Как выглядят идеальные зубы и как часто это встречается
- Как выглядят идеальные зубы и как часто это встречается
- Связанные вопросы и ответы
- Какие основные характеристики идеальных зубов
- Как генетика влияет на внешний вид зубов
- Какую роль играет гигиена полости рта в достижении идеальных зубов
- Насколько редко встречаются природные идеальные зубы
- Существуют ли различия в идеальных зубах между мужчинами и женщинами
- Можно ли достичь идеальных зубов без ортодонтического лечения
- Как факторы образа жизни влияют на внешний вид зубов
Как выглядят идеальные зубы и как часто это встречается
Часто особенное строение зубов принимают за аномалию. Основными показателями правильного физиологического прикуса является полное смыкание челюстей, отсутствие значительных промежутков между зубами и прохождение центральной линии лица между резцами обоих рядов. Существует несколько разновидностей правильного прикуса:
- Ортогнатический – идеальный прикус, если зубы ровные, а между нижними и верхними резцами нет щелей (диастем). Здесь верхний ряд слегка, не сильнее, чем на 30% перекрывает нижние зубы. В норме перекрытие должно составлять 2-3 мм. Такое строение зубов встречается очень редко.
- Прямой – пограничное состояние между нормой и аномалией. У человека с таким строением челюстей отсутствует наложение зубных рядов друг на друга: резцы соприкасаются своими верхушками, расположение дуг параллельное. К негативным последствиям этого состояния относится стирание передних зубов вследствие увеличенной нагрузки на их режущую поверхность.
- Прогенический прикус некоторые классифицируют как неправильный: при плотно сомкнутых челюстях нижняя немного выдвинута вперед, хотя передние зубы нижнего ряда не перекрывают верхние. Височно-челюстной сустав при этом функционирует нормально.
- Бипрогнатический – когда оба ряда зубов слегка наклонены вперед, к губам. Такая окклюзия особенно заметна, если смотреть на челюсти сбоку.
- Опистогнатический – наклон зубных рядов внутрь рта. В этом случае передние зубы выглядят очень ровными.
Связанные вопросы и ответы:
1. Как определить, что у человека идеальные зубы
Идеальные зубы определяются как зубы, которые имеют правильную форму, пропорции, цвет и расположение. Они должны быть ровными, без щелей и выравнивающими друг друга по форме и размеру. Цвет зубов должен быть естественно белым, без пятен или изменений цвета. Также важным фактором является здоровье десен, которое должно быть розовым и без признаков воспаления. Если все эти условия выполнены, можно говорить о том, что зубы идеальны.
2. Насколько часто встречаются идеальные зубы в природе
Идеальные зубы встречаются довольно редко. Большинство людей имеют небольшие отклонения, такие как незначительные неровности, щели между зубами или естественные различия в форме и цвете. Даже у тех, кто кажется обладателем идеальных зубов, при более близком рассмотрении можно заметить некоторые недостатки. Поэтому можно сказать, что полностью идеальные зубы — это редкость.
3. Какие основные характеристики идеальных зубов
Основные характеристики идеальных зубов включают правильное выравнивание, что означает, что зубы расположены в одной линии без наклонов или поворотов. Форма зубов должна быть пропорциональной, то есть передние зубы немного уже задних. Цвет зубов должен бытьuniformным и естественно белым. Также важен правильный прикус, при котором верхние и нижние зубы идеально соприкасаются. Здоровье десен и отсутствие воспалений также являются частью идеальных зубов.
4. Может ли человек родиться с идеальными зубами или это результат только стоматологии
Большинство людей рождаются с зубами, которые требуют коррекции. Идеальные зубы чаще всего являются результатом стоматологического вмешательства, такого как ортодонтия или косметическая стоматология. Однако некоторые люди могут родиться с естественно ровными и пропорциональными зубами, что является редкостью. Тем не менее, даже у таких людей могут возникать проблемы с цветом или здоровьем десен, которые требуют профессионального ухода.
5. Как правильно ухаживать за зубами, чтобы они выглядели идеально
Для того чтобы зубы выглядели идеально, важно соблюдать правильную гигиену полости рта. Это включает регулярную чистку зубов fluoride toothpaste, использование зубной нити и полоскание рта антибактериальным раствором. Также важно посещать стоматолога дважды в год для профессиональной очистки и осмотра. Избегание курения и ограничение потребления кофе, чая и красных вин также помогает сохранить естественный цвет зубов. Диета, богатая витаминами и минералами, особенно кальцием, способствует укреплению зубной эмали.
6. Какие наиболее распространенные проблемы, которые мешают иметь идеальные зубы
Среди наиболее распространенных проблем, которые мешают иметь идеальные зубы, можно выделить неровность зубов, щели между ними, неправильный прикус, а также проблемы с цветом зубов, такие как желтизна или пятна. Также распространены проблемы с деснами, такие как воспаление или кровоточивость, которые могут испортить общее впечатление от улыбки. Эти проблемы могут возникать из-за генетических факторов, недостаточной гигиены или травм.
7. Как современная стоматология помогает достичь идеального вида зубов
Современная стоматология предлагает множество методов для достижения идеального вида зубов. Ортодонтия помогает выровнять зубы и исправить прикус, используя брекеты или прозрачные капы. Косметическая стоматология включает процедуры, такие как отбеливание зубов, установка виниаров или люминиров. Также используются имплантаты для замены отсутствующих зубов и хирургические методы для коррекции формы и положения зубов. Все эти методы позволяют добиться желаемого результата и сделать улыбку более привлекательной.
8. Есть ли разница в идеале зубов для разных возрастных групп
Идеал зубов может слегка различаться для разных возрастных групп. Молодые люди чаще стремятся к более белым и ровным зубам, в то время как для пожилых людей естественный вид и здоровье зубов могут быть более важными. Однако основные принципы идеальных зубов, такие как правильное выравнивание, пропорции и здоровье десен, остаются одинаковыми для всех возрастов. Стоматологи учитывают возрастные особенности при разработке плана лечения, чтобы добиться наиболее естественного и подходящего результата.
Какие основные характеристики идеальных зубов

Если Вы хотите улучшить внешний вид своей улыбки, если Вам что-то в ней не нравится, но Вы не можете точно и правильно сформулировать что именно, если Вы хотите говорить со своим стоматологом об эстетике Вашей улыбки на одном языке, то следующая заметка как раз для Вас.
Природа (или Бог… это уж в зависимости от Ваших взглядов на жизнь) сделала нас разными. И в нашей неповторимости и уникальности есть своя прелесть. Но что делать, когда эта уникальность слишком уж выбивается за рамки наших же представлений о красоте? Как сформулировать свои претензии к природе (а может быть и к предыдущему вмешательству стоматологов)? Для оценки эстетической составляющей нашего лица, губ, зубов - всего того, что рождает красивую гармоничную улыбку , оказывается, существует очень много параметров. Именно ими и пользуются (по крайней мере, должны пользоваться) стоматологи при планировании изменений в Вашем облике. Поскольку различных нюансов весьма и весьма много, а у меня нет задачи каждого из Вас сделать экспертом в области эстетической стоматологии , то остановимся на десяти наиболее простых и наиболее важных.
1. Параллельность горизонтальных ориентиров.
Один из самых важных признаков гармоничной улыбки – это параллельность воображаемых линий: межзрачковой линии (на рисунке синяя линия, соединяющая правый и левый зрачок глаза) и линии губ (на рисунке красная линия, проведенная между уголками рта).

Обе эти линии также должны быть параллельны линиям, соединяющим края центральных резцов (зеленая) и режущие бугорки клыков (голубая)

2. Линия улыбки.
Линия улыбки проходит по режущим кромкам передних верхних зубов (на фото показана сплошной чертой) и должна в идеале повторять изгиб верхнего края нижней губы (на фото показан пунктиром), т.е. быть выпуклой.

3. Уровень десны.
Привлекательно и более эстетически выглядит улыбка , в которой линия, соединяющая шейки зубов (показана пунктиром), повторяет линию верхней губы, а уровень обнажаемой при улыбке десны симметричен справа и слева. При этом при максимально открытой улыбке должны быть заметны лишь десневые «треугольники» между зубами и небольшая полоска десны над ними (шириной не более 2-3 мм).

Таким образом, десна вокруг верхних зубов, верхняя и нижняя губы образуют своеобразную рамку для Вашей улыбки. Если за рамкой не видно «картины», то такая улыбка не будет выглядеть привлекательно.

Чрезмерная визуализация десны (так называемая «десневая улыбка») устраняется чаще всего с помощью хирургического вмешательства, ортодонтического лечения, а также косметологических вмешательств (например, инъекции ботокса в верхнюю губу, увеличение верхней губы и т.п.).
4. Вертикальная симметрия и средняя линия.
Линия, проходящая через центр лица, должна проходить ровно между центральными резцами верхней челюсти. Несовпадение этих линий вызывает ощущение дисгармонии даже при беглом взгляде на Вашу улыбку со стороны. При этом совершенно не обязательно, чтобы она так же прошла и между центральными нижними резцами. Во-первых, полное совпадение редко когда встречается, а, во-вторых, это никоим образом не влияет на эстетическое восприятие Вашей улыбки при взгляде со стороны.

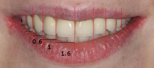
5. «Золотая пропорция».
Принцип золотой пропорции применительно к улыбке в эстетической стоматологии состоит в том, что при взгляде на ее спереди строго по центру соотношение видимой ширины передних зубов должно быть примерно таким – 0.6 (ширина клыка): 1 (ширина бокового резца): 1.6 (ширина центрального резца).

Как видно на фото, ширина видимой части остальных зубов (4-ки, 5-ки) должна последовательно уменьшаться, создавая ощущение перспективы.
6. Пропорции зуба.
Как генетика влияет на внешний вид зубов
Многие утверждают, что плохие зубы им достались от пап, мам и бабушек. Мол, старшие поколения семьи постоянно залечивали проблемы и мучились с разрушенными зубами, и ясно, «откуда ноги растут».
Но так ли сильно гены влияют на состояние полости рта на самом деле?
А здоровые крепкие зубы могут передаваться по наследству? Разбираемся. Фото: Яндекс.Картинки.
На что влияют гены?
По семейной линии передаются анатомические особенности и предрасположенность к определенным заболеваниям. Но не сами болезни. То есть вы «от природы» получаете определенную форму зубов, их цвет, строение и толщину эмалевого слоя, строение черепа и т.п. Но точно вам не достанутся кариес или пародонтит .
У кого-то из-за врожденных особенностей повышается вероятность стоматологических болезней. Например, тонкая эмаль чаще скалывается, а глубокие фиссуры на жевательных зубах труднее чистить, что повышает риск кариеса. Но это всего лишь предрасположенность, к ней можно приспособиться и избежать проблем.
Считается, что наследственными бывают некоторые общие заболевания организма – например, если старшие родственники страдают сахарным диабетом, то у младших поколений есть опасность развития такого заболевания. А эта болезнь действительно отражается на состоянии зубов и десен. Поэтому возникает косвенная связь между наследственностью и «зубными болячками». Аналогично и с гормональным фоном у женщин – это также влияет на состояние дёсен и зубов. Но опять же, причина косвенная.
Заметили? Все это – вопрос вероятности. Совсем не факт, что предрасположенность обязательно выльется в проблемы.
Что на самом деле сказывается на здоровье полости рта?
Наследственность – даже не в тройке лидеров среди причин, по которым портятся зубы. Здесь главную роль играет гигиена. То есть то, насколько регулярно и качественно вы привыкли ухаживать за зубами.
Это не просто чистка «для галочки». Под грамотным уходом подразумевается, что:
- вы чистите зубы каждое утро, вечер и не забываете убрать остатки еды после приема пищи;
- вы пользуетесь правильно подобранной щеткой и пастой, а также в вашем обязательном арсенале есть ирригатор или нить для межзубных промежутков, ополаскиватель для полости рта;
- вы ежегодно (или чаще) бываете у стоматолога на профилактических осмотрах и проходите профессиональную гигиену .
Приучиться правильно чистить зубы желательно как можно раньше – с детства. Фото: Яндекс.Картинки.
Также на состояние зубов сильно влияют и другие факторы.
- Пищевые привычки и здоровое питание.
- Курение и алкоголь.
- Наличие вредных привычек, например, грызть что-либо твердое.
- Общее состояние организма и ваш контроль над хроническими заболеваниями.
- Экологическая обстановка – качество питьевой воды, воздуха, вредность производства, на котором вы работаете.
Плохую наследственность можно и нужно свести к минимуму. Следите за своим здоровьем, ухаживайте за зубами внимательно (начать никогда не поздно!), не забывайте наведываться к стоматологу и лечите заболевания на ранних стадиях. Тогда «бабушкины» проблемы с зубами обойдут вас стороной.
Какую роль играет гигиена полости рта в достижении идеальных зубов
Эффективная гигиена полости рта является основополагающим фактором в поддержании здоровья зубов и десен.
И для этого нужно внимательно походить к выбору зубной щетки. Она должна отвечать индивидуальным потребностям. Многие стоматологи рекомендуют использовать электрические и ультразвуковые щетки. Считается, что такие устройства обеспечивают более эффективный уход.
При выборе обычной щетки обратите внимание на жесткость и количество щетинок. Большинству подойдут мягкие. С ними меньше всего шансов повредить эмаль зубов или десну. Среднюю жесткость следует выбирать любителям кофе, крепкого черного чая и курильщикам. Но и в этом случае орудовать нужно с осторожностью. Жесткие, в основном, рекомендуются тем, кто использует съемные протезы.
Чистить зубы специалисты советуют как минимум дважды в день: утром после завтрака и вечером перед сном. Длительность каждой процедуры должна быть не менее трех минут.
Как бросить курить: полезные советы
"Одной из эффективных и рекомендованных методик является техника Bass. Она подразумевает расположение зубной щетки под углом 45 градусов к поверхности зуба, с направлением щетинок в десневую бороздку. Выполняются короткие, вибрирующие движения без перемещения щетки, что позволяет разрушить биопленку зубного налета в десневой борозде. Затем щетка перемещается выметающими движениями от десневого края к режущему краю зуба, удаляя разрыхленный налет", - поделился врач Дубровин.
Насколько редко встречаются природные идеальные зубы

Каждому человеку за жизнь дается 2 комплекта зубов: 20 молочных и 28-32 постоянных. Такое количество зубов сформировалось в процессе эволюции, и природа сочла его достаточным для пережевывания пищи.
Но у многих еще остались рудиментарные третьи моляры, более известные как зубы мудрости. Встречаются случаи, когда «счастливые» пациенты были обладателями четвертых моляров, а всего в полости рта было 33-36 зубов.
Наличие третьих моляров не обязательно, они уже не участвуют в процессе пережевывания пищи. А в ходе эволюционного изменения пищевых привычек, появления термической обработки пищи, челюсть стала меньшего размера и для полноценного прорезывания третьих моляров уже не достаточно места.
В то же время, все чаще можно видеть пациентов, у которых молочные зубы не сменились вовсе и полноценно выполняют функции постоянных.
Как утверждают многие стоматологи, возможно, через несколько столетий, необходимость в смене зубов вовсе отпадет. Сроки прорезывания молочных зубов сместятся, и понятие «сменный прикус» вообще перестанет существовать.

Личный опыт
Наталья Майкова, обладательница 2 молочных зубов, г. Архангельск
О том, что у меня есть уникальная особенность (не то, чтобы уникальная, но редкая), я узнала, будучи в возрасте 19 лет. У меня очень сильно разболелся зуб мудрости, и я отправилась к стоматологу. Зная, что стоматологи не спешат спасать «восьмерки», потому что эти зубы обычно растут плохими и очень быстро портятся, я уже приготовилась к удалению зуба, к слову, пломбированного ранее. Но стоматолог мне сказала, что нужно снимать старую пломбу и заново «прочищать» каналы. Ведь лишаться второго моляра в таком возрасте очень обидно. Я удивилась и опешила. Как так, второй моляр, а не третий? А потом просто пересчитала зубы. Точно! По 7 зубов с каждой стороны, но оказалось, что у меня из 3 моляров — 1 молочный, с каждой стороны! Вот так сюрприз! У взрослого человека, оказывается, бывают молочные зубы. В моем случае — это «четверки» на нижней челюсти. Мне сделали снимок, и я очень расстроилась, когда врач не увидела в челюсти зачатков постоянных зубов. Это означает, что если молочные зубы выпадут, то новые уже не вырастут! Надо их беречь. Но вот прошло уже 10 лет, а мои молочные зубы все также крепко сидят в челюсти, и до сих пор не были подвержены кариесу. Моя особенность нисколько не мешает мне жить, а окружающие ничего не подозревают.
Существуют ли различия в идеальных зубах между мужчинами и женщинами

Сегодня красивые зубы являются неотъемлемой частью имиджа благополучного человека, ведь широкая белоснежная улыбка и открытый взгляд — самые яркие признаки счастья, успешности, молодости и красоты. Красивыми и здоровыми зубами от природы похвастаться могут немногие, но красивую улыбку хотят все. И это возможно!
Современная стоматология уделяет много внимания эстетике улыбки. Если еще лет 10-15 назад к стоматологу обращались исключительно для лечения или удаления больных зубов, то сегодня многие приходят, чтобы сделать красивую эстетичную улыбку, — изменить форму, цвет, положение зубов. И у каждого — свои собственные представления о красивой улыбке. А существует ли формула идеальной улыбки? И что может предложить стоматолог в таких случаях?
Создание красивой улыбки — это целое направление в в стоматологии. Сразу заметим, что эталона идеальной улыбки не существует. Но, как и в общепринятых канонах красоты, здесь включаются в работу законы идеальных пропорций. Улыбка должна органично вписываться в ваш тип лица, и только тогда она будет красивой. Не существует каких-то строгих размеров, единого для всех эталона идеальной улыбки — ее параметры индивидуальны и зависят от пропорций лица. Но все же, определенные параметры, на которые ориентируется современная эстетическая стоматология при создании красивой улыбки, существуют.
Стоматолог, как скульптор и художник, оценивает и анализирует огромное количество параметров, чтобы смоделировать улыбку, которая будет идеальной не вообще, а применительно к конкретному человеку.
У идеальной улыбки существуют определенные параметры, на которые ориентируется современная эстетическая стоматология:
Вертикальная симметрия

Средняя линия лица (носа, верхней губы) должна совпадать с линией между передними резцами. Если эта линия заметно смещена, улыбка выглядит некрасиво. Исправить улыбку и сделать ее более гармоничной можно, «передвинув» среднюю линию всего лишь двух центральных зубов.
Горизонтальная симметрия

В идеале считается, что линия улыбки должна быть параллельна межзрачковой линии глаз, а также разрезу рта, режущих краев передних резцов и воображаемой линии, соединяющей режущие края клыков. Мы помним, что абсолютно симметричных лиц не бывает, и это норма, на визуальном уровне мы не замечаем этой асимметрии. Легкая асимметрия допустима, ведь именно она подчеркивает индивидуальность и привлекательность лица
Лицо в профиль

Это важный параметр идеальной улыбки. Здесь также важны законы гармонии в соотношении верхней и нижней челюстей и угол между носом и верхней губой. В особо негармоничных случаях (нижняя челюсть или выпирает, или западает относительно верхней, и наоборот) возможна коррекция положения челюстей. Считается, что угол в 90 и более градусов делает лицо более молодым.
Видимость десны при улыбке

Идеальным считается, если верхние зубы при улыбке обнажаются не менее чем на одну треть и видимость десны составляет не более, чем 3-4 мм. Если при улыбке сильно обнажается десна, это нарушает гармонию лица. Если же верхние зубы не видны, или вместо верхних видны нижние зубы, то такая улыбка говорит о том, что она принадлежит человеку более старшей возрастной группы.
Уровень десневого контура

С точки зрения эстетики это очень важный фактор. Контур уровня десны должен быть разным у разных зубов, но важно, чтобы он был одинаков на симметричных зубах. У центральных резцов уровень десны может быть одинаков с клыками или у клыков чуть выше.
Пропорции зубов

Идеальные пропорции передних верхних зубов — 1:0,75 (ширина зуба составляет 0,75 его высоты). Именно такие зубы визуально кажутся наиболее красивыми. Современные методы эстетической стоматологии позволяют создать эти пропорции, если природа не подарила такую форму зубов.
Линия улыбки

Правильным и гармоничным считается, когда режущие края верхних зубов повторяют контур нижней губы. Такой зрительный эффект улыбки придает лицу молодость.
Ширина улыбки

Гармоничной и привлекательной считается широкая улыбка, которая обнажает около 10 зубов (резцы, клыки и малые коренные зубы).
Цвет зубов

Цвет зубов должен сочетаться с цветом белков глаз, цветом кожи и даже цветом ваших волос. Например, зубы, которые намного светлее белков глаз, выглядят неестественно. Рекомендуемая минимальная разница цвета зубов и кожи — один тон, идеальной же считается разница в три тона.
Как видите, это несколько основных параметров, которые делают улыбку идеальной. Насколько ваша улыбка близка к идеальной, и хотите ли вы что-то изменить в ней — решать вам. А наша стоматология всегда вам поможет в этом!
Можно ли достичь идеальных зубов без ортодонтического лечения
Элайнеры – съемные изделия из безопасного гипоаллергенного пластика в виде прозрачных капп, которые полностью покрывают всю поверхность зубов.
Преимущества:
- Эстетика: каппы практически незаметны во рту, не привлекают к себе лишнего внимания во время коррекции зубного ряда. Отличный вариант для публичных личностей и пациентов, которым важно сохранить привлекательную улыбку.
- Удобное ношение: изготовленные по индивидуальным слепкам изделия на натирают, после привыкания не мешают правильному произношению во время разговора.
- Качественная гигиена зубов: элайнеры можно снять и хорошо очистить все труднодоступные места.
- Можно при необходимости растянуть контрольные визиты по согласованию с врачом, не как в случае использования брекетов.
- Простой уход: элайнеры легко снимаются и очищаются от налета, остатков пищи, бактерий.
С помощью компьютерного моделирования на этапе подготовки к коррекции можно оценить, как приблизительно будут выглядеть зубы после лечения. Менять элайнеры каждые 2-3 недели можно в домашних условиях. Врач сразу выдает пациенту набор капп с маркировкой, в какой последовательности их использовать.
Недостатки элайнеров:
- Стоимость: элайнеры, особенно от известных производителей стоматологических изделий, обходятся дороже брекет-системы.
- Высокая мотивация: исправить прикус удастся только в случае, если пациент следует инструкциям и рекомендациям врача.
- Элайнеры неэффективны при лечении сложных случаев, например, значительное смещение зубов или открытый прикус. Определить, возможно ли использовать каппы в конкретном случае, поможет качественная диагностика.
- Риск потери или повреждения.
- Не всегда приемлемы для детей: если костная система еще не сформирована, требуется более внимательный подход к лечению.
- Необходимо чистить зубы после приема пищи или любых напитков кроме холодной воды.
Как факторы образа жизни влияют на внешний вид зубов
Воспалительный процесс, протекающий в ротовой полости, может негативно отражаться на всем организме. Но бывает и обратная ситуация, когда на фоне каких-либо патологий стремительно рушатся зубы и воспаляются десны. Недаром опытный врач судит о состоянии организма не только по клиническим проявлениям какого-либо заболевания, но и по здоровью ротовой полости. Состояние зубов как показатель здоровья человека — это непреложная истина для медиков.
При каких болезнях развиваются болезни ротовой полости:
- Гастрит, язва желудка и двенадцатиперстной кишки.
- Пиелонефрит.
- Угнетение иммунитета.
- Болезни, при которых плохо усваивается кальций.
- Эпилепсия.
- Нарушение обмена веществ, включая болезни эндокринной системы, диабет.
- Болезни системы кровообращения.
- Остеопороз.
- Гормональные сбои.
- Хронический тонзиллит.
- ДЦП.
- Хронический стресс.
Как вы заметили, может наблюдаться как влияние зубов на здоровье человека, так и обратный процесс, когда стоматологические болезни начинаются на фоне каких-либо патологий. Если вы начали терять зубы и никакая гигиена не помогает, то причина может быть именно в патологическом процессе. Требуется общее обследование организма.
Факторы, влияющие на здоровье зубов:
- Беременность.
- Курение.
- Злоупотребление углеводами.
- Скудное питание, авитаминоз.
- Плохая гигиена.
- Наследственность.
К группе риска можно отнести детей. Они едят много сладкого, плохо чистят зубы, к тому же здоровье молочных зубов недооценивают, поскольку они сменятся коренными. Но это неверная стратегия.