5 ошибок в гигиене, о которых вы не подозревали
- 5 ошибок в гигиене, о которых вы не подозревали
- Связанные вопросы и ответы
- Почему личная гигиена важна для общего здоровья
- Какие самые распространенные ошибки люди совершают в своей повседневной гигиене
- Как может плохая гигиена повлиять на здоровье кожи
- Что происходит, если вы редко моете руки
- Может ли неправильная гигиена полости рта привести к серьезным проблемам со здоровьем
- Как нерегулярный душ влияет на запах тела и здоровье
- Каковы риски обмена личными средствами гигиены
- Как использование слишком многих средств гигиены может негативно отразиться на коже
- Какие последствия могут быть оттого, что вы не меняете одежду ежедневно
5 ошибок в гигиене, о которых вы не подозревали
Женщина может сама того не подозревая, совершать опасные ошибки в личной гигиене. Несмотря на все советы и правила личной гигиены, некоторые из них могут ей навредить.
Если женщина регулярно будет следовать этим советам, тогда она может лишиться не только своей красоты, но и нанести вред здоровью. Поэтому эти ошибки нужно знать и избавиться от них. Но что это ошибки? Давайте узнаем о них.
1). Контакт с животными.
Некоторые женщины любят поцеловать, обнять и даже облизать любимого питомца. Причём неважно это будет кошечка, собачка, попугайчик и так далее. Но такими действиями можно нанести вред своему здоровью и занести вредные микробы в организм. Даже чистые и домашние питомцы могут разносить вредные микробы, не говоря уже об уличных животных.
2). Умывание обычным мылом.
Не стоит умываться обычным мылом, потому что оно сушит кожу и стирает защитный слой жира на лице. Из-за этого в поры быстрее проникает грязь, что способствует образованию чёрных точек и прыщей. Лучше умывать кожу лица специальными средствами, которых сейчас большое множество.
3). Не используйте косметику с истекшим сроком годности.
Не нужно использовать косметику, срок годности которой приближается к концу или совсем подошёл к концу. Такая косметика не будет выполнять свою функцию и может отразиться в худшую сторону на вашей коже. Поэтому разберите свою косметичку и выбросите из неё всё старое и испорченное.
4). Использование прокладок.
Не нужно пользоваться ежедневными прокладками весь день, потому что они способствуют размножению вредных бактерий в интимной области. Старайтесь менять их каждые 2-3 часа, чтобы избежать вреда для здоровья.
5). Мытьё в горячей воде.
Не стоит мыться в горячей воде, потому что такое мытьё может разрушить защитный слой кожи. Это будет способствовать появлению трещин, морщин и шелушения. К тому же ваша кожа станет сухой. Старайтесь принимать душ в тёплой воде, чтобы ваше тело не перегревалось.
Связанные вопросы и ответы:
Вопрос 1: Какие самые распространённые ошибки в гигиене
Среди самых распространённых ошибок в гигиене можно выделить недостаточное мытьё рук, использование чужих средств гигиены, редкая смена постельного белья, не регулярная чистка зубов и забывание о чистке обуви. Эти ошибки могут привести к различным проблемам со здоровьем, таким как инфекции, неприятный запах тела и кожные заболевания. Важно уделять внимание каждому аспекту гигиены, чтобы избежать этих последствий. Регулярное соблюдение правил гигиены помогает поддерживать здоровье и самочувствие.
Вопрос 2: Какие последствия могут возникнуть из-за неправильной гигиены
Последствия неправильной гигиены могут быть серьёзными. Например, редкое мытьё рук может привести к инфекционным заболеваниям, таким как ОРВИ или кишечные инфекции. Недостаточная чистка зубов может вызвать кариес и заболевания дёсен. Редкая смена постельного белья может привести к появлению перхоти и раздражению кожи. Использование чужих средств гигиены может стать причиной грибковых инфекций. Всё это подчеркивает важность соблюдения правил гигиены для предотвращения этих проблем.
Вопрос 3: Какие ежедневные привычки в гигиене часто упускаются из виду
Среди ежедневных привычек, которые часто упускаются из виду, можно выделить регулярную смену полотенец, чистку телефона и других устройств, мытьё овощей и фруктов перед употреблением, а также чистку обуви. Эти привычки могут показаться незначительными, но они играют важную роль в поддержании гигиены. Например, грязный телефон может содержать множество бактерий, которые могут вызвать заболевания. Регулярная смена полотенец помогает предотвратить распространение микробов. Уделяя внимание этим деталям, можно значительно улучшить уровень гигиены.
Вопрос 4: Почему важно не использовать чужие средства гигиены
Использование чужих средств гигиены может привести к передаче инфекций и бактерий. Например, использование чужой зубной щётки или нитки для чистки зубов может привести к обмену бактериями во рту, что может вызвать кариес или другие стоматологические проблемы. Аналогично, использование чужого мыла или шампуня может привести к раздражению кожи или аллергическим реакциям. Каждое средство гигиены должно быть индивидуальным, чтобы избежать риска заражения. Это особенно важно для людей с ослабленным иммунитетом.
Вопрос 5: Как часто нужно мыть руки
Рекомендуется мыть руки не менее 8-10 раз в день, особенно после посещения туалета, перед едой, после кашля или чихания, а также после прихода домой с улицы. Мытьё рук должно длиться не менее 20 секунд, используя мыло и тёплую воду. Это помогает удалить бактерии и вирусы, которые могут вызвать заболевания. Важно также мыть руки после прикосновения к поверхностям в общественных местах, так как они могут содержать большое количество микробов. Соблюдение этого правила может значительно снизить риск заболеть.
Вопрос 6: Как правильно ухаживать за кожей лица утром и вечером
Утром и вечером важно очищать кожу лица с помощью мягкогоcleansера или мыла, подходящего для вашего типа кожи. После этого нужно нанести тоник, чтобы восстановить баланс кожи и удалить остаткиcleansера. Утром также рекомендуется нанести увлажняющий крем с SPF для защиты от ультрафиолетовых лучей. Вечером можно добавить в уход сыворотку или ночной крем для питания кожи. Важно также регулярно делать пилинг, чтобы удалить ороговевшие клетки кожи и улучшить её текстуру. Правильный уход за кожей лица помогает поддерживать её здоровье и молодость.
Вопрос 7: Какие общие рекомендации помогут избежать ошибок в гигиене
Для избежания ошибок в гигиене важно разработать режим, который будет включать регулярное мытьё рук, смену постельного белья и полотенец, чистку зубов и языка, а также уход за кожей. Также важно использовать индивидуальные средства гигиены и регулярно дезинфицировать поверхности и объекты, которые часто используются. Важно обратить внимание на личные привычки, такие как использование антибактериальных салфеток для очистки телефона и других устройств. Соблюдение этих рекомендаций поможет поддерживать высокий уровень гигиены и предотвратить различные проблемы со здоровьем.
Почему личная гигиена важна для общего здоровья

Понятие гигиена - чрезвычайно емкое понятие. Оно включает в себя режим условий труда и отдыха, рациональное питание, соблюдение правил ухода за телом, применение гигиенических средств и многое другое.
Личная гигиена - это свод правил поведения человека в быту или на производстве. В узком понимании - гигиеническое содержание тела, одежды и предметов домашнего обихода. Нарушение требований личной гигиены может негативно сказаться на здоровье не только одного человека, но и больших групп людей (коллективы, семьи, члены различных сообществ).
Несмотря на доказанную эффективность гигиенических мероприятий, соблюдают их далеко не все.
В России лишь каждый третий школьник регулярно моет руки; 71% людей, имеющих домашних животных, не моет после общения с ними; правильный режим питания в течение дня соблюдает не более 51% россиян. Одни просто забывают мыть руки, а другие считают это бесполезной тратой времени.
Разделы личной гигиены:
- Гигиеническое содержание тела (кожи, волос, полости рта, органов слуха, зрения, половых органов);
- Гигиена индивидуального питания;
- Гигиена одежды и обуви;
- Гигиена жилища.
Гигиена тела
Гигиена кожи
Соблюдение чистоты кожи крайне важно. Кожа человека способна защищать весь организм от негативных воздействий окружающей среды. Кроме защитной функции, кожа выполняет следующие функции:
- Терморегулирующую
- Обменную
- Иммунную
- Секреторную
- Рецепторную
- Дыхательную и др.
Основные правила гигиены тела:
- Мыть тело необходимо ежедневно теплой водой, используя специальные средства (мыло, гель для душа и др.). Температура воды должна быть немного выше нормальной температуры тела (37-38 градусов).Ежедневно кожный покров вырабатывает сало и пот. Если не смывать эти выделения, то защитные свойства кожи нарушаются и, соответственно, создаются благоприятные условия для размножения болезнетворных бактерий, грибков и других вредных микроорганизмов.
- Принимать ванну, душ с применением мочалки не реже 1 раза в неделю.
- К коже лица необходимо относиться крайне бережно. Для умывания использовать специальные средства. Прыщи и угри самостоятельно выдавливать не стоит, так как это может привести к присоединению бактериальной инфекции.
- Регулярно следить за чистотой рук и ногтей. Грязь, содержащая болезнетворные микробы может попасть с рук в рот через пищу. Существует целый список болезней грязных рук, например, дизентерия, болезни, вызванные гельминтами, гепатит А.
- Руки необходимо мыть с антибактериальным мылом по возвращению домой, до посещения туалета и обязательно после туалета, перед едой и после приема пищи, после смены подгузника, после кашля, чихания и сморкания, после прикосновения к ручкам дверей и другим поверхностям в общественных местах, после контакта с сырыми яйцами и мясом, после контакта с мусором, после контакта с деньгами, после контакта с кровью, после контакта с животными и их отходами (как уличными, так и домашними) . Если вы находитесь в дороге и у вас нет возможности вымыть руки с мылом, необходимо иметь при себе влажные салфетки или антибактериальный гель, чтобы устранить хоть некоторое количество микробов.
Какие самые распространенные ошибки люди совершают в своей повседневной гигиене
Самое интересное об искусстве быть женщиной
В нашем канале в Яндекс Zen Femmie.ru вы найдете экспертные советы по последним трендам, научитесь отличать устаревшую и безвкусную одежду от актуальной, а также подбирать любую вещь по фигуре. Обзор брендовых коллекций и модных образов - все, чтобы вы не совершали модных ошибок и удивляли своим вкусом.
Подпишитесь !
Иногда с виду опрятная и ухоженная женщина может оказаться совершенно не такой в кругу своих близких. Так она может неделю не выносить мусор, не мыть посуду и запросто позволяет себе не утруждаться уборкой. Кроме того, такая женщина порой с без зазрения совести пренебрегает гигиеническими процедурами. Сегодня разбираем 5 ошибок в гигиене, которые чаще всего совершают самозванки — с виду ухоженные женщины, а на самом деле — грязнули.
Не менять постельное белье
Быть, а не казаться — высказывания, которое теряет свою актуальность в *****. В этом лично убедилась читательница группы Подслушано, когда ей пришлось жить с инста-дивой в общежитии. Оказалось, что звёзды ***** могут по полгода не менять постельное белье и паразитировать на территории своих опрятных соседей!
Не умываться
Некоторым женщинам не нужно ничего делать, чтобы иметь ровную бархатистую кожу — им повезло с генетикой. Поэтому такие кадры позволяют себе пренебрегать водными процедурами, ссылаясь на то, что у них все и так чисто.
Чистить зубы нерегулярно
Женщина с симпатичным личиком и безупречной фигурой может в один миг превратиться в грязнулю — стоит ей только открыть рот и все поймут, что она не пользуется зубной щеткой. А с виду такая дама.
Оставлять мокрые полотенца в ванной
Иногда с виду безупречная девушка может оказаться абсолютной грязнулей в быту. И тогда никакая любовь не спасает партнера, хочется бежать от человека, который сеет беспорядок в твоей жизни. А ведь, на первый взгляд, возлюбленная казалась хозяйственной.
Не пользоваться дезодорантом
Красивых внешних данных бывает недостаточно, чтобы под ноги женщины штабелями падали мужчины. Иногда их отпугивает запах. В таком случае любоваться неряшливой красоткой можно только издалека.
Ухоженное тело не всегда отражает внутренний мир женщины. Дама может выглядеть, как богиня, а возвращаться домой в тотальный хаос и даже не подозревать, что это абсурдно. Пожалуй, нам всем нужно взять себя в руки и прекратить завидовать женщинам с картинки, ведь их жизнь может быть совсем не такой, какой мы видим ее со стороны.
Как может плохая гигиена повлиять на здоровье кожи
Как же ухаживать за малышом, чтобы его иммунная система развивалась по правильному пути? Без формирования аллергической патологии, аутоиммунных болезней и рака крови? Обратимся к последним рекомендациям аллергологических сообществ мира:
- профилактика аллергопатологии у ребёнка с момента беременности женщины. Не нужно придерживаться гипоаллергенной диеты, если для этого нет показаний. Через плацентарный барьер проходят различные пищевые антигены. Организм ребёнка знакомится с ними внутриутробно, формируя толерантность;
- приоритет естественному вскармливанию. Грудное молоко содержит микробиом, активизирующий Th1-зависимый путь иммунных процессов (путь, направленный на борьбу с инфекциями);
- присутствие животных в доме в течение первого года жизни ребёнка. Позволяйте малышу общаться с домашними питомцами;
- исследователи считают, что полезно пробовать пищу ребёнка с его ложки во время кормления. Важно передать через слюну бактерию хеликобактер пилори (H. Pylori), так как это один из главных стимуляторов Th1-зависимого пути иммунных процессов;
- ползать всегда и везде. Ребёнку нужно знакомиться с огромным миром микробов;
- минимум моющих средств, особенно при купании. На коже присутствуют большое количество нужных микроорганизмов;
- при отсутствии противопоказаний — посещение детского садика. В дошкольном возрасте иммунная система проходит важный период «обучения». Малышу необходимо встречаться с инфекциями, болеть и успешно выздоравливать, формируя иммунитет.
Что происходит, если вы редко моете руки
Лучше мыть руки как можно реже, только при необходимости / Фото: https://pixabay.comОбладатель статуса «Московский врач», заведующий отделением помощи на дому поликлиники № 121 столичного Департамента здравоохранения Василий Фролов рассказало том, какие предметы — самые грязные.
ДЕТАЛИ
В его рейтинг попали вещи, которые чаще всего берут в руки. На одном уровне с деньгами, дверными ручками в общественных местах, клавиатурой банкоматов и пультами управления оказались мобильные телефоны, рули автомобилей и губки для мытья посуды.
Опасны для здоровья, по мнению врача, также диваны, ковры с длинным ворсом, плиты, вентиляция. В зоне риска кухонные шкафчики и кулеры. Доктор советует почаще дезинфицировать ванные и душевые кабины. А руки мыть каждый раз по приходу домой, до туалета и после него, после сморкания, кашля, до и после приема пищи.
Врач-дерматолог, кандидат медицинских наук Ирина Скорогудаева поделилась своим мнением с «Вечерней Москвой».
— Лучше мыть руки как можно реже, только при необходимости. Да, можно ополоснуть их после туалета, перед едой, после улицы или если испачкали. Но в ряде случаев желательно обойтись без мыла и дезинфекции, — отметила эксперт.
Она объяснила, что моющие средства разрушают естественный защитный барьер кожи, на восстановление которого уходит, в лучшем случае, три часа.
— Это приводит к тому, что снижается иммунитет. Не стоит часто мыть детей. Ведь у малышей иммунитет только вырабатывается. Ребенок должен сталкиваться с бактериями. Конечно же, в разумных пределах, чтобы его организм научился самостоятельно бороться, — подчеркнула дерматолог.
Врач добавила, что защитный барьер кожи обладает кислой средой, в которой живут полезные бактерии. Если постоянно мыть руки, это приведет к развитию аллергических реакций, раздражению и повреждению кожи, расстройствам желудка.
— Что же касается вирусов, то они не смываются, а передаются воздушно-капельным путем. Так что ополаскивание рук не обезопасит от гриппа или респираторных инфекций, — уверена эксперт.
По словам Ирины Скорогудаевой, не стоит стремиться и к стерильной чистоте в доме. Погоня за ней чревата психическими расстройствами и навязчивыми идеями. Поэтому лучше поменьше думать о том, сколько бактерий скапливается на поверхности каждого предмета.
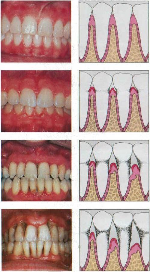
Может ли неправильная гигиена полости рта привести к серьезным проблемам со здоровьем
«Иди чистить зубы, а то кариес будет», — чаще всего так мотивируют на соблюдение ежедневной гигиены. Судя по тому, как выполняется эта просьба, КАРИЕС не очень-то пугает. А после вечерней «чистки» многие тянут в кровать что-нибудь вкусненькое, и так поступают не только дети.
Если в этом примере Вы не узнаете себя, все равно прочитайте эту статью, потому что ежедневная гигиена полости рта — это не только зубная паста и щетка.
Пугать нужно не кариесом!
Несмотря на справедливость утверждения, что плохой уход за зубами может привести к кариесу, кариес — не самое плохое , что может случиться с зубами.
Кариес и его осложненную форму — пульпит, относительно несложно лечить . Конечно, в случае пульпита потребуется лечение каналов (об этом в статье Почему после удаления нерва важно хорошо запломбировать каналы зуба? ), но несоблюдение гигиены зубов может иметь куда более худшие последствия .
Если кариес разрушает зуб, то заболевания десен (основной или сопутствующей причиной которых является плохая гигиена) приводят к разрушению тканей удерживающих зуб в кости.
Мы рассказываем об этом в статье Почему убывает десна, оголяется шейка и корень зуба?
Что Вам больше нравится: здоровые десны или тяжелая форма пародонтита?
Коренные зубы , которые дарует нам природа после молочных, не имеют эквивалентной замены кроме как на имплантаты, но установка имплантатов может быть затруднена и даже невозможна из-за убыли костной ткани. Об этом читайте в статье Недостаточный объем и качество костной ткани — противопоказания к установке имплантатов .
Посмотрите на стадии заболевания десен: гингивит, пародонтит, его осложненная форма… В итоге значительной потери костной ткани зубы теряют опору, расшатываются и выпадают .

В отличие от кариеса, тяжелая форма пародонтита не лечится . Единственное, что можно сделать при пародонтите — замедлить развитие заболевания и это сложней, чем соблюдать правильную ежедневную гигиену зубов.
Посмотрите , как можно избежать проблем, следуя рекомендациям стоматолога по ежедневному уходу за полостью рта.
Что нужно для правильной ежедневной гигиены полости рта?
Кроме правильно подобранной зубной пасты и щетки, в Вашем арсенале, как минимум должны быть : зубная нить (флосс), щетка для языка и раствор для полоскания.
Если Вы носите брекеты, имеете коронки или другие ортопедические конструкции, а также при заболеваниях пародонта, необходимо дополнительно использовать — ершики, пучковые щетки и ирригатор.
Как нерегулярный душ влияет на запах тела и здоровье
Мыло.
Да ладно, скажете вы, оно ведь само себя очищает. Увы, не совсем. После каждого использования кусок мыла покрывается микроорганизмами, начиная от безобидных и заканчивая возбудителями серьезных заболеваний, в том числе тех, которые люди могут переносить без видимых симптомов.
Полотенце.
Полотенце – рассадник бактерий, особенно если оно висит в ванной с высокой влажностью. Грязные полотенца могут заразить владельца грибковыми инфекциями, бактериями, вызывающими угревую сыпь, и даже конъюнктивитом. Чтобы этого избежать, полотенца нужно регулярно стирать и всегда давать им полностью высохнуть.
Мочалка.
Из-за того, что мочалки не успевают как следует высохнуть между применениями, грибки и вирусы в переплетении их волокон чувствуют себя как дома и спокойно растут и размножаются. Зараженная мочалка может вызвать такие инфекции, как грибок ногтей и даже стригущий лишай. Вообще, правило довольно простое – если вещь постоянно намокает, никогда ею не делитесь.
Бритва.
Когда вы бреетесь, бритва собирает на себе отмершие клетки кожи, смешанные с бактериями, поэтому чем больше людей ее использует, тем выше риск инфекции. Как уже говорилось ранее, некоторые люди могут быть носителями вирусов и инфекций, даже не подозревая об этом. Так что невозможно знать наверняка, заражена ли бритва. В случае ссадин и порезов во время бритья чужим лезвием есть риск заразиться гепатитом и ВИЧ.
Средства в баночках.
Каждый раз, когда кто-то опускает пальцы в крем, новые бактерии распространяются по всей банке и передаются на тело или лицо того, кто использует средство следующим. В число этих бактерий входят стрептококк и стафилококк, которые могут вызвать фолликулит и угревую сыпь. Если без этого никак, используйте ватную палочку или деревянную лопаточку. Главное, не давать никому наносить свой крем пальцами.
Каковы риски обмена личными средствами гигиены
Контактный дерматит
До четверти всех медсестер, согласно различным исследованиям, жалуется на симптомы дерматита, раздражения кожи рук, связывая это с обработкой рук при мытье и нанесении антисептиков. Микробиологические исследования посевов с кожи медсестер и врачей, часто использующих антисептики, указывают на изменение ее микрофлоры: чаще наблюдается колонизация кожи стафилококками и грамотрицательными бактериями.
Из широко применяемых антисептиков наименьшим раздражающим действием обладает этиловый спирт. В этом смысле он менее безопасен, чем изопропиловый и n-пропиловый.
Самые агрессивные из антисептиков, чаще других вызывающие раздражение кожи – йодофоры, далее, в порядке убывания раздражающего эффекта идут хлоргексидин, хлорксилен, триклозан, спиртосодержащие антисептики.
Впрочем, надо иметь в виду, что ряд факторов, связанных с гигиеной и защитой рук, могут способствовать развитию раздражения кожи и дерматитов на антисептики. Среди них: мытье рук горячей водой, слишком сухой воздух в помещениях, особенно в зимние месяцы, плохое качество полотенец, аллергия на латекс, недостаточное использование средств ухода за кожей. Воздействие этих факторов возможно не только на работе, но и в быту.
Справка: Анионные ПАВ – самая частая причина контактного дерматита.
Одним из самых сильных раздражителей кожи являются анионные моющие средства, широко используемые в шампунях, стиральных порошках и других моющих и косметических средствах. Установлено, что анионные ПАВ разрушают липидные мембраны клеток кожи, а также обладают прямым цитотоксическим эффектом, вызывая сильные клеточные повреждения. Как это происходит? Молекулы анионного ПАВ, состоящие из третичных аминов и жирных кислот, встраиваются в липидный бислой. При этом углеродные цепочки, или «хвосты», жирных кислот взаимодействуют с гидрофобным (водоотталкивающим) слоем, а гидрофильная часть формирует нечто наподобие поры, делающей клетку проницаемой для воды и водорастворимых соединений. По этим порам ПАВ проникает в клетку, которая подвергается цитолизу .
Для анионных ПАВ повреждающее действие зависит от длины углеводородной цепи. Оно возрастает с нарастанием длины цепочки, достигая максимума для С12 (лаурилсульфат натрия), а затем, по мере дальнейшего удлинения цепи начинает снижаться.
Аллергический дерматит
Причиной аллергического дерматита является не прямое раздражающее действие при контакте вещества с кожей, а аллергические реакции. Наиболее частой причиной при развитии контактной аллергии у медицинских работников является не основное действующее вещество антисептика, а разнообразные «отдушки» (ароматизаторы) и консерванты, реже – эмульгаторы. Эти вещества могут содержаться не только в антисептиках, но и в мыле, кремах, используемых при гигиене рук и уходе за ними. Спирты практически никогда не бывают причиной аллергического дерматита.
Меры защиты от контактного дерматита
Для того, чтобы уменьшить риск развития контактного дерматита, следует придерживаться следующих правил:
- снизить частоту использования средств с сильным раздражающим эффектом (особенно анионных моющих средств);
- заменить средства, раздражающие кожу, на те, которые обладают минимальным раздражающим эффектом (например, хлоргексидин – на этиловый спирт);
- обучать медицинский персонал вопросам использования средств гигиены рук и ухода за ними;
- обеспечить персонал увлажняющими средствами, средствами ухода за руками.
Большую роль в защите медперсонала от раздражающего эффекта гигиенических процедур является отказ от мытья рук водой с мылом (за исключением случае, когда руки, очевидно, загрязнены) и замену его обработкой рук спиртосодержащими антисептиками. При этом наиболее щадящей является обработка рук этиловым спиртом с увлажняющими добавками. Необходимо разъяснить персоналу, что обработка рук антисептиком не дополняет мытье рук, а заменяет ее.
Большое значение имеет применение увлажняющих лосьонов и кремов. Даже двукратное (в день) применение средств ухода значительно уменьшает риски развития контактного дерматита.
Как использование слишком многих средств гигиены может негативно отразиться на коже
С детства родители вложили в башку, что два дня подряд в одном и том же на работу (в садик, в школу) не комильфо.
Так и живу. Но вот столкнулась с мнением, что если рубашка визуально чистая (именно визуально, ибо по мне - так она к вечеру уже несвежая=НЕ чистая), то вполне неделю в ней можно ходить и никакие правила хорошего тона тут не действуют. И никакими силами человека не переубедить.
А у вас как заведено?
Новый день - новая сорочка. И галстук))
Когда познакомились с мужем, то он 5 дней подряд носил одну рубашку. В выходные стирал, сушил и гладил.
У него тогда была одна рубашка для работы. И она была черная, естественно (как и у всех молодых программеров в те годы;-)
Сама могу несколько дней носить майку … потому что я не выхожу из дому больше, чем на несколько часов подряд.
Какие последствия могут быть оттого, что вы не меняете одежду ежедневно
Самое интересное об искусстве быть женщиной
В нашем канале в Яндекс Zen Femmie.ru вы найдете экспертные советы по последним трендам, научитесь отличать устаревшую и безвкусную одежду от актуальной, а также подбирать любую вещь по фигуре. Обзор брендовых коллекций и модных образов - все, чтобы вы не совершали модных ошибок и удивляли своим вкусом.
Подпишитесь !
Даже умные женщины, тщательно ухаживающие за собственной внешностью, не всегда все делают правильно. Существует 4 наиболее распространенные ошибки в гигиене, которые часто допускают дамы.
Выбор неправильных средств для мытья
Нередко женщины покупают специальные гели и мыла, богатые отдушками и консервантами, вместо того, чтобы выбрать самое простое средство гигиены. Врачи подтверждают, что нет никакой необходимости дамам ежедневно применять ароматические мыла, способные спровоцировать аллергию. И в данном случае совершенно не важно, что такое средство стоит дорого — высокая цена вовсе не показатель его качества.
Лучшее решение — остановить свой выбор на самом простом натуральном продукте, без отдушек и ароматизаторов. Также важно, чтобы средства имели нейтральный рН, не нарушающий баланс нашей природной микрофлоры. Большая часть дорогостоящих косметических продуктов, широко разрекламированных в ТВ, способны только навредить здоровью.
Также не стоит верить утверждениям, что средства гигиены с кислым рН полезны для гигиены. На самом деле это просто маркетинговый ход, направленный на то, чтобы дамы покупали определенную продукцию. Чем проще состав мыла или геля, чем меньше в нем ненужных наполнителей — тем лучше он справится со своими функциями.
Ношение синтетического нижнего белья
Многие дамы, выбирая белье, обращают внимание на внешний вид и думают о его красоте, а не о качестве ткани. Между тем, именно состав ткани должен интересовать женщин в первую очередь. Искусственные волокна — не самый лучший вариант, когда речь идет о выборе нижнего белья. Они вызывают раздражение на коже и потливость, что приводит к размножению различных инфекций и грибков.
Кружевное белье из синтетики можно надевать лишь в особых случаях, а для ежедневного использования следует выбирать изделия из натуральных «дышащих» тканей — например, хлопка. Стремление выглядеть роскошно всегда и везде, в данном случае, не уместно.
То же самое качается стрингов, независимо от того, из какого материала они сшиты. От этого элемента нижнего белья стоит отказаться полностью. Если же возникла необходимость надеть «невидимые» трусики, контуры которых не будут видны сквозь одежду, предпочтение нужно отдать бесшовному белью. Оно мягко прилегает к телу, не передавливает нежную кожу и позволяет чувствовать себя максимально комфортно в любой одежде. Ночью вообще лучше спать без белья — для сна подойдут широкие пижамные штаны, либо свободная сорочка.
Неправильное поддержание чистоты
Чтобы всегда быть свежей и чувствовать себя комфортно, необходимо ежедневно принимать душ. Что касается интимной гигиены, то ее следует совершать как минимум два раза — утром и вечером. При этом нужно полностью отказаться от спринцеваний, так как данная процедура способна только навредить.
Также врачи советуют отказаться от ежедневных прокладок, которыми злоупотребляют многие дамы. Такие средства гигиены не дают коже дышать, кроме того, в течение дня в них скапливаются и размножаются бактерии, способные проникнуть в интимную зону женщины. Если вы никак не можете отказаться от ежедневных прокладок, то менять их необходимо через каждые два часа. Важно понимать, что выделения на женском белье — это нормально. Главное, не забывать о необходимых водных процедурах.
Неграмотный уход за волосами
Не все дамы могут позволить себе частые походы в дорогие салоны, однако правильно ухаживать за волосами можно и дома. Локоны должны быть упругими и блестящими, ведь пересушенная шевелюра с посеченными кончиками придаст неряшливый вид даже самой ухоженной женщине.
Чтобы поддерживать красоту волос, мыть их нужно по мере загрязнения. Не стоит слушать советов о слишком частом или редком мытье головы, данная процедура в каждом случае выбирается индивидуально. Кому-то достаточно мыть голову один раз в четыре дня, а кто-то должен делать это ежедневно. Чистые и блестящие волосы — это уже прическа, с которой можно смело выходить «в свет».