Здоровые зубы - ключ к здоровому телу: как состояние зубов влияет на наше общее благополучие
- Здоровые зубы - ключ к здоровому телу: как состояние зубов влияет на наше общее благополучие
- Связанные вопросы и ответы
- Как состояние зубов влияет на наше общее здоровье
- Какие заболевания могут быть вызваны плохим состоянием зубов
- Как можно определить, что состояние зубов плохое
- Как часто нужно посещать стоматолога для профилактики заболеваний зубов
- Как важно чистка зубов для сохранения их здоровья
- Какие продукты питания могут навредить здоровью зубов
- Как важно правильное ухо
Здоровые зубы - ключ к здоровому телу: как состояние зубов влияет на наше общее благополучие

Самой распространенной проблемой полости рта и врагом красоты зубов является кариес. Версий о причинах возникновения этого заболевания немало, однако, в последнее время, ученые пришли к выводу, что основной причиной его возникновения является бактериальное воздействие одной из разновидностей стрептококка. Эти бактерии быстро размножаются в благоприятной для них среде и при наличии зубного налета (являющегося для них пищей). Кроме того они способны менять кислотно-щелочной баланс полости рта, что отрицательно влияет на десны, которые воспаляются и кровоточат. Страдает также и зубная эмаль, которая быстро разрушается.
Всего этого можно довольно легко избежать, обеспечив полости рта правильный уход . Его основой является регулярная чистка зубов с помощью щетки и пасты, а также ежевечерняя обработка зубной нитью. Красота и здоровье зубов требует обязательного посещения стоматолога дважды в год с целью профилактического осмотра и профессиональной чистки зубов в случае необходимости.
Очень часто плохая гигиена имеет физиологическое обоснование. Это может быть неправильное положение зубов и скученность зубного ряда, приводящие к налету и скоплению остатков еды, что осложняет гигиену в труднодоступных местах.
Как уже ранее отмечалось, образованию кариеса способствуют бактерии, размножающиеся на поверхности размягченной эмали. Поэтому можно утверждать, что чем меньше налета остается на зубах, тем меньше риск потерять их в результате кариозного поражения. Ведь, чем быстрее кариес будет обнаружен и излечен, тем на более длительный срок сохранится красота улыбки. Правильная гигиена, при которой очищается не только вся поверхность зубов, но и межзубные промежутки, может почти полностью сократить риск развития кариеса. Однако существуют также незначительные наследственные предпосылки, на которые медицина повлиять пока не в силах.
Почему кариес так страшен для здоровья и красоты зубов? Причина в том, что это заболевание разрушает ткани зуба как снаружи, так и изнутри. Если своевременно не обратиться за помощью, то может развиться воспаление внутренних тканей зуба — пульпит. А если упустить и этот момент, то следующим этапом будет являться периодонтит — воспаление околозубных тканей, что грозит потерей зуба. Если не воспринять ситуацию серьезно и не восполнить потерю, то в сторону дефекта начнут наклоняться соседние зубы. В результате меняется прикус, здоровая сторона работает в два раза больше, а значит, износ зубов возрастает. Это приводит к нарушениям пропорций лица, появлению дополнительных морщин, что не лучшим образом сказывается на красоте человека.
Связанные вопросы и ответы:
1. Как здоровье зубов влияет на общее здоровье человека
Здоровье зубов имеет прямое отношение к общему здоровью человека. Зубы играют важную роль в пищеварении, они помогают разжёвывать пищу, чтобы организм мог лучше её усваивать. Кроме того, зубы помогают правильно говорить и формируют лицо. Если у человека проблемы с зубами, это может привести к болезням, таким как гingивит, пульпит и кариес, которые могут повлиять на другие органы тела. Также, зубы могут быть источником инфекций, которые могут распространиться по всему организму.
2. Как состояние зубов влияет на пищеварение
Состояние зубов оказывает значительное влияние на пищеварение. Зубы помогают разжёвывать пищу, чтобы организм мог лучше её усваивать. Если у человека проблемы с зубами, это может привести к болезням, таким как гingивит, пульпит и кариес, которые могут повлиять на другие органы тела. Также, если человек не может нормально жвать пищу, это может привести к проблемам с пищеварением, таким как запоры или диарея.
3. Как состояние зубов влияет на речь
Состояние зубов оказывает влияние на речь. Зубы помогают правильно говорить, они помогают формировать звуки и слова. Если у человека проблемы с зубами, это может привести к проблемам с речью, таким как заикание или неправильное произношение слов.
4. Как состояние зубов влияет на внешний вид человека
Состояние зубов оказывает влияние на внешний вид человека. Зубы формируют лицо, они помогают создать гармоничный и симметричный внешний вид. Если у человека проблемы с зубами, это может привести к неприятным изменениям в внешнем виде, таким как выдающиеся или скрытые зубы, или неправильное положение зубов.
5. Как можно предотвратить проблемы с зубами
Чтобы предотвратить проблемы с зубами, необходимо соблюдать правила гигиены полости рта. Это включает в себя ежедневную чистку зубов, использование зубной нити и зубной пасты, а также регулярные посещения стоматолога. Также важно следить за диетой и избегать еды, которая может повредить зубы, таких как сладкое и кислое.
6. Как часто нужно посещать стоматолога
Чтобы сохранить здоровье зубов, рекомендуется посещать стоматолога минимум два раза в год. Стоматолог проводит осмотр зубов и полости рта, чистит зубы и предотвращает развитие заболеваний. Также стоматолог может обнаружить и лечить проблемы с зубами на ранней стадии, что может помочь избежать более серьезных проблем в будущем.
7. Как выбрать подходящий стоматолог
Чтобы выбрать подходящего стоматолога, следует обратиться к рекомендациям друзей и знакомых, прочитать отзывы на специалиста в интернете, или обратиться к врачу общей практики. Стоматолог должен иметь необходимые квалификацию и опыт, а также быть внимательным и внимательным к потребностям пациента. Также стоматолог должен использовать современные методы лечения и оборудование.
8. Как лечить кариес
Лечение кариеса зависит от его стадии. В начальной стадии кариес можно лечить путём удаления зубного камня и заполнения зуба специальным материалом. В более поздней стадии кариес может требовать коррекции зуба или даже удаления зуба. Стоматолог также может назначить антибиотики, чтобы предотвратить распространение инфекции. Важно обратиться к стоматологу как можно раньше, чтобы избежать более серьезных проблем.
Как состояние зубов влияет на наше общее здоровье


Нагорная Анна Андреевна
Врач стоматолог - терапевт
Какие заболевания могут быть вызваны плохим состоянием зубов
Итак, мы выяснили, что болезни зубов в основном провоцируются патогенной микрофлорой, проникающей внутрь зубных единиц. Теперь рассмотрим, что может стать причиной разрушения эмалевого слоя:
- изменение кислотно-щелочного баланса в ротовой полости. Гидроксиапатиты, из которых состоит эмаль, очень чувствительны к воздействию кислот, в связи с чем ее разрушение начинается при уровне кислотности рН, меньше 4,5. Слюна в норме имеет рН от 5,6 до 7,6, поэтому надежно защищает зубы от кислот. Но это возможно только в том случае, если у человека вырабатывается нормальный объем слюны;
- наличие условий для образования и фиксации зубного налета, являющимся совершенным питательным субстратом для кариесогенных бактерий. Это может быть: скученное расположение зубов, чрезмерно глубокие фиссуры (естественный рельеф жевательной поверхности);
- недостаточный уровень гигиены ротовой полости, способствующий активному образованию мягкого зубного налета и минерализованных отложений на поверхности эмали;
- дефицит фтора в организме и, соответственно, в эмалевом слое. Фтор, внедряясь в структуру гидроксиапатитов, образует фторапатиты, которые более устойчивы к кислотам. Соответственно, недостаток фтора делает зубы более уязвимыми перед химическим воздействием;
- избыток легкоусвояемых углеводов в рационе питания, что приводит к усиленному образованию зубного налета;
- строгие монодиеты;
- генетические предпосылки – наследственный фактор;
- механические повреждения зубов: сколы, трещины, переломы;
- хронические соматические заболевания;
- нарушение обменных процессов в организме;
- плохая экология в месте постоянного проживания.
Как можно определить, что состояние зубов плохое
Помните раньше вот говорили: встречают по одежке? Это конечно же уже прошлый век! Сегодня встречают по улыбке. А как быть тем, у кого плохие зубы?
Расскажем, почему бывает некрасивая, плохая эмаль зубов, от чего зубы крошатся, разрушаются. Объясним, что такое кариес, как его предупредить. И как можно лечить зубы небольно. А что так можно было?
Плохие зубы — в чем тут реальная проблема?
Видели людей с белыми пятнами на эмали? А с коричневыми? А с эмалью некрасивого, желтоватого цвета? А со стертыми поверхностями резцов?
Вот основные причины плохих зубов:
- Кариес — инфекционное заболевание. На ранних стадиях выглядит, как белое пятно. Затем эмаль приобретает коричневый цвет, разрушается, образуется дырка — кариозная полость. Она выглядит непривлекательно.
- Флюороз — неинфекционное поражение эмали, при котором на поверхности возникают коричневые пятна и полосы. Возникает из-за избыточного содержания фтора в питьевой воде или в рационе.
- Патология нижне-височно челюстного сустава — возникает, как следствие удаления «шестерок», неправильного прикуса, нарушения архитектуры челюсти при лечении. Вызывает истираемость эмали.
- Эрозия — неинфекционное поражение эмали (и дентина) из-за экстремального трения жесткой щеткой, паст с абразивным или отбеливающим эффектом, эндокринных заболеваний.
- Лекарственное окрашивание — растворы от анемии, содержащие соли железа, окрашивают единицы снаружи в коричнево-черный цвет. А антибиотики тетрациклинового ряда, принимаемые при беременности, негативно влияют на зачатки зубов плода, красят изнутри в коричневый.
Но это часть причин. На самом деле, их больше. Давайте разбираться по порядку.
Как часто нужно посещать стоматолога для профилактики заболеваний зубов
Сегодня к профилактике все относятся по разному. Но в основном, ею пренебрегают. Объясняется это тем, что люди самонадеянно думают, что это не про них. Мол, если коснется кого-то беда или проблема, то уж точно не меня. Касается это и профилактики зубов.
Почти каждый уверен, что у него зубы в норме, а если и есть проблемки, то они не существенные. Такой человек соблаговолит осуществить визит к стоматологу только если его заставят в рамках обязательной профилактики или тогда, когда его припрет зубная боль. Благо у нас в стране есть обязательная профилактика, которая позволяет выявить начинающиеся отклонения от нормы. Сроки нормативно рекомендованных осмотров мы приведем ниже. Но если человек не попадает под категории, которые входят в группу профилактического осмотра, то к дантисту он зачастую не ходит, пока его не побеспокоит дискомфорт в полости рта.
Но в значительной части случаев, такой визит к врачу бывает уже запоздалым. Часто спасти зуб или сразу несколько зубов, не представляется возможным. А если не хватает зубов в ряду, то требуется, включая имплантацию… Наверное, все понимают, что стоимость протезирования и тем более имплантации не мала. Плюс сам дискомфорт, который человек испытывает, когда ему вырывают больные зубы или вставляют новые… Сейчас конечно эти процедуры менее болезненны, чем раньше, но все же от них радости не испытаешь.
Так не лучше ли было сходить на профилактический осмотр в стоматологический кабинет и вовремя обнаружить болячку или патологию, которая начала возникать во рту. Ошибочно думать, что возникающие проблемы мы можем определить по болевым симптомам. Боль ощущается зачастую лишь тогда, когда разрушительный процесс уже набрал обороты и выходит на финишную стадию.
Симптом при гниении, воспалении в виде болевых ощущений и тем более поднятия температуры, возникает когда плоть уже изрядно пострадала. А такие болезни как прогрессирующий кариес или опускание десны, вообще сложно заметить по симптомам. Зато регулярный визит в стоматологическую клинику дает гарантию обнаружения болезни в начале ее возникновения. В этом случае в основном возникающую опасность можно устранить с минимальными усилиями, это касается как материальных средств, так времени и дискомфорта от процедуры лечения.
Нужно осознавать, что определенные негативные процессы в полости рта есть у каждого человека, и они различны в разные периоды жизни. Никто не избежит проблем с зубами. Но зато в нашей власти минимизировать данные проблемы. Сделать это просто – регулярно посещать стоматологическую клинику, то есть делать профилактические осмотры у дантиста.
Какова периодичность профилактических стоматологических осмотров
У нас в стране есть нормативные акты, которые устанавливают и регламентируют профилактические осмотры у взрослых и детей. В частности для возраста от 0 до 17 лет сроки и порядок регламентируются в следующих документах: Приказ МЗ и СР РФ от 28.04.07 №307 «О стандарте диспансерного (профилактического) наблюдения ребенка в течение первого года жизни»; Приказ Минздравмедпрома РФ от 14.03.95 №60 «Об утверждении инструкции по проведению профилактических осмотров детей дошкольного и школьного возрастов на основе медико-экономических нормативов».
Для взрослых есть другие правовые документы, устанавливающие обязательность осмотров как по возрастам, так и по месту работы.
Сроки профилактических осмотров у стоматолога для детей следующие:
- первый визит к стоматологу в 9 месяцев,
- далее по достижении 1 года,
- затем перед поступлением в детское дошкольное учреждение в 3–4 года,
- далее за год до поступления в школу в 5-6 лет,
- потом непосредственно перед поступлением в школу 6-7 лет.
- следующий визит в дантисту сразу после первого класса в 7-8 лет,
- потом перед переходом к предметному обучению в 10 лет,
- затем в пубертатный период в 14-15 лет,
- и в заключении в 16-17 лет перед окончанием школы или иного образовательного учреждения.
После выхода во взрослую жизнь лишь рабочие и служащие определенных профессий вынуждены проходить медицинские осмотры, включая стоматолога, а остальные вправе сами решать, когда им посещать врача.
Отметим, что даже обязательные профилактические осмотры в виду того, что проводятся не слишком часто могут допустить развитие какой-нибудь болезни. Поэтому надежнее водить ребенка кна осмотр каждые 3-6 месяцев. А взрослым лучше посещать дантиста каждые 6 месяцев.
Профилактические осмотры и лечение
В нашей «Стоматологии на Мельничной» профилактические осмотры могут проходить как взрослые так и дети, так как у нас. Сразу после осмотра мы можем предложить несколько вариантов профилактики или лечения обнаруженных опасных процессов. Мы оказываем услуги как лечения, так и протезирования. Кроме того, детей и подростков, мы можем сразу направить к нашему врачу ортодонту, чтобы вовремя скорректировать неправильный прикус. Заметим, что далеко не во всех детских стоматологиях есть собственный врач.
Напоследок скажем, что у нас трудятся только отличные врачи, при этом цены у нас вполне демократичные.
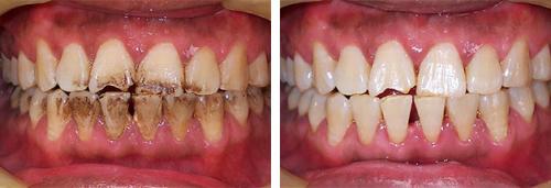
Как важно чистка зубов для сохранения их здоровья
Одним из важнейших профилактических мероприятий, направленных на сохранение здоровья ваших зубов является профессиональная чистка у стоматолога. Эта процедура поможет предотвратить кариес, болезни десен и пародонтит.
Опасность зубного камня и пародонтита
Зубы защищает специальная пленка. Но именно на ней образуется зубной налет. В свою очередь зубной налет в сочетании с веществами из слюны со временем превращается в зубной камень. Результат – нарушение кровообращения, болезни десен, кариес. В запущенных случаях зубной камень может стать причиной выпадения зубов.
Пародонтит – заболевание околозубной ткани – является главной причины воспалений десен. Если не лечить вовремя, в рыхлую ткань десны попадут бактерии, начнется нагноение. Чем дольше больной будет оттягивать поход к стоматологу, тем больше вероятность потери зубов.
Хорошая новость в том, что регулярная профессиональная гигиена полости рта поможет избежать подобных проблем.
Как происходит профессиональная чистка зубов
Для большинства пациентов процедура абсолютно безболезненная. Исключение могут составлять те, у кого очень чувствительные зубы. В этом случае врач предложит вам анестезию.
Чистка проводится в несколько этапов. Сначала необходимо с помощью специального аппарата снять все отложения на зубах. Ультразвук разрушает камень, а струя воды помогает отделить его остатки от поверхности зубов. Следующая ступень – дополнительная очистка зубов от пигмента и остатков налета при помощи аппарата Air Flow. Под давлением на поверхность зубов подается струя воды с порошком. Методика позволяет добраться до самых труднодоступных мест.
Последним этапом становится полировка и нанесение специального защитного геля с фтором.
Как часто нужно делать профессиональную чистку зубов
Обычно процедуру стоит проводить не реже одного раза в год. Если вы курите, злоупотребляете кофе, у вас есть склонность к образованию зубного камня, у вас проблемы с ЖКТ или установлены брекет-системы, стоит делать процедуру дважды в год или чаще. Подробнее вам расскажет ваш стоматолог.
Противопоказаний к процедуре практически нет. Однако, если вы страдаете бронхиальной астмой или сердечно-сосудистыми заболеваниями, вам необходимо заранее уведомить о своем состоянии врача, который будет проводить процедуру.
Какие продукты питания могут навредить здоровью зубов
Полезные продукты для зубов, в составе которых белок, кальций и фосфор полезны для зубов и десен, восстанавливают pH слюны до нормального уровня, укрепляют эмаль. Следите за своим рационом, ведь продукты должны нести пользу, а не вред, чистите зубы дважды в день и пользуйтесь дополнительными средствами, такие как ополаскиватель, зубная нить и щетка.
Какие продукты полезны для зубов:
- Вода. Вода — это основной компонент слюны, которая нейтрализует кислоту и удаляет зубной налет. Пить воду в достаточном количестве очень важно для всего организма, поддержания уровня слюны и выработке фтора, который не позволяет кариесу развиваться, укрепляя эмаль;
- Жирная пища. Такие продукты образовывают гидрофобное покрытие на зубной поверхности, препятствуя налету;
- Водоросли. Если вы включите водоросли или морскую капусту в свой рацион, то заметно улучшите состояние зубов. Эти продукты влияют на здоровье щитовидной железы, регулируют обмен веществ и за счет высокого содержания йода и аминокислот улучшают здоровье организма;
- Молочные продукты. Натуральные молочные продукты без сахара способствуют укреплению зубов, имеют в составе важные для эмали кальций и минералы;
- Орехи и семечки. Сырые орехи и семечки богаты аминокислотами, фосфором, жирными кислотами, кальцием и др. Жевание орехов помогает процессу механической чистке зубов, а вещества в их составе сохраняют здоровье;
- Свежие фрукты, ягоды, овощи и травы. Они стимулируют слюну, обеспечивают весь организм важными витаминами и способствуют очищению зубов. Однако после их приема необходимо прополоскать рот из-за содержания в продуктах кислотности;
- Травяные чаи. Мы рекомендуем перейти вам от зеленых и черных чаев, имеющих в своем составе кофеин, к травяным чаям. Они богаты множеством витаминов и микроэлементов, необходимых зубам, отчищают их и предотвращают сухость эмали, что снижает риск распространения воспалительных процессов в ротовой полости.
Как важно правильное ухо
А
А
Способность слышать и локализировать источник звука – крайне важна для для того, чтобы мы могли общаться и справляться с повседневной жизнью. Способность определять направление поступающего звука крайне важна, например, при переходе улицы и интенсивным движением и в случаях, когда нас предупреждают об опасности.
Одно из главных преимуществ расположения ушей на обеих сторонах головы состоит в том, что оно позволяет нам определить, с какой стороны идет звук. Благодаря расстоянию между ушами звук поступает сначала в одно ухо, затем в другое, в зависимости от направления. Это означает, что при поступлении звука во второе ухо звуковое давление немного изменяется. Мозг регистрирует и обрабатывает информацию, позволяя нам определить расположение источника звука.
Само собой разумеется, что два уха улавливают поступающие звуки лучше, чем одно. Когда они «работают» оптимально, нам легче различать звуки в шумной обстановке. Кроме того, улучшается разборчивость речи, общее качество звука и восприятие расстояния. Нарушение слуха влияет на способность понимать речь и локализировать источники звука, окружающие нас.
Сегодня достижения современной технологии в области слуховых аппаратов дали нам множество возможностей оптимизировать остаточный слух с помощью слуховых аппаратов. Если у человека тяжелое нарушение слуха только на одно ухо, иногда трудно достичь полностью направленного слуха и оптимальной разборчивости речи. Тем не менее, слуховой аппарат чаще всего может улучшить восприятие характера звуков. Если человек имеет нарушение слуха на оба уха, то наилучший результат практически всегда достигается при использовании двух аппаратов. При использовании двух аппаратов можно уменьшить уровень усиления в каждом аппарате по сравнению с использованием только одного аппарата. Благодаря этому уменьшается и усиление фонового шума, что снижает риск появления обратной связи (свиста слухового аппарата). Использование двух слуховых аппаратов улучшает слух каждого уха пользователя и обеспечивает следующие преимущества:
- улучшение разборчивости речи в шумных обстановках
- облегчение локализации направления звуков
- улучшение качества и характера звуков
Давно известно, что стереофоническая музыка звучит лучше, чем монофоническая. При нарушении слуха на оба уха чаще всего наиболее оптимальная компенсация слуха достигается с помощью двух слуховых аппаратов (так, чтобы получился эффыект «стерео»). Ваш специалист по слуховым аппаратам может говорить о преимуществах так называемой «бинауральной настройки».


