Как выглядят зубы в 40-50 лет: естественные изменения и пути их предотвращения
- Как выглядят зубы в 40-50 лет: естественные изменения и пути их предотвращения
- Связанные вопросы и ответы
- Какие изменения внешнего вида зубов считаются нормальными в возрасте 40-50 лет
- Почему зубы начинают темнеть с возрастом
- Как предотвратить выпадение зубов в возрасте 40-50 лет
- Какие методы лечения рекомендуются для зубов в возрасте 40-50 лет
- Можут ли зубные протезы или имплантаты выглядеть естественно
- Как поддерживать здоровье десен после 40 лет
- Влияет ли питание на внешний вид и здоровье зубов в возрасте 40-50 лет
Как выглядят зубы в 40-50 лет: естественные изменения и пути их предотвращения
Гигиена полости рта .
Тщательная гигиена — основа сохранения здоровья зубов:
- Чистка зубов дважды в день с использованием пасты с фтором укрепляет эмаль, предотвращая кариес.
- Мягкая зубная щетка с закругленными щетинками минимизирует травмирование десен, а техника чистки — круговые движения под углом 45 градусов — эффективно удаляет налет.
- Зубная нить или межзубные ершики очищают межзубные промежутки, где скапливаются бактерии.
- Ирригатор , создающий струю воды под давлением, удаляет налет из труднодоступных мест, особенно при рецессии десен.
- Ополаскиватели с антисептическими компонентами, такими как хлоргексидин, снижают бактериальную активность, но их следует использовать курсами, чтобы избежать дисбактериоза полости рта.
- Профессиональная чистка у стоматолога каждые шесть месяцев удаляет зубной камень, предотвращая воспаление десен.
Питание и минерализация.
Диета играет ключевую роль в здоровье зубов. Продукты, богатые кальцием, такие как молочные продукты, и фосфором, содержащиеся в рыбе, укрепляют эмаль. Витамин D, получаемый из жирной рыбы или солнечного света, улучшает усвоение кальция. Ограничение сахара и кислых продуктов, таких как цитрусовые, снижает риск деминерализации эмали. Жевательная резинка без сахара стимулирует выработку слюны, нейтрализующей кислоты.
Образ жизни.
Отказ от курения улучшает кровоснабжение десен и снижает воспаление. Умеренное потребление алкоголя и управление стрессом, также способствуют здоровью полости рта. Регулярные физические нагрузки улучшают кровообращение, поддерживая регенерацию тканей.
Регулярные осмотры .
Посещение стоматолога каждые шесть месяцев позволяет выявить проблемы на ранних стадиях. Рентгенография раз в год помогает обнаружить скрытые патологии, такие как корневой кариес или резорбция кости. Пациентам с диабетом или остеопорозом может быть рекомендован более частый график визитов, чтобы контролировать состояние десен и кости.

Связанные вопросы и ответы:
Вопрос 1: Какие общие изменения внешнего вида зубов происходят у людей в возрасте 40-50 лет
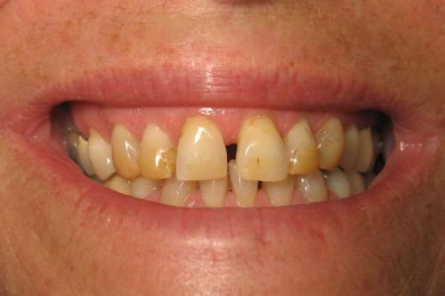
В возрасте 40-50 лет зубы могут начать терять свою естественную белизну и становиться более желтоватыми или сероватыми. Это связано с естественным процессом старения, при котором эмаль тончает, а дентин под ней становится более видимым. Кроме того, на зубах могут появляться небольшие трещины и царапины, что делает их менее гладкими на вид. Некоторые люди могут заметить, что их зубы начинают немного смещаться, что может привести к небольшому изменению прикуса. Эти изменения могут быть усугублены такими факторами, как курение, употребление кофе или чая, а также недостаточная гигиена полости рта.
Вопрос 2: Почему зубы в 40-50 лет могут становиться более склонными к кариесу
В возрасте 40-50 лет зубы могут становиться более склонными к кариесу из-за естественного процесса разрушения зубной эмали. Эмаль становится тоньше, что делает зубы более уязвимыми для кислотных атак, вызванных бактериями в полости рта. Кроме того, с возрастом может ухудшаться кровоток в деснах, что может привести к их отступлению и обнажению корней зубов. Корни зубов не защищены эмалью, поэтому они более восприимчивы к кариесу. Некоторые люди в этом возрасте также могут испытывать сухость во рту, что может способствовать росту бактерий и увеличению риска кариеса. Регулярная чистка зубов и использование фторсодержащих средств могут помочь снизить этот риск.
Вопрос 3: Какие изменения в цвете зубов наиболее распространены в возрасте 40-50 лет
В возрасте 40-50 лет зубы могут приобретать желтоватый или сероватый оттенок. Это связано с тем, что эмаль становится тоньше, а дентин под ней темнеет. Кроме того, на зубах могут накапливаться пятна от кофе, чая, красного вина и других продуктов, что также способствует изменению цвета. Курение также может вызвать значительное потемнение зубов. В некоторых случаях изменение цвета может быть вызвано внутренними факторами, такими как приём определённых лекарств или травмы зубов. Для восстановления естественного цвета зубов можно использовать различные методы отбеливания, но перед этим обязательно стоит проконсультироваться с стоматологом.
Вопрос 4: Может ли потеря зубов быть проблемой в возрасте 40-50 лет
Да, потеря зубов может быть проблемой в возрасте 40-50 лет, особенно если не уделять должного внимания гигиене полости рта и регулярным стоматологическим осмотрам. Основные причины потери зубов в этом возрасте включают запущенный кариес, пародонтоз и травмы. Пародонтоз, который вызывает отступление десен и ослабление связок, удерживающих зубы, может быть особенно опасным. Если не лечить эти состояния, зубы могут начать шататься и eventually выпадать. Однако современная стоматология предлагает множество решений, таких как имплантаты, мосты и протезы, чтобы восстановить утраченные зубы и вернуть улыбку.
Вопрос 5: Какие изменения в форме или положении зубов могут возникнуть в возрасте 40-50 лет
В возрасте 40-50 лет могут возникнуть небольшие изменения в форме или положении зубов. Например, передние зубы могут начать немного смещаться, что может привести к небольшому изменению прикуса. Это может быть связано с естественным процессом старения, при котором кости и связки, поддерживающие зубы, теряют свою эластичность. Кроме того, если зубы были ранее повреждены или подвергались ортодонтическому лечению, они могут начать возвращаться в исходное положение. В некоторых случаях это может привести к эстетическим проблемам, таким как неровные зубы или неправильный прикус. Ортодонтическое лечение, такое как брекеты или прозрачные капы, может помочь исправить эти проблемы.
Вопрос 6: Как возраст влияет на чувствительность зубов
С возрастом зубы могут становиться более чувствительными. Это связано с тем, что эмаль тончает, а дентин становится болееанным. Дентин содержит небольшие канальцы, которые ведут к пульпе зуба, и когда эти канальцы обнажаются, даже незначительные стимулы, такие как горячая или холодная пища, могут вызвать боль. Кроме того, отступление десен может обнажить корни зубов, которые также очень чувствительны. Чувствительность может быть усугублена такими факторами, как кислотные продукты, сточная щетка или использование отбеливающих средств. Существуют специальные зубные пасты и процедуры, которые могут помочь снизить чувствительность.
Вопрос 7: Какие стоматологические проблемы наиболее часто возникают в возрасте 40-50 лет
В возрасте 40-50 лет наиболее часто возникают такие стоматологические проблемы, как кариес, пародонтоз, потери зубов и увеличение чувствительности. Кариес может возникать из-за истончения эмали и накопления бактерий. Пародонтоз вызывает воспаление и отступление десен, что может привести к ослаблению зубов. Потеря зубов может быть следствием запущенного кариеса или пародонта. Увеличение чувствительности связано с обнажением дентина и корней зубов. Также в этом возрасте могут возникать проблемы с прикусом и эстетикой улыбки. Регулярные осмотры и правильная гигиена могут помочь предотвратить или вовремя обнаружить эти проблемы.
Вопрос 8: Как можно предотвратить или замедлить изменения в зубах в возрасте 40-50 лет
Для предотвращения или замедления изменений в зубах в возрасте 40-50 лет важно соблюдать правильную гигиену полости рта. Это включает регулярную чистку зубов с использованием фторсодержащей зубной пасты, использование зубной нити и полоскания рта антисептическими растворами. Также важно сократить потребление сахара и кислотных продуктов, так как они могут способствовать кариесу и эрозии эмали. Курение и употребление алкоголя также следует ограничить, так как они могут вызвать потемнение зубов и увеличить риск пародонта. Регулярные стоматологические осмотры и профессиональная чистка помогут вовремя обнаружить и устранить любые проблемы. Кроме того, можно использовать специальные зубные пасты для чувствительных зубов и средства для отбеливания под наблюдением стоматолога.
Какие изменения внешнего вида зубов считаются нормальными в возрасте 40-50 лет
На что следует обратить внимание, особенно после 40? Самое время бросить курить, ограничить употребление алкоголя, почаще менять зубную щетку (минимум каждые 3 месяца), использовать правильную зубную пасту (с фтором) и чистить зубы дважды в сутки. Антибактериальное полоскание и зубная нить — обязательные условия. Регулярные осмотры у стоматолога также необходимы. Пародонтоз может развиваться локально, поражая только десну возле восьмерок или семерок. Как выглядит лечение? Акцент делается на изменении привычек, тщательной чистке зубов и области между ними, использовании ополаскивателя для полости рта, содержащего, в частности, хлоргексидин. В кабинете проводится профессиональная гигиена и очистка десневых карманов.
Статистика показывает, что после 40 лет трудно найти человека с полным набором зубов. Очень часто не хватает одного или двух зубов, в худшем случае — всех. Наиболее распространенными причинами являются кариес, пародонтоз и механические травмы. Существует распространенное мнение, что отсутствие одного зуба — это еще не повод для паники, ведь у нас остается в лучшем случае 31 зуб. Но нет ничего более ошибочного.
Отсутствие одного зуба означает ряд осложнений. Зубы поддерживают друг друга, и когда мы теряем один из них, соседние и касательные зубы не являются пассивными, они двигаются и выдвигаются из кости . Отсутствие опоры делает их более подвижными, их легче потерять и сложнее подвергать гигиенической обработке.
Отсутствие зубов означает проблемы с пищеварительной системой, которые возникают из-за неаккуратного пережевывания пищи. Проблемы с окклюзией — может появиться боль в районе височно-нижнечелюстного сустава, головы и уха . Потеря зуба — это еще и вопрос красоты. Даже если потерянный зуб не был виден, эстетика лица все равно меняется. Появляются или углубляются морщины, образуются борозды.
Как это лечится? Нет другого рецепта, кроме как заменить отсутствующие зубы протезированием. Это можно сделать с помощью коронки, если есть корень, и моста или имплантата, если зуба нет вообще. Чем раньше мы примем решение о восстановлении, тем меньше будет последствий от пренебрежения этим в будущем.
Почему зубы начинают темнеть с возрастом
Пигментация зубов, или дисколорит эмали — это патологическое изменение естественного цвета зубной эмали, при котором зубы могут приобретать жёлтый, розовый, коричневый или чёрный оттенок. Очень часто пигментация эмали сопровождается её деминерализацией, что повышает чувствительность зубов. Пигментация зубов не связана с кариесом .
Пигментация постоянных зубов
Данное заболевание ещё недостаточно изучено, поэтому врачу достаточно сложно выбрать правильный способ лечения и профилактики.
Обычно пигментацию зубов связывают с неправильным питанием, вредными привычками и травмами. Но на самом деле причин гораздо больше. Врачи делят их на внешние и внутренние.
К внешним причинам пигментации зубов относятся:
- Курение, а точнее никотиновая смола, которая содержится в табаке. Она проникает вглубь эмали, из-за чего поверхность зуба становится тёмного цвета.
- Мягкий налёт и зубной камень . Они являются очагами инфекции. Зубной камень видно невооружённым глазом. Он находится над десной, чаще всего с обратной стороны языка. Имеет рыхловатую консистенцию и желтоватый цвет.
- Употребление продуктов, в составе которых есть сильный пигмент, способный окрасить зуб, например, пигменты, которые содержатся в кофе, чёрном чае и красном вине. Причём частота употребления "красящих" продуктов напрямую влияет на скорость и степень пигментации зубов: чем чаще человек пьёт крепкий кофе, тем темнее будут его зубы.
Зубы, пожелтевшие от частого употребления кофе
К внутренним причинам относятся:
- Избыток или недостаток фтора в организме. Если в воде определённой местности содержится аномальная концентрация фтора (выше или ниже 1-1,5 мг/литр), то при употреблении такой жидкости зубы могут приобрести белые или тёмные вкрапления.
- Внутренние системные заболевания, например, порфирия (наследственное нарушение пигментного обмена), муковисцидоз (наследственное нарушение работы слизистых оболочек) и др.
- Длительное применение некоторых лекарств, в том числе антибиотиков. Зубы пациентов, принимающих лекарства, могу приобрести желтоватый или сероватый оттенок. Например, у детей дошкольного возраста приём тетрациклина вызывает такую же пигментацию зубов, как и муковисцидоз.
- Лечение зубов. Если при пломбировке зуба использовалась амальгама (материал из сплава металла и ртути), то пломба со временем может приобрести коричневый оттенок, а при использовании резорцин-формалиновой пасты в корневых каналах — розовый. Причём тёмный цвет после пломбировки каналов может приобрести не только сам зуб, но и десна вокруг него.
- Возрастные изменения. Эта причина связана с потемнением дентина (твёрдой основной части зуба) и утраченного слоя эмали.
- Нездоровый рацион. Чем ниже качество потребляемых продуктов, тем хуже состояние здоровья человека, в том числе и состояние его зубов. Поэтому питание должно быть полноценным и здоровым, включающим в себя витамины, минералы, белки и углеводы.
- Наследственность. У некоторых людей генетически заложен тёмный цвет зубов.
Потемнение зуба после лечения
Пигментация, вызванная внешними причинами, обычно легко устраняется. Достаточно пользоваться отбеливающей зубной пастой или обратиться за помощью к стоматологу: в его арсенале есть разнообразные методики по отбеливанию зубов. Если же причиной окрашивания эмали стали внутренние факторы, то пигментация проникает глубоко в зуб, из-за чего от неё не так просто избавиться.
Дисколорит выявляют у 85 % людей молодого возраста, причём у мужчин он встречается чаще (60 % случаев), чем у женщин (40 % случаев). Чаще всего пигментация развивается у детей. Сегодня в целом очень сложно найти ребёнка без проблем с зубами.
Причинами детской пигментации зубов могут быть:
- нарушение детского рациона, чрезмерное употребление сладкого;
- низкая усвояемость кальция;
- зубной налёт, возникший из-за неправильной гигиены полости рта;
- ранний кариес (может появиться уже на самых первых, молочных зубах);
- наследственность;
- нарушение работы слюнных желёз;
- дисбактериоз ;
- нарушение работы обменных процессов и метаболизма флоры;
- использование столовых приборов, которыми пользуются взрослые (например, через ложку от мамы к ребёнку могут передаться бактерии);
- приём некоторых лекарств, содержащих железо;
- механические, термические или химические травмы (например, трещина зуба).
Как предотвратить выпадение зубов в возрасте 40-50 лет
12.11.14

У людей преклонного возраста выпадают даже здоровые зубы. Порой мы не углубляемся в причины и списываем все на возраст, а так ли это? Рассмотрим изменения зубов с течением времени
В старости у людей по краям зубов сточена эмаль и они прозрачны. Обычно в этот период не только страдают зубы, но и волосы и ногти становятся очень ломкими. Важно как можно быстрее обратиться в стоматология Челябинск и принять меры по предупреждению выпадения зубов. Провести изменения в рационе, приобрести новую пасту по советам доктора, и тем самым продлить жизнь зубам. Следует исключить употребление кофе, и избавиться от пагубных привычек. Тщательнее следить за ротовой полостью, чистить зубы каждый раз после приемов пищи.
Следствием выпадения зубов может быть остеопороз, очень остро эта проблема наблюдается у женщин. При этом происходят неблагоприятные изменения к костной ткани, что и влияет на хрупкость зубов. Причиной может быть и протезирование зубов по «старым» методам, при которых обтачивали зуб для закрепления протеза. В результате зуб оставался без эмали и не был защищен от многообразия бактерий.
На процесс сохранности зубов влияют некоторые заболевания, и, к сожалению это не предотвратить. Вот некоторые из них: артрит, болезни почек, диабет, гипертензия. Именно страдающая категория лиц этими недомоганиями и подвержена риску преждевременного выпадения зубов.
Что же нужно делать для сохранения зубов?
Не только пожилым людям, но и в любом возрасте нужно посещать стоматолога. В этом поможет стоматологическая клиника челябинска , где проведут осмотр и примут необходимые меры для лечения зубов. Нужно меньше употреблять сладкую и кислую пищу, не забывать о гигиене полости рта. Выполняя простые правила, можно надолго сохранить «наличие» зубов и вести привычный образ жизни независимо от возраста.
Если необходимость восстановления зубов всё же возникла, обратитесь в стоматологию "Алые паруса" для имплантации зубов .
Какие методы лечения рекомендуются для зубов в возрасте 40-50 лет
Думаете, беззубость – удел пожилых? Но сейчас люди в возрасте 40-45 лет (и даже моложе!) зачастую не просто имплантируют отдельные зубы, а полностью восстанавливают всю челюсть на имплантах.
Так что проблема довольно острая. И резонно возникают вопросы, в каком возрасте импланты ставить можно, а когда уже поздно? Отвечаем.
Улыбаться и не задумываться о внешнем виде зубов хочется в любом возрасте! Фото: Яндекс.Картинки.
Можно ли ставить импланты пожилым?
Готовы удивляться?… Верхней границы нет – импланты можно ставить хоть до ста лет! В нашей практике много пациентов 70+. Есть и те, кому мы успешно восстановили все зубы на имплантах в 85.
Главное – чтобы челюстные кости были в оптимальном состоянии для имплантации. И были исключены абсолютные противопоказания (а их довольно мало).
Это не значит, что вы должны быть абсолютно здоровы. Многие пациенты, особенно в почтенном возрасте, имеют свой букет хронических болезней в полости рта. Да и в целом тоже. Среди заболеваний есть и довольно серьезные – пародонтит, пародонтоз , остеопороз, нарушение обмена веществ при сахарном диабете, ВИЧ, у курильщиков со стажем и т.д. Но врачи научились обходить сложности.
Методик имплантации гораздо больше, чем две или три. Комфортно восстановить можно как один, так и все зубы в ряду. Фото: Яндекс.Картинки.
Для имплантации создано множество разных протоколов (т.е. правил, по которым проходит каждый шаг операции). Например, в нашей клинике больше 40 вариантов . Задействуются разные, в том числе глубокие стерильные костные отделы, работа ведется с увеличенной площадью кости, мы используем материалы и методики, чтобы стимулировать метаболизм в тканях и др. Все это позволяет проводить имплантацию даже на фоне сложных состояний организма, подбирая решение индивидуально. И это на самом деле важно – позволит исключить осложнения.
Конечно, есть и действительно непреодолимые противопоказания. Но это очень серьезные или не поддающиеся лечению состояния: болезни крови, ряд аутоиммунных заболеваний, невозможность провести анестезию, тяжелые нарушения психики, злокачественные опухоли и т.п. А если заболевание поддается контролю, то найдется и способ восстановить зубы.
Что касается пожилого возраста – самое главное, чтобы состояние здоровья позволяло провести имплантацию зубов. А это решается после диагностики. Также нужно оценивать физическое и эмоциональное состояние пациента. В частности, человек должен быть в состоянии ухаживать за собой и проводить качественную гигиену полости рта, не должно быть прогрессирующих психических заболеваний. Разумеется, никто не может заглянуть в будущее и понять, как повернется жизнь. Но это касается и молодых людей. Поэтому комфортно жить нужно прямо сейчас, чтобы ничего не упустить.
Главное перед любой имплантацией – тщательная оценка здоровья челюстной системы. Фото: Smile-at-Once.ru.
Можно ли ставить импланты подросткам?
А здесь действительно есть ограничения. Имплантацию можно проводить, когда челюстные кости плотные и полностью сформированные. Все постоянные зубы прорезались и заняли нужное положение, эмаль набрала прочность, корни больше не будут смещаться.
Это происходит после 18 лет. А у кого-то только в 20-22 года.
До совершеннолетия ставить импланты нерационально – из-за глобальных перестроек в челюстной системе искусственные корни могут сместиться, помешать формирования здоровых зубов или вообще не прижиться.
Можно ли ставить импланты детям?
Разумеется, нет. По той же причине, что и подросткам – челюстные кости еще только формируются, зубы растут, занимают свое постоянное место. Да, встречаются ситуации, когда малыши выбивают только что выросшие постоянные резцы (передние зубы). Или у ребенка серьезные патологии формирования зубов, эмали. Но подождать все равно придется. Для малышей всегда подбираются безопасные альтернативы в виде специальных съемных протезов или облеченных коронок.
Челюстная система растет и меняется вместе с ростом организма. Сравните: слева – зубы ребенка во время смены молочных на постоянные, а справа – челюсти взрослого человека. Фото: Яндекс.Картинки.
Вывод: возраст по верхней границе – не ограничение! Хотите комфортные зубы на имплантах, но сомневаетесь? Сходите хотя бы на консультацию к специалисту (а лучше к нескольким, чтобы получить объективную картину). Врачи оценят состояние вашей зубочелюстной системы, состояние здоровья в общем и подскажут, какие методы имплантации вам подойдут и есть ли какие-либо противопоказания.
Источник: Яндекс.Дзен-канал Smile-at-Once. Читать больше и подписаться .
Можут ли зубные протезы или имплантаты выглядеть естественно
Совершенно естественно испытывать стресс и дискомфорт из-за потери зубов.
Основными вариантами восстановления зубов считаются зубные протезы и зубные имплантаты . Но с учетом множества факторов - от внешнего вида, ощущений, цены и т.д. - как понять, что больше подходит именно вам?
Мы разложим все по полочкам, чтобы вам не пришлось разбираться с этим сложным материалом самостоятельно. Вот все, что вам нужно знать о зубных имплантатах и зубных протезах.
Зубные имплантаты против протезов: что подходит именно вам?
Что такое зубные протезы?
Зубные протезы — это съемные приспособления для вашего рта. Они заменяют как отсутствующие зубы, так и некоторые ткани десны .
Протезы изготавливаются из акриловой основы цвета, идентичного цвету десны. Эта основа поддерживает зубы протеза.
Некоторые протезы имеют легкий металлический каркас, который обеспечивает дополнительную прочность и поддержку.
Eсть два варианта cъемного протезирования : полные съемные протезы и частичные протезы.
Полные съемные зубные протезы
Такие заменяют все зубы на отдельно верхней или нижней челюсти или на обеих челюстях одновременно и опираются непосредственно на десны.
Частично съемные зубные протезы
Частичные протезы, с другой стороны, используются для заполнения зубных промежутков. Поэтому частичные протезы чаще всего используются, когда некоторые естественные зубы еще остались.
Такие протезы крепятся при помощи кламмеров (от нем. – klammer – крючок) вокруг имеющихся зубов. Частичные протезы могут также устанавливаться с помощью креплений, которые устанавливаются на коронки.
Плюсы зубных протезов
Протезы стоят дешевле, чем имплантаты .
Протезы могут быть установлены пациентам, у которых произошла потеря костной ткани или десны (в отличие от имплантатов, которые должны быть закреплены в кости).
Процедура установки зубных протезов неинвазивна. Кроме того, для протезов не требуется сверление кости - часть процесса имплантации.
Процесс изготовления зубных протезов относительно быстрый и требует всего лишь около четырех посещений стоматолога.
Минусы зубных протезов
Во-первых, может потребоваться корректировка или замена протезов, поскольку структура лица и десен меняется с возрастом.
Во-вторых, к зубным протезам нужно привыкнуть, и поначалу они могут вызывать дискомфорт, особенно в первые день-два ношения. Вы можете испытывать повышенное слюноотделение, трудности при жевании и речи.
Как и обычные зубы, зубные протезы требуют ежедневного ухода. При неправильном уходе за зубными протезами может возникнуть инфекция в зоне рта или десен.
Как поддерживать здоровье десен после 40 лет
Существует ошибочное мнение, что из-за старения организма, люди в пожилом возрасте больше всех подвержены потере зубов. К счастью, это не правда. Зубы можно сохранить и в пожилом возрасте, просто нужен хороший уход.
С возрастом, у человека снижается слюноотделние, от этого, ротовая полость становится более подвержена бактериям. Прием лекарств, пагубно может отразиться на зубах и деснах. Десна воспаляются, краснеют и кровоточат, и может появится кариес.
Один из распространенных недугов в старосте, это гингивит. Гингивит отслоение десны от зуба, в дальнейшем потеря зубов. Чтобы всего этого избежать, следует придерживаться простых рекомендаций.
Уход за полостью рта, несколько полезных советов
- Люди после того как уходят на пенсию, редко выходят в общество, и многие считают что уход за полостью рта, уже не так важен. Это конечно же не правильно. Во-первых чистка зубов, в любом возрасте обязательна, не менее двух раз в день, утром и вечером. После каждого приема пищи, важно полоскание теплой кипяченой водой, из-за того что между зубами часто застревают остатки пищи.
- Можно также воспользоваться зубными нитями или зубочисткой, но аккуратно, чтобы не навредить лишний раз деснам.
- Зубную щетку желательно использовать с маленькой головкой, чтобы она доставала в труднодоступных местах. Движения должны быть «скребущие» или «подметающие», верхний ряд зубов нужно чистить от десен сверху вниз, а нижний наоборот снизу вверх. И менять зубную щетку, каждые 3 месяца.
- Зубная паста обязательна должна быть с фтором и для чувствительных зубов, в магазинах сейчас огромный выбор, и не составит труда найти подходящую.
- Все выше перечисленное предотвращает образование зубного налета, а в дальнейшем зубного камня, и не дает развиться гингивиту.
- Обязательным считается, визит к стоматологу, не меньше одного раза в год. При нахождении старых или просевших пломб, оголенных мест у корней, нужно сразу обращаться к специалисту, чтобы в дальнейшем не было осложнений.
- Рацион питания очень важен, нужны обязательно витамины, особенно A, D и C. Витамин A находится в мясe, рыбе и морепродуктах. Витамин D тоже не менее важен, его можно получить через яйца, печень, черную и красную икру. C содержится в цитрусовых, таких как апельсин, лимон. Если организм не получает витамины, в достаточном количестве из продуктов, то нужно принимать витаминные комплексы.
- Прекрасным завершением после каждого приема пищи, является сыр, кусочек его, укрепит зубы и десна.
Какой уход требуют зубные протезы?
Не всех получается сохранить зубы в хорошем состоянии к старости, большинство пожилых людей пользуются услугами стоматолога-протезиста. Протезы могут ставится полностью, заменяя все зубы в верхней и нижней части челюсти, так же могут либо быть, только в верхней или нижней части. Возможно и частичное ношение протезов.
Протезы подбираются под каждого человека индивидуально, и перед их установкой нужно будет сдать целый ряд анализов, весь процесс контролируется врачом-протезистом, от диагностики до установки. Рассказывать о необходимых рекомендациях.
При установки протезов, в любом случае нужно также продолжать чистить зубы и десна. После каждого приема пищи, нужно мыть протезы с мылом и обратно вставлять. На ночь сделать раствор, одну антибактериальную таблетку растворить в стакане воды и положить протез на ночь. Данную процедуру можно проводить и в течении дня по 15 минут, опуская и вытаскивая протез.
Протез не желательно снимать чаще чем на один день, может поменяться прикус и потеряют форму щеки и губы. При каком-либо дискомфорте, нужно сразу обращаться к стоматологу, всевозможная деформация протеза или неприятные ощущения во рту. Существует специальный клей, который прикрепляет протез, чтобы не чувствовать дискомфорт, что протез может выпасть, при пережевывании пищи.
Это были основные рекомендации, и необходимый минимум, по уходу за полостью рта, и протезами, в пожилом в возрасте.
Влияет ли питание на внешний вид и здоровье зубов в возрасте 40-50 лет
Единичный эстетический дефект появляется вследствие нескольких причин:
Кариес
Патологический процесс может возникнуть под старой пломбой, утратившей свою герметичность. Нередко кариозная полость незаметно образуется между зубами. Увеличиваясь в размере, она “просвечивает” через эмаль изнутри, образуя на зубе темное пятно.
Травма зуба
При ударе происходит разрыв и кровоизлияние нерва в пульпарную камеру зуба. Пациент ощущает острую пульсирующую боль. Если не провести своевременное лечение, то происходит некроз поврежденного сосудисто-нервного пучка. Жевательный или передний зуб приобретает коричневый, серый оттенок.
Внутриканальный штифт
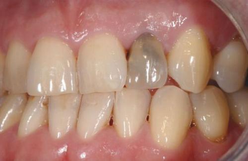
Ранее в стоматологиях для укрепления зуба использовали серебряные штифты. В результате окисления металл окрашивал ткани в серо-черный оттенок. По этой причине метод сейчас не используют. После эндодонтического лечения зуб восстанавливают с помощью керамической вкладки или коронки.
Амальгамная пломба
В последние годы было выяснено, что амальгама придает зубу серо-черный цвет. В особенности потемнение заметно вокруг самой пломбы. Такое изменение вызвано проникновением олова в дентинные канальцы.
Материалы с эвгенолом
Препараты для пломбировки каналов, которые содержат эвгенол, придают зубу оранжево-желтый оттенок. Если после эндодонтического лечения устье канала плохо загерметизировано, то зубные ткани со временем изменяют цвет.
Материалы с резорцин-формалином
Более 40 лет назад этот материал широко использовали в России для лечения пульпита. Резорцин-формалин вносили в полость зуба, чтобы остановить распад не до конца удаленного нерва. Со временем зуб приобретал темно-красный оттенок и становился хрупким.