Основные ошибки гигиены зубов: как избежать их для здоровой улыбки
- Основные ошибки гигиены зубов: как избежать их для здоровой улыбки
- Связанные вопросы и ответы
- Какие основные ошибки гигиены зубов наиболее распространены среди людей
- Почему чистка зубов важна для общего здоровья
- Как часто рекомендуется менять зубную щетку
- Могу ли я использовать зубную пасту без фторида
- Как правильно чистить зубы, чтобы избежать эрозии эмали
- В чем разница между ручной и электрической зубной щеткой
- Как влияет курение на здоровье зубов и десен
- Можно ли чистить зубы сразу после приема пищи
- Как правильно использовать зубную нить
Основные ошибки гигиены зубов: как избежать их для здоровой улыбки
Гигиена полости рта — это важная часть нашего ежедневного ухода. Однако многие из нас допускают ошибки, которые могут привести к серьезным проблемам с зубами и деснами. В этой статье мы рассмотрим основные ошибки гигиены зубов и поделимся советами, как их избежать для сохранения здоровой и красивой улыбки.
1. Неправильная техника чистки зубов
Одной из самых распространенных ошибок является неправильная техника чистки зубов. Многие люди используют слишком сильное давление, что может привести к повреждению эмали и десен. Также важно помнить, что чистка зубов должна быть мягкой и аккуратной.
Как правильно чистить зубы?
- Используйте мягкую зубную щетку с округлыми кончиками щетинок.
- Нанесите зубную пасту с содержанием фтора.
- Двигайте щетку легкими круговыми движениями.
- Обращайте внимание на все поверхности зубов.
- Чистите зубы не менее 2 минут.
2. Недостаточная частота чистки
Еще одна ошибка — недостаточная частота чистки зубов. Рекомендуется чистить зубы дважды в день: утром и вечером перед сном. Упустив эту привычку, вы рискуете накопить на зубах бактерии, которые могут привести к кариесу и другим проблемам.
Почему важно чистить зубы регулярно?
Бактерии в полости рта размножаются стремительно, и если их не удалять, они начинают разрушать эмаль зубов. Регулярная чистка помогает удалить пищевые остатки и предотвратить образование зубного камня.
3. Использование неподходящих средств гигиены
Не все зубные пасты и щетки подходят для ваших зубов. Например, если у вас чувствительные зубы, вам нужна специальная зубная паста, которая помогает уменьшить чувствительность.
Как выбрать правильные средства?
| Средство | Рекомендация |
|---|---|
| Тoothbrush | Выбирайте щетку с мягкой щетиной и удобной ручкой. |
| Toothpaste | Выбирайте пасту с фтором и без абразивных частиц. |
| Dental floss | Используйте зубную нить для удаления пищи из труднодоступных мест. |
4. Пренебрежение дополнительными средствами гигиены
Многие люди ограничиваются только чисткой зубов и не используют дополнительные средства, такие как зубная нить и ополаскиватель. Это может привести к накоплению пищи между зубами и развитию кариеса.
Как правильно использовать зубную нить?
- Возьмите кусок нити длиной около 50 см.
- Оберните нить вокруг средних пальцев.
- Аккуратно проведите нить между зубами в виде буквы "С".
- Удаляйте пищевые частицы, не травмируя десны.
5. Отсутствие регулярных визитов к стоматологу
Многие люди забывают, что регулярные визиты к стоматологу — это важная часть профилактики. Врачи рекомендуют посещать стоматолога дважды в год для профессиональной чистки и осмотра.
Почему важно посещать стоматолога?
Только стоматолог может обнаружить скрытые проблемы, такие как начальные стадии кариеса или воспаление десен. Ранняя диагностика помогает избежать серьезных осложнений и сохранить здоровье зубов.
Избегая этих ошибок и соблюдая правила гигиены, вы сможете сохранить здоровье зубов и десен, а также обрести красивую и уверенную улыбку.
Связанные вопросы и ответы:
Вопрос 1: Какие основные ошибки гигиены зубов могут привести к кариесу
Основные ошибки гигиены зубов, которые могут привести к кариесу, включают недостаточную частоту чистки зубов, использование зубной щетки с жесткими щетинками, неправильную технику чистки, а также отсутствие использования зубной нити. Важно чистить зубы не менее двух раз в день в течение двух минут, уделяя внимание всем поверхностям зубов. Использование мягкой или средней щетки помогает избежать травм десен и эмали. Пренебрежение зубной нитью может привести к накоплению пищи между зубами, что способствует развитию кариеса. Регулярное посещение стоматолога также помогает предотвратить кариес на ранних стадиях.
Вопрос 2: Почему использование зубной нити важно для гигиены полости рта
Использование зубной нити важно, потому что оно помогает удалить пищевые частицы и плак из межзубных пространств, которые недоступны для зубной щетки. Регулярное применение нити предотвращает образование кариеса и воспаление десен. Нити должны использоваться не менее одного раза в день, предпочтительно перед сном, чтобы обеспечить тщательную очистку. Правильная техника использования нити включает осторожное прохождение между зубами без сильного давления, чтобы не травмировать десны. Использование нити в сочетании с чисткой зубов обеспечивает комплексную гигиену полости рта.
Вопрос 3: Какие ошибки при чистке зубов могут привести к эрозии эмали
Ошибки при чистке зубов, такие как использование жесткой щетки, чрезмерное давление на щетку, горизонтальные движения и использование абразивных паст, могут привести к эрозии эмали. Эмаль ослабевает, становясь более восприимчивой к кислотным воздействиям и стиранию. важно использовать мягкую щетку и легкие движения, чтобы избежать повреждения. Также стоит избегать частого использования отбеливающих паст, так как они могут содержать абразивные частицы. Регулярное посещение стоматолога помогает выявить признаки эрозии на ранних стадиях и принять меры.
Вопрос 4: Почему важно чистить зубы не менее двух раз в день
Чистка зубов не менее двух раз в день необходима для удаления накопившихся за день пищи и бактерий, которые могут привести к кариесу и воспалению десен. Утром чистка помогает удалить налет, накопившийся за ночь, а вечером – удалить остатки пищи после ужина. Недостаточная чистка может привести к образованию зубного камня и неприятному запаху изо рта. Также важно чистить зубы в течение двух минут, чтобы обеспечить тщательную очистку всех поверхностей. Регулярность чистки поддерживает здоровье полости рта и предотвращает множество стоматологических проблем.
Вопрос 5: Какие ошибки гигиены могут привести к гингивиту
Основные ошибки гигиены, приводящие к гингивиту, включают недостаточную или неправильную чистку зубов, отсутствие использования зубной нити, а также курение и употребление алкоголя. Недостаточная очистка приводит к накоплению бактерий и пищи, вызывая воспаление десен. Курение ослабляет кровоток к деснам, ухудшая их состояние. Алкоголь может высушивать полость рта, способствуя росту бактерий. Регулярное и правильное выполнение гигиенических процедур помогает предотвратить гингивит и поддерживать здоровье десен.
Вопрос 6: Почему важно использовать зубную пасту с фтором
Использование зубной пасты с фтором важно, потому что фтор укрепляет эмаль зубов, делая их более устойчивыми к кариесу. Фтор также помогает восстановить поврежденную эмаль и снижает чувствительность зубов. Регулярное применение фторсодержащей пасты поддерживает здоровье зубов и предотвращает их разрушение. Важно следовать рекомендациям по использованию пасты и не злоупотреблять ею, чтобы избежать переизбытка фтора. Посещение стоматолога помогает определить необходимость дополнительного применения фтора.
Вопрос 7: Какие ошибки гигиены могут привести к неприятному запаху изо рта
Ошибки гигиены, такие как недостаточная чистка зубов, отсутствие использования зубной нити, а также не регулярное очищение языка могут привести к неприятному запаху изо рта. Накопление бактерий на зубах и языке вызывает гнилостный запах. Курение и употребление алкоголя также способствуют неприятному запаху. Недостаток слюны, вызванный, например, сухостью во рту, может усугубить проблему. Регулярная и тщательная гигиена, включая чистку языка, помогает устранить неприятный запах и поддерживать свежесть дыхания.
Вопрос 8: Почему важно посещать стоматолога регулярно для профилактики ошибок гигиены
Регулярное посещение стоматолога важно для профилактики ошибок гигиены, так как врач может выявить начальные стадии кариеса, воспаления десен и другие проблемы. Стоматолог может дать рекомендации по улучшению гигиены и исправлению ошибок в технике чистки. Профессиональная очистка зубов помогает удалить зубной камень, который невозможно удалить в домашних условиях. Также стоматолог может оценить состояние десен и эмали, предлагая дополнительные меры защиты. Регулярные визиты помогают поддерживать здоровье полости рта и предотвращать серьезные стоматологические проблемы.
Какие основные ошибки гигиены зубов наиболее распространены среди людей

Bamboo toothbrushes, green apple and dental floss on white background — dental care routine to keep healthy teeth
Наша полость рта и зубы требуют тщательного каждодневного ухода. От правильного соблюдения гигиены полости рта и зубов, зависит даже и здоровье лимфоузлов шеи и затылка.
Первая из ошибок — это заблуждение, что освежающей жвачкой можно заменить чистку зубов . Нет, ни в коем случае. Жвачка это лишь мера гигиены и профилактики, в общественном месте, если нет возможности сделать эту процедуру как положено. Также при частом и длительном жевании жвачки, можно заработать себе гастрит. Еще один вред от жвачки – с ее помощью легко можно лишиться пломбы, что доставит намного больше неудобств, чем чистка зубов.
Вторая ошибка – заменителем зубной пасты не является и ополаскиватель для рта . Чистка зубов и ополаскивание рта это совершенно две разные вещи. Многие думают, что сполоснуть рот ополаскивателем – это более чем достаточно и чистить зубы не обязательно. А вот и нет.
Третья ошибка – это то, что зубная щетка должна быть из натурального ворса . Нет и нет, и еще раз нет. Не поверите, но в этот раз натуральный материал может навредить, на нем будет больше скапливаться микробов и грязи. Такую щетку после чистки зубов просто под краном не вымоешь, для этого потребует долговременная процедура дезинфекции. От натурального ворса может возникнуть и раздражение на деснах.
Переходим к четвертой ошибке – это правильность чистки зубов . Сколько вы чистите зубы по времени? Пять минут, десять? Это не важно, хоть пол часа, но никакого результата не будет, так как вы чистили их неправильно. Еще в школе нас учили чистить дальние зубы, задние зубы, массаж десен, щеки и обязательно язык. Учеными уже доказано, что самое большее скопление бактерий – это именно щеки и язык. Также после чистки нужно пользоваться зубной нитью, чтобы не было камней. И на профилактическом приеме у врача просить удаление камней, если такие все-таки образовались.
Пятая ошибка, скорее заблуждение, что размер у щетки имеет значение . Нет. Больше не значит лучше.
Шестая ошибка для тех, кто после чистки зубов обдает зубную щетку кипятком . Это наигрубейшая ошибка и щетку после этого можно выкинуть. Синтетические щетки не требуют обработки кипятком, ее достаточно просто сполоснуть водой. Хранить в сухом стаканчике головкой вверх.
Седьмая ошибка – много пасты не бывает . Бывает, и размер ее должен быть – с горошину. Это лишь связующий ингредиент между зубной щеткой и зубами.
Восьмая ошибка – это не менять щетку раз в три месяца , за это время на щетке успевает скопиться достаточное количество микробов. Девятая ошибка пользоваться на протяжении одного года одной и той же зубной пастой. Она, как правило, вызывает привыкание.
Десятая ошибка – это чрезмерная забота о зубах и чистка их более трех раз в день . Это истончает зубную эмаль.
Так какие мы делаем выводы? Что зубы чистить нужно, но правильно. Дальше полоскание, нить. Жвачку жевать можно, но только пока выделяется желудочный сок, чтобы спасти ситуацию в течении дня, но никак не заменять чистку зубов жвачкой. Зубная щетка из синтетического ворса небольшого размера.
Если у вас есть дети, то им тоже нужно как можно раньше объяснять и прививать правильный уход за полостью рта. Так же нужно регулярное посещение стоматолога. Минимум раз в полгода.
Всем красивой блистательной улыбки!
Почему чистка зубов важна для общего здоровья
Профессиональная чистка зубов является важной частью регулярного ухода за зубами и рекомендуется стоматологами для всех возрастов. Этот процедурный этап имеет огромное значение для поддержания здоровья полости рта и борьбы с таким распространенным проблемным явлением, как зубной камень. Рассмотрим, почему профессиональная чистка зубов необходима и какие преимущества она приносит.
Почему стоматологи рекомендуют профессиональную чистку для всех возрастов
Профессиональная чистка зубов имеет множество преимуществ для здоровья зубов и десен. Ниже представлен список основных причин, почему стоматологи рекомендуют эту процедуру для всех возрастов:
- Предотвращение образования зубного камня: Зубной камень является твердым налетом, который образуется из минералов в слюне и плакке на поверхности зубов. Профессиональная чистка помогает удалить этот налет, предотвращая его утолщение и развитие более серьезных стоматологических проблем.
- Предупреждение кариеса: Регулярная чистка зубов устраняет бактерии и плакк, которые могут вызвать разрушение эмали зубов и развитие кариеса. Это особенно важно для детей с молочными зубами, так как они также подвержены кариесу.
- Поддержание здоровья десен: Плакк и зубной камень могут вызвать воспаление десен, что может привести к кровотечению, зуду и даже пародонтиту. Профессиональная чистка зубов удаляет эти налеты и помогает поддерживать здоровье десен.
- Снижение риска пародонтальных болезней: Пародонтальные болезни, такие как пародонтит и гингивит, могут стать серьезными проблемами, ведущими к потере зубов. Регулярная профессиональная чистка зубов помогает предотвратить развитие этих заболеваний.
- Сохранение свежего дыхания: Зубной камень и плакк могут быть источниками неприятного запаха изо рта. После чистки зубов, вы ощутите свежесть и комфорт во рту.
- Рекомендации по уходу за зубами: Врачи могут предоставить вам ценные советы по уходу за зубами и деснами дома, включая правильную технику чистки, выбор подходящих зубных щеток и зубной пасты, а также использование зубной нити и дополнительных средств для ухода за оральной полостью.
- Индивидуальный подход: Профессиональные чистки зубов могут быть адаптированы к потребностям каждого пациента. Врачи могут учитывать особенности состояния зубов и десен, что позволяет предоставить оптимальное лечение.
В зависимости от вашей индивидуальной ситуации и состояния зубов, стоматолог может рекомендовать частоту профессиональных чисток. В любом случае, регулярные посещения стоматолога и профессиональная чистка зубов — это залог вашей здоровой улыбки и долгосрочного ухода за вашими зубами и деснами.
Профессиональная чистка и борьба с зубным камнем
Зубной камень — это твердый налет, образующийся из минералов в слюне и плакке, который не удаляется обычной зубной гигиеной. Постепенно, зубной камень может стать причиной множества проблем:
- Повышенный риск кариеса: Зубной камень является идеальной средой для размножения бактерий, что может усугубить кариес.
- Пародонтальные болезни: Зубной камень может вызвать воспаление десен, пародонтит и даже потерю зубов.
- Плохой дых: Отложения зубного камня могут вызвать неприятный запах изо рта.
Профессиональная чистка зубов проводится с использованием специальных инструментов, которые эффективно удаляют зубной камень. Этот процесс не только способствует поддержанию здоровья зубов и десен, но и придает вашей улыбке свежесть и белизну.
Как делают чистку зубов
Профессиональная чистка зубов проводится стоматологом или гигиенистом. Процедура включает в себя следующие этапы:
- Оценка состояния зубов и десен: Врач начинает с оценки общего состояния вашего рта, определяя наличие зубного камня и других проблем.
- Удаление зубного камня: Специальные инструменты используются для удаления зубного камня и плака. Это происходит безболезненно благодаря использованию местного анестетика.
- Полировка зубов: После удаления зубного камня, зубы полируются для удаления поверхностных пятен и придания им гладкости.
- Советы по уходу за зубами: Стоматолог или гигиенист предоставляют рекомендации по уходу за зубами и деснами дома, включая правильную технику чистки и использование дополнительных средств, таких как зубная нить.
Профессиональная чистка зубов — это неотъемлемая часть заботы о нашей улыбке и здоровье. Она обеспечивает нам множество преимуществ, включая предотвращение образования зубного камня, кариеса и пародонтальных болезней, поддержание здоровых десен и свежего дыхания. Независимо от возраста, регулярные посещения стоматолога и профессиональная чистка зубов способствуют долгосрочному сохранению здоровья зубов и уверенности в собственной улыбке. Кроме того, не забывайте о фторировании зубов , которое также является эффективным способом укрепления эмали и защиты от кариеса.

Дарите своей улыбке сияние здоровья с нашей услугой чистки зубов! Наши опытные специалисты обеспечат вам не только безупречную чистоту, но и уверенность в своем дыхании. Позаботьтесь о своем улыбочном капитале прямо сейчас, чистка зубов Air flow – здоровые зубы, здоровая улыбка!
Как часто рекомендуется менять зубную щетку
Исследованиями выявлено, что максимально безопасный период использования зубной щетки — три месяца. Именно раз в три месяца и нужно ее менять. Чаще — можно, реже — нет.
Три месяца — оптимальный срок службы, в течение которого щетка не представляет опасности и полноценно выполняет главную функцию — удаляет с зубов загрязнения, остатки пищи и напитков, зубной налет, бактерии.
По мере использования щетина теряет практические качества — ворсинки начинают топорщиться и лохматиться, хуже очищают зубы, пропускают загрязнения, а в отдельные места вообще не могут добраться.
Однако ответ на вопрос «как часто надо менять зубную щетку» не всегда однозначный. В ряде случаев замена требуется раньше:
- После перенесенных инфекционных заболеваний (грипп, герпес, ОРВИ). Даже если вы полностью выздоровели, на ворсинках остаются болезнетворные бактерии, способные спровоцировать повторное инфицирование.
- При сильном износе, если щетина разлохматилась — торчащие в разные стороны, истертые короткие ворсинки не в состоянии качественно убирать загрязнения, пользы от такой чистки не будет. Деформированные щетинки способны повредить мягкие ткани десны, вызвав воспалительный процесс.
- При изменении цвета щетинок — если та потемнела, пожелтела, покрылась пятнами.
- При появлении налета на поверхности или у основания щетины.
- Когда щетка упала на пол или куда-то еще — даже если вы сразу подобрали ее и тщательно промыли горячей водой, кипятком, обработали дезинфицирующим средством, нет никаких гарантий, что на поверхности или внутри ворсинок не осталось микробов.
Могу ли я использовать зубную пасту без фторида
Согласно исследованиям, при местном применении фтор проявляет максимальную эффективность — это происходит во время чистки зубов с пастой, содержащей фториды. При регулярном использовании фторсодержащей пасты в слюне и зубном налете постоянно находятся ионы фтора, предотвращающие появление кариеса. После утренней чистки в слюне сохраняется оптимальная концентрация фторидов на протяжении 4 часов, при чистке на ночь — на протяжении 12 часов.
Польза фтора для зубов
Фтор — важнейший элемент, оказывающий положительное влияние на зубную эмаль:
- способствует удержанию ионов кальция в дентине;
- защищает зубы от воспалений;
- укрепляет эмаль и костную ткань;
- защищает зубы от деминерализации;
- предотвращает развитие кариеса;
- защищает от воздействия кислот;
- препятствует декальцинации.
Польза зубных паст с фтором была подтверждена в результате более чем 370 независимых клинических испытаний. Все они показали, что фториды в зубной пасте — это эффективное средство для профилактики кариеса .
Вред фтора для зубов: мифы и реальные риски
Фтор может принести вред человеческому организму только в том случае, если будет поступать в больших количествах. Это может быть связано с употреблением воды с повышенным содержанием фтора или работой на производстве, связанном с добычей флюорита, получением алюминия, варкой стекла, изготовлением эмалей и удобрений.
Накапливаясь в больших количествах в организме человека фтор может привести к развитию флюороза — заболевания, при котором разрушается зубная эмаль. Избыток фтора может не только вызвать повреждение зубов, но и привести к ухудшению состояния ногтей, волос и замедлить обмен веществ.
Но в народе получило распространение большое количество мифов, связанных с несуществующими побочными эффектами этого микроэлемента, после которых многие задумались над тем, вреден ли фтор в зубной пасте. Большинство мифов начало появляться после 1940-х годов, когда в США стартовала общегосударственная программа по фторированию воды. Научные исследования подтвердили эффективность микроэлемента в борьбе с кариесом и фтор стали добавлять в средства для чистки зубов. Одновременно с этим росло и количество выдумок о вреде фтора. Фторирование воды назвали заговором коммунистов, его обвинили в появлении болезни Альцгеймера, СПИДа, рака, аутизма и массового снижения IQ. На сегодняшний день нет ни одного непредвзятого исследования, способного подтвердить правдивость данных обвинений.
Как правильно чистить зубы, чтобы избежать эрозии эмали
Терапия должна быть комплексной, так как врачу необходимо не только устранить дефект твёрдых тканей, но и воздействовать на его причины, иначе зубы будут продолжать разрушаться. Например, если эрозия вызвана действием кислот, то в первую очередь необходимо скорректировать образ жизни и пищевые привычки пациента. Из рациона следует исключить продукты, содержащие кислоты. Нужно взять за правило проводить гигиену ротовой полости после каждого приёма пищи. Также стоматолог должен подобрать зубную щётку оптимальной жёсткости и рассказать, как правильно чистить зубы.
Техника чистки зубов
Если патология зубов вызвана другими заболеваниями , то в процессе лечения стоматологу приходится тесно сотрудничать с докторами других специальностей, например c эндокринологами или гастроэнтерологами.
Способ закрытия дефекта выбирают в зависимости от локализации эрозии. Если дефекты располагаются на окклюзионных (жевательных) поверхностях моляров и премоляров, необходимо делать акцент на прочности, если на передней поверхности резцов — на эстетике. Для восстановления целостности зубов используют композитные материалы. Препарирование тканей зуба обычно производят на глубину до 0,5 мм. Для реставрации передних зубов можно использовать готовые накладки из композитных материалов (виниры). Они имеют небольшую толщину и хорошую эстетичность. С их помощью можно устранить даже заметные дефекты и сделать улыбку привлекательной.
Установка винира
Если жевательные поверхности зубов значительно разрушены или эрозия сочетается с другими стоматологическими заболеваниями, то для реставрации используют коронки. Для жевательных зубов отлично подходит металлокерамика. Материал имеет оптимальное соотношение прочности, эстетичности и цены. Если эрозия сочетается с повышенной стираемостью вследствие бруксизма, используются окклюзионные шины.
Окклюзионная шина
Чтобы улучшить качество жизни пациента, нужно не просто устранить дефект, но и снизить чувствительность зубов. Для этого используют препараты, оказывающие воздействие на нервные окончания либо закрывающие дентинные канальцы. Врач проводит соответствующие процедуры в стоматологическом кабинете, а также подбирает средства по уходу за зубами, снижающие чувствительность. Таким пациентам подходят зубные пасты с высоким содержанием кальция и фтора. Эти элементы частично закрывают дентинные канальцы, что постепенно снижает чувствительность зубов. В стоматологических кабинетах для снижения чувствительности зубов используют лазерные технологии. Нужно понимать, что для получения эффекта необходимо комплексное лечение, одних домашних средств недостаточно.
В чем разница между ручной и электрической зубной щеткой
Существует множество различных типов электрических зубных щеток в зависимости от цены и способа действия. Например, некоторые щетки при работе двигаются из стороны в сторону, другие модели совершают круговые движения. При этом многие устройства предлагают рекомендации при помощи приложений в режиме реального времени.
Исследования ученых Якоба М., Уортингтона Х., Дикона С. и других свидетельствуют о преимуществах использования электрической зубной щетки. Спустя один-три месяца использования количество налета на зубах исследуемых уменьшилось на 11%, а после трех месяцев — на 21%. При этом у некоторых людей возникали побочные эффекты от использования электрических щеток, но ученые отмечают, что они были временными.
Электрическая зубная щетка также может быть альтернативой обычной щетке для детей, людей с ограниченными возможностями, пожилых людей и людей, страдающих артритом или другими заболеваниями, которые затрудняют чистку зубов.
Врач-стоматолог, терапевт-эндодонтист стоматологического центра «Премьер» Станислав Стариков в беседе с «Газетой.Ru» рассказал, что обычно в электронных щетках режимы делятся на обычную чистку, глубокую чистку, осветление, полировку, уход за деснами, чистку для чувствительных зубов и уход за языком. В основном разница между этими режимами заключается в частоте вибраций и скорости вращения насадки.
Эксперт также подтвердил, что электрические зубные щетки справляются лучше, чем обычные.
«По моему мнению, самое главное в домашней гигиене полости рта — это правильные движения зубной щеткой. По моим наблюдениям, к сожалению, как правильно чистить зубы, не знают более 80% пациентов. Использование дополнительных методов гигиены полости рта, таких как зубная нить, ополаскиватели полости рта, ирригатор, также влияют на качество гигиены в домашних условиях.
Можно одинаково плохо чистить электрической щеткой и хорошо обычной за 200-300 рублей.
Пациент должен понимать, что и зачем он делает и как правильно заниматься гигиеной полости рта. В любом случае, перед тем как решиться, покупать или не покупать электрическую зубную щетку, лучше проконсультироваться со стоматологом», — отметил Стариков.
Стоматолог-терапевт, пародонтолог клиник «СМ-Стоматология» Наталья Тюрякова рассказала «Газете.Ru», что электрические зубные щетки совершают колебательные движения со средней частотой 18 тысяч оборотов в минуту, а ультразвуковые — примерно 60 тысяч оборотов в минуту. Она добавила, что последнему поколению звуковых щеток доступна частота колебаний около 100 тысяч в минуту.
«Эти показатели недостижимы для обычной зубной щетки. При этом за счет такой частоты колебаний щетка лучше убирает налет при чистке, в том числе плотный налет, с которым обычной щетке справиться не под силу. Второй плюс звуковых, ультразвуковых и электрощеток — это очень удобные головки. Они проникают в труднодоступные места, недостижимые для обычной щетки», — считает Тюрякова.
Она подчеркнула, что ультразвук оказывает антибактериальный эффект и массирует десны, что улучшает состояние полости рта при заболеваниях пародонта.
Есть также возможность отдельно приобрести специальные насадки для отбеливания, для имплантов или ортодонтических конструкций (брекетов). У обычных зубных щеток таких опций нет.
«Кроме того, у обычной щетки нет датчика нажима и таймера, фиксирующего время чистки. «Умные» щетки оповестят нас, если мы нажимаем на головку слишком сильно, что предотвращает травмирование мягких тканей. Таймер нужен для того, чтобы чистить зубы 2-3 минуты – именно столько нужно для качественного очищения зубов. Также в звуковых, ультразвуковых и электрощетках есть выбор из нескольких режимов. Чаще всего их три. Щадящий режим нужен для начинающих, когда еще нужно привыкнуть к использованию щетки, а также при заболеваниях полости рта, пародонта, для использования после лечения зубов или имплантации. Обычный режим подходит для нормального состояния зубов, а интенсивный – для более активного очищения от налета. Еще есть такие режимы, как массаж десен, режим отбеливания и т.д. – их число и назначение зависит от модели щетки», — пояснила эксперт.
Тюрякова также отметила, что для детей тоже выпускают звуковые, ультразвуковые и электрощетки со специальными режимами. Выбрать режим и насадку для щетки с учетом состояния полости рта поможет стоматолог.
Как влияет курение на здоровье зубов и десен
Залог здоровья зубов – хорошая гигиена. Всех нас учат с самого детства, что нужно чистить зубы 2 раза в день, чтобы поддерживать чистоту в полости рта. Для проведения полноценного ухода за зубами в домашних условиях необходимо иметь арсенал средств.
Самый главный атрибут, без которого невозможно осуществить чистку зубов – зубная щетка.
Они бывают нескольких видов: мануальные (ручные) и электрические. Современный рынок предлагает огромный ассортимент данного предмета гигиены, который может удовлетворить потребности любого человека. Выбор зубной щетки осуществляется на основе предпочтений и удобства.
Многие люди считают, что электрическая зубная щетка намного лучше справляется со своей функцией, чем классическая. Отчасти это так. Она позволяет убрать большее количество зубного налета, а также имеет дополнительные функции в зависимости от модели: встроенный таймер, датчик давления, разные режимы чистки и др.
Однако есть одно существенное замечание.
Очень важно соблюдать правильную технику чистки зубов. Без нее электрическая зубная щетка не будет достаточно справляться со своими функциями, но и даже может причинить вред зубам. Обучение правильной технике чистки зубов проводит врач-стоматолог. После диагностики Вашей методики чистки при помощи специальных индикаторов зубного налета доктор сможет наглядно продемонстрировать все недочеты и провести подробный анализ. После этого он даст все необходимые рекомендации по улучшению гигиены полости рта.
Также зубные щетки различаются щетиной: мягкая, средняя и жесткая. В зависимости от клинической ситуации и наличия дополнительных факторов, которые способствуют оседанию избыточного налета на зубах (курение, употребление крепкого чая и кофе и др.) стоматолог подберет «идеальную» зубную щетку именно для Ваших зубов.
Еще один важный атрибут – зубная паста. Классические пасты для ежедневного применения содержат в своем составе достаточное количество абразивных компонентов, которые бережно убирают накопившийся налет, не травмируя ткани зуба. При повышенной чувствительности зубов могут использоваться менее абразивные пасты, а при наличии плотного или пигментированного налета – отбеливающие (более абразивные).
Также в ритуале ухода за зубами и полостью рта используются дополнительные инструменты: ополаскиватели, зубные нити и ершики, ирригатор. Они позволяют удалять налет в труднодоступных местах. Это позволит добиться хорошего уровня гигиены полости рта и профилактировать развитие кариеса и воспалительных заболеваний десен.
Один из частых вопросов на приеме врача-стоматолога: когда нужно чистить зубы?
Правило не изменилось: стоматологическая ассоциации России рекомендует проводить уход за полостью рта 2 раза в день (утром и вечером). Вечерняя чистка зубов позволяет очистить зубы от налета, который образовался в течение дня. Утренняя чистка – налет, который образовался в период сна. Ночью снижается выработка слюны в полости рта, что способствует образованию более «агрессивного» налета, ведь в нем содержится повышенное количество бактерий.
Что нужно делать сначала: чистить зубы или завтракать?
Врачи-стоматологи рекомендуют чистить зубы перед первым приемом пищи. Очищение от зубного налета устранит дискомфорт и неприятный запах изо рта. Также в чистой полости рта будет полноценно ощущаться вкус пищи, который принесет приятные ощущения с самого утра. После приема пищи не рекомендуется проводить чистку зубов, а лишь очистить поверхность зубов при помощи ополаскивателей. При применении зубной щетки после еды часть компонентов пищи «втирается» в поверхность зубов (особенно при неправильной технике) и приводит к повреждению эмали. Это негативно скажется на Вашем стоматологическом здоровье.
Более подробно узнать о состоянии своих зубов, а также получить рекомендации по поддержанию должного уровня гигиены полости рта, можно на консультации в нашей стоматологической клинике. Наши врачи-стоматологи ждут Вас на профилактические осмотры, на которых проведут необходимую диагностику и с удовольствием ответят на все интересующие вопросы!
Как работают зубные пасты для восстановления эмали?
В полости рта постоянно идут процессы реминерализации (восстановления) и деминерализации (разрушения, выхода минералов). Это обусловлено скачками pH слюны от нейтральной до экстремально кислой.
гигиена гигиена полости рта
Как разные напитки влияют на зубную эмаль?
«Газировка растворяет зубную эмаль!» - верны, но лишь отчасти.
правильное питание напитки
Нужно ли дезинфицировать зубную щетку?
Полезная информация про зубные щетки.
Можно ли чистить зубы сразу после приема пищи

Про зубную нить слышали многие, однако мало кто знает, что есть рекомендации и противопоказания, связанные с ее использованием. В этом материале мы подробно расскажем, как достичь максимального эффекта от чистки специальной нитью, а также опишем каких видов она бывает и какой подойдет именно вам.
Мнение врача
Вам будет полезно узнать, что вы можете предотвратить заболевания зубов и десен, таких как камень или кариес, если будете использовать это гигиеническое приспособление.
Как правильно пользоваться

Шаг 1. Отрезать нужное количество флосса.
Необходимо взять 25-35 см материала или больше. Такая длина нужна, чтобы легко и надежно зафиксировать нить на пальцах.
Использовать флосс рекомендовано регулярно 1-2 раза в день после еды. Важно соблюдать максимальную осторожность, чтобы не повредить десну.
Шаг 2. Зафиксировать пальцами отрезок зубной нити.
Нужно намотать внахлест концы флосса на ногтевые фаланги средних пальцев, но не перетягивать их. Затем растянуть между двумя руками фрагмент длиной 3-8 см, зажать его указательными и большими пальцами. Для очистки одного зуба следует использовать участок примерно 3-5 см. Переходя на следующую субъединицу, следует понемногу отматывать неиспользованную часть нити с пальца руки.
Нельзя пользоваться одним отрезком флосса дважды, чтобы не переносить с использованного отрезка налет и микроорганизмы с одной единицы на другую.
Как сделать чистку комфортнее? Используйте флоссер.
Он гигиеничен, удобен и позволяет прочистить межзубную зону одной рукой. Существуют различные специальные станки, например: для комфортной чистки моляров, зубов мудрости, а также для людей с ортодонтическими конструкциями во рту.
Шаг 3. Держа флосс под правильным углом, прочистить межзубные промежутки.
Нужно завести флосс в межзубную щель, одна рука при этом должна опираться на подбородок (для лучшей фиксации). Затем потребуется изогнуть нить в "с" образную форму, и сохраняя одно направление, совершать до 5-7 возвратно-поступательных скользящих движений сверху вниз по контактной поверхности эмали.
Каждую единицу следует прочищать поочередно. Стоит начать с передних резцов верхней челюсти, а затем перейти в левую или правую сторону. В конце следует прочистить дистальные области зубов. Аналогичные действия повторите и с нижней челюстью.
Важно убрать налет в области шейки зуба (хорошая профилактика зубного камня), для этого при чистке понадобится аккуратно опустить флосс чуть ниже края десны. Однако не стоит усердствовать, иначе можно травмировать слизистую.
Совет врача:
Почему после использования зубной нити десна кровоточит?
Это нормальное явление для тех, кто только начинает пользоваться флоссом. Чистка десен или шейки зуба от налета в первое время немного травматична для слизистой. Однако важно понаблюдать за этим симптомом. Возможно, вы неправильно пользуетесь нитью или в деснах образуется воспаление. Если кровоточивость не прошла в течение недели, стоит прийти на осмотр к гигиенисту.
Если десны склонны к кровоточивости, рекомендую после чистки пользоваться ополаскивателем с активным веществом триклозаном, он помогает снять воспаления. Также хороший результат будет, если полоскать рот бальзамами с натуральными ореховыми маслами, экстрактами хвои, ягод, они смягчают и увлажняют слизистую, имеют вяжущий и заживляющий эффект. Однако важно помнить, полоскание не замена похода к врачу.
Как правильно использовать зубную нить
«Иди чистить зубы, а то кариес будет», — чаще всего так мотивируют на соблюдение ежедневной гигиены. Судя по тому, как выполняется эта просьба, КАРИЕС не очень-то пугает. А после вечерней «чистки» многие тянут в кровать что-нибудь вкусненькое, и так поступают не только дети.
Если в этом примере Вы не узнаете себя, все равно прочитайте эту статью, потому что ежедневная гигиена полости рта — это не только зубная паста и щетка.
Пугать нужно не кариесом!
Несмотря на справедливость утверждения, что плохой уход за зубами может привести к кариесу, кариес — не самое плохое , что может случиться с зубами.
Кариес и его осложненную форму — пульпит, относительно несложно лечить . Конечно, в случае пульпита потребуется лечение каналов (об этом в статье Почему после удаления нерва важно хорошо запломбировать каналы зуба? ), но несоблюдение гигиены зубов может иметь куда более худшие последствия .
Если кариес разрушает зуб, то заболевания десен (основной или сопутствующей причиной которых является плохая гигиена) приводят к разрушению тканей удерживающих зуб в кости.
Мы рассказываем об этом в статье Почему убывает десна, оголяется шейка и корень зуба?
Что Вам больше нравится: здоровые десны или тяжелая форма пародонтита?
Коренные зубы , которые дарует нам природа после молочных, не имеют эквивалентной замены кроме как на имплантаты, но установка имплантатов может быть затруднена и даже невозможна из-за убыли костной ткани. Об этом читайте в статье Недостаточный объем и качество костной ткани — противопоказания к установке имплантатов .
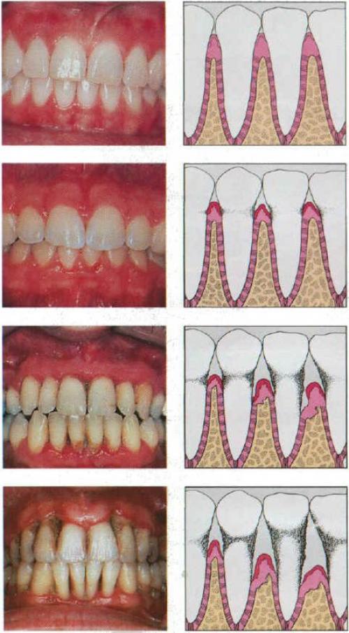
Посмотрите на стадии заболевания десен: гингивит, пародонтит, его осложненная форма… В итоге значительной потери костной ткани зубы теряют опору, расшатываются и выпадают .

В отличие от кариеса, тяжелая форма пародонтита не лечится . Единственное, что можно сделать при пародонтите — замедлить развитие заболевания и это сложней, чем соблюдать правильную ежедневную гигиену зубов.
Посмотрите , как можно избежать проблем, следуя рекомендациям стоматолога по ежедневному уходу за полостью рта.
Что нужно для правильной ежедневной гигиены полости рта?
Кроме правильно подобранной зубной пасты и щетки, в Вашем арсенале, как минимум должны быть : зубная нить (флосс), щетка для языка и раствор для полоскания.
Если Вы носите брекеты, имеете коронки или другие ортопедические конструкции, а также при заболеваниях пародонта, необходимо дополнительно использовать — ершики, пучковые щетки и ирригатор.
