Частые ошибки при уходе за полостью рта: что делать и чего избегать
- Частые ошибки при уходе за полостью рта: что делать и чего избегать
- Связанные вопросы и ответы
- Как часто нужно чистить зубы, чтобы избежать ошибок в гигиене полости рта
- Можно ли использовать слишком твёрдую зубную щётку без вреда для дёсен
- Почему использование зубной пасты с высоким содержанием абразивных частиц может быть вредным
- Как правильно выбрать зубную щётку, чтобы не навредить полости рта
- Нужно ли использовать зубную нить ежедневно для предотвращения ошибок в гигиене
- Может ли недостаточное время чистки зубов привести к серьёзным проблемам с полостью рта
- Какие ошибки в гигиене полости рта наиболее часто приводят к кариесу
- Влияет ли диета на эффективность гигиены полости рта и какие ошибки здесь возможны
- Можно ли заниматься самолечением при наличии ошибок в гигиене полости рта
- Какие современные методы гигиены полости рта рекомендуются для избежания распространённых ошибок
Частые ошибки при уходе за полостью рта: что делать и чего избегать
Стоматолог перечислил самые частые ошибки при чистке зубов
Стоматолог Хабадзе: чистка зубов должна проводиться за полчаса до завтрака
Зубы необходимо чистить за полчаса до завтрака для того, чтобы зубы успели покрыться специальной защитной пленкой, которая состоит из белков и слюны. О самых частых ошибках при уходе за полостью рта в среду, 20 марта, рассказал заместитель директора медицинского института РУДН, заведующий кафедрой терапевтической стоматологии, доцент Зураб Хабадзе.
Врач обратил внимание, что многие люди чистят зубы после завтрака, а это может нанести травму твердым тканям полости рта и негативно повлиять на здоровье полости рта.
«Важно подождать после чистки зубов какое-то время для того, чтобы зубы успели покрыться защитной пленкой, состоящей из белков слюны. Она защищает наши зубы от кислотного воздействия, которое неизбежно во время приема пищи», — поделился он с «Газетой.Ru» .
Также эксперт подчеркнул, что неправильно подобранная зубная щетка может привести к развитию пародонтита и гингивита. Так, пациенты, десна которых кровоточат, могут предполагать, что это происходит из-за неправильно подобранной зубной щетки или из-за неловкого движения щеткой во время чистки зубов. В результате они приобретают щетку с более мягкой щетиной без показания к этому, объяснил Хабадзе. Эксперт акцентировал, что жесткость щетки зависит от состояния зубов.
По словам стоматолога, также необходимо консультироваться со стоматологом при подборе пасты. Он отметил, что часто пациенты покупают отбеливающие пасты с высокой абразивностью (интенсивностью воздействия на эмаль), в результате использования такого продукта может повыситься чувствительность зубов. Заместитель директора медицинского института РУДН посоветовал пасты с индексом абразивности в районе от 50 до 80.
«Помимо зубных щеток и паст доктор должен подобрать и дополнительные средства гигиены, если они, подчеркиваю, показаны. К ним относятся флоссы (зубные нити), ершики, ирригаторы. Но тут важно не перестараться, потому что, например, чрезмерное или грубое применение флоссов может травмировать межзубные сосочки Зубочистки я вообще не рекомендую, потому что ими травма может быть нанесена существенная», — указал врач.
Кроме того, он посоветовал использовать индикаторы зубного налета: специальные таблетки, которые окрашивают налет. Как отметил врач, гигиена полости рта с помощью них становится более оптимизированной и качественной.

Держать ИИ за зубами: как нейросети помогают стоматологам
Искусственный интеллект может применяться для диагностики и протезирования
14 февраля феврале врач-стоматолог Виктория Шелудкова перечислила сладости, которые можно есть без вреда для зубов . К ним она отнесла леденцы и жвачки с ксилитом. Она пояснила, что ксилит является сахарозаменителем, который совершенно не усваивается бактериями, а также приводит в норму кислотно-щелочной баланс полости рта после еды, а это уже в разы снижает развитие кариеса.
Связанные вопросы и ответы:
1. Почему использование жесткой зубной щетки вредно для десен
Использование жесткой зубной щетки может повредить десны и эмаль зубов. Жесткие щетинки травмируют десны, их кровоточивость и отступление. Это может привести к обнажению шеек зубов и повышению чувствительности. Кроме того, жесткая щетка не более эффективна в очистке зубов, чем мягкая, но вызывает больше вреда. Поэтому рекомендуется использовать мягкую или среднюю щетку для безопасной и эффективной чистки.
2. Почему важно чистить зубы не менее двух минут
Чистка зубов в течение двух минут позволяет тщательно удалить все остатки пищи и бактерии с поверхности зубов. За это время удается обработать все участки полости рта, включая труднодоступные места. Это помогает предотвратить развитие кариеса и заболеваний десен. Недостаточная продолжительность чистки может оставить бактерии, что приведет к их размножению и негативным последствиям для здоровья полости рта.
3. Почему важно чистить не только зубы, но и язык
Язык является местом накопления бактерий, которые могут вызывать неприятный запах изо рта и способствовать развитию заболеваний полости рта. Чистка языка помогает удалить налет и бактерии, улучшая свежесть дыхания. Также важно массировать десны для их здоровья и предотвращения воспалений. Регулярная санация языка и десен способствует общему здоровью полости рта.
4. Как зубная нить помогает в гигиене полости рта
Тoothbrush не может полностью удалить пищевые частицы из межзубных пространств. Зубная нить помогает достичь этих труднодоступных мест, предотвращая накопление пищи и развитие кариеса. Регулярное использование нити снижает риск пародонтоза и способствует здоровью десен. Она также помогает поддерживать свежесть дыхания, удаляя частицы пищи, которые могут вызывать неприятный запах.
5. Можно ли заменить ополаскиватель полостью рта на простую воду
Ополаскиватель не заменяет чистку зубов и использование зубной нити, но он может дополнять гигиену. Он помогает убивать бактерии, укреплять эмаль и освежать дыхание. Однако использование только воды не обеспечит таких же эффектов. Поэтому ополаскиватель рекомендуется использовать в рамках комплексной гигиены для лучшего результата.
6. Вредно ли использовать много зубной пасты
Использование избыточного количества зубной пасты может быть вредным, особенно для детей. Чрезмерное содержание фтора может привести к его избытку в организме, что вызывает флюороз или другие проблемы со здоровьем. Взрослым рекомендуется использовать пасту в количестве, равном горошине, чтобы избежать негативных последствий и обеспечить эффективную очистку.
7. Как часто нужно менять зубную щетку
Тoothbrush необходимо менять каждые три месяца или при видимом износе щетинок. Изношенная щетка менее эффективна в очистке зубов и может травмировать десны. Регулярная замена щетки помогает поддерживать хорошую гигиену и предотвращать накопление бактерий на щетке, которые могут снова попасть в полость рта.
8. Как сахар и курение влияют на гигиену полости рта
Сахар является основным питанием для бактерий, которые выделяют кислоту, разрушающую эмаль зубов и вызывающую кариес. Курение же ухудшает кровоток в деснах, способствуя их воспалению и развитию пародонтоза. Кроме того, курение увеличивает риск онкологических заболеваний полости рта. Поэтому важно ограничить потребление сахара и отказаться от курения для поддержания здоровья полости рта.
Как часто нужно чистить зубы, чтобы избежать ошибок в гигиене полости рта
Будет верным чистить зубы до завтрака, поскольку после сна во рту скапливаются микроорганизмы. Не почистив зубы, вы рискуете занести патогенную микрофлору в желудок и кишечник. Вечером рекомендуется чистить зубы перед сном и не принимать пищу после гигиенических процедур.алгоритм правильной чистки зубов обычной (традиционной, ручной) и электрической щетками
рекомендуется придерживаться правильной последовательности чистки зубов:- 1. Сначала необходимо промыть щетку или насадку электрической щетки под проточной водой и нанести на нее пасту размером с горошину.
- 2. Чистку зубов начинают с наружной поверхности боковых зубов, продвигаясь к середине. Правильная техника чистки зубов подразумевает, что нужно держать щетку под углом 45о. В случае использования обычной зубной щетки необходимо выполнять правильные движения, а именно – по 4-5 выметающих движений сверху вниз на верхней челюсти и снизу вверх на нижней. При применении электрической зубной щетки никаких движений делать не нужно, кроме как передвигать ее от дальних зубов к передним, задерживаясь на каждом по несколько секунд без чрезмерного надавливания.
- 3. Затем требуется произвести аналогичные действия с внутренней стороны.
- 4. Далее очистить жевательные поверхности тоже в направлении от задних зубов к передним, производя круговые движения.
- 5. Следом нужно помассировать щеткой десны аккуратными круговыми движениями. Для электрической зубной щетки существуют специальные насадки для десен, неба и языка.
- 6. Очистить поверхность языка специальным приспособлением, которое должно быть на щетке, либо использовать для этого специальный скребок.
- 7. В конце очищают межзубные пространства зубной нитью, для каждого промежутка используют новый кусок нити.
Можно ли использовать слишком твёрдую зубную щётку без вреда для дёсен

Воспаление десен довольно распространенное заболевание среди взрослого населения. Основная причина воспаления — бактерии, скопившиеся в мягком и твердом зубном налете. Гигиенический уход — это одно из средств лечения воспаления десен, главное — правильно подобрать зубную щетку и пасту. Именно от выбора первой будет во многом зависеть успех излечения.
Классическим симптомом воспаления десен можно назвать их кровоточивость. И как только она появилась, многие пациенты начинают жалеть себя и использовать мягкие зубные щетки, или же вовсе отказываются от полноценной чистки зубов. Любое из этих действий ошибочно.
Отказ от гигиенического ухода чреват более активным размножением бактерий в полости рта, что только ухудшает течение воспаления десен. Оно может переходить в осложненные формы и уже трудно поддается лечению.
Использование мягкой зубной щетки также является ошибкой, которая может стать причиной усугубления воспаления. Ее щетины просто не могут полноценно удалить скопление налета в пришеечной области, что чревато развитием кариеса и прогрессией воспаления.
Использовать зубные щетки с мягкой щетиной рекомендовано только при серьезных заболеваниях десен, например, пародонтозе и только после консультации со специалистом. В остальных случаях рекомендована зубная щетка средней жесткости.
Кроме того, при воспалении десен в качестве лечебно-профилактической меры могут быть рекомендовано особые методы чистки зубов: метод Басса. Для его исполнения рекомендовано пользоваться особыми, монопучковыми щетками.
Почему использование зубной пасты с высоким содержанием абразивных частиц может быть вредным
Абразивность зубных паст оценивается с помощью индекса сравнительной оценки абразивности дентина (RDA). RDA - это научное измерение того, насколько легко материалы в зубной пасте способствуют удалению зубного налета и стираемости тканей зуба.
FDA рекомендует оптимальное значение абразивности - RDA 200, в то время как ADA рекомендует RDA не выше 250. Для сравнения, самая абразивная зубная паста на рынке работает только на 163 RDA.
Как правило, пасты, которые рекламируются как более сильные или отбеливающие, являются более абразивными, поскольку абразивные элементы удаляют налет и пигментации более эффективно.
Несмотря на распространенный миф, пищевая сода является одним из наименее абразивных материалов, используемых в стоматологических пастах.
Что происходит при использовании пасты высокой абразивности
Существуют две основные проблемы связанных с использованием абразивных зубных паст: здоровье десен и стираемость зубов.
Чрезмерная чистка таким с помощью абразивных паст часто приводит к асимметричному износу зубов, так как большинство людей фокусируется на зубах на своей недоминирующей стороне. В результате дисбаланс может вызвать появление неприятных ощущений в зубах и дискомфорта, а также нарушению внешнего вида зубов.
Как правильно выбрать зубную щётку, чтобы не навредить полости рта
Поддержание хорошей гигиены полости рта играет большую роль в нашем общем здоровье. Зубные щетки, конечно, являются неотъемлемой частью гигиены полости рта, но какая зубная щетка лучше?
При выборе правильной зубной щетки для вас важно учитывать тип щетины, тип зубной щетки, а также общую форму, качество и комфорт. Для многих из нас выбрать зубную щетку так же просто, как дышать или моргать. Они все чистят одинаково, верно? Не совсем так.
При выборе зубной щетки важно выбрать зубную щетку от авторитетного бренда. Дешевые, безымянные зубные щетки могут быть заманчивыми, но правильная зубная щетка - это инвестиция в ваше здоровье.
Более дешевые зубные щетки могут быть небезопасными, поскольку они не соответствуют тем же производственным стандартам, что и многие известные бренды. Некоторые зубные щетки могут быстро потерять щетину, а некоторые не имеют закругленных кончиков щетины. Если вы не уверены, какую зубную щетку купить, ваш стоматолог может дать вам рекомендацию на следующем осмотре и чистке зубов .
Что касается формы головки щетки, то нет стандартной формы, которая работает лучше всего. Независимо от того, выбираете ли вы зубную щетку овальной или прямоугольной формы, лучшим выбором для вас будет то, что наиболее удобно помещается во рту. То же самое касается ручки зубной щетки. Убедитесь, что вы выбрали зубную щетку, которую удобно держать и маневрировать.
В большинстве случаев меньшая головка щетки будет более эффективно чистить зубы , особенно для детей или людей с меньшим ртом. Небольшие щетки позволяют вам дотянуться до всех ваших зубов, включая труднодоступные области.
Чтобы выбрать лучшую зубную щетку, вы должны учитывать такие факторы, как размер головки щетки, форма и тип щетины, а также то, одобрена ли она стоматологами. Изучим ТОП-5 вещей, которые вы должны учитывать при выборе лучшей зубной щетки.
Вам нужно оценить:
Размер головки щетки
Тип щетины
Закругленная и прямая щетина
Одобрение Ассоциации стоматологов
Механические и электрические зубные щетки
Выбор правильной зубной щетки более важен для здоровья полости рта, чем вы думаете. Следуя этим 5 советам, вам больше никогда не придется задаваться вопросом, какую зубную щетку выбрать!
Источник: https://moezdorovieclub.ru/stati/top-5-oshibok-v-gigiene-polosti-rta-chto-my-chasto-upuskaem-iz-vidu
Нужно ли использовать зубную нить ежедневно для предотвращения ошибок в гигиене
- круглая;
- плоская;
- ленточная;
- объемная.
Иногда нить пропитывается ментолом. Тогда при ее применении во рут остается приятный запах и холодок, как при чистке зубной пастой. Пропитанные фтором способствуют размягчению налета и лучшей очистке. Но такую нить нужно использовать с осторожностью при кариесе и поврежденной эмали зубов. А если вы нечаянно поранили десна, то нить с перцовой пропиткой лучше вообще не применять. Оставьте ее на то время, когда ваши десны заживут.
Еще флоссы могут быть вощеными и не вощеными. Вощеные более гладкие и лучше проникают между зубами. Не вощеные более качественно очищают.
Выбирая зубную нить, учитывайте состояние своих зубов. Не используйте ее в то время, пока на деснах есть раны. Щетка очищает только три зубные поверхности, остальные две чистят при помощи флосса.
Мнение врачей:
Зубная нить является важным инструментом для поддержания здоровья полости рта. Врачи рекомендуют использовать зубную нить ежедневно, так как она помогает удалять налет и остатки пищи из промежутков между зубами, куда обычная зубная щетка не может достичь. Правильное использование зубной нити включает нежное скольжение по боковым поверхностям каждого зуба, без слишком сильного давления, чтобы избежать повреждения десен. Регулярное использование зубной нити помогает предотвратить развитие кариеса, заболеваний десен и сохранить здоровье зубов на долгие годы.
Может ли недостаточное время чистки зубов привести к серьёзным проблемам с полостью рта
- Появится кариес. Налет на зубах постоянно притягивает к себе частички еды и бактерии. Если не чистить зубы, микроорганизмы будут чувствовать себя настолько комфортно, что уже на третьи сутки их численность в полости рта превысит все население Земли. Все эти бактерии начнут выделять кислоты, которые постепенно разрушат эмаль. Так инфекция проникнет в зуб, и начнется кариес.
- Изменится цвет зубов. Все продукты, даже зеленый чай, содержат красители. Из-за них налет пигментируется, то есть окрашивается, а зубы в результате темнеют. Вернуть им естественный оттенок поможет профессиональная гигиена полости рта.
- Зубные камни формируются быстрее. Мягкая пленка на эмали со временем минерализируется и превращается в зубной камень. На самом деле это неизбежный процесс, так как удалить весь налет с поверхности каждого зуба невозможно даже при одновременном использовании зубной щетки, ирригатора и флосса. Но у тех, кто чистит дома зубы тщательно и регулярно, твердых отложений меньше и образовываются они медленнее.
- Появится запах изо рта. Микробы, живущие в налете, выделяют газы с очень неприятным запахом. Если плохо удалять биопленку с поверхности зубов, то о свежем дыхании можно забыть.
- Воспалятся десны. Постепенно зубные камни проникают под десну, и если их не удалить с помощью ультразвука, то со временем в мягких тканях начнется воспалительный процесс — появится кровоточивость, болезненность и неприятный запах изо рта.
- Зубы станут чувствительными. Если не обращать внимания на воспаление десен, со временем мягкие ткани перестанут быть эластичными, начнется их убыль, а зубы покажутся более длинными, потому что их корни будут оголяться. В этот момент придется исключить из рациона все сладкое, соленое, кислое, холодное и горячее, так как усилится чувствительность зубов.
- Зубы потеряют устойчивость. Из-за сильного воспалительного процесса разрушается ткань, удерживающая зубы в лунке. Они становятся неустойчивыми и со временем могут просто выпасть.
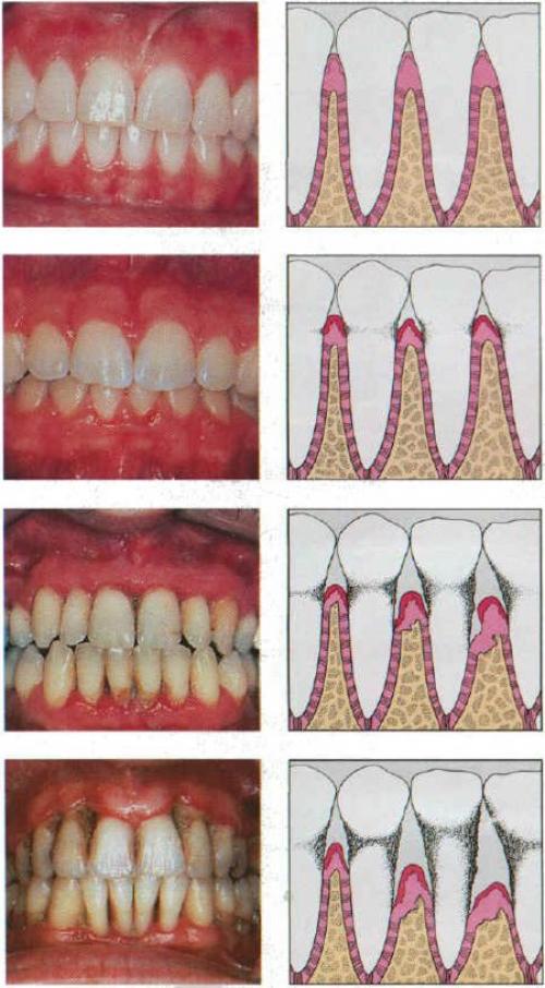
Какие ошибки в гигиене полости рта наиболее часто приводят к кариесу
Несмотря на справедливость утверждения, что плохой уход за зубами может привести к кариесу, кариес — не самое плохое , что может случиться с зубами.
Кариес и его осложненную форму — пульпит, относительно несложно лечить . Конечно, в случае пульпита потребуется лечение каналов (об этом в статье Почему после удаления нерва важно хорошо запломбировать каналы зуба? ), но несоблюдение гигиены зубов может иметь куда более худшие последствия .
Если кариес разрушает зуб, то заболевания десен (основной или сопутствующей причиной которых является плохая гигиена) приводят к разрушению тканей удерживающих зуб в кости.
Мы рассказываем об этом в статье Почему убывает десна, оголяется шейка и корень зуба?
Что Вам больше нравится: здоровые десны или тяжелая форма пародонтита?
Коренные зубы , которые дарует нам природа после молочных, не имеют эквивалентной замены кроме как на имплантаты, но установка имплантатов может быть затруднена и даже невозможна из-за убыли костной ткани. Об этом читайте в статье Недостаточный объем и качество костной ткани — противопоказания к установке имплантатов .
Посмотрите на стадии заболевания десен: гингивит, пародонтит, его осложненная форма… В итоге значительной потери костной ткани зубы теряют опору, расшатываются и выпадают .

В отличие от кариеса, тяжелая форма пародонтита не лечится . Единственное, что можно сделать при пародонтите — замедлить развитие заболевания и это сложней, чем соблюдать правильную ежедневную гигиену зубов.
Посмотрите , как можно избежать проблем, следуя рекомендациям стоматолога по ежедневному уходу за полостью рта.
Влияет ли диета на эффективность гигиены полости рта и какие ошибки здесь возможны
Проведённый недавно опрос показал, что 73 процента британцев не придают значения тому, какое влияние их рацион питания может оказывать на здоровье полости рта.
Результаты опроса свидетельствуют о том, что мужчины реже женщин придерживаются принципов здорового питания, а 32 процента опрошенных просто не знают о проблемах, к которым может привести потребление сладких продуктов и напитков.
Исполнительный директор Британского фонда стоматологического здоровья д-р Найджел Картер так комментирует результаты опроса: «Большинство из нас знает, что различные продукты питания и напитки влияют на общее состояние здоровья, однако многие до сих пор не понимают, что рацион питания играет ключевую роль и в поддержании здоровья полости рта. Неправильное питание способствует развитию целого ряда стоматологических проблем, в числе которых кариес, эрозия эмали и неприятный запах изо рта.
Каждый раз, когда человек съедает или выпивает что-нибудь сладкое, его зубы подвергаются кислотной атаке. Ключевую роль в нейтрализации кислот в полости рта играет слюна, однако, этот процесс может занимать около часа. При частом потреблении сладких напитков и продуктов питания, эмаль зубов постоянно находится под воздействием кислот и не имеет возможности восстановиться. Именно поэтому мы рекомендуем как можно реже употреблять сладости.
Частое потребление сладких продуктов и напитков приводит к повреждению эмали зубов, поэтому мы советуем ограничиться тремя плотными приёмами пищи в день вместо семи — десяти перекусов».
Он добавляет: «Если вам всё же приходится перекусывать между приёмами пищи, выбирайте продукты питания и напитки, которые не содержат сахара, такие как сыр, хлебную соломку, сырые овощи или орехи. Лучше всего, особенно детям, употреблять сладости вместе с основным приёмом пищи, а не растягивать удовольствие на несколько часов. Более четверти детей 5-летнего возраста страдают от кариеса, поэтому родителям необходимо ограничивать потребление детьми сладостей. Старайтесь придерживаться следующего режима питания: три основных приёма пищи в день и не более двух перекусов».
Можно ли заниматься самолечением при наличии ошибок в гигиене полости рта
— Делаете ли вы анестезию пациентам, которые приходят на гигиену полости рта с запущенным состоянием дёсен: когда гингивит сопровождается отёком и болью или уже есть пародонтит, то есть присутствуют изменения в костной ткани, а пациент жалуется на боль?
— Мы редко делаем инъекционное обезболивание при проведении профессиональной гигиены даже при гингивите и пародонтите. Во многих европейских странах анестезию при профгигиене категорически не рекомендуют, апеллируя к тому, что можно потерпеть. Потерпеть, безусловно, можно, но большинство частных практик сейчас ориентированы на высокий уровень сервиса, поэтому мы всегда стараемся создать максимальный комфорт для пациента.
Мы проводим аппликационное (поверхностное нанесение геля с анестетиком) и инъекционное (с уколом в мягкие ткани) обезболивание в зависимости от того, что пациента больше беспокоит: болезненность дёсен или чувствительность зубов. Это можно определить во время опроса и диагностики. Пациенты очень разные, и порог их болевой чувствительность тоже разный, и это не всегда связано напрямую с воспалением. У некоторых пациентов даже инъекционная анестезия работает как плацебо, потому что обезболить зубы на двух челюстях с окружающей десной полноценно мы не можем. При этом пациентам бывает достаточно самого факта проведения анестезии, чтобы успокоится, а снижение уровня стресса и повышение доверия может способствовать меньшей болезненности в ходе процедуры.
Кстати, уровень болезненности профессиональной гигиены не столько сопряжен с воспалением на момент процедуры, сколько с повышенной чувствительностью зубов вообще. На ощущения пациента мы можем влиять, меняя настройки аппарата и корректируя наши мануальные навыки. И конечно же, атмосфера в кабинете тоже имеет значение.
Какие современные методы гигиены полости рта рекомендуются для избежания распространённых ошибок
Знаете ли вы, что многих болезней зубов и полости рта можно избежать, соблюдая некоторые простые правила?
Личная гигиена полости рта - это ряд регулярных профилактических мероприятий, которые являются эффективными средствами защиты от болезней зубов, воспалений десен, неприятного запаха изо рта и других распространенных стоматологических проблем. Стоматологи разработали правила, которые помогут вам сохранить здоровье ваших зубов.
Как выбрать зубную щетку?
Чтобы эффект от чистки зубов был виден необходимо использовать подходящую для вас щетку. Выбирая щетку, обращайте внимание не на марку производителя, а на индивидуальные показатели моделей. Хорошая щетка должна быть из искусственных волокон и подходящей жесткости.
Если у вас чувствительные, легкоранимые десны, то лучше выбрать мягкую щетку, если нет – среднюю или жёсткую. Размер головки щетки и ее ручка должны соответствовать вашей ротовой полости. Щетка должна проникать в труднодоступные места и не доставлять вам неудобства.
Хорошо очищают пространство между зубов щетки с тонкими щетинками. Также можно обратить внимание на щетки со специальной щеточкой для чистки языка. Но вообще, гораздо большее значение имеет не марка или цена зубной щетки, а количество времени, которое вы тратите на чистку зубов и тщательность процедуры.
Как выбрать зубную пасту?
Сегодня на рынке представлено большое количество средств очищения зубов и полости рта. Большинство паст для чистки зубов обладают хорошим профилактическим действием, т.е. не просто очищают, но и препятствуют появлению кариеса. Хороший эффект можно ожидать от пасты любой ценовой категории при условии регулярного использования не реже 2 раз в день.
Но лучше покупать зубную пасту в аптеках, где все зубные пасты имеют сертификат о проведении клинических испытаний. Подобрать зубную пасту индивидуально для решения ваших проблем лучше всего поможет стоматолог.
Чем еще можно пользоваться для очищения и профилактики?
Зубная нить. Кроме очищения зубной пастой и щеткой стоматологи рекомендуют пользоваться зубной нитью. Зубная нить, или как ее еще называют - флос, гарантирует полное очищение всех труднодоступных участков полости рта: межзубное и придесневое пространство. Надо сказать, что большинство людей недооценивают зубную нить, а при попадании кусочков пищи в труднодоступные места чаще пользуются зубочисткой.
Это совершенно не правильный подход. Неумелое применение зубочистки может травмировать зуб и десну. В поврежденное место могут попасть бактерии, которые станут причиной развития заболеваний. А вот зубная нить проста в использовании и безопасна, правда требует сноровки.
Пользоваться зубной нитью нужно не реже одного раза в день: лучше перед сном, после очищения полости рта щеткой. Нить, размером 30-40 сантиметров, наматывается на пальцы рук.
Плотно прижав нить к поверхности зуба нужно провести несколько раз вперед-назад. Для очищения каждого зуба нужно использовать новые участки зубной нити. Если вы приучите себя ежедневно использовать зубную нить, то скорее всего следующая встреча со стоматологом станет намного короче. Ополаскиватель для рта.
Также положительным действием обладают ополаскиватели для рта. Их можно использовать как дополнительное средство после чистки зубов утром и вечером или как промежуточное средство очищения – применять после приема пищи.
При выборе ополаскивателя обращайте внимание на состав. Если в нем есть антисептики ( хлоргексидин , триклозан, бензидамин и другие), то его нельзя применять постоянно, только в качестве профилактического курса в 2-3 недели при воспалении десен или других заболеваниях по рекомендации стоматолога.
Длительное применение может ополаскивателей с антисептиками или антибиотиками может вызвать сухость полости рта и проявления дисбактериоза. Если же ополаскиватель содержит аминофторид или фторид натрия и не содержит спирта, то такое средство можно применять постоянно без ущерба для микрофлоры полости рта.
Как чистить зубы?
Чистить зубы нужно не меньше двух раз в день. Сначала используем зубную нить – удаляем остатки пищи из труднодоступных мест. Далее переходим к чистке зубной щеткой не менее двух-трех минут. Движения щетки не должны быть очень быстрыми: необходимо движениями вперед и вверх мягко очищать каждый зуб.
Щечные поверхности челюсти нужно чистить «подметающими» движениями. Не забывайте так же про язык и десны. В конце можно воспользоваться специальным ополаскивателем или просто хорошо прополоскать рот водой.
Соблюдайте правила гигиены полости рта и записывайтесь на чиску зубов !