Почему зубы становятся хрупкими в 32 года: причины и решения
- Почему зубы становятся хрупкими в 32 года: причины и решения
- Связанные вопросы и ответы
- Почему зубы могут стать хрупкими именно в 32 года
- Какие основные причины хрупкости зубов в этом возрасте
- Какие симптомы указывают на хрупкость зубов
- Может ли хрупкость зубов быть признаком более серьезных проблем со здоровьем
- Как диагностируется хрупкость зубов у взрослых
- Какие методы укрепления зубов наиболее эффективны
- Влияет ли питание на хрупкость зубов, и как его скорректировать
Почему зубы становятся хрупкими в 32 года: причины и решения
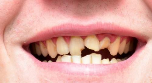
Вы заметили, что зубы стали хрупкими? Иногда проблема начинается с мелочей: небольшие сколы, трещины, повышенная чувствительность. Крошение зубов – не просто косметический дефект, а признак серьезных проблем со здоровьем.
Разбираемся, почему это происходит, как сохранить зубы крепкими, какие методы лечения действительно работают.
Как стоматолог, я часто сталкиваюсь с пациентами, у которых начали крошиться зубы. Главное — сразу обратиться в клинику, ведь на ранних стадиях проблему можно решить быстро и безболезненно. Запишитесь на бесплатную консультацию, где мы разберемся в причинах, составим план лечения, поможем сохранить вашу улыбку здоровой!
Крошение зубов происходит из-за разрушения эмали, а также ослабления внутреннего слоя единицы – дентина. Процесс всегда сводится к одному: эмаль теряет прочность, появляются микротрещины, со временем кусочки зуба начинают откалываться.
Основные причины крошения зубов:
1. Наследственность
Генетическая предрасположенность часто влияет на состояние зубов. У некоторых пациентов эмаль изначально более тонкая. Из-за этого она более уязвима к повреждениям и кариесу.
2. Заболевания зубов и десен
- Кариес постепенно разрушает структуру единицы, делает ее хрупкой.
- Флюороз при избытке фтора приводит к пятнистости, повышенной ломкости эмали.
- Пародонтоз и гингивит – это воспаления десен, которые ослабляют крепление зубов.
3. Прием медикаментов
Антибиотики (тетрациклины), мочегонные препараты или средства для снижения кислотности желудка могут снижать выработку слюны. Из-за этого на поверхности эмали накапливаются патогенные бактерии, также к зубам поступает меньше полезных веществ. В результате ухудшается состояние тканей зубов.
4. Вредные привычки
- Курение снижает кровоснабжение десен, к зубам поступает меньше минералов из крови, поэтому они становятся более хрупкими.
- Грызть ногти, открывать бутылки зубами, кусать твердые предметы – все это приводит к появлению микротрещин или сколов.
5. Внешние факторы
- Питание. Употребление большого количества сладкого или кислого приводит к вымыванию минералов из эмали. Недостаток кальция, витамина D ослабляет зубные ткани.
- Травмы. Удары, падения, механическое воздействие могут привести к трещинам, сколам единиц.
- Неправильный прикус. Неравномерное распределение жевательной нагрузки при кусании и жевании создает дополнительное давление на единицы, которое приводит к их разрушению.
- Агрессивная гигиена. Слишком жесткие щетки, частое использование абразивных отбеливающих паст или кислотных полосок истончают, царапают эмаль.
Чего не хватает организму если начал крошится зуб?
Если единицы начали крошиться, это может быть связано с дефицитом важных элементов:
- Кальций . Основной строительный материал зубов. Недостаток приводит к истончению эмали, повышенной ломкости.
- Фосфор . Укрепляет эмаль, поддерживает баланс минералов в зубных тканях.
- Витамин D . Без него кальций плохо усваивается, что ослабляет зубную структуру.
- Магний . Участвует в минерализации единиц, при его нехватке эмаль становится менее плотной.
- Фтор . Делает эмаль устойчивой к кислотам, а его дефицит снижает защиту от разрушения.
- Железо . Улучшает здоровье слизистой и иммунитет, при нехватке зубы становятся уязвимыми к повреждениям.
Чтобы точно определить причину крошения зубов, необходима тщательная диагностика у стоматолога. Врач выявит проблему и назначит лечение, которое поможет сохранить целостность единиц, а также предотвратить их дальнейшее разрушение.
Связанные вопросы и ответы:
Вопрос 1: Почему зубы могут становиться хрупкими в 32 года
Хрупкость зубов в 32 года может возникать по нескольким причинам. Во-первых, это может быть связано с недостатком витаминов и минералов, таких как кальций и фтор, которые необходимы для укрепления зубной эмали. Во-вторых, кислые продукты и напитки могут разрушать эмаль, делая зубы более уязвимыми. Неправильная гигиена полости рта, например, редкая чистка или использование слишком жесткой щетки, также может способствовать хрупкости. Генетическая предрасположенность и некоторые медицинские условия, такие как остеопороз, могут играть свою роль. Регулярные осмотры у стоматолога помогают выявить эти проблемы на ранней стадии.
Вопрос 2: Какие признаки указывают на то, что зубы становятся хрупкими
Основные признаки хрупкости зубов включают чувствительность при потреблении горячего или холодного, сладкого или кислого. Вы можете заметить сколовишины или изменение цвета зубов, что указывает на разрушение эмали. Еще один симптом — боль или дискомфорт при жевании или глотании. Если зубы становятся более склонными к трещинам или переломам, это также сигнализирует о их хрупкости. Важно обратить внимание на эти симптомы и обратиться к стоматологу для своевременного лечения.
Вопрос 3: Как предотвратить хрупкость зубов в 32 года
Профилактика хрупкости зубов включает правильную гигиену полости рта: регулярную чистку зубов с использованием мягкой щетки и фторсодержащей пасты, а также использование нитки. Сбалансированное питание, богатое продуктами, содержащими кальций и фтор, такое как молочные продукты и листовые овощи, способствует укреплению зубов. Избегайте чрезмерного потребления кислых напитков и сладостей. Регулярные осмотры у стоматолога помогают выявить и устранить проблемы на ранней стадии. Также важно отказаться от курения и ограничить потребление кофе, чтобы предотвратить эрозию эмали.
Вопрос 4: Какие витамины и минералы необходимы для укрепления зубов
Для укрепления зубов необходимы витамины и минералы, такие как кальций, который укрепляет зубную эмаль, и фтор, который помогает восстанавливать поврежденные участки эмали. Витамин D способствует лучшему усвоению кальция организмом. Фосфор также играет важную роль в поддержании здоровья зубов. Употребление продуктов, богатых этими веществами, таких как молоко, рыба, яйца и листовые овощи, помогает поддерживать зубы в здоровом состоянии. Недостаток этих веществ может привести к ослаблению зубов и их хрупкости.
Вопрос 5: Может ли неправильный прикус вызвать хрупкость зубов
Да, неправильный прикус может способствовать хрупкости зубов. При неровном прикусе зубы могут сталкиваться друг с другом с большей силой, что приводит к их износу и сколам. Это может вызвать дополнительную нагрузку на некоторые зубы, делая их более уязвимыми к повреждениям. Кроме того, неправильный прикус может затруднить правильную гигиену полости рта, что может привести к кариесу и другим проблемам. Ортодонтическое лечение может помочь исправить прикус и снизить риск хрупкости зубов.
Вопрос 6: Как современные стоматологические методы могут помочь при хрупких зубах
Современные стоматологические методы предлагают различные решения для лечения хрупких зубов. Пломбирование помогает восстановить поврежденные участки зубов, предотвращая дальнейшее разрушение. Виниры и коронки используются для укрепления и восстановления формы зубов, делая их менее хрупкими. Имплантаты могут заменить сильно поврежденные зубы, обеспечивая надежную и долговечную замену. Также применяются методы фторирования и реминерализации для укрепления эмали. Эти методы помогают восстановить функциональность и эстетику зубов.
Вопрос 7: Влияет ли курение на хрупкость зубов
Да, курение негативно влияет на здоровье зубов и может способствовать их хрупкости. Никотин и смола, содержащиеся в табачном дыме, могут вызывать изменение цвета зубов и разрушение эмали. Курение также увеличивает риск гингивита и пародонтита, которые ослабляют десны и кости, поддерживающие зубы. Это может привести к тому, что зубы становятся более склонными к повреждениям и хрупкости. Отказ от курения может значительно улучшить здоровье полости рта и предотвратить дальнейшее разрушение зубов.
Вопрос 8: Можно ли восстановить хрупкие зубы без вмешательства стоматолога
Восстановление хрупких зубов без вмешательства стоматолога возможно только на ранних стадиях, когда повреждение еще не значительное. Использование фторсодержащих зубных паст и ополаскивателей может помочь укрепить эмаль. Снижение потребления кислых продуктов и сладостей также способствует предотвращению дальнейшего разрушения. Однако, если хрупкость уже привела к трещинам или сколам, то без профессионального лечения невозможно восстановить зубы. Регулярные осмотры у стоматолога помогут выявить проблемы на ранней стадии и провести необходимое лечение.
Почему зубы могут стать хрупкими именно в 32 года
Частой причиной крошения зубов у взрослых является нехватка витаминов и микроэлементов. Второе место занимают травмы и кариозные поражения зубов .
Несбалансированное питание, гипо- и авитаминоз
- Витамин D – жирорастворимый витамин, способствующий усвоению кальция и фтора, которые играют первостепенную роль в повышении прочности костей и зубов.
- Витамин С укрепляет десны, служит профилактикой образования зубного камня.
- Витамины группы В нормализуют обмены веществ и улучшают развитие костной ткани.
Если в организм не поступает достаточное количество кальция, фтора, фосфора и витаминов, то со временем зубы начинают крошиться. Дефицит микроэлементов замедляет обмен веществ, нарушает развитие костной и мышечной тканей.
Хронические заболевания внутренних органов
Гастриты, язвы, патологии щитовидной железы, сахарный диабет значительно снижают иммунитет и приводят к дисбалансу обменные процессы. Нарушение обмена веществ способствует недостаточному усвоению витаминов и микроэлементов, что служит причиной деминерализации эмали и ее разрушения.
Дополнительно при обострении гастрита или язвенной болезни в полость рта при отрыжке выделяется кислый секрет (желудочный сок). Он обволакивает зубы и со временем начинает разрушать эмаль
Неправильный прикус, бруксизм
Неправильный прикус является причиной перераспределения жевательной нагрузки и повышенной стираемости зубов. Вследствие этого эмаль истончается, формируются трещины и сколы.
Бруксизм (непроизвольный скрежет зубами во время сна) обусловлен особенностями прикуса и состоянием нервной системы. Данная проблема приводит к повышенной стираемости, пародонтитам, сколам эмали и переломам коронковой части зуба.
Эрозивная и деструктивная формы флюороза
Флюороз – это заболевание эндемического характера. Данная патология часто встречается у людей, проживающих в районах с повышенным содержанием фтора в питьевой воде – около 1,6-2,0 ммоль/л. Клинически формы проявляются эрозиями, стиранием эмали и обнажением дентина, отломом частей коронки
Плохая гигиена полости рта
Вследствие отсутствия регулярной чистки зубов на их поверхностях и в межзубных промежутках остаются частички пищи, которые со временем расщепляются и поражают зубную эмаль. В дополнение, курение и частое употребление кофе способствуют образованию налета и зубного камня. Как следствие – размножение бактерий и развитие кариеса, приводящего к пульпиту или периодонтиту.
Вредные привычки
Привычки открывать бутылки зубами, перекусывать леску и нити значительно разрушают зубы. Такие занятия приводят не только к мелким сколам эмали , но и к отломам частей коронки.
Алиментарные (пищевые) привычки также негативно влияют на состояние зубов. К таковым относят: злоупотребление кофе, алкогольными и газированными напитками, курение, привычки раскалывать орехи, грызть семечки, сухарики. Чаще такая проблема встречается у мужчин.
Возрастные изменения
С возрастом эмаль истончается и становится более подверженной трещинам и сколам. Даже малейшая травматизация (твердая пища, неправильно подобранная зубная щетка, зубочистки) может стать причиной отлома части коронки.
Прием лекарственных препаратов
Продолжительный прием препаратов тетрациклинового ряда, антигистаминных, седативных или снотворных средств повышает уровень кислотности желудочного сока и меняет состав слюны. Это, в свою очередь, пагубно отражается на состоянии эмали.
Гормональные нарушения
Такие состояния, как менопауза и беременность вызывают дефицит микроэлементов, ухудшающий общее состояние здоровья. Непосредственно на состояние зубов влияет смена уровня кислотности в полости рта.
Травмы
К трещинам зубов приводят:
- Химическое воздействие на эмаль (оседание опасных паров на эмали) при работе на предприятиях химической промышленности.
- Резкие смены температур (вдыхание холодного воздуха и глоток горячего напитка).
Часто травмы зубов встречаются у спортсменов: боксеров, футболистов.
Несмотря на то, что в основном «зубами-мишенями» становятся передние зубы, крошиться могут и зубы мудрости. Причиной того служит положение и наклонный рост восьмерки. В связи с тем, что его крайне тяжело вылечить, единственным путем решения является удаление проблемного зуба.
Какие основные причины хрупкости зубов в этом возрасте
Флюороз — некариозное поражение зуба, основной причиной которого является избыточное количество фтора в организме. Этот процесс один из самых ярких примеров того, что передозировка полезных веществ — тоже плохо. Фтор — фундаментальный элемент для укрепления эмали и борьбы с кариесом. При его внедрении в кристаллическую решетку эмали, она становится более прочной, устойчивой к действию кислот, которые выделяют бактерии, вызывающие кариес.
Но при его избытке эмаль становится слишком прочной, теряет свою «эластичность» и может скалываться пластами. В итоге родители приходят на прием к стоматологу с жалобами на то, что зубы у детей буквально рассыпались на глазах.
К счастью, флюороз — крайне редкое заболевание и встречается только в регионах, где в воде повышены его нормы. MedAboutMe напоминает, что норма фтора в воде составляет 0,8-1,2 мг/л воды. На территории РФ регионов с повышенным содержанием фтора в воде можно пересчитать по пальцам одной руки — Калмыкия, Татарстан, Удмуртия, некоторые города Московской, Тверской областей.

Елена Лызлова, врач акушер-гинеколог
В утробе ребёнок находится в тесной взаимосвязи с организмом матери: питательные вещества и микроэлементы поступают через плаценту к малышу. То, что кушает мама, отвечает за полноценность развития организма.
Питательные вещества можно сравнить с блоками, которые строители используют при строительстве дома. Недостаток строительного материала, как и нарушение пропорций при смешивании смеси для цементных блоков, отразятся на постройке дома. Если во время беременности плод недополучает с продуктами питания необходимые вещества, организм матери становится ресурсом для восполнения потерь. Так, кальций высвобождается из костей и зубов беременной; у женщины возрастает риск трещин и переломов костей, разрушаются зубы.
Чтобы предотвратить дефицит витаминов и микроэлементов, акушеры-гинекологи советуют принимать препараты для беременных. Они обеспечат нужды и потребности плода. Помните: зубы закладываются внутриутробно, поэтому недостаток кальция во время беременности имеет неблагоприятные последствия после рождения ребёнка.
Какие симптомы указывают на хрупкость зубов
Причин хрупкости зубов целый список, далеко не все
они стоматологического характера. Чтобы
устранить процесс разрушения – важно выявить,
что ему способствует.
Если при откусывании пищи отломился очередной кусочек зубной ткани - значит состояние зубов катастрофическое. Не стоит надеяться, что крошение пройдет само собой. Проблема только усугубиться. Поэтому при первой же возможности покажитесь стоматологу.
Дефицит в организме кальция – один из ключевых факторов разрушения зубов у взрослых и детей.
Крошение у взрослых происходит:
- Из-за нарушения обменных процессов в организме. Благодаря слюне полость рта очищается, эмаль насыщается кальцием. Но при повышенной кислотности желудка, воспалениях кишечника, ферментопатии (отсутствии ферментов либо нарушении их активности) секрет сам превращается в кислоту, разрушающую зубы.
- В период полового созревания, беременности, климакса. Данные процессы меняют в организме гормональный фон, что приводит к хрупкости кости. В особенности это явление характерно для беременных и пожилых. При зарождении новой жизни происходит изменение минерального обмена в организме. Питательные вещества идут на развитие плода, женщина в положении испытывает нехватку кальция. Что касается пожилого возраста, то с годами десны слабеют, страдает прочность твердых тканей.
- При
недостатке витамина D, без которого плохо усваивается кальций. Дефицит D зачастую
обусловлен нехваткой солнца, что связано с географическим расположением
региона. А также при недостаточном поступлении витамина с продуктами (больше
всего содержится в рыбе). - По причине резких температурных перепадов в ротовой полости. Постоянные нагрузки холодным-горячим убивают даже самую прочную ткань в организме - эмаль. К примеру, нельзя чаевать сразу после мороженого.
- Из-за механических повреждений. Зубы покрываются микротрещинами и в дальнейшем крошатся у людей, которые меланхолично грызут ручки, открывают зубами бутылки, щелкают орехи и т.д.
- При патологическом прикусе. Из-за неравномерного распределения давления разрушаются зубы, испытывающие на себе перегрузку.
- При некоторых хронических заболеваниях, а именно - сахарном диабете, артрите, остеопорозе. Эти недуги приводят к истончению эмалевого слоя, который легко атакуют вредоносные микроорганизмы.
- Из-за некачественной гигиены. На зубной поверхности, обычно труднодоступной для щетки, развивается кариес, и пораженная ткань потихоньку рассыпается.
- При плохой наследственности. Хрупкость зубов генетически передается от ближайших родственников.
Может ли хрупкость зубов быть признаком более серьезных проблем со здоровьем
Вы заметили, что зубы стали хрупкими? Иногда проблема начинается с мелочей: небольшие сколы, трещины, повышенная чувствительность. Крошение зубов – не просто косметический дефект, а признак серьезных проблем со здоровьем.
Разбираемся, почему это происходит, как сохранить зубы крепкими, какие методы лечения действительно работают.
Как стоматолог, я часто сталкиваюсь с пациентами, у которых начали крошиться зубы. Главное — сразу обратиться в клинику, ведь на ранних стадиях проблему можно решить быстро и безболезненно. Запишитесь на бесплатную консультацию, где мы разберемся в причинах, составим план лечения, поможем сохранить вашу улыбку здоровой!
Крошение зубов происходит из-за разрушения эмали, а также ослабления внутреннего слоя единицы – дентина. Процесс всегда сводится к одному: эмаль теряет прочность, появляются микротрещины, со временем кусочки зуба начинают откалываться.
Основные причины крошения зубов:
1. Наследственность
Генетическая предрасположенность часто влияет на состояние зубов. У некоторых пациентов эмаль изначально более тонкая. Из-за этого она более уязвима к повреждениям и кариесу.
2. Заболевания зубов и десен
- Кариес постепенно разрушает структуру единицы, делает ее хрупкой.
- Флюороз при избытке фтора приводит к пятнистости, повышенной ломкости эмали.
- Пародонтоз и гингивит – это воспаления десен, которые ослабляют крепление зубов.
3. Прием медикаментов
Антибиотики (тетрациклины), мочегонные препараты или средства для снижения кислотности желудка могут снижать выработку слюны. Из-за этого на поверхности эмали накапливаются патогенные бактерии, также к зубам поступает меньше полезных веществ. В результате ухудшается состояние тканей зубов.
4. Вредные привычки
- Курение снижает кровоснабжение десен, к зубам поступает меньше минералов из крови, поэтому они становятся более хрупкими.
- Грызть ногти, открывать бутылки зубами, кусать твердые предметы – все это приводит к появлению микротрещин или сколов.
5. Внешние факторы
- Питание. Употребление большого количества сладкого или кислого приводит к вымыванию минералов из эмали. Недостаток кальция, витамина D ослабляет зубные ткани.
- Травмы. Удары, падения, механическое воздействие могут привести к трещинам, сколам единиц.
- Неправильный прикус. Неравномерное распределение жевательной нагрузки при кусании и жевании создает дополнительное давление на единицы, которое приводит к их разрушению.
- Агрессивная гигиена. Слишком жесткие щетки, частое использование абразивных отбеливающих паст или кислотных полосок истончают, царапают эмаль.
Чего не хватает организму если начал крошится зуб?
Если единицы начали крошиться, это может быть связано с дефицитом важных элементов:
- Кальций . Основной строительный материал зубов. Недостаток приводит к истончению эмали, повышенной ломкости.
- Фосфор . Укрепляет эмаль, поддерживает баланс минералов в зубных тканях.
- Витамин D . Без него кальций плохо усваивается, что ослабляет зубную структуру.
- Магний . Участвует в минерализации единиц, при его нехватке эмаль становится менее плотной.
- Фтор . Делает эмаль устойчивой к кислотам, а его дефицит снижает защиту от разрушения.
- Железо . Улучшает здоровье слизистой и иммунитет, при нехватке зубы становятся уязвимыми к повреждениям.
Чтобы точно определить причину крошения зубов, необходима тщательная диагностика у стоматолога. Врач выявит проблему и назначит лечение, которое поможет сохранить целостность единиц, а также предотвратить их дальнейшее разрушение.
Как диагностируется хрупкость зубов у взрослых
Для измерения плотности кости применяют метод денситометрии, которая проводится такими методами:
- Рентгеновский снимок . Позволяет диагностировать остеопороз, когда до 30% ткани уже потеряно. Хотя его тоже применяют, но больше для диагностики патологических переломов.
- Двухэнергетическая рентгеновская абсорбциометрия DXA. Позволяет выявить разрежение кости на стадии остеопении, когда костная масса уменьшилась, но остеопороза еще нет. Наиболее применимый метод.
- Ультразвуковая диагностика. УЗ-волны по-разному проходят через среды разной плотности, что позволяет диагностировать плотность кости. Чувствительность современных УЗИ-аппаратов дает возможность выявить потерю от 2–5% костной массы.
- Количественная КТ или МРТ.
Кому нужно пройти обследование
Однозначным показанием для проведения обследования являются патологические переломы, которые возникают, если человек слегка ушибся или упал с небольшой высоты.
Также контролю подлежат люди из групп риска:
- Женщины в период менопаузы.
- Люди 70+ обоих полов.
- Женщины кормящие грудью.
- Люди с анорексией – сочетание недостатка питания и малого веса ведет к повышенному риску заболевания.
- Пациенты, постоянно принимающие кортикостероиды.
- Люди с болезнями печени, почек, крови, системными заболеваниями.
- Лица, которые были вынуждены долго пребывать в состоянии иммобилизации (неподвижности).
Также к остеопорозу ведет употребление кофе в больших количествах, курение и алкоголизм.
Какие методы укрепления зубов наиболее эффективны
Фторирование
Фтор является важным минералом, который играет решающую роль в поддержании здоровья наших зубов. Его поступление в организм осуществляется в основном через воду. Однако, обычная вода из крана содержит больше хлора, чем фтора. В то время как фтор играет ключевую роль в различных биохимических процессах в организме, количество этого минерала в зубной пасте недостаточно для обеспечения полноценной защиты зубов. Именно поэтому процедуры фторирования, направленные на насыщение фтором определенных участков зуба, проводятся в стоматологических клиниках.
Существует несколько методов фторирования зубов , среди которых выделяют три основных способа.
- Первый способ предполагает нанесение специального фторсодержащего лака на зубную поверхность с помощью кисточки. Этот лак позволяет эмали самостоятельно впитывать фтор, и результат можно увидеть уже после нескольких процедур.
- Второй метод включает использование индивидуально изготовленных капп, которые наполняются фторсодержащим гелем. Зубы помещаются в эти каппы на определенное время, обычно около 15 минут. Для достижения необходимого уровня насыщения фтором требуется провести от 10 до 15 процедур.
- Третий способ , глубокое фторирование, использует специальную эмаль с высокой концентрацией ионов фтора. Эта процедура включает в себя нанесение двух препаратов на зубы: один состоит из меди, фтора и магния, а другой - из гидроокиси кальция. В результате взаимодействия этих препаратов образуются микроскопические кристаллы, которые пломбируют микропоры зубной эмали, защищая их от разрушения. Этот метод считается наиболее эффективным и долгосрочным.

Реминерализация
Этот метод направлен на восстановление минеральной структуры зубов и уплотнение истонченной эмали. Путем химического взаимодействия различных соединений обогащаются эмалевые слои зубов минеральными элементами, такими как кальций и фосфаты. Микропоры, образовавшиеся в кристаллической решетке, тщательно заполняются. Этот метод часто используется при деминерализации, когда образуются кариозные полости в зубе, а также при повышенной чувствительности к различным раздражителям. Для проведения данной процедуры применяются специальные индивидуальные каппы, наполненные специальным гелем. Хотя сеанс реминерализации требует времени, он обеспечивает отличные результаты.
Имплантация эмали
Этот метод применяется в передовых стоматологических клиниках и считается передовым и, следовательно, дорогостоящим. Обычно эмалирование выполняют, если повреждение поверхности зуба значительное или требуется восстановление большой области эмали. Свойства материала для эмалирования максимально приближены к физическим характеристикам зубных тканей. Препарат, который наносят на зуб, словно сливается с естественным составом эмали и объединяется с ним на молекулярном уровне. Кроме восстановления, эмалирование также отлично справляется с коррекцией цвета поврежденного зуба (изменением его оттенка).
Сбалансированное питание
Питание играет важную роль в укреплении верхнего зубного слоя. Вот несколько продуктов, которые способствуют реминерализации зубной эмали:
- Молочные продукты, такие как молоко (включая соевое), сыр и йогурт, богаты кальцием и фосфором, что способствует восстановлению эмали.
- Сельдерей, содержащий много клетчатки, помогает предотвратить образование налета. Медленное жевание сельдерея также массирует десны, стимулируя кровоток и увеличивая выработку слюны.
- Петрушка обладает антибактериальными свойствами, защищая полость рта от инфекций.
- Зеленый чай содержит антиоксиданты, фтор и полифенолы, которые борются с зубным налетом.
- Клубника содержит яблочную кислоту, которая предотвращает образование налета на зубах, а также витамин C и антиоксиданты, укрепляющие зубную эмаль.
- Рыба, желток и рыбий жир богаты витамином D, который регулирует белковый обмен, необходимый для формирования эмали зубов.
- Витамин К, который также полезен для укрепления зубов, можно получить из твердого сыра, яичного желтка и капусты.
Влияет ли питание на хрупкость зубов, и как его скорректировать
В 30 лет и позже забота о здоровье зубов играет особенно важную роль. Люди отмечают, что регулярные походы к стоматологу помогают избежать серьезных проблем с зубами в будущем. Рекомендации специалистов включают в себя правильное чистение зубов два раза в день, использование зубной нити и ополаскивателя. Также важно следить за своим питанием, исключая излишнее потребление сладкого и кислого, что может негативно сказаться на эмали. Интересный факт: зубы могут быть здоровыми даже в пожилом возрасте, если поддерживать правильный уход за ними с молодости. Важно помнить, что здоровье зубов влияет не только на уверенность в себе, но и на общее физическое здоровье.
Выбор зубной пасты
Покупая зубную пасту, уделите ее выбору не меньшее внимание. Для покупки наиболее оптимального варианта зубной пасты лучше проконсультироваться со стоматологом. При этом учитываются такие индивидуальные факторы, как возраст, наличие кариеса и зубного камня. Отметим, что «семейная» зубная паста, которой пользуются и родители, и дети не способна принести большой пользы, равно, как и вреда.
Правильный уход за полостью рта
Ротовая полость — это не только зубы. Под этот термин попадает все, что находится во рту: десны, небо, щеки, язык и даже миндалины. В любом из вышеперечисленных мест могут скопиться болезнетворные бактерии, если в ходе ежедневной чистки ротовой полости им не уделить нужного внимания.
- Полоскание рта при помощи аптечных средств и отваров трав — весьма распространенное явление. С помощью процедуры можно хорошо бороться с размножением бактерий, обеспечивая профилактику заболеваний и здоровое дыхание.
- Чтобы хорошо очищать язык и щеки можно приобрести специальную щетку, либо выбрать такой аксессуар, на обратной стороне которого (от щетины) имеется специальный рельеф для чистки остальных частей в ротовой полости. Для этих же целей применяют и чайную ложку.
- Нередко для ухода за ротовой полостью используют специальные приспособления, именуемые, как ирригаторы. Это приборы, которые помогают полоскать и массажировать рот, что осуществляется за счет направленных струй жидкости.
Правильное питание
Здоровье зубов возможно в том случае, если здоров весь организм. Это, в свою очередь, зависит от продуктов питания, которые мы употребляем каждый день. К полезным продуктам, благотворно влияющим на зубы, относят яблоки, зеленый чай, сельдерей и всевозможную зелень. Отметим, что зеленый чай — отличное бактерицидное средство. К тому же, он совсем не окрашивает зубы, как, например, черный чай.
Нередко для восстановления здоровья ротовой полости применяется специальная диета, которая предусматривает употребление только полезных продуктов и исключает вредные. В процессе подобной диеты можно применять кокосовое масло. Оно обладает антибактериальными свойствами, за счет которых это масло можно добавлять в зубную пасту.
Чтобы укрепить зубы и убрать с них желтизну, нужно употреблять вместе с пищей витамины А, В, D, а также магний, калий и кальций. Они содержатся во фруктах и овощах, кисломолочной продукции. Для того чтобы получать из фруктов и овощей максимальное количество витаминов, их нужно есть сырыми.
Посещаем стоматолога
Известно, что для хорошего здоровья ротовой полости необходимо в профилактических целях 1 раз в год посещать стоматолога. В процессе такого обследования можно выявить заболевание на самой начальной стадии и назначить соответствующее лечение.
При желании и если в этом есть необходимость, пациент может заказать процедуру отбеливания зубов, которая пользуется довольно немалой популярностью. При помощи современных технологий можно отбелить не только все зубы, но и любой зуб отдельно посредством виниров и люминиров.
обусловлен нехваткой солнца, что связано с географическим расположением
региона. А также при недостаточном поступлении витамина с продуктами (больше
всего содержится в рыбе).