Headlines:
- Headlines:
- Связанные вопросы и ответы
- Почему у некоторых людей отсутствуют зубы мудрости
- Какие причины отсутствия зубов мудрости у определённых людей
- Насколько распространено отсутствие зубов мудрости среди людей
- Как генетика влияет на наличие или отсутствие зубов мудрости
- Какую роль играет эволюция в исчезновении зубов мудрости у человека
- Есть ли какие-либо преимущества для здоровья при отсутствии зубов мудрости
- Может ли отсутствие зубов мудрости влиять на состояние зубов и полости рта
- Как размер челюсти связан с наличием или отсутствием зубов мудрости
- Есть ли какие-либо симптомы или проблемы, связанные с отсутствием зубов мудрости
Headlines:
Что Такое Headlines и Зачем Они Нужны
Headlines, или заголовки, являются одними из самых важных элементов в копирайтинге, журналистике и маркетинге. Они выполняют ключевую функцию: привлекать внимание аудитории и побуждать ее читать дальше. В условиях информационного шума заголовок часто является единственной возможностью запечатлеть читателя и заставить его обратить внимание на ваш контент.
Хороший заголовок способен увеличить количество просмотров, повысить вовлеченность и даже улучшить конверсию. Поэтому умение создавать эффективные headlines является важным навыком для любого, кто работает с текстом.
Особенности Эффективных Headlines
Лаконичность
Лучшие заголовки всегда лаконичны. Они передают суть за несколько слов, не перегружая читателя информацией. Оптимальная длина заголовка — от 6 до 9 слов. Это позволяет быстроить внимание и передать основную идею.
Эмоциональность
Эмоции играют ключевую роль в привлечении внимания. Заголовки, которые вызывают чувства, такие как удивление, любопытство или обещание пользы, работают лучше. Используйте слова, которые создают образ или вызывают реакцию.
Информативность
Хороший заголовок должен быть не только привлекательным, но и информативным. Он должен давать представление о содержании материала, чтобы читатель понимал, чего ожидать.
Практические Рекомендации по Созданию Headlines
| Совет | Пример |
|---|---|
| Используйте цифры | "5 способов повысить продуктивность" |
| Задавайте вопросы | "Хотите знать, как стать успешным?" |
| Создавайте интригу | "Что произойдет, если вы...?" |
| Используйте действенные глаголы | "Узнайте, как начать свой бизнес" |
Примеры Успешных Headlines
- "10 лайфхаков, которые изменят вашу жизнь"
- "Как за месяц достичь своей цели"
- "Секреты успешных людей: что они знают, а вы нет"
- "Почему вы терпите неудачи и как это исправить"
Как Тестировать Ваши Headlines
После создания заголовка важно протестировать его. Используйте A/B-тестирование, чтобы определить, какой вариант работает лучше. Также обратите внимание на метрики, такие как количество кликов и время, проведенное на странице.
Помните, что заголовок — это не только текст, но и инструмент, который помогает достичь ваших целей. Удачи в создании ваших собственных эффективных headlines!
Связанные вопросы и ответы:
Вопрос 1: Почему у некоторых людей нет дальних зубов
У некоторых людей отсутствие дальних зубов, или третьих моляров, может быть обусловлено генетическими факторами. Генетика играет значительную роль в определении количества зубов, и у некоторых людей может быть врожденная адентия, то есть отсутствие зачатков зубов. Кроме того, анатомические особенности челюсти, такие как узкая челюсть, могут привести к тому, что зубы мудрости не вырастают из-за недостатка места. В некоторых случаях зубы мудрости могут быть ретинированными, то есть не пробиваться через десну, и тогда их удаление становится необходимостью. Также, если человек потерял зубы из-за заболеваний или травм, это может повлиять на общее количество зубов.
Вопрос 2: Как определить, что у вас нет дальних зубов
Определить отсутствие дальних зубов можно с помощью стоматологического обследования. Врач-стоматолог может провести визуальный осмотр полости рта и, если это необходимо, назначить рентгеновское исследование, такое как панорамная радиография. На рентгеновских снимках можно увидеть, есть ли зачатки третьих моляров в челюсти, и определить их положение. Если зачатков нет, или если они были удалены, это будет видно на снимках. Также, если вы не чувствуете боли или дискомфорта в области, где должны находиться зубы мудрости, это может быть признаком их отсутствия.
Вопрос 3: Какие причины отсутствия дальних зубов
Основные причины отсутствия дальних зубов включают генетические факторы, анатомические особенности челюсти, а также эволюционные изменения. С течения времени, из-за изменения диеты и способа жизни человека, необходимость в третьих молярах уменьшилась, что привело к их естественному исчезновению у некоторых людей. Кроме того, узкая челюсть может не предоставлять достаточно места для правильного роста зубов мудрости, что приводит к их отсутствию или неправильному положению. В некоторых случаях, зубы мудрости могут быть удалены из-за осложнений, таких как перикоронит или киста.
Вопрос 4: Какие последствия отсутствия дальних зубов
Отсутствие дальних зубов может иметь различные последствия, как положительные, так и отрицательные. С одной стороны, отсутствие зубов мудрости может избежать проблем, связанных с их неправильным ростом, таких как боль, воспаление и повреждение соседних зубов. С другой стороны, отсутствие третьих моляров может привести к скученности зубов, особенно если челюсть узкая, что может вызвать трудности с прикусом и эстетикой улыбки. Также, отсутствие зубов мудрости может повлиять на распределение нагрузки при жевании, что может привести к износу других зубов.
Вопрос 5: Влияют ли дальние зубы на остальные зубы
Да, дальние зубы могут влиять на остальные зубы, особенно если они растут неправильно. Третьи моляры, или зубы мудрости, могут давить на соседние зубы, вызывая их смещение и скученность. Это может привести к трудностям с прикусом и эстетикой улыбки. Кроме того, если зубы мудрости не пробиваются через десну полностью, они могут стать источником инфекции и воспаления, что может повлиять на общее состояние полости рта. Однако, если зубы мудрости отсутствуют, это может избежать этих проблем, но также может повлиять на распределение нагрузки при жевании.
Вопрос 6: Нужно ли что-то делать, если нет дальних зубов
Если у вас нет дальних зубов, обычно нет необходимости предпринимать какие-либо действия, если вы не испытываете дискомфорта или проблем с другими зубами. Однако, если отсутствие зубов мудрости вызывает скученность или другие проблемы с прикусом, может потребоваться ортодонтическое лечение для коррекции положения зубов. Также, если вы планируете установить зубные протезы или имплантаты, отсутствие третьих моляров может быть учитано при планировании лечения. В целом, отсутствие дальних зубов не требует специального лечения, если оно не вызывает других стоматологических проблем.
Вопрос 7: Какие преимущества отсутствия дальних зубов
Преимущества отсутствия дальних зубов включают избежание проблем, связанных с их ростом и неправильным положением. Третьи моляры часто вызывают осложнения, такие как боль, воспаление и повреждение соседних зубов, которые можно избежать, если они отсутствуют. Кроме того, отсутствие зубов мудрости может упростить стоматологическое лечение, такое как удаление зубов или установка имплантатов, так как не требуется учитывать их положение. Также, отсутствие третьих моляров может снизить риск развития кист и опухолей, которые иногда возникают в связи с их ростом.
Вопрос 8: Какие недостатки отсутствия дальних зубов
Недостатки отсутствия дальних зубов могут включать влияние на распределение нагрузки при жевании, что может привести к износу других зубов. Также, отсутствие третьих моляров может повлиять на эстетику улыбки, особенно если челюсть узкая и зубы смещены. В некоторых случаях, отсутствие зубов мудрости может вызвать дискомфорт или боль, если зачатки зубов присутствуют, но не пробиваются через десну. Кроме того, отсутствие третьих моляров может потребовать дополнительного внимания при планировании ортодонтического или протезного лечения, чтобы избежать возможных осложнений.
Почему у некоторых людей отсутствуют зубы мудрости
, сталкиваются с тем, чтомогут не прорезаться или отсутствовать вовсе. И на это есть целых 5 причин:
- эволюционные изменения — челюсть современного человека стала меньше по сравнению с нашими далекими предками. Это связано с изменением рациона питания: если раньше люди употребляли более жесткую и грубую пищу, требующую активного пережевывания, то сейчас пища стала мягче и легче в обработке. В результате челюсть уменьшилась и для зубов мудрости просто не остается места;
- генетические факторы — у некоторых людей зубы мудрости отсутствуют из-за наследственности. Если у родителей или предков зубы мудрости не прорезались, то высока вероятность, что и у их потомков они тоже не появятся;
- рудиментарный орган — зубы мудрости считаются рудиментом — частью тела, которая утратила свою функцию в процессе эволюции. Они больше не нужны для выживания или пережевывания пищи, поэтому их отсутствие — это естественный процесс;
- проблемы с прорезыванием — даже если зубы мудрости начинают расти, они часто сталкиваются с недостатком места в челюсти. Это приводит к их неправильному положению, ретенции (задержке прорезывания) или воспалению, что может потребовать удаления;
- изменения в образе жизни — современные люди меньше используют челюсти для пережевывания жесткой пищи, что может влиять на развитие зубов мудрости. Кроме того, улучшение гигиены полости рта и стоматологической помощи снизило необходимость в «запасных» зубах.
Отсутствие зубов мудрости у зумеров — это не проблема, а скорее результат эволюции и изменений в образе жизни. Для многих это даже плюс, так как зубы мудрости часто вызывают осложнения, такие как скученность зубов,.
Какие причины отсутствия зубов мудрости у определённых людей
Домысел №1
Некоторые люди считают, что у природы нет ничего лишнего, а значит и третьи моляры для чего-нибудь пригодятся.
Но уже научно доказано, что наша жевательная система вполне может справляться без этих зубов. Сейчас для человека нормой является 28 зубов, а не 32.
Домысел №2
Иногда зубы мудрости хотят во что бы то ни стало сохранить, чтобы в будущем использовать «восьмерку» в мостовидной конструкции, если какой-то из жевательных зубов выйдет из строя или разрушится.
Но это заблуждение. Во-первых, потому что «восьмерки», как правило, занимают неправильное место, что делает невозможным установку моста. Во-вторых, современная стоматология старается максимально уйти от мостовидных или объединенных конструкций в пользу одиночных. На сегодняшний день имплантация является наиболее качественным и современным методом замещения отсутствующих зубов.
Стоит справедливо отметить, что в мире, а также нашей клинике проводится ряд научно-практических работ, связанных с пересадкой восьмых зубов на место утраченных, поврежденных шестых или седьмых зубов.
Но в настоящее время подобные операции носят исключительно научный, исследовательский характер. У этой методики максимальные результаты наблюдений менее 10 лет – для стоматологии это еще минимальный период времени, чтобы можно было говорить о какой-то статистике или системе.
Кроме того, у пересадки таких зубов есть масса ограничений: пересаживается только прорезанный зуб, здоровый во всех отношениях, без кариеса, костная ткань в месте пересадки не должна быть повреждена и так далее…
Это далеко не массовая процедура, которую проводят только ведущие хирурги, очень малому числу пациентов. При желании использовать зуб мудрости для пересадки пациенту нашей клиники необходимо пройти специализированную консультацию, по итогам которой консилиум специалистов примет решение о возможности такого вида лечения.
Мировая стоматология четко сформулировала отношение к сохранению зубов мудрости – их можно сохранять только при условиях:
- места на челюсти достаточно для их прорезывания;
- прорезавшись, эти зубы не нарушили прикус человека;
- есть нормальные условия для поддержания хорошей гигиены этих зубов.
Если же на этих зубах начался кариозный процесс, либо они каким бы то ни было образом мешают другим зубам или процессу жевания в целом, то это безусловное показание к их удалению. Единственно разумный и правильный способ по отношению к лечению зубов мудрости – это их удаление.
Мировая стоматология в этом вопросе безжалостна к «восьмеркам» и допускает их наличие ровно до того момента, пока они ничему не вредят. Самостоятельно оценить разрушительную способность третьих моляров сложно, так как человек очень адаптивен. Только специалист может выявить нарушения, которые вносят в работу зубочелюстной системы зубы мудрости.
Домысел №3
Если зубы мудрости не прорезались, то совершенно не стоит о них переживать.
Однако, непрорезанные зубы представляют собой своего рода взведенную пружину, которая находится у человека внутри челюсти, и, если на эту пружину начнет действовать какой-либо неблагоприятный фактор, она даст о себе знать.
Скрытые «восьмерки» могут спровоцировать всевозможные воспаления десны, вызвать кариес, доставить болезненные ощущения. Конечно, не все зубы мудрости, оставшиеся непрорезанными, несут опасность, но в любом случае за ними нужно наблюдать.
Человек, у которого не появились зубы мудрости (один, два, три или все четыре), часто самостоятельно не может понять, есть ли они у него, либо ему повезло - и их нет даже в зачатках. Чтобы это определить, нужно пройти рентгенологическое обследование, как минимум сделать обзорный панорамный снимок (ОПТГ), либо пройти современную конусно-лучевую компьютерную томографию (КЛКТ) .
Такие снимки в идеале проводить в диагностических целях раз в 2-3 года каждому человеку, чтобы исключить скрытые процессы и оценить общее состояние челюсти. Современные Рентгенологические исследования имеют сверх низкое излучение, поэтому такие исследования максимально безопасны.
Восьмые зубы по необходимости удаляют, начиная уже с 12-14 лет. Как правило, это связано с ортодонтическим лечением . Перед ортодонтическим лечением в любом возрасте в обязательном порядке проводят две вещи: тщательную гигиену полости рта и удаление зубов мудрости, прорезавшихся или непрорезавшихся.
Насколько распространено отсутствие зубов мудрости среди людей
В эволюции существует проблема локальных максимумов. Немного покрутить какой-то параметр — не проблема. Это не требует больших изменений в геноме. Сделать уши крупнее, а нос более плоским — не вопрос. Плавно изменить размер челюстей — запросто. А вот просто взять и получить человека с тремя глазами, четырьмя руками или другим числом зубов уже намного сложнее и требует значительной перестройки генетического кода. Такие мутации случаются гораздо реже и часто имеют вредные побочные эффекты, которые снижают шансы на дальнейшее распространение.
Для сложных систем вроде крыла птицы, среднего уха или плавательного пузыря локальный максимум преодолевается за счёт преадаптации. То есть орган поначалу приносит пользу, выполняя другие функции, а лишь потом плавно меняет назначение. Как пример из стоматологии, челюсти изначально были жаберными дугами. У предков позвоночных активизация дыхания пошла путём усиления тока воды через жаберную область с развитием сильных мышц, раскрывающих передние жаберные дуги. В результате передние дуги получили возможность захватывать и удерживать добычу. Ну а затем функция полностью поменялась и мы получили зубочелюстной аппарат.
Для зубов этот эффект не работает, так как изменение их числа требует сложного генетического изменения, а давление отбора невелико. Есть такой термин — первичная адентия. Это мутация, в результате которой вы не получаете зачаток зуба там, где он должен быть. Естественный отбор тут работает слабо. Чтобы наличие третьего моляра стало отрицательным фактором, носитель должен с большей вероятностью умирать, например, от гнойных осложнений, связанных с этим зубом, не успев дать потомство.
Как генетика влияет на наличие или отсутствие зубов мудрости
Ученые престижного Университета Флиндерса и не менее известного Университета Аделаиды утверждают, что современная вершина творения природы стоит на пороге новой стадии эволюции. Эксперты подробно проанализировали человека по нескольким десяткам параметров за последние 250 лет развития. В расчет брались в первую очередь анатомические особенности.
Ученые высказали мнение о слишком быстром физиологическом развитии за последнюю четверть века. Например, было выявлено главные отличия современного человека с Хомо Сапиенс 18-ого века: появление дополнительной (срединной) артерии и в области предплечья, дополнительных костных структур в нижних конечностях, а также уменьшение размера челюсти и отсутствия зубов мудрости.
Доктор Теган Лукас из Университета Флиндерс, участвующий в исследовании, рассказал, что ранее массивная челюсть человеку нужна была для пережевывания сырого мяса или другой сильно волокнистой и твердой пищи. Зубы мудрости в этом случае помогали измельчать большие куски недавно принесенного мамонта. Однако с появлением огня и других способов обработки пищи, зубы мудрости потеряли свою основную функцию, а челюсть становилась все более привлекательной. За 250 последних лет изменилась культура пищи: теперь предпочтение отдают смузи, супам-пюре, молекулярной кухне. Соответственно зубы мудрости и вовсе не нужны, пищу практически не нужно пережевывать. Поэтому природа решила скорректировать челюсть современного человека, практически не оставив места для «восьмерок».
Ученые утверждают, что в скором времени (по меркам истории развития человека), лет через 1000, о зубах мудрости будут вспоминать как об одном из элементов человека прошлого поколения. Кстати, из-за привычек в питании, родные зубы человека станут меньше, зубная эмаль мягче, а кишечник укоротится на треть за ненадобностью долго переваривать пищу.
Читайте так же:
Периодонтит — симптомы, причины, лечение, профилактика
Проблемы с зубами испытывает большая часть населения планеты. Один из частых диагнозов касается периодонта ― соединительной ткани, расположенной между корнем зуба и пластинкой альвеолы ― лунки, где находится корень зуба.
Какую роль играет эволюция в исчезновении зубов мудрости у человека
Чтобы ответить на вопрос, для чего нужны зубы мудрости, нужно заглянуть в далекое прошлое человечества. Эволюционируя, человек утратил большую, выдвинутую вперед челюсть, в которой хорошо помещались и участвовали в процессе жевания все 32 зуба. Нашему древнему предку требовалось намного больше усилий, чтобы одолеть сырое мясо и жесткую дичь, чем прикладывает современный житель планеты для пережевывания куда более мягких и сочных блюд, приготовленных на кухонной плите. Растущее разнообразие меню и термическая обработка пищевых продуктов привели к тому, что восьмые зубы постепенно потеряли свое первоначальное функциональное значение. Более того – за счет уменьшения размеров челюстей «дополнительные» моляры, с трудом помещающиеся в ряду, стали препятствием для сохранения нормального прикуса. Нужно ли вырывать зуб мудрости, или с ним можно жить без проблем – не решайте самостоятельно, лучше обратитесь к врачу.
Эволюция продолжается, и зачем нужны зубы мудрости – вопрос индивидуальный. Сегодня они, по сути, стали атавизмом, и появляются не у всех людей. Иногда они выходят наружу только после 30 лет, иногда один или два из них так и остаются под десной. Но бывают случаи, когда нужно удалять зуб мудрости. Например, ситуации, когда восьмерки с более сложной корневой системой, чем у других моляров, заявляют о себе достаточно активно: стремясь занять свое место в ряду, они выталкивают стоящие рядом семерки, способствуют опасным воспалительным процессам.

Есть ли какие-либо преимущества для здоровья при отсутствии зубов мудрости
Прибавляют ли «восьмерки» мудрость – вопрос спорный. А вот проблем с ними хватает.
Так кто же они – наши враги или друзья? Нужны ли они вообще? Что лучше: лечить их или удалять? А если удалять, то когда? Вот на все эти вопросы ответит наш врач-стоматолог.
Зачем вообще нужны третьи моляры?
Зубы мудрости — это те самые дальние восьмые элементы в ряду. Некоторые ученые называют их рудиментами, не имеющими особой ценности. Но это не так. В организме, вообще-то, не бывает ненужных элементов.
Это правда, что «восьмерки» не несут особой функциональной нагрузки. Человек нормально справляется с пережевыванием пищи при помощи уже имеющихся зубов. Третьи моляры — это своего рода такие запасные игроки, которые могут прийти на помощь в нужный момент.
Вот несколько примеров:
- удержание соседних зубов — не дают им расшатываться и смещаться;
- частичное участие в процессе пережевывания пищи? особенно при значительной утрате зубных единиц в ряду;
- роль дополнительной опоры для съемных и мостовидных протезов;
- стабилизация, снижение нагрузки на челюсть ;
- предотвращение преждевременного износа моляров .
Так что с ними делать?
Если восьмерке достаточно пространства, она нормально прорезалась и не вызывает никаких беспокойств — ее можно оставить. Если же меняется прикус, появляется воспаление или возникают другие проблемы, промедление станет причиной серьезных осложнений. Каждый случай индивидуален, поэтому точные рекомендации лучше получить у стоматолога на консультации.
Может ли отсутствие зубов мудрости влиять на состояние зубов и полости рта
Зачатки «восьмерок», как правило, формируются примерно в три года. Окончательно зубы мудрости созревают ближе к 16 – 17 годам. Сначала формируется коронковая часть, после чего корни могут развиваться еще несколько лет, даже когда сам зуб уже прорезался. По своему строению зуб мудрости немного отличается от остальных моляров. Обычно восьмерки имеют большее число корневых каналов, часто значительно искривленных. Мудрые зубы могут прорезаться, а могут остаться в челюстной кости. Ниже причины отсутствия прорезывания восьмых моляров .
- Размер челюсти. Короткая челюсть зачастую не дает зубам мудрости достаточно места для нормального роста, и они навсегда остаются «погребенными» в костной ткани.
- Затрудненное прорезывание. «Восьмерки» не имеют молочных предшественников, поэтому им довольно сложно пробиваться через костную ткань. С годами челюстная кость становится более плотной, что еще больше осложняет появление зубов мудрости, которое часто проходит с болью, воспалением и дискомфортом. Срок прорезывания может занимать от нескольких недель до двух лет, так что иногда приходится просто запастись терпением.
- Неправильное положение зубов. В условиях ограниченного пространства зуб мудрости часто располагаются в кости под наклоном, упираясь коронкой в соседей, тем самым сдвигая зубной ряд. В этом случае «восьмерки» часто не прорезываются. В то же время они могут вызвать скученность и нарушение прикуса, поэтому, как правило, удаляются. Если вовремя не решить проблему, соседние зубы могут пострадать от такого опасного соседства.
- Отсутствии зачатков. Часто бывает так, что зуб мудрости отсутствует совсем, то есть не наблюдается даже его зачатков. Это может быть вызвано целым рядом факторов: наследственностью, особенностями строения челюсти, расой, районом проживания и так далее. Полное отсутствие зачатков наблюдается примерно в 5 % случаев и это считается нормальным.
Как размер челюсти связан с наличием или отсутствием зубов мудрости
Прорезываться зуб может, порой, очень долго и мучительно. Ведь прорезываются эти зубы во взрослом возрасте, костная система уже хорошо сформирована, и им значительно тяжелее пробиться через кость. Если зубу достаточно места для прорезывания, оно проходит практически безболезненно. Если же места для прорезывания недостаточно, то могут возникнуть трудности.
Когда режется зуб мудрости, вы можете наблюдать следующие симптомы:
- Боль и припухлость за седьмым зубом:
- Во время жевания, либо в спокойном состоянии человек может испытывать неприятные ощущения.
- Формирование так званого «капюшона»:
- Это состояние, когда режется зуб мудрости, но пробиться сквозь десну он не может, он потихоньку приподнимает её, и над зубом образуется капюшон. Туда попадают остатки пищи и бактерии, он воспаляется, соответственно разбухает, человек ощущает боль во время жевания.
- Боль в горле:
- Очень часто, особенно в случае со сформированным «капюшоном», воспаление может переходить на горло.
- Боль в ухе:
- Это может быть как отит, таки оталгия.
- Лимфаденит либо лимфаденопатия:
- Во время прорезывания зубов мудрости, особенно нижних, могут воспаляться околоушные, шейные и поднижнечелюстные лимфатические узлы.
- Неврит либо невралгия:
- Это больше касается нижней челюсти. Если зуб, который прорезывается, какой-то своей частью находиться в нижнечелюстном канале, может быть ощущение онемения по ходу нижней челюсти. В некоторых случаях боль и онемение распространяется на полголовы.
- Искривление зубного ряда:
- Если восьмерке нет места для нормального прорезывания, он может начать освобождать себе место, соответственно сдвигая уже сформированный зубной ряд.
Есть ли какие-либо симптомы или проблемы, связанные с отсутствием зубов мудрости
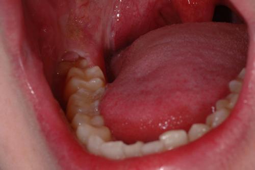
По аналогии, здесь речь идет о тех случаях, когда зуб мудрости все же частично смог прорезаться, но не до конца. Что ему чаще всего мешает? Либо мощный костный выступ челюсти, либо неправильное положение зачатка, либо соседняя 7-ка… вобщем причин может быть много, суть остается неизменной – часть непрорезавшегося зуба остается внутри, а часть – торчит снаружи. Это наиболее частая ситуация и именно она чаще всего и приводит к различным реально ощутимым проблемам. Каким именно?
- перикоронарит - пожалуй, самое частое осложнение частично прорезавшегося зуба мудрости. Это воспаление в тканях, окружающих этот самый проблемный зуб – в десне и кости. Проявляется болью, отеком и покраснением десны, затруднением глотания, повышением температуры.

В самом дальнем закоулке нижней челюсти можно рассмотреть частично прорезавшуюся 8-ку и воспаленную десну над ней.
Часто пациенты пытаются в таких ситуациях заниматься самолечением – полощат зуб разными снадобьями у кого что под рукой (от отвара ромашки до пятизвездочного коньяка), глотают бесконтрольно обезболивающие таблетки, или, что хуже, антибиотики. Действительно, от таких мероприятий (особенно от антибиотиков) воспаление может утихнуть. Но неустраненная причина рано или поздно приведет к рецидиву. Более того, любое воспаление в области зубов мудрости может легко развиться до абсцесса или флегмоны лица и шеи, а это уже серьезные, опасные для жизни хирургические проблемы. И лечат их, в том числе, проведением наружных разрезов на лице и шее. И это действительно серьезно. Не буду вставлять здесь малоаппетитные картинки, запрос в любом поисковике поможет создать дополнительную мотивацию любому неверующему Фоме.
Надеюсь, я достаточно испугал, чтобы не возникало желания заниматься самолечением в таких случаях. Обязательно нужно посетить стоматолога-хирурга. Если он не увидит проблем в дальнейшем прорезывании восьмерки, то просто уберет нависающую над зубом десну («капюшон») и назначит нужные лекарства. Если же зуб объективно уже не сможет нормально прорезаться, то его надо будет удалить. Только так можно устранить причину и уберечь себя от рецидивов воспаления, а также от серьезных гнойных осложнений изначально пустячной проблемы.
- кариес корня соседнего 7-го зуба. Часто, когда 8-ка «застряла» и не имеет шансов прорезаться дальше, но и не беспокоит, пациенты и не думают обращаться к доктору, т.к. «не болит». На самом деле, такой полупрорезавшийся зуб, затрудняет нормальную гигиену в этой области и это приводит к поражению кариесом соседнего зуба. Причем самое неприятное в этом варианте то, что кариес развивается около самого основания зуба, развивается незаметно, полость долгое время может оставаться незаметной. В результате вырастает огромная «дыра», уходящая глубоко под десну, и восстановить такой дефект качественно не всегда потом возможно. Как финал – потеря хорошего соседа из-за неубранного вовремя «мудрого зуба». Причем восполнить утраченную 7-ку можно будет только имплантом (что недешево), либо съемным протезом (что неудобно в пользовании и заметно снижает качество жизни)

На рентгеновском снимке стрелкой показана кариозная полость, возникшая на 7-ом зубе из-за его нерадивого мудрого соседа. Справа примерно то же самое, только на живой фотографии. Зеленым показана застрявшая восьмерка, синим - возникший из-за нее на 7-ке кариес.

- резорбция (рассасывание по-простому) корня соседнего 7-го зуба. Вобщем, ситуация аналогичная предыдущей, с теми же последствиями. Отличие лишь в том, что упершись в своего соседа, «мудрый зуб» может оказаться весьма настырным и своим давлением на 7-ой зуб вызвать рассасывание его твердых тканей.

На рентгеновском снимке мы видим упершегося в верхнюю 7-ку зуб мудрости. На фото справа - эта же семерка, после удаления. Вот такую резорбцию корня может вызвать настырный зуб мудрости своим давлением.

- потеря кости со стороны соседнего 7-го зуба… это третья вариация на тему того, что за проблемным, но с виду не беспокоящим зубом мудрости, может запросто пострадать ни в чем не повинный хороший и нужный его сосед. Неполностью прорезавшийся зуб мудрости, упершийся в 7-ку, может создать пространство, в котором будут скапливаться остатки еды. Это вызовет образование пародонтального кармана и потерю кости между 8-кой и 7-кой. А результат все тот же – удаление обоих зубов, костная пластика и имплантация 7-ки.