Эксперт раскрыл основные ошибки в гигиене полости рта
- Эксперт раскрыл основные ошибки в гигиене полости рта
- Связанные вопросы и ответы
- Какие основные ошибки в уходе за зубами могут привести к проблемам с полостью рта
- Сколько раз в день рекомендуется чистить зубы, чтобы избежать ошибок
- Как правильно выбрать зубную щетку, чтобы не навредить зубам
- Какие ошибки при использовании зубной пасты могут нанести вред
- Нужно ли использовать дополнительные средства, такие как ополаскиватель или зубная нить
- Какие ошибки при чистке зубов могут привести к эрозии зубного эмали
- Влияет ли диета на здоровье зубов, и как этого избежать
- Как определить, что ваш уход за зубами правильный
- Какие ошибки в уходе за детьми могут повлиять на их зубное здоровье
Эксперт раскрыл основные ошибки в гигиене полости рта
Полоскание рта водой после чистки зубов на самом деле приносит больше вреда, чем пользы.
Юлия Литвиненко
Эксперт назвал самую распространенную ошибку, которую совершают во время чистки зубов и которая может ухудшить состояние полости рта.
Как сообщает Daily Record , по словам челюстно-лицевого хирурга Андрея Бозича, речь идет о полоскании рта после чистки зубов.
Почему врач не рекомендует полоскать рот
По мнению эксперта, полоскание рта водой после чистки зубов на самом деле приносит больше вреда, чем пользы. Например, оно может со временем сделать зубы более уязвимыми для кариеса.
Такая привычка на самом деле снижает эффективность зубной пасты. Дело в том, что ополаскивание смывает содержащийся в пасте фторид с зубов, тогда как он является важным компонентом пасты.
Фторид — кючевой компонент для укрепления эмали и предотвращения кариеса. Восстанавливает минералы в зубах, делая их более устойчивыми к атаке кислот и бактериям. Фториды обычно добавляются для создания пены при чистке.
Фториды рекомендованы к применению ВОЗ и официально признаны эффективной профилактикой кариеса.
Стоматолог признает, что мало кому нравится пенистый слой, покрывающий зубы и десны, однако именно он защищает их.
Бозич предупредил, что не стоит применять после чистки зубов ополаскиватели для полости рта. Их следует применять до нее.
Ополаскиватель для рта также может обнулить защитное свойство фтора. Его лучше использовать в другое время дня, например, после еды или перекуса, или перед чисткой зубов.
Полоскание рта водой после чистки зубов снижает защитные свойства зубной пасты. Фото: 1MI
Он посоветовал после чистки зубов просто удалить излишки зубной пасты. Еще лучше — после чистки зубов воздержаться на какое-то время, например, на час, от еды и питья. В этом случае фтор успеет подействовать.
Эксперт также дал несколько советов по правильной гигиене полости рта:
Чистите зубы в течение двух минут дважды в день
Врачи неоднократно напоминают о важности чистки зубов дважды в день. Об этом же говорит и Бозич. При этом, важно, чтобы процедура длилась хотя бы две минуты.
Чистите зубы перед завтраком
Утренняя чистка зубов, перед приемом пищи, поможет запустить выработку слюны, которая способствует расщеплению еды и естественным образом убивает вредные бактерии во рту. Кроме того, это устраняет неприятный утренний запах изо рта.
Подождите хотя бы полчаса после еды, чтобы почистить зубы
Подождать 30 минут — час после еды, чтобы почистить зубы, — это лучший способ защитить зубы и не испортить эмаль, сказал врач. Если чистить зубы сразу же, то тогда вы сделаете только хуже: вы рискуете покрыть зубы остатками кислой пищи, что может ослабить эмаль.
Почистите язык
По словам эксперта, некоторые бактерии, скапливающиеся на поверхности языка, практически невозможно удалить только полосканием.
При это большое количество бактерий может не только испортить запах изо рта, но и способно привести к другим проблемам со здоровьем полости рта.
Таким образом, чистка языка зубной щеткой или специальным скребком для языка — крайне важна для поддержания здоровья полости рта.
Связанные вопросы и ответы:
1. Какие основные ошибки в уходе за зубами могут привести к кариесу и другим стоматологическим проблемам
Основные ошибки включают недостаточную или избыточную чистку зубов, использование неподходящих средств гигиены, пренебрежение визитами к стоматологу и неправильное питание. Кариес возникает из-за накопления бактерий, которые разрушают эмаль. Если не устранять эти ошибки, могут развиться более серьезные проблемы, такие как пульпит или пародонтоз. Регулярная чистка и правильный выбор зубной пасты помогут предотвратить эти проблемы. Важно также следить за питанием, ограничивая сладкие и кислые продукты.
2. Почему использование слишком жесткой зубной щетки считается ошибкой и что это может вызвать
Жесткая щетка может травмировать десны, их отступление и повышенную чувствительность зубов. Это также может стирать эмаль, делая зубы более уязвимыми к кариесу. Важно использовать мягкую или среднюю щетку, чтобы избежать таких последствий. Регулярная замена щетки также необходима для эффективной чистки. Стоит обратить внимание на рекомендации стоматолога при выборе щетки.
3. Как правильно чистить зубы, чтобы избежать повреждения десен и эмали
Чистить зубы нужно круговыми движениями, без сильного давления, чтобы не травмировать десны. Щетка должна быть под углом 45 градусов к деснам. Важно чистить все поверхности зубов, включая внутренние, и не забывать о языке и небе. Использование мягкой щетки и подходящей зубной пасты поможет сохранить здоровье полости рта. Также важно чистить зубы не менее двух минут, чтобы обеспечить качественную очистку.
4. Может ли недостаток фторида в зубной пасте негативно отразиться на здоровье зубов
Да, фторид укрепляет эмаль и предотвращает кариес. Недостаток фторида может сделать зубы более уязвимыми к разрушению. Поэтому важно выбирать зубные пасты с содержанием фторида, соответствующим рекомендациям стоматологов. Фторид также помогает восстановить поврежденную эмаль, что особенно важно для детей и подростков. Однако избыток фторида может быть вредным, поэтому важно следовать рекомендациям.
5. Почему важно чистить не только зубы, но и язык, и десны
Язык и десны также могут скапливать бактерии, которые вызывают неприятный запах изо рта и воспаления. Чистка этих областей помогает поддерживать общую гигиену полости рта и предотвращает развитие инфекций. Регулярная чистка языка и десен также способствует свежему дыханию и общему благополучию. Использование специальных скребков для языка может улучшить эффективность чистки. Это важно для поддержания здоровья всей полости рта.
6. Как часто следует посещать стоматолога для профилактики стоматологических заболеваний
Врачи рекомендуют посещать стоматолога каждые 6 месяцев для профилактического осмотра и чистки. Это позволяет вовремя обнаружить и вылечить начальные стадии заболеваний, избегая более сложного и дорогого лечения. Регулярные визиты помогают поддерживать здоровье зубов и десен, а также предотвращают развитие серьезных проблем. Посещение стоматолога особенно важно для людей с высоким риском кариеса или пародонтоза. Профилактические визиты способствуют сохранению красивой и здоровой улыбки.
7. В чем опасность использования ополаскивателей без рекомендации врача
Некоторые ополаскиватели содержат агрессивные компоненты, которые могут пересушивать слизистую или вызывать аллергические реакции. Без рекомендации врача можно выбрать средство, которое не подходит для конкретного типа зубов и десен, что может усугубить существующие проблемы. Использование ополаскивателей без необходимости может привести к дисбалансу микрофлоры полости рта. Важно проконсультроваться с врачом, чтобы выбрать подходящее средство. Самостоятельное использование может быть неэффективным или даже вредным для здоровья полости рта.
Какие основные ошибки в уходе за зубами могут привести к проблемам с полостью рта
Несмотря на справедливость утверждения, что плохой уход за зубами может привести к кариесу, кариес — не самое плохое , что может случиться с зубами.
Кариес и его осложненную форму — пульпит, относительно несложно лечить . Конечно, в случае пульпита потребуется лечение каналов (об этом в статье Почему после удаления нерва важно хорошо запломбировать каналы зуба? ), но несоблюдение гигиены зубов может иметь куда более худшие последствия .
Если кариес разрушает зуб, то заболевания десен (основной или сопутствующей причиной которых является плохая гигиена) приводят к разрушению тканей удерживающих зуб в кости.
Мы рассказываем об этом в статье Почему убывает десна, оголяется шейка и корень зуба?
Что Вам больше нравится: здоровые десны или тяжелая форма пародонтита?
Коренные зубы , которые дарует нам природа после молочных, не имеют эквивалентной замены кроме как на имплантаты, но установка имплантатов может быть затруднена и даже невозможна из-за убыли костной ткани. Об этом читайте в статье Недостаточный объем и качество костной ткани — противопоказания к установке имплантатов .
Посмотрите на стадии заболевания десен: гингивит, пародонтит, его осложненная форма… В итоге значительной потери костной ткани зубы теряют опору, расшатываются и выпадают .

В отличие от кариеса, тяжелая форма пародонтита не лечится . Единственное, что можно сделать при пародонтите — замедлить развитие заболевания и это сложней, чем соблюдать правильную ежедневную гигиену зубов.
Посмотрите , как можно избежать проблем, следуя рекомендациям стоматолога по ежедневному уходу за полостью рта.
Сколько раз в день рекомендуется чистить зубы, чтобы избежать ошибок
Будет верным чистить зубы до завтрака, поскольку после сна во рту скапливаются микроорганизмы. Не почистив зубы, вы рискуете занести патогенную микрофлору в желудок и кишечник. Вечером рекомендуется чистить зубы перед сном и не принимать пищу после гигиенических процедур.алгоритм правильной чистки зубов обычной (традиционной, ручной) и электрической щетками
рекомендуется придерживаться правильной последовательности чистки зубов:- 1. Сначала необходимо промыть щетку или насадку электрической щетки под проточной водой и нанести на нее пасту размером с горошину.
- 2. Чистку зубов начинают с наружной поверхности боковых зубов, продвигаясь к середине. Правильная техника чистки зубов подразумевает, что нужно держать щетку под углом 45о. В случае использования обычной зубной щетки необходимо выполнять правильные движения, а именно – по 4-5 выметающих движений сверху вниз на верхней челюсти и снизу вверх на нижней. При применении электрической зубной щетки никаких движений делать не нужно, кроме как передвигать ее от дальних зубов к передним, задерживаясь на каждом по несколько секунд без чрезмерного надавливания.
- 3. Затем требуется произвести аналогичные действия с внутренней стороны.
- 4. Далее очистить жевательные поверхности тоже в направлении от задних зубов к передним, производя круговые движения.
- 5. Следом нужно помассировать щеткой десны аккуратными круговыми движениями. Для электрической зубной щетки существуют специальные насадки для десен, неба и языка.
- 6. Очистить поверхность языка специальным приспособлением, которое должно быть на щетке, либо использовать для этого специальный скребок.
- 7. В конце очищают межзубные пространства зубной нитью, для каждого промежутка используют новый кусок нити.
Как правильно выбрать зубную щетку, чтобы не навредить зубам
Ухаживать за полостью рта нужно с самого раннего детства. Сначала — это обязанность родителей, затем ребенок должен учиться самостоятельно чистить зубы. Налет на эмали — это ни что иное как скопление огромного количества пищевых остатков. Если его своевременно не удалять, его объем будет все время увеличиваться, соединяться со слюной и превращаться в камни, которые удалить щеткой уже не получится.

Если правильная гигиена ротовой полости отсутствует, это чревато следующими проблемами:
- Кариес — налет забивает поры эмали, что приводит к воспалительному процессу, который со временем может перейти на корень зуба и десны.
- Пародонтит — зубной налет разрушает опору зуба, при этом образуется десневой карман, где скапливаются пищевые остатки. Если процесс будет прогрессировать, в кармане образуется нагноение, зуб расшатывается, смещается и может выпасть.
- Пародонтоз — воспаление может нарушать кровоснабжение десен, это приводит к дистрофическим процессам, в результате чего шейка зуба оголяется.
- Заболевание органов желудочно-кишечного тракта — заболевания ротовой полости и отсутствие зубов в зубном ряду влекут за собой некачественное пережевывание пищи. Когда недостаточно обработанная зубами пища попадает в желудок, ему сложно ее переварить. При переваривании пищи выделяется соляная кислота, и если для этого процесса ее выделяется слишком большое количество, она негативно влияет на стенки желудка, провоцируя гастриты, язвы, онкологию.
- Хронические заболевания — если не чистить зубы, налет, который представляет собой скопление бактерий, может перемещаться в область носовых пазух, в гланды и дальше. То есть мигрирующая инфекция может поражать любой орган.
Какие ошибки при использовании зубной пасты могут нанести вред
Основная причина кариеса — бактерии , которые могут проживать в полости рта. У некоторых людей бактерии могут годами жить в полости рта, не провоцируя никаких изменений, у других — нет. В любом случае, чтобы спровоцировать кариес, нужны и дополнительные, предрасполагающие факторы — скопление бактерий и формирование налета из них.
Зубной налет — это не что иное, как скопление остатков пищи и бактерий, которые могут минерализоваться и превращаться в зубной камень. Как утверждают специалисты, бактерии могут скапливаться в излюбленных местах: естественные углубления эмали (фиссуры), контактные поверхности зубов, преддесневое пространство. В этих местах чаще всего формируется кариес.
Своевременное удаление бактерий, зубного налета позволит значительно снизить риски развития кариеса, его осложнений и воспаления десен. А достигнуть такого эффекта удается при помощи правильно подобранной зубной щетки.
Как показывает практика, многие пациенты предпочитают пользоваться мягкими зубными щетками, особенно когда проявляются первые признаки воспаления десен — кровоточивость. Это и есть самая распространенная ошибка. Удаление зубного налета — основа лечения воспаления десен и кариеса, и достигнуть этого можно, только используя щетку средней жесткости.
Использование мягкой и жесткой зубной щетки имеет свои строгие показания, расширять и нарушать которые нельзя, иначе это приведет к серьезным и порой необратимым последствиям.
Нужно ли использовать дополнительные средства, такие как ополаскиватель или зубная нить
При установке брекетов в местах соприкосновения системы с зубами возникает множество труднодоступных участков. К межзубным промежуткам также становится труднее добраться. Если не проводить качественную чистку, то со временем в полости рта образуются зубные отложения, которые разрушают эмаль, поэтому привычная чистка зубов не подойдет.
Какая же должна быть гигиена ротовой полости, чтобы не было неприятных осложнений?
- Чистить ротовую полость с установленными брекетами следует после каждого приема пищи, но не менее 3-х раз в день, при помощи щетки и фторсодержащей пасты.
- После этого рекомендуется пользоваться специальным ершиком и зубной нитью, а в довершении всего — ополоснуть рот ополаскивателем, чтобы уж точно не оставить шанса микробам.
Конечно, данные манипуляции занимают больше времени, чем привычная нам чистка полости рта, но не стоит переживать, обычно люди приспосабливаются за несколько дней, а потом такой уход входит у них в привычку. Для того, чтобы приноровиться было легче, рассмотрим более подробно, как именно нужно проводить гигиену полости рта, при ношении брекетов. Если после прочтения статьи останутся сложности, можно посмотреть
Мнение врачей:
При использовании зубной нити с брекетами важно следовать определенным правилам, чтобы обеспечить эффективную чистку зубов и предотвратить раздражение десен. Врачи рекомендуют выбирать специальные нити для брекетов, которые обладают достаточной прочностью и гибкостью. Для правильного использования необходимо аккуратно проводить нить между зубами, избегая травмирования десен и повреждения брекетов. После чистки зубов зубной нитью следует использовать дополнительные средства гигиены, такие как щетка для чистки брекетов и ополаскиватель для полости рта. Соблюдение рекомендаций специалистов поможет поддерживать здоровье полости рта и обеспечить эффективное лечение зубов при наличии брекет-системы.
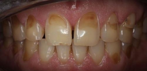
Какие ошибки при чистке зубов могут привести к эрозии зубного эмали
Эрозия твёрдых тканей зуба — это прогрессирующий дефект, при котором разрушаются эмаль и дентин. Диагностируется преимущественно у пациентов среднего и пожилого возраста. Обычно встречается на верхних резцах и клыках, имеет симметричный характер. Нижние резцы и края зубов поражаются крайне редко.
Разрушение эмали и дентина
На раннем этапе эрозия имеет вид округлого дефекта с гладким дном на выступающей части передней поверхности резцов. Со временем эмаль полностью стирается, обнажается дентин, который затем тоже убывает. На начальной стадии дефект эмали может иметь размер всего несколько миллиметров, но при отсутствии своевременной стоматологической помощи поражается вся поверхность зуба. Если зона поражения находится в пределах эмали, цвет резцов не меняется. При обнажении дентина появляются жёлтые пятна.
В отличие от кариеса , эрозивные дефекты не связаны с размножением в ротовой полости патогенной микрофлоры.
Причины эрозии зубов. Деминерализация эмали, которая приводит к возникновению эрозий, может быть вызвана разными причинами:
1. Химическая теория. Чаще всего эрозии вызваны воздействием различных кислот:
- Кислот, содержащихся в продуктах. У многих пациентов разрушение резцов связано с пищевыми привычками, а именно употреблением продуктов, содержащих кислоты. К ним относятся цитрусовые, кислые фрукты, кетчупы, уксус, майонез, горчица, соленья, газированные сладкие напитки, кисломолочные продукты, сухие вина. Если регулярно употреблять их, страдает эмаль зубов.
- Кислот на химических производствах. Люди, постоянно контактирующие с кислотами, тоже подвержены эрозии зубов.
- Кислоты́ желудочного сока. При гастроэзофагеальном рефлюксе происходит заброс содержимого желудка в ротовую полость, что тоже негативно влияет на эмаль. Если этот процесс происходит постоянно, развивается эрозия. .
Влияет ли диета на здоровье зубов, и как этого избежать

Не все родители понимают, как важно с 6–8-месячного возраста, когда формируются первые молочные зубы, заботиться о будущем стоматологическом здоровье ребенка: сначала самостоятельно проводить гигиенические мероприятия, потом учить этому малыша, каждые полгода бывать у детского стоматолога, а при первых симптомах кариеса и других заболеваний зубов и десен не медлить с внеплановым визитом к врачу. Невылеченный вовремя кариес молочных зубов приводит к образованию хронических инфекционных очагов на постоянных зубах, разрушению дентина и заражению пульпы, а также к общему снижению иммунитета.
Итак, как ухаживать за зубами детям:
- сначала стоит разобраться, как ухаживать за зубами грудничка, то есть малыша в возрасте до 1 года. При появлении первых молочных зубов родители должны ежедневно, раз в день, чистить зубы ребенку детской силиконовой щеткой или специальным напальчником-щеткой. Можно очищать зубы теплой водой, либо по совету стоматолога выбрать пасту или салфетки для чистки;
- в 2–3 года ребенка нужно научить самостоятельно чистить зубы, однако придется контролировать процесс и «дочищать» зубы, так как малышам в этом возрасте еще не хватает достаточной силы нажима;
- следить за правильностью выполнения правил гигиены нужно примерно до 12 лет – к этому времени у детей формируются стабильная привычка и понимание, насколько полезна регулярная чистка.
Как определить, что ваш уход за зубами правильный
Если к школьному возрасту ребенок так и не научился правильно чистить зубы, то обязательно нужно привести его к стоматологу. Возьмите с собой домашнюю зубную щетку, и гигиенист продемонстрирует приемы чистки на модели, потом перед зеркалом - на самом ребенке.- Сейчас существую такие специальные средства – индикаторы налета, окрашивающие непрочищенные участки в яркий цвет. Многих деток это очень стимулирует. Особенно это впечатляет девочек, когда зубки окрашиваются в фиолетовый цвет. Такие индикаторы можно купить в аптеке и время от времени использовать дома самостоятельно.Стоматолог может порекомендовать ребенку и профессиональную чистку зубов. Если вы сами прошли через такую процедуру, то у вас, возможно, остались не самые приятные воспоминания.- У детей нет таких проблем, как у взрослых – зубных камней, твердого налета. Поэтому обычно стоматолог проводит чистку циркулярной щеткой со специальной детской пастой – это совершенно безболезненная и даже приятная процедура. Затем желательно провести фторирование.Такую чистку можно делать с трех лет, если ребенок не испытывает страха перед стоматологом. Школьникам со здоровыми зубами рекомендуется делать профессиональную чистку раз в полгода, если есть проблемы – вдвое чаще.
тонкий нюанс - щетка
врачи клиники «блеск» советуют использовать электрические щетки не раньше, чем прорезались постоянные зубы, хотя некоторые специалисты рекомендуют их уже с 3-4 лет. электрические щетки чаще всего интересного дизайна, яркие, жужжат, и это тоже стимулирует деток чистить зубы. в любом случае, обязательно предварительно посоветуйтесь с врачом, ведь важно подобрать щетку по возрасту. очень важно чередовать обычную и электрическую щетки, чтобы у ребенка развивались навыки ручной чистки зубов.недавно в стоматологическом арсенале появились ультразвуковые щетки. помимо механической очистки, они гарантируют антибактериальный эффект. рекомендуются с 7-8 лет.не забывайте промыть зубную щетку мылом и поставить в стаканчик головкой вверх, ничем не закрывая. менять щетку необходимо не реже, чем раз в три месяца.кстати, чистить зубы нужно с того самого момента, как прорежется самый первый зубик. хотя существуют зубные пасты «0+», все же лучше использовать их с полутора лет, когда ребенок уже может осознанно участвовать в процессе. младенцу же нужно протирать зубик специальной салфеткой (продаются в аптеках) или хотя бы простым бинтом, намотанным на мамин палец.Какие ошибки в уходе за детьми могут повлиять на их зубное здоровье
- Профилактический осмотр в клинике Экстра Дент может помочь выявить проблемы до того, как они станут серьезными . В ходе осмотра стоматолог может обнаружить начальные признаки кариеса, заболеваний десен и других проблем, которые могут привести к более серьезным последствиям, если не будут обнаружены и вылечены вовремя.
- Раннее обнаружение проблем позволяет лечить их более эффективно и экономить деньги . Если проблема будет обнаружена на ранней стадии, то лечение может быть более легким и экономичным, чем если проблема будет обнаружена на поздней стадии. Раннее лечение также позволяет избежать более сложных процедур, которые могут потребоваться, если проблема останется незамеченной.
- Регулярные профилактические осмотры помогают сохранить здоровые зубы и предотвратить развитие болезней полости рта . Профессиональная чистка зубов и удаление зубного налета помогает убрать бактерии, которые могут привести к кариесу и другим проблемам полости рта.
- Стоматолог может дать советы по правильному уходу за зубами , такие как правильное чистка зубов, использование зубной нити, использование ополаскивателей для полости рта и другие средства для поддержания здоровья зубов, чтобы предотвратить развитие проблем в будущем.
- Своевременные посещения стоматолога помогают сохранить здоровую и красивую улыбку. Профессиональная чистка зубов и удаление зубного налета помогает сохранить зубы белоснежными и предотвратить развитие зубного камня, который может привести к пожелтению зубов и другим проблемам внешнего вида.