в неделю). Полный курс включает около 40 процедур.
Стронция хлорид используется в форме 25 % водного раствора и 75 % пасты. При втирании пасты появляются устойчивые соединения стронция с твёрдой тканью зуба. Это средство является хорошей профилактикой гиперестезии после препарирования зубов и снятия зубных отложений.
Для устранения гиперестезии также используют 30 % водный раствор цинка хлорида . После него проводят аппликацию с 10 % раствором калия ферроцианида . Он запечатывает канальцы образующимся осадком. Длительность аппликаций — одна минута. Также показано использование пасты, в состав которой входят щёлочи: натрия гидрокарбонат, карбонат натрия, калия, магния. Она притягивает к себе дентинную жидкость, которая содержится в микропорах эмали, и снижает чувствительность зубов.
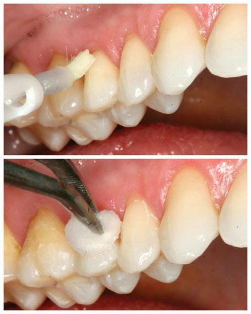
Современным средством лечения гиперестезии является бифлюорид-12 — специальный бесцветный лак, содержащий фтор, и флюокаль — стоматологический гель с содержанием натрия фторида. Они аккуратненько наносится на зубы кисточкой либо поролоновым тампоном. Оба средства создают покрытие, которое насыщает эмаль и дентин ионами фтора, что приводит к снижению чувствительности. Флюокаль также может использоваться в форме раствора для аппликаций. Обычно курс лечения такими аппликациями включает всего 2-3 процедуры. Лак, как правило, используется как вспомогательный метод, усиливающий действие основного препарата.
Нанесение стоматологического лака и геля
Устранение гиперестезии с помощью лазера , как показали исследования, является предпочтительным методом лечения. Оно направлено на сужение канальцев дентина с помощью объединения белков дентинной жидкости, частичного подплавления твёрдых тканей и расслабления внутренних нервных рецепторов. Побочных эффектов у лазеротерапии нет.
Лазеротерапия гиперестезии
Лечение генерализованной гиперестезии направлено на устранение причины заболевания, поэтому оно не только снимает симптомы, но и влияет на ход развития болезни. Лечение должно быть комплексным. Помимо терапии основной причины гиперестезии, необходимо восстановить минеральный состав эмали и дентина, нормализовать содержание фосфора и кальция в организме. Для этого назначают, кламин или фитолон, а также поливитаминные препараты. Приём фосфорно-кальциевых средств на протяжении всего курса лечения обеспечивает хороший прогноз. В противном случае восстановление нормальной чувствительности будет длительным.
Чтобы устранить боль в начале лечения помимо использования зубной пасты с фосфатом требуется электрофорез 2,5 % раствором глицерофосфата кальция. Курс такой физиотерапии составляет 10 сеансов. При гиперестезии на фоне нарушения неврологического статуса показано использование гальванического воротника по Щербаку (также не менее 10 сеансов).
Как показали исследования, эффект комплексного лечения гиперестезии наступает быстро и сохраняется довольно долго. Содержание фосфата и кальция в тканях зуба увеличивается, уровень кальция и фосфата в крови нормализуется.
- .
Как правильно чистить язык
Гингивит (gingivitis) – это воспалительное заболевание десен – слизистой оболочки ротовой полости, покрывающей альвеолярные отростки верхней и нижней челюстей – без нарушения зубодесневого прикрепления. Основные симптомы гингивита – покраснение, отечность и кровоточивость десен.
Строение и функции десен. Данная структура состоит из соединительнотканной пластинки (здесь проходят нервы и сосуды), покрытой многослойным плоским эпителием. Выделяют пришеечную (прилегает к шейкам зубов) и альвеолярную (расположенную в области альвеолярного отростка) части. Окончание пришеечной десневой зоны – десневой край – образует между зубами десневые или межзубные сосочки . Небольшое узкое углубление между десневым краем и коронкой называется десневым карманом. В норме его глубина не превышает 1,5 мм.
Десна – это часть пародонта – околозубных тканей. В состав пародонта также входят периодонт (связка, удерживающая зубной корень в ячейке), цемент корня, надкостница и костная ткань альвеолярных отростков. Основные функции – барьерная (препятствует проникновению инфекции) и фиксирующая.
Воспаление десен (гингивит) может протекать остро и хронически. В последнем случае имеется риск перехода воспаления на другие ткани пародонта с развитием пародонтита, расшатыванием и выпадением зубов. Различные виды и формы гингивитов встречаются очень часто. У детей и подростков они часто бывают связаны с прорезыванием зубов и при своевременном лечении заканчиваются полным выздоровлением.
, лечить который значительно сложнее. Острым гингивитом чаще болеют дети и подростки, хроническим – лица после 60-65 лет (чаще курящие мужчины). Коды гингивита по Международной классификации болезней (МКБ-10):
1. K05.0 – острый гингивит.
2. K05.1 – хронический гингивит:
- классический вариант течения (БДУ – без дополнительных уточнений);
- К05.10 простой маргинальный катаральный – с поражением десневого края;
- K05.11 гиперпластический – с разрастанием структуры;
- К05.12язвенный – с образованием эрозий и язвочек;
- К05.13 десквамативный – с отслоением поверхностных слоев эпителия.
Как предотвратить гингивит
Неприятный запах изо рта может отпугнуть кого угодно — от симпатичного бариста в соседней кофейне до будущего работодателя. Так можно остаться и без свидания, и без перспективной работы. Рассказываем, что делать, если вам тоже приходится сталкиваться с этой проблемой.

Фото: pixabay.com
Пять продуктов, которые вызывают неприятный запах изо рта
Свежие лук и чеснок
Неприятный запах появляется из-за серосодержащих соединений, которые образуются при разрезании луковиц и зубчиков. Особенно стоек активный компонент чеснока аллилметилсульфид: он метаболизируется в организме, попадает в кровоток, а затем выводится с дыханием и выделяемыми жидкостями, в том числе с потом. Так что чистить зубы бесполезно: характерный аромат будет источать даже ваше тело.
Если вас это успокоит, аллилметилсульфид считается очень полезным для сердечно-сосудистой системы, снижает окислительный стресс, обладает противомикробными свойствами и противоопухолевой активностью.

Фото: freepik.com
Молоко, творог, сыр
И другие молочные продукты тоже. Неприятный запах связывают с процессом разложения частиц пищи анаэробными грамотрицательными бактериями во рту. Они образуют летучие соединения серы, такие как сероводород и метилмеркаптан, которые имеют запах тухлых яиц.
Рыбные консервы
Как только вы открыли металлическую банку, рыба начинает окисляться. А этот процесс приводит к образованию не слишком хорошо пахнущих соединений. Почему-то самым устойчивым запахом обладает тунец.
