Основные принципы профессиональной гигиены полости рта в стоматологии
- Основные принципы профессиональной гигиены полости рта в стоматологии
- Связанные вопросы и ответы
- Что такое профессиональная гигиена полости рта
- Какие заболевания полости рта можно предотвратить с помощью профессиональной гигиены
- Какие методы и технологии используются в профессиональной гигиене полости рта
- Как часто нужно проводить процедуры профессиональной гигиены полости рта
- Какие инструменты используются для очистки зубов и десен
- Как влияет профессиональная гигиена полости рта на здоровье пациента
- Какие факторы могут влиять на эффективность процедур профессиональной гигиены полости рта
- Как можно улучшить результаты процедур профессиональной гигиены полости рта
- Какие препараты и средства используются для очистки зубов и десен
Основные принципы профессиональной гигиены полости рта в стоматологии
Многие из нас сталкивались с таким понятием в стоматологии, как профессиональная гигиена полости рта. При этом некоторые не понимают, зачем нужна эта стоматологическая услуга, если можно следить за зубами самостоятельно, используя качественную щетку и хорошую зубную пасту, дополнительно специальный ополаскиватель, а для большего эффекта — еще и зубную нить.
Однако далеко не все знают, что даже при регулярной и правильной чистке зубов дома нереально полностью ликвидировать бактериальный налет, который продолжает скапливаться и формировать благоприятную среду для размножения болезнетворных микроорганизмов. Следы жизнедеятельности плохих бактерий провоцируют возникновение кариозных поражений и воспалений в слизистых, деснах. Более того, мягкий налет изменяет цвет эмали, от чего снижается эстетичность улыбки.
Следовательно, профессиональная гигиена полости рта — прекрасная возможность не только полностью удалить весь налет, в том числе из участков, к которым не добраться обычным способом, но и получить мощную профилактику большинства стоматологических патологий.

Основная задача гигиены полости рта в клинике состоит в профессиональной чистке зубов и прочих частей от налета и камня. Если регулярно и вовремя избавляться от отложений, можно предупредить развитие гингивита, пародонтоза, пародонтита, кариозных поражений и прочих проблем.
Более того, индивидуальная и профессиональная гигиена полости рта помогает:
- дольше сохранить зубы здоровыми и крепкими;
- полностью ликвидировать болезнетворные бактерии, содержащиеся во рту в большом количестве;
- предупредить болезни пародонта, а также пищеварительного тракта.
Манипуляция способствует поддержанию зубной эмали в хорошем состоянии, потому что после такой чистки эмалевый слой осветляется, а улыбка обретает желанную эстетику.
Комплексная профессиональная гигиена полости рта рекомендована тем, кто питает пристрастие к курению, частому употреблению крепкого кофе и черного чая. Процедура будет также очень полезна людям со сниженной иммунной системой, потому что именно из-за нарушений ее работы во рту развиваются воспаления и возникает кариес.
5 причин потери зубов,
о которых не расскажут стоматологи
Мохова Виктория Александровна
Кандидат медицинских наук
Стоматолог-хирург
с 30-летним стажем
Здоровье зубов и полость рта имеет важное значение для общего здоровья человека. Некачественный уход за зубами и несвоевременное лечение может привести к появлению болезней полости рта, которые могут оказать отрицательное влияние на работу системы организма в целом.
Связанные вопросы и ответы:
Вопрос 1: Что такое профессиональная гигиена полости рта в стоматологии
Профессиональная гигиена полости рта в стоматологии — это комплекс мероприятий, направленных на предотвращение развития патологических процессов в полости рта и поддержание ее здоровья. Это включает в себя удаление зубного камня, удаление пятна на зубах, обработку десен и другие процедуры, которые помогают улучшить гигиену полости рта и сохранить здоровые зубы и десны.
Вопрос 2: Какие процедуры включаются в программу профессиональной гигиены полости рта
Программа профессиональной гигиены полости рта включает в себя следующие процедуры: удаление зубного камня, удаление пятна на зубах, обработку десен, удаление зубного налета, обработку слизистой оболочки полости рта, профилактику кариеса и другие процедуры, которые помогают улучшить гигиену полости рта и сохранить здоровые зубы и десны.
Вопрос 3: Как часто нужно проходить процедуры профессиональной гигиены полости рта
Частота прохождения процедур профессиональной гигиены полости рта зависит от индивидуальных особенностей пациента, его здоровья и гигиены полости рта. В среднем, стоматологи рекомендуют проходить процедуры профессиональной гигиены полости рта 1-2 раза в год.
Вопрос 4: Как влияет профессиональная гигиена полости рта на здоровье зубов и десны
Профессиональная гигиена полости рта помогает предотвратить развитие патологических процессов в полости рта, таких как кариес, пародонтит, гингвит и другие заболевания. Она также помогает сохранить здоровые зубы и десны, улучшить внешний вид и запах полости рта, а также улучшить общую гигиену полости рта.
Вопрос 5: Какие риски и осложнения могут возникнуть при проведении процедур профессиональной гигиены полости рта
Во время проведения процедур профессиональной гигиены полости рта возможны некоторые риски и осложнения, такие как покраснение и раздражение слизистой оболочки полости рта, небольшое кровотечение, боль и дискомфорт во время процедуры, а также возможные осложнения после процедуры, такие как аллергические реакции, инфекции и другие осложнения.
Вопрос 6: Как проводится процедура удаления зубного камня
Процедура удаления зубного камня проводится с помощью специальных инструментов, таких как зубные щётки, зубные щётки с наконечниками и зубные щётки с наконечниками с зубцами. В процессе процедуры зубные щётки используются для удаления зубного камня с поверхности зубов и десны, а также для обработки слизистой оболочки полости рта.
Вопрос 7: Как проводится процедура удаления пятна на зубах
Процедура удаления пятна на зубах проводится с помощью специальных зубных щёток и зубных щёток с наконечниками. В процессе процедуры зубные щётки используются для удаления пятна на поверхности зубов, а также для обработки слизистой оболочки полости рта. В некоторых случаях для удаления пятна на зубах могут использоваться специальные зубные пасты и зубные пасты с наконечниками.
Что такое профессиональная гигиена полости рта
Главная задача проведения гигиены полости рта - это удаление твердого и мягкого налета с поверхностей зубов, а также иных областей и участков рта.

Именно регулярное и своевременное удаление зубных отложений будет лучшей профилактикой кариеса и других стоматологических заболеваний. Кроме того, гигиена полости рта в стоматологии способствует:
- Формированию здоровых крепких зубов;
- Полному уничтожению вредных микроорганизмов, которые в большом количестве живут в ротовой полости человека;
- Профилактике болезней пародонта, органов ЖКТ.

Профессиональная гигиена полости зубов и полости рта помогает поддерживать эмаль зубов в отличном состоянии - после чистки зубы белеют, а улыбка смотрится привлекательно! Профессиональную гигиену полости рта особенно рекомендуется проводить людям с вредными привычками: курильщикам, пациентам, злоупотребляющим крепким чаем и кофе. Показана процедура и людям с плохим иммунитетом, ведь часто сбои в работе иммунной системы организма выражаются как раз в появлении кариеса, воспаления в ротовой полости .
Регулярное проведение гигиены зубов в стоматологии в конечном итоге позволит значительно сэкономить на расходах на стоматологическое лечение.
Которое неизбежно, если за зубами нет правильного ухода и они покрыты толстым слоем налета. Так что, профессиональная гигиена ротовой полости – это уж точно не напрасная трата времени и средств, наоборот - это ценное вложение в собственное здоровье!
Какие заболевания полости рта можно предотвратить с помощью профессиональной гигиены
В ходе первичного обследования следует уделить особое внимание сбору анамнеза, чтобы определить возможные противопоказания. При их выявлении гигиену полости рта переносят на более благоприятный период или применяют альтернативную методику чистки. Например, если у пациента установлен кардиостимулятор, то вместо ультразвукового аппарата для удаления зубных камней используют специальные ручные инструменты. Противопоказания к проведению воздушно-абразивной техники:- Аллергия на компоненты порошка.
- Эрозии, язвы, трещины на слизистой полости рта.
- Тяжелые болезни дыхательной системы, нарушенное носовое дыхание.
- Инфекционные заболевания — герпетические высыпания на губах, во рту, вирусный гепатит, ВИЧ.
- Беременность, бессолевая диета, возраст до 3 лет, гиперчувствительность эмали — гигиена возможна только с применением минимально абразивного глицина.
- у пациента имплантирован кардиостимулятор
- тяжелая форма сахарного диабета, эпилепсия
- инфекционные болезни в стадии обострения
- хирургическое лечение сетчатки глаз. Гигиену полости рта проводят только после консультации с офтальмологом
- гиперчувствительность зубов
- зубы с участками деминерализации
- остеомиелит, злокачественные новообразования челюсти
- дефекты слизистой полости рта — эрозии, язвы, трещины
- период молочного, сменного прикуса — вибрация может вызвать травму слабоминерализованных, формирующихся тканей
Какие методы и технологии используются в профессиональной гигиене полости рта
Профессиональную гигиену полости рта необходимо проводить тем пациентам, кто отмечает:
- следы образования тонкого слоя мягкого или твердого зубного налета;
- признаки воспалительного процесса на десневой ткани;
- симптомы кариеса и других патологий;
- образование зубного камня на труднодоступных участках зубного ряда;
- заметную пигментацию эмали.
Важное преимущество, которым отличается проф гигиена полости рта, — возможность не только очистить зубы, но и осветлить их на 1-2 тона. В большинстве случаев этого достаточно, чтобы придать своей улыбке привлекательный вид и блеск. Если же зубы пожелтели от частого курения и употребления крепкого кофе, вернуть эмали первоначальную белизну поможет только процедура профессионального отбеливания.
Провести гигиену полости рта необходимо перед сеансами имплантации, установки протезов или брекет-систем, виниров и люминиров, до начала проведения ортодонтического лечения. Обращение за услугой настоятельно рекомендуется при признаках пародонтита и пародонтоза, а также женщинам в период ожидания ребенка. Удаление болезнетворных бактерий снижает риск воспалений и осложнений после намеченных стоматологических манипуляций и уменьшает вероятность развития кариеса.
Несмотря на безопасность и высокую эффективность гигиены полости рта, в некоторых случаях процедуру приходится отложить или найти ей подходящую альтернативу. Так, пациентам не рекомендуется стоматологическая гигиена при:
- развитии стоматита;
- инфекционных заболеваниях;
- высокой температуре тела;
- прочих симптомах, исключающих интенсивное механическое и химическое воздействие на зубы.
Воспользоваться услугой профессиональной гигиены можно только после полного устранения признаков перечисленных патологий. Иначе процедура может принести существенный вред и ухудшить состояние ротовой полости.

Окончательное решение о проведении сеанса принимает врач после осмотра. Если профессиональная гигиена зубов и полости рта временно невозможна, он предложит комплекс мероприятий для лечения для устранения выявленных противопоказаний.
Как часто нужно проводить процедуры профессиональной гигиены полости рта
Профессиональная гигиена полости рта — комплексная процедура, которая включает несколько этапов.
- Осмотр и оценка состояния зубов и слизистой оболочки рта.
- Окрашивание поверхностей зубов индикаторами налёта.
- Снятие зубных отложений аппаратом Air-flow. Это швейцарская разработка, в основе которой чистка направленным потоком воды, воздуха и порошка-абразива. Тип порошка и давление, которое смесь оказывает на зубы, регулирует специалист. Мягкий порошок рекомендуется, когда у пациента есть заболевания дёсен, более абразивный — при большом количестве пигментированного и плотного налёта. После профессиональной чистки зубов Air-flow зубы выглядят на 1–2 тона светлее, эмаль становится гладкой. Метод подходит для очистки имплантов и брекет-систем.
- Ультразвуковая чистка. Выполняется с помощью ультразвукового скейлера, который излучает волны разной амплитуды и частоты. Благодаря этому происходит безболезненное удаление зубного камня. Пациент услышит только специфический, но не громкий звук от ультразвукового наконечника, когда его рабочая часть касается зубов. Если у человека чувствительные зубы, этот этап профессиональной гигиены проводится под местной анестезией.
- Полирование очищенных поверхностей. Завершающий этап процедуры, который позволяет устранить микронеровности: зуб становится идеально гладким, что в дальнейшем уменьшает риск образования зубного камня и закрепления налёта. Для процедуры используют специальные щёточки, напоминающие головки электрических домашних щёток, мягкие резиновые головки и полировочные пасты. Полировочные пасты содержат в составе фтор для реминерализации обработанных зубных тканей и слабые антисептики. Для межзубных промежутков используют полировочные полоски, штрипсы.
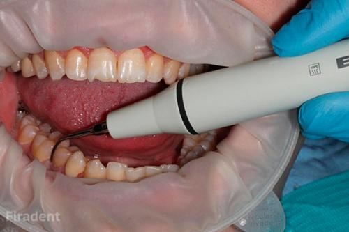
Какие инструменты используются для очистки зубов и десен
- Избавление от зубного налета и камня.
- Удаление пятен на эмали от кофе и сигарет.
- Устранение патогенной микрофлоры из полости рта.
- Эффективная чистка имплантов и других стоматологических конструкций.
- Пародонтальные и эндодонтические манипуляции (например, кюретаж пародонтальных карманов).
Ультразвуковой скалер используется не только для чистки, но и для отбеливания зубов . Кроме этого, в клиниках ультразвуковой скалер с водой используют перед проведением хирургических манипуляций. Доктор нередко назначает чистку перед имплантацией , синус-лифтингом и другими серьезными процедурами.
Особенности ультразвуковых скалеров в стоматологии:
- Имеют частоту вибраций от 28 до 32 kHz;
- Выходная мощность: от 3 до 20 Вт;
- Функционирует на высоких частотах для получения мягких вибраций, безопасных для зубов и десен;
- Обладает функцией автоматической компенсации амплитуды колебаний для снижения дискомфорта;
- Автоматический контроль частоты ультразвука и наличие нескольких видов насадок при работе с разными десневыми отложениями, в том числе специальные насадки для работы с деснами;
- Обязательная встроенная система подачи воды или другой антисептической жидкости;
- Подсветка для проведения точных манипуляций.
Как видно, УЗ скалеры в стоматологии позволяют контролировать частоту вибраций, выбирать необходимую мощность и наконечники, и в обязательном порядке имеют резервувары для параллельной подачи воды. УЗ чистку от камней проводят специально обученные стоматологи-гигиенисты, чтобы исключить случайные повреждения зубов и десен.
Как влияет профессиональная гигиена полости рта на здоровье пациента
Рис. 1. Твёрдый зубной налёт.
Зубной налёт бывает мягким и твёрдым. Кальцифицированный налёт называется ещё зубным камнем. Зубной камень и налёт могут располагаться над десной и под десной. Наддесневой зубной камень, как правило, более светлый, поддесневой – темнее.
Рис. 2. Зубной камень.
Мягкие зубные отложения можно самостоятельно устранить путём эффективной очистки обычной зубной щёткой. Вращающаяся электрическая щётка может частично убрать твёрдый наддесневой налёт. Полностью удалить его, а также зубной камень можно только в кресле стоматолога. Эта процедура называется профессиональной гигиеной полости рта.
Рис. 3. Мягкий зубной налёт.
Ранее чистка проводилась с использованием ручных экскаваторов и кюрет Грейси. С конца XX века этот метод стал постепенно уступать место ультразвуковой и воздушно-абразивной обработке (AirFlow). Воздушно-абразивной обработкой можно удалить только наддесневой налёт. Наддесневой зубной камень AirFlow устраняет с трудом – лучше использовать в этом случае ультразвук. Ультразвуком убираются любые виды зубных отложений, но наддесневой налёт удалять им не рекомендуется, поскольку это может привести к появлению трещин эмали. Таким образом, наилучшим вариантом гигиенической чистки является комбинация этих двух вариантов.
Рис. 4. Наконечник для воздушно-абразивной обработки Airflow (EMS, Швейцария).
Альтернативным вариантом профессиональной чистки зубов является система Вектор. Аппарат Vector Paro более щадяще действует на зубы, но при этом качество очищения ниже по сравнению с ультразвуком.
Рис. 5. Наконечник Vector Paro (Durr, Германия).
Польза
Вопреки распространённому убеждению доказательств полезности профессиональной гигиены в отношении предотвращения развития кариеса в настоящее время нет.
Зато профессиональная чистка является хорошей профилактикой пародонтита . Более того, при гингивите и лёгких формах пародонтита она может оказаться единственным методом лечения. Устраняя зубной камень, снимается воспаление маргинальной десны – таким образом состояние пародонта нормализуется, и других способов лечения не требуется.
Удаление наддесневого тёмного пигментированного налёта улучшает внешний вид. Иногда даже профессиональную гигиену путают с отбеливанием. При отбеливании изменяется структура тканей зуба химическим путём, при чистке только устраняет налёт, прилипший к поверхности (сам цвет зубов не меняется, но визуально они выглядят светлее, чем с тёмным налётом).
Вред
Воздушно-абразивная обработка представляет собой частицы порошка, под давлением вылетающие из стоматологического аппарата и выбивающие поверхностный слой зубных отложений. Долгое время основными чистящими средствами были сода (NaHCO3) и мел (CaCO3). Они и сейчас широко применяются при чистке, но в последнее десятилетие на смену им приходят глицин и эритритол - более щадящие по отношению к тканям зуба абразивы. Ведь кроме зубных отложений во время чистки снимается и наружная часть эмали (совсем незначительное, незаметное глазу количество). Опасения ежегодными чистками сточить себе полностью эмали не обоснованы, однако после применения AirFlow поверхность зуба становится неровной. Причём не только там, где был налёт, но и на соседних участках (куда попадает порошок соды). Это приводит к быстрому повторному прилипанию налёта. Для устранения этого недостатка рекомендуется полировка зубов щётками и пастами после чистки в кресле стоматолога. Однако, следует понимать, что вращающаяся щётка может добраться далеко не до всех мест зуба, где побывали мини-частицы порошка. Контактные поверхности в большинстве своём отполировываются плохо.
Какие факторы могут влиять на эффективность процедур профессиональной гигиены полости рта
Текст работы размещён без изображений и формул.Полная версия работы доступна во вкладке "Файлы работы" в формате PDF
Введение
Патогенные микроорганизмы, продукты их жизнедеятельности, остатки пищи и омертвевшие частицы эпителия- причина воспалительных заболеваний пародонта и деструкции твёрдых тканей зуба.
Профессиональная гигиена направлена на профилактику заболеваний, которые значительно ухудшают качество жизни, а купируются долгим и дорогостоящим лечением.
Почему не хватает повседневной чистки зубов?
Зубная бляшка, образующаяся уже через 2 часа после чистки, располагается по всей поверхности зуба, особенно на апроксимальных поверхностях и под десной. При чистке данные труднодоступные зоны упускают большинство людей. После приёма пищи бляшка контаминируется налётом, в течение дня- микрофлорой, несчищенный налёт минерализуется в виде зубного камня- своеобразной «занозы» в полости рта.
Слизистая оболочка по площади приблизительно равна площади ладони, а если эта зона страдает от хронического воспаления, не трудно представить, как это сказывается на всём организме.
Успешное лечение зависит от трёх факторов: мотивации, адекватной самостоятельной гигиены, снятия отложений.
Показания для проведения профессиональной гигиены:
-ухудшение цвета зубов, их потемнение или желтизна, пигментированный налет
-кровоточивость десен, покраснение десневых сосочков
-неприятный запах изо рта
-терапевтическое/хирургическое/ортодонтическое/ортопедическое и другое лечение
-заболевания слизистой
-ощущение шероховатости зубов и пломб
-появление или усиление повышенной чувствительности зубов
-застревание пищи между зубами, невозможность продеть зубную нить
Относительные противопоказания:
-беременность;
-острые инфекционные заболевания;
-тяжелая сопутствующая патология, в том числе, сахарный диабет, бронхиальная астма;
-сердечно-сосудистые заболевания, сопровождающиеся аритмией.
Противопоказания несут относительный характер, так как существует несколько способов проведения профессиональной гигиены полости рта, специалист, в том или ином случае, может воспользоваться наиболее оптимальным из них.
Механизм образования зубного налёта
Образование зубного налета начинается спустя 2 ч после очищения поверхности зубов
Очагами скопления светлого тонкого слоя налёта являются естественные углубления коронок зубов, вкладок, искусственных коронок, а также придесневая область
Зубной налет имеет следующий механизмы образования:
1. Эпителиальные клетки приклеиваются к поверхности зуба. В дальнейшем наблюдается рост бактериальных колоний.
2. Стрептококки полости рта продуцируют полисахариды, которые преципитируют в дальнейшем на поверхности зуба.
3. Преципитация глюкопротеинов слюны.
Известно, что именно Str. mutans играет основную роль в формировании зубного налета и адгезии его к эмали. С пелликулой зуба бактерии могут связываться и с помощью особых поверхностных структур, имеющих форму фибрилл, которые называют лектинами. Указывают на роль тейховой кислоты клеточные стенки микроорганизмов, которые вступают в связь с пелликулой и ионами кальция твердых тканей зуба.
Различают наддесневой зубной налет, который локализуется над десной, и поддесневой налет, распространившийся в десневую бороздку. По видовому составу микробной флоры и структуре они отличаются друг от друга. Для поддесневого зубного налета характерно преобладание анаэробных микроорганизмов. Обменные процессы в поддесневом зубном налете происходят с участием десневой жидкости. Большинство микроорганизмов в зубном налете кислотообразующие.
Протокол профессиональной гигиены полости рта
1. Антисептическая обработка ротовой полости и диагностика (оценка состояния зубов, пародонта, имплантатов, слизистой оболочки рта, региональных лимфатических узлов
П ервый этап процедуры – самостоятельная антисептическая обработка пациентом полости рта 0,2 % раствором хлоргексидина с экспозицией 20 секунд. Это позволит удалить накопившуюся перед приёмом микрофлору, освежить дыхание пациента.
Как можно улучшить результаты процедур профессиональной гигиены полости рта
— Делаете ли вы анестезию пациентам, которые приходят на гигиену полости рта с запущенным состоянием дёсен: когда гингивит сопровождается отёком и болью или уже есть пародонтит, то есть присутствуют изменения в костной ткани, а пациент жалуется на боль?
— Мы редко делаем инъекционное обезболивание при проведении профессиональной гигиены даже при гингивите и пародонтите. Во многих европейских странах анестезию при профгигиене категорически не рекомендуют, апеллируя к тому, что можно потерпеть. Потерпеть, безусловно, можно, но большинство частных практик сейчас ориентированы на высокий уровень сервиса, поэтому мы всегда стараемся создать максимальный комфорт для пациента.
Мы проводим аппликационное (поверхностное нанесение геля с анестетиком) и инъекционное (с уколом в мягкие ткани) обезболивание в зависимости от того, что пациента больше беспокоит: болезненность дёсен или чувствительность зубов. Это можно определить во время опроса и диагностики. Пациенты очень разные, и порог их болевой чувствительность тоже разный, и это не всегда связано напрямую с воспалением. У некоторых пациентов даже инъекционная анестезия работает как плацебо, потому что обезболить зубы на двух челюстях с окружающей десной полноценно мы не можем. При этом пациентам бывает достаточно самого факта проведения анестезии, чтобы успокоится, а снижение уровня стресса и повышение доверия может способствовать меньшей болезненности в ходе процедуры.
Кстати, уровень болезненности профессиональной гигиены не столько сопряжен с воспалением на момент процедуры, сколько с повышенной чувствительностью зубов вообще. На ощущения пациента мы можем влиять, меняя настройки аппарата и корректируя наши мануальные навыки. И конечно же, атмосфера в кабинете тоже имеет значение.
Какие препараты и средства используются для очистки зубов и десен
Лазерная чистка зубов — это современная стоматологическая процедура, использующая лазерные технологии для удаления зубного налета и камня. Лазер генерирует концентрированный световой луч, который точно нацелен на нежелательные отложения. Этот луч способен разрушать твердые отложения на зубах, а также стерилизовать обрабатываемую область, уничтожая бактерии и минимизируя риск инфекции.
Лазерная чистка особенно полезна, поскольку она может быть настроена на различные мощности, что позволяет адаптировать процедуру к конкретным нуждам пациента, улучшая комфорт и сокращая время восстановления.
Показания к лазерной чистке зубов
Лазерная чистка зубов рекомендуется в следующих случаях:
- Устойчивый зубной налет и камень : Лазер эффективен в удалении даже самых устойчивых отложений, которые трудно удалить традиционными методами.
- Заболевания десен : Благодаря своей способности стерилизовать обрабатываемые участки, лазер идеально подходит для лечения и профилактики гингивита и пародонтита, помогая уменьшить воспаление и кровоточивость десен.
- Чувствительные зубы : Лазерная чистка может быть менее болезненной для пациентов с повышенной чувствительностью зубов, так как она не требует физического контакта с зубом, как в случае с механической или ультразвуковой чисткой.
- Профилактический уход и гигиена полости рта : Регулярное применение лазера в рамках стоматологических осмотров способствует поддержанию здоровья зубов и десен, предотвращая развитие заболеваний.
Лазерная чистка зубов предлагает высокоточный и минимально инвазивный подход к уходу за полостью рта, делая этот метод выбора для многих пациентов, особенно тех, кто ценит быстроту, эффективность и комфорт процедуры.