Почему зубы темнеют с возрастом: причины и решения
- Почему зубы темнеют с возрастом: причины и решения
- Связанные вопросы и ответы
- Почему зубы темнеют с возрастом
- Как возраст влияет на цвет зубов
- Может ли генетика влиять на темнение зубов
- Как кофе и чай влияют на цвет зубов
- Влияет ли курение на темнение зубов
- Может ли недостаточная гигиена полости рта способствовать темнению зубов
- Как часто нужно чистить зубы, чтобы предотвратить их темнение
- Влияют ли стоматологические процедуры на изменение цвета зубов
Почему зубы темнеют с возрастом: причины и решения
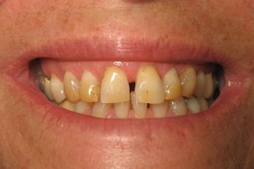
Зубы могут измениться в цвете, потемнеть или местами могут появиться темные или белые пятна . Эти изменения происходят по ряду причин, некоторые из которых сложно спрогнозировать или устранить — например, естественное старение, травма или болезнь. На другие причины можно повлиять — например, курение и плохая гигиена полости рта .
Виды изменения цвета зубов
Существует два основных вида изменения цвета зубов:
Внешнее: под воздействием определенных факторов окружающей среды, таких как некоторые продукты питания и напитки, происходит изменение цвета поверхности зуба (эмали) . Это происходит, например, когда пигментированные частицы различных веществ, накапливаются в белковой пленке, покрывающей зубную эмаль.
Внутреннее: этот тип изменения цвета начинается внутри зуба и влияет на дентин. Дентин — это твердая ткань зуба, составляющая его основную часть и находится под эмалью.
Возрастные пятна на зубах. Возрастные пятна на зубах сочетают в себе результаты как внутреннего, так и внешнего изменения цвета зубов. Поскольку основная ткань зубов, дентин, со временем естественным образом желтеет, а эмаль, покрывающая зуб, становится тоньше, и начинает просвечивать дентин. Эти внутренние причины изменения цвета в сочетании с внешними причинами, приводят к изменению цвета зубов у большинства людей с возрастом.
Причины потемнения или изменения цвета зубов
Ниже описаны распространенные причины изменения цвета зубов. Давайте разделим их на две группы: которые можно предотвратить и которые не зависят от нас.
Причины, которых можно избежать:
Курение и другие виды употребления табака
Никотин содержит красители коричневого цвета. Он постепенно впитывается в структуру зуба, что приводит к изменению цвета зубов. Исследования показывают, что изменение цвета зубов чаще встречается у курящих людей, чем у некурящих.
Еда/напитки
Кофе, чай, цветные газированные напитки, вино, соусы и некоторые фрукты, ягоды и овощи могут окрасить зубы и привести к потемнению зубов.
Плохая гигиена полости рта
Если вы не удаляете зубной налет с помощью регулярной чистки зубов щеткой и нитью, у вас больше шансов, что зубы изменять свой естественный цвет в худшую сторону. Хотя налет обычно практически невидим на поверхности зубов, он может окрашиваться хромогенными бактериями, такими как виды Actinomyces.
Связанные вопросы и ответы:
Вопрос 1: Почему зубы темнеют с возрастом
Теeth темнеют с возрастом по нескольким причинам. Во-первых, эмаль зубов постепенно истончается, что обнажает более темный слой дентина под ней. Во-вторых, дентин сам по себе может темнеть из-за естественных процессов старения. Наконец, на поверхности зубов могут накапливаться пятна от пищи, напитков и табака, что также способствует их потемнению. Эти изменения могут быть более заметными у людей, которые не соблюдают правильную гигиену полости рта. Стоит отметить, что потемнение зубов может быть как естественным процессом, так и результатом внешних факторов.
Вопрос 2: Какие факторы образа жизни способствуют потемнению зубов
Факторы образа жизни играют значительную роль в потемнении зубов. Употребление кофе, чая, красного вина и других окрашивающих напитков может оставлять пятна на эмали. Курение и жевание табака также приводят к потемнению зубов. Кроме того, недостаточная гигиена полости рта, такая как редкая чистка зубов и отсутствие использования нитки, может способствовать накоплению налета и камня, которые темнеют со временем. Диета, богатая сахаром и кислотными продуктами, также может повредить эмаль и сделать зубы более склонными к потемнению.
Вопрос 3: Какие структурные изменения в зубах приводят к их потемнению
Структурные изменения в зубах, такие как истончение эмали и обнажение дентина, являются основными причинами потемнения. Эмаль зубов постепенно изнашивается из-за естественного износа, например, при жевании пищи или из-за старения. Дентин, который находится под эмалью, имеет более темный цвет и может становиться еще темнее из-за естественных процессов. Кроме того, каналы дентина могут забиваться минералами, что также способствует потемнению. Эти изменения могут быть усугублены травмами или заболеваниями зубов.
Вопрос 4: Как гигиена полости рта влияет на потемнение зубов
Гигиена полости рта играет ключевую роль в предотвращении потемнения зубов. Регулярная чистка зубов с использованием зубной пасты и нитки помогает удалять налет и предотвращать образование зубного камня, который может темнеть со временем. Однако, если гигиена не соблюдается, налет и камень накапливаются, что приводит к потемнению зубов. Кроме того, отсутствие регулярных стоматологических осмотров может привести к развитию кариеса и других заболеваний, которые также могут способствовать потемнению. Поэтому важно соблюдать правильную гигиену и регулярно посещать стоматолога.
Вопрос 5: Как медицинские препараты влияют на цвет зубов
Некоторые медицинские препараты могут вызывать потемнение зубов. Например, антибиотики, такие как тетрациклины, могут проникать в дентин и вызывать его окрашивание. Это особенно заметно у детей, чьи зубы еще развиваются. Кроме того, некоторые препараты, используемые для лечения гипертонии или аллергии, могут вызывать потемнение зубов. Также препараты, содержащие железо, могут оставлять темные пятна на эмали. Если вы заметили потемнение зубов после приема каких-либо препаратов, важно проконсультироваться с врачом или стоматологом.
Вопрос 6: Как предотвратить потемнение зубов
Предотвращение потемнения зубов требует комплексного подхода. Во-первых, важно соблюдать правильную гигиену полости рта: чистить зубы дважды в день и использовать нитку. Во-вторых, следует ограничить потребление окрашивающих напитков и продуктов, таких как кофе, чай и красное вино. Третье, важно отказаться от курения и табака, так как они сильно способствуют потемнению. Четвертое, регулярные стоматологические осмотры помогут выявить и устранить проблемы на ранней стадии. Наконец, можно использовать зубные пасты с отбеливающим эффектом или обратиться к стоматологу за профессиональным осветлением.
Вопрос 7: Как возраст влияет на цвет зубов
С возрастом зубы естественным образом темнеют из-за комбинации факторов. Эмаль становится тоньше, что обнажает более темный дентин. Кроме того, дентин сам по себе может темнеть из-за естественных процессов. Старение также может привести к уменьшению кровотока в деснах, что может сделать зубы менее блестящими. Кроме того, с возрастом могут накапливаться пятна от пищи и напитков, что усугубляет потемнение. Таким образом, возраст является одним из основных факторов, влияющих на цвет зубов.
Вопрос 8: Какие современные методы осветления зубов существуют
Современные методы осветления зубов включают различные варианты, подходящие для разных потребностей и бюджетов. Профессиональное осветление в стоматологическом кабинете является одним из самых эффективных методов. Оно предполагает применение специальных гелей и УФ-света для удаления пятен и осветления зубов. Также существуют домашние наборы для осветления, которые включают отбеливающие полоски или капы. Кроме того, стоматологи могут предлагать керамические виниры или люминиры, которые закрывают темные зубы и создают более белую улыбку. Каждый метод имеет свои преимущества и недостатки, и выбор зависит от степени потемнения и состояния зубов.
Почему зубы темнеют с возрастом
Пигментация зубов, или дисколорит эмали — это патологическое изменение естественного цвета зубной эмали, при котором зубы могут приобретать жёлтый, розовый, коричневый или чёрный оттенок. Очень часто пигментация эмали сопровождается её деминерализацией, что повышает чувствительность зубов. Пигментация зубов не связана с кариесом .
Пигментация постоянных зубов
Данное заболевание ещё недостаточно изучено, поэтому врачу достаточно сложно выбрать правильный способ лечения и профилактики.
Обычно пигментацию зубов связывают с неправильным питанием, вредными привычками и травмами. Но на самом деле причин гораздо больше. Врачи делят их на внешние и внутренние.
К внешним причинам пигментации зубов относятся:
- Курение, а точнее никотиновая смола, которая содержится в табаке. Она проникает вглубь эмали, из-за чего поверхность зуба становится тёмного цвета.
- Мягкий налёт и зубной камень . Они являются очагами инфекции. Зубной камень видно невооружённым глазом. Он находится над десной, чаще всего с обратной стороны языка. Имеет рыхловатую консистенцию и желтоватый цвет.
- Употребление продуктов, в составе которых есть сильный пигмент, способный окрасить зуб, например, пигменты, которые содержатся в кофе, чёрном чае и красном вине. Причём частота употребления "красящих" продуктов напрямую влияет на скорость и степень пигментации зубов: чем чаще человек пьёт крепкий кофе, тем темнее будут его зубы.
Зубы, пожелтевшие от частого употребления кофе
К внутренним причинам относятся:
- Избыток или недостаток фтора в организме. Если в воде определённой местности содержится аномальная концентрация фтора (выше или ниже 1-1,5 мг/литр), то при употреблении такой жидкости зубы могут приобрести белые или тёмные вкрапления.
- Внутренние системные заболевания, например, порфирия (наследственное нарушение пигментного обмена), муковисцидоз (наследственное нарушение работы слизистых оболочек) и др.
- Длительное применение некоторых лекарств, в том числе антибиотиков. Зубы пациентов, принимающих лекарства, могу приобрести желтоватый или сероватый оттенок. Например, у детей дошкольного возраста приём тетрациклина вызывает такую же пигментацию зубов, как и муковисцидоз.
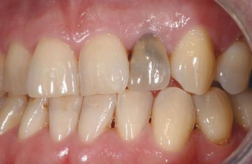
- Лечение зубов. Если при пломбировке зуба использовалась амальгама (материал из сплава металла и ртути), то пломба со временем может приобрести коричневый оттенок, а при использовании резорцин-формалиновой пасты в корневых каналах — розовый. Причём тёмный цвет после пломбировки каналов может приобрести не только сам зуб, но и десна вокруг него.
- Возрастные изменения. Эта причина связана с потемнением дентина (твёрдой основной части зуба) и утраченного слоя эмали.
- Нездоровый рацион. Чем ниже качество потребляемых продуктов, тем хуже состояние здоровья человека, в том числе и состояние его зубов. Поэтому питание должно быть полноценным и здоровым, включающим в себя витамины, минералы, белки и углеводы.
- Наследственность. У некоторых людей генетически заложен тёмный цвет зубов.
Потемнение зуба после лечения
Пигментация, вызванная внешними причинами, обычно легко устраняется. Достаточно пользоваться отбеливающей зубной пастой или обратиться за помощью к стоматологу: в его арсенале есть разнообразные методики по отбеливанию зубов. Если же причиной окрашивания эмали стали внутренние факторы, то пигментация проникает глубоко в зуб, из-за чего от неё не так просто избавиться.
Дисколорит выявляют у 85 % людей молодого возраста, причём у мужчин он встречается чаще (60 % случаев), чем у женщин (40 % случаев). Чаще всего пигментация развивается у детей. Сегодня в целом очень сложно найти ребёнка без проблем с зубами.
Причинами детской пигментации зубов могут быть:
- нарушение детского рациона, чрезмерное употребление сладкого;
- низкая усвояемость кальция;
- зубной налёт, возникший из-за неправильной гигиены полости рта;
- ранний кариес (может появиться уже на самых первых, молочных зубах);
- наследственность;
- нарушение работы слюнных желёз;
- дисбактериоз ;
- нарушение работы обменных процессов и метаболизма флоры;
- использование столовых приборов, которыми пользуются взрослые (например, через ложку от мамы к ребёнку могут передаться бактерии);
- приём некоторых лекарств, содержащих железо;
- механические, термические или химические травмы (например, трещина зуба).
Как возраст влияет на цвет зубов

Цвет зубной эмали – это одна из главных характеристик нашей улыбки. Он может быть белоснежным, желтоватым, сероватым или даже коричневым.
- Кофе, чай, красное вино и газированные напитки содержат красящие пигменты, которые могут проникать в поры эмали и оставлять на ней пятна. Курение также оказывает негативное воздействие на цвет зубов, так как никотин и смолы оседают на поверхности эмали, делая ее темнее.
- Возраст тоже может влиять на цвет зубной эмали. С годами эмаль становится тоньше, и под ней начинает проглядывать слой дентина – желтоватая ткань, которая находится под эмалью. Это придает зубам более тусклый оттенок.
- Генетика также играет роль в определении цвета зубной эмали. У некоторых людей эмаль может быть более прозрачной, что делает зубы более желтыми или сероватыми. Это связано с особенностями структуры эмали и наличием определенных пигментов.
Однако, помимо внешних факторов, цвет зубной эмали может меняться и из-за внутренних проблем со здоровьем. Например, при приеме антибиотиков в детстве, когда зубы только формируются, может происходить изменение цвета эмали. Также некоторые заболевания или травмы могут повлиять на окраску зубов.
Самых популярный способ улучшить цвет зубной эмали – это процедура отбеливания. Она позволяет удалить пятна и осветлить зубы на несколько оттенков. Однако, стоит помнить, что отбеливание имеет свои ограничения и может быть противопоказано в некоторых случаях.
Чтобы сохранить зубы белоснежными, необходимо следить за гигиеной полости рта. Регулярное чистка зубов, использование зубной нити и ополаскивателей помогут убрать налет и предотвратить образование пятен. Также рекомендуется ограничить потребление красящих продуктов и периодически посещать стоматолога для профессиональной чистки.
Может ли генетика влиять на темнение зубов
Если два человека имеют одинаковый образ жизни в плане питания и гигиены, вероятно, состояние их зубов будет различаться. Стоматологи признают, что наследственный фактор играет важную роль в здоровье зубов, несмотря на решающее влияние образа жизни.
Гены, передаваемые от родителей, определяют состав, толщину и цвет эмали, форму отдельных зубов, прикус и сроки прорезывания зубов. Они также влияют на состав слюны и микрофлору полости рта. Все эти факторы непосредственно влияют на вероятность развития заболеваний зубов и десен.
Что делать, если у вас плохая наследственность зубов?
Несмотря на то, что проблемы с зубами по наследству не являются приговором, регулярные посещения стоматолога и тщательное соблюдение гигиены помогут смягчить негативное влияние наследственности.
Качество эмали и наследственность
Эмаль зубов имеет низкое содержание белка и высокую концентрацию минералов, что является ее зрелым состоянием. Во время формирования специальные клетки выделяют белки, способствующие созреванию эмали. Этот процесс приводит к увеличению минерального состава, который обеспечивает прочность зубов. Однако, иногда что-то идет не так. Исследователи даже обнаружили гены, специфичные для эмали, такие как AMELX, ENAM, MMP20 и KLK4.
Известно, что генетические мутации могут вызывать нарушения в работе ключевых белков эмали. В результате зубы могут стать желтыми, коричневыми или серыми, они легко ломаются и подвержены кариесу. Ученые подсчитали, что примерно 30% людей имеют гипоплазию — частичное или полное отсутствие эмали.
Состав слюны и генетика
Слюна помогает бороться с кариесом, снижает кислотность во рту и восстанавливает минеральный баланс эмали. Кроме того, состав слюны влияет на микрофлору ротовой полости. Высокая концентрация иммуноглобулинов класса А и олигосахаридов в слюне позволяет снизить бактериальный налет на зубах. Генетика также определяет состав слюны, и важными белками в процессе ее формирования являются аквапорины. Например, недостаток гена aqp5 (аквапорина 5) приводит к снижению выделения слюны.
Прикус и внешний вид зубов
Расположение зубов, их внешний вид, количество, размер и форма челюсти, а также другие важные элементы для прикуса, определяются еще во время беременности. Некоторые внешние факторы, такие как плохая экология, могут оказывать влияние на них, но гены, передаваемые от родителей, также имеют большое значение.
Например, у людей с глубокими фиссурами на жевательной поверхности зубов повышен риск развития кариеса. Если такие зубы унаследованы от родителей, необходимо уделять особое внимание гигиене.
Также общая структура лица является наследственной особенностью, которая влияет на прикус. Ученые выделили группу важных генов, включая гены семейства hedgehog (Hh).
Гены и иммунная защита зубов
Специалисты утверждают, что многие заболевания зубов и десен связаны с генами, участвующими в воспалительных процессах. Среди таких генов находятся NFX1 и REL, которые могут способствовать развитию кариеса зубов и повышать восприимчивость к бактериям в ротовой полости.
Пищевое поведение и гены
Вкусовые предпочтения могут влиять на пищевое поведение человека, а, как известно, это поведение отражается на состоянии зубов. Исследования показали, что некоторые гены, отвечающие за распознавание вкуса, связаны с кариесом. Особенно интересным является ген TAS2R38, который кодирует рецептор горького вкуса. Несколько научных исследований показали, что высокая активность этого гена может уменьшить число кариозных поражений.
Как кофе и чай влияют на цвет зубов

Натуральный цвет зуба во многом определяет дентин — основное вещество зуба, которое покрыто эмалью. Вопреки распространенному мнению, эмаль полупрозрачна и придает лишь оттенок. Изменение цвета зуба может происходить по многим причинам, причем вполне физиологическим (возраст) или же быть симптомом патологий: кариес, травма, наличие большого количества зубных отложений и др.
Сама эмаль довольно пористая и состоит из эмалевых призм. Как раз в этих порах могут скапливаться частички пигментов, и их накопление со временем и меняет цвет зубов.
Стоматологам известен механизм окрашивания зубов: в продуктах питания, напитках содержатся пигментированные молекулы, которые называют хромогенами. Они способны накапливаться на эмали, и процесс этот ускоряется под действием танинов или дубильных веществ.
Пациенты должны понимать, что на окрашивание эмали влияют не только содержащиеся в продуктах пигменты, но и их кислотность. Продукты и напитки, обладающие повышенной кислотностью, даже если они не содержат ярких пищевых красителей, делают эмаль восприимчивой к действию агрессивных факторов и накоплению пигментации. Особенно восприимчивыми к окрашиванию становятся зубы после отбеливающих процедур. Именно по этим причинам необходимо тщательно соблюдать рекомендации стоматолога по уходу за полостью рта и питанию.
Стоматолог на приеме может рекомендовать так называемую прозрачную диету — принципы питания, которые исключают из рациона продукты с содержанием агрессивных красителей. Все это будет способствовать сохранению цвета зубов, даже после отбеливания.
Влияет ли курение на темнение зубов
Зубные отложения подразделяют на минерализованные и неминерализованные:
1. Неминерализованные — это кутикула, пелликула, мягкий зубной налёт и зубная бляшка:
- Кутикула — это остатки оболочки, которая присутствовала на зубе в момент его прорезывания и исчезла после;
- Пелликула (приобретённая кутикула), с одной стороны, защищает эмаль от кислот, с другой — способствует прикреплению микроорганизмов к поверхности зуба;
- Мягкий зубной налёт — клейкие наслоения микроорганизмов, продуктов их жизнедеятельности, слюны, остатков еды и разрушенных клеток.
- Зубная бляшка — плотное образование из микробов и продуктов их жизнедеятельности, способное создать кислую среду и разрушить эмаль.
Неминерализованные отложения
2. Минерализованные отложения — это наддесневой и поддесневой зубной камень (затвердевший налёт):
- Наддесневой зубной камень располагается на поверхности зубов наддесневого края. Чем светлее зубной камень, тем он плотнее и быстрее образуется. Зубной камень является отвердевшей зубной бляшкой. Расположен в основном в области открытия протоков больших слюнных желёз: на язычной поверхности нижних фронтальных зубов, в подъязычной области расположения протоков подъязычных и поднижнечелюстной слюнных желёз, на щёчной поверхности верхних моляров.
- Поддесневой камень расположен на поверхности корня зуба ниже уровня десны. Этот вид камня встречается у пациентов с различными заболеваниями пародонта ( тканей, окружающих и удерживающих зуб ).
Виды зубного камня
Зубной налёт различают по цвету:
- Липкая плёнка желтовато-белого оттенка — естественные отложения на поверхности зуба, которые появляются во время сна, после приёма пищи. При отсутствии гигиены полости рта возникает затхлый или гнилостный запах изо рта и кислый привкус. Приводит к появлению зубных камней, которые сможет убрать только стоматолог при помощи специальных инструментов.
- Пигментированный зубной налёт образуется при употреблении красящих продуктов: кофе, крепкого чая. Налёт у курильщиков окрашен в коричневый цвет, это вызвано отложением табачных смол и никотина.
- .
Может ли недостаточная гигиена полости рта способствовать темнению зубов
Ухаживать за полостью рта необходимо не более 2 раз в день. Не стоит чистить зубы чаще, потому что чрезмерный процесс чистки истирает эмаль. Она становится тоньше, а зубы теряют свою чувствительную устойчивость к перепадам температур. После приема пищи рекомендуется использовать специальные бальзамы для ополаскивания рта или полоскать рот простой водой, сплевывая. А в идеале, применяйте и зубную нить. Еще можно воспользоваться жевательной резинкой без сахара, до двух применений в день и не более пяти минут. Жвачкой, как методом очистки рта, пользуйтесь реже, так как во время жевательного процесса происходит выделение слюны, предназначенной для обработки поступающей пищи. Во время частого использования жвачки выделение слюны становится не контролируемым.
Утром просто ополаскивайте ротовую полость водой или бальзамом. Чистите зубы после завтрака, чтобы максимально ограничить себя от скопления зубного налета и избавиться от остатков пищи между зубами и на языке. Вы не только получите красивую улыбку и свежее дыхание, но и обезопасите себя от скопления микробов. К тому же, наш желудок питается тем, что попадает к нему через рот. В том числе и микробами, которые спускаются в желудок. Таким образом, избавляясь от микробов, вы одновременно забоитесь о зубах и о своем организме в целом.
Вечером, то есть чистить зубы перед сном. Так вы избавляетесь от скоплений вредных микроорганизмов. Ночью, когда вы засыпаете, естественное очищения рта — это выделение слюны, приостанавливается, и микробы продолжают свою жизнедеятельность. Результатом этому вы можете ощутить неприятный привкус и запах изо рта. Поэтому, не игнорируйте вечерний уход за зубами.

Как часто нужно чистить зубы, чтобы предотвратить их темнение
- Генетические факторы. Некоторые люди обладают природно более белой эмалью зубов, в то время как у других эмаль может иметь желтоватый или сероватый оттенок. Генетические особенности также могут влиять на толщину эмали, что делает зубы более подверженными изменениям цвета.
- Травмы. Повреждения, возникшие вследствие падений, автомобильных аварий или спортивных травм, могут привести к изменению цвета зубов из-за повреждения тканей.
- Старение. С возрастом эмаль становится тоньше, из-за чего дентин под ней, имеющий желтоватый оттенок, становится виден. Это придает зубам более темный вид.
- Стоматологические процедуры. Использование определенных материалов в стоматологии — например, серебряной амальгамы, может привести к изменению цвета зубов на серый. Кроме того, иногда у пациентов после терапии корневых каналов может измениться цвет зубов. Однако это может произойти лишь после использования несовременных методов лечения. В клинике Iceberg используются передовые технологии, поэтому терапия любых заболеваний не провоцирует изменения цвета зубов.
- Болезни. Различные заболевания печени, целиакия могут влиять на эмаль и дентин, что приводит к изменению цвета зубов. Дефицит кальция и метаболические заболевания также могут быть причиной таких изменений.
- Лекарства. Некоторые лекарства, включая антигистаминные препараты и антидепрессанты, могут спровоцировать изменения цвета зубов. Дети, принимавшие тетрациклин, также могут столкнуться с этой проблемой.
- Лечение рака. Химиотерапия и лучевая терапия головы могут вызвать изменение цвета зубов.
- Отбеливание. Неправильное или чрезмерное отбеливание зубов может привести к пятнам и изменению их цвета, если не соблюдаются инструкции или процедура проводится слишком часто.
Влияют ли стоматологические процедуры на изменение цвета зубов
Развитие стоматологии привело к появлению множественных способов возвращения улыбке внешней эстетики и белизны. Такое разнообразие позволяет подобрать для каждого пациента подходящую методику с учетом ее показаний, ожидаемого эффекта и финансовых возможностей.Большинство отбеливающих манипуляций обеспечивает осветление на 2–3 тона уже после первой процедуры, не принося вреда зубам. Но для быстрого осветления применяются агрессивные препараты, которые истончают эмаль, делая ее более чувствительной. Именно поэтому рекомендуется ответственно подойти к выбору методики.Осветляющие процедуры можно подразделить наи. Профессиональные услуги выполняются, а домашние – собственными силами, но под контролем специалиста.Отбеливание позволяет осветлить даже зубы с естественным желтоватым оттенком. Также осветляющие процедуры применяются при следующих показаниях:
- частое употребление крепкого кофе, чая, красного вина;
- курение;
- прием некоторых видов медицинских препаратов;
- некариозное поражение;
- плохой уход за полостью рта;
- неравномерное изменение оттенка эмали.