Точное расположение почек и печени в человеческом организме
- Точное расположение почек и печени в человеческом организме
- Связанные вопросы и ответы
- Где находятся почки в человеческом теле
- Как можно определить местоположение печени
- Какие функции выполняют почки
- Почему важно знать точное расположение печени
- Какую роль играют эти органы в обмене веществ
- Какая связь между почками и печенью
- Могут ли проблемы с почками или печенью влиять на общее состояние здоровья
- Какие заболевания наиболее часто затрагивают почки
- Какие факторы могут негативно влиять на работу печени
Точное расположение почек и печени в человеческом организме
Более 80% конечных продуктов обмена веществ выводится из организма благодаря работе почек. Следовательно, они играют важнейшую роль в жизнедеятельности человеческого организма. Трудолюбие у них в крови.
Где находятся почки, их функции
Вдоль позвоночника в области поясницы разместились почки, причем анатомически правая располагается чуть ниже левой. Это поясняется тем, что над ней размещена печень. Она не даёт почке сместиться вверх.
Связанные вопросы и ответы:
1. Где находятся почки в человеческом организме
Почки находятся в области поясницы с обеих сторон позвоночника. Они расположены на уровне поясничных позвонков от 11 до 12. Почки защищены ребрами и мышцами поясничного отдела спины. Почки также связаны с мочеточниками, через которые проходит моча к мочевому пузырю.
2. Где расположена печень в человеческом организме
Печень находится в правом верхнем квадранте брюшной полости под диафрагмой. Она имеет конусообразную форму с широким основанием, направленным вниз и узким острием, направленным вверх. Печень прилегает к желчному пузырю, желудку и кишечнику. Ее функции включают участие в пищеварении, накоплении питательных веществ и очистке крови.
3. Каким образом почки выполняют свою функцию в организме
Почки выполняют функцию фильтрации крови, удаляя из нее лишнюю жидкость и отходы. Они также регулируют уровень воды и солей в организме, поддерживая гомеостаз. Почки участвуют в процессе образования мочи, которая затем выходит из организма через мочевыводящие пути. Кроме того, почки помогают контролировать кровяное давление и уровень красных кровяных клеток.
4. Какова роль печени в работе организма
Печень играет ключевую роль в обмене веществ, пищеварении и детоксикации организма. Она участвует в образовании желчи, необходимой для расщепления жиров в кишечнике. Печень хранит запасы гликогена, который может выделяться при необходимости для поддержания уровня глюкозы в крови. Орган участвует в процессе обмена белков, жиров и углеводов, обеспечивая организм энергией и питательными веществами.
5. Как влияют повреждения почек на организм человека
Повреждения почек могут привести к нарушению функции фильтрации крови и выведения отходов из организма. Это может привести к кумуляции токсинов, вызывая отравление организма. При хроническом заболевании почек возникает нарушение водно-электролитного баланса и повышение артериального давления. В тяжелых случаях повреждения почек может потребоваться диализ или трансплантация.
6. Какие заболевания могут повлиять на работу печени
К патологиям печени относятся гепатиты, цирроз, жировая дистрофия и опухоли. Гепатиты вызывают воспаление печени и могут иметь инфекционное, вирусное или токсическое происхождение. Цирроз характеризуется заменой здоровой ткани печени соединительной и некротической тканью, что приводит к нарушению ее функции. Жировая дистрофия печени обусловлена нарушением метаболизма жиров и может возникнуть при длительной абузе алкоголя или ожирении.
7. Как можно поддерживать здоровье почек и печени
Для поддержания здоровья почек и печени рекомендуется употреблять достаточное количество воды и питательных веществ. Ограничение потребления жирной и жареной пищи поможет снизить нагрузку на печень. Регулярные физические нагрузки и здоровый образ жизни способствуют улучшению работы почек и печени. Важно также избегать вредных привычек, таких как употребление алкоголя и курение, чтобы снизить риск заболеваний этих органов.
Где находятся почки в человеческом теле

Почки – парный орган, состоящий из двух одинаковых по своим параметрам частей бобовидной формы. Расположен он в забрюшинном пространстве на задней стенке брюшной полости на уровне девятого грудного и третьего поясничного позвонка. Зафиксированы почки жировой клетчаткой в углублениях, сформированных мышцами и скелетом. При этом правая почка локализуется немного ниже, чем левая. Обусловлено это давлением правой доли печени. Расхождении в уровне расположения органов может составлять в пределах 1-1,5 см. Вес каждой части органа у людей разных возрастов и полов колеблется от 120 до 200 г, при этом правая почка немного меньше по размеру в сравнении с левой. По длине почки достигают 10-12 см, по толщине – 3-4 см, а их ширина составляет 5-6 см.
В строении каждой отдельно взятой почки выделяют ее капсулу, паренхиму и систему, которая накапливает и выводит мочу:
- почечная капсула – оболочка, состоящая из соединительной ткани и являющаяся наружным слоем органа;
- паренхима состоит из слоя внешнего коркового и внутреннего мозгового вещества, представляя таким образом среднюю промежуточную часть почек;
- за процесс накопления мочи отвечают почечные чашечки, впадающие в почечную лоханку, которая в свою очередь переходит в мочеточник.
Почки снабжаются кровью с помощью почечных артерий , отходящих от аорты. Нервную регуляцию органа и чувствительность его капсулы осуществляют нервы чревного сплетения.
Морфофункциональная единица органа – нефрон, основной задачей которого является образование мочи. И правая и левая почка содержат в своей структуре свыше миллиона нефронов. Основное скопление нефронов (85%) находится в корковом веществе органа. Остальные 15% морфофункциональных единиц почек локализуются в промежутке мозгового и коркового вещества.
В основном почки человека выполняют мочеобразующую, эндокринную и гомеостатическую функции. Основной орган мочевыделительной системы выводит остаточные продукты метаболизма, избыточные соединения и прочие вещества, в которых организм не нуждается. Примерный суточный объём вырабатываемой почками и выделяемой через мочеточники мочи составляет 1,5 л.
Почки женщин

Женщины более подвержены воспалительным заболеваниям мочевыделительной системы, в том числе и почек. Обусловлено это физиологическими особенностями организма представительниц прекрасного пола. Так, у женщин уретра намного короче мужской, соответственно, различным болезнетворным микроорганизмам намного проще проникать в органы мочевыделительной системы. В строении почек женщин и мужчин особых отличий нет. Возникают они, как правило, во время беременности. Во время вынашивания малыша почки женщин могут увеличиваться в длину примерно на 2 см. Также вполне допустимым является незначительное расширение органа и почечных лоханок.
Женщины менее подвержены образованию злокачественных опухолей в тканях почек. Но при этом у представительниц слабого пола намного чаще диагностируются кисты, которые могут приводить к развитию рака или же исчезать самостоятельно.
Почки мужчин
Парный орган мочевыделительной системы у мужчин несколько больше, чем почки женщин. По результатам многочисленных исследований, у представителей сильного пола отмечаются большие размеры почек, а также преобладание ширины, толщины и длины кортикального слоя органа. Обусловлено это обычными отличиями мужского и женского организма. Как отмечалось выше, мужчины менее подвержены заболеваниям почек, чем женщины, но при этом лечение многих болезней у представителей сильного пола оказывается более сложным к выполнению. Также у мужчин многие болезни почек чаще приводят к развитию различных осложнений.
Подверженность мужчин к заболеваниям основного органа мочевыделительной системы с возрастом увеличивается. Например, если в принципе у мужчин намного реже, нежели у женщин диагностируется пиелонефрит, то с возрастом вероятность данного заболевания у представителей сильного пола увеличивается за счет развития мочекаменной болезни, сужения мочеиспускательного канала, появления аденомы простаты у пожилых людей и др.
Как можно определить местоположение печени
Ультразвуковое исследование печени можно проводить в любое время без предварительной подготовки. Обследование проводится, как правило, в трех плоскостях (продольной, поперечной и косой) со стороны правого подреберья и эпигастрия. При этом необходимо оценить расположение, форму, контуры, размеры, структуру и эхогенность паренхимы, сосудистый рисунок в целом и конкретные сосуды, протоковую систему, влияние окружающих органов на состояние изображения печени. Точность диагностики выявляемых изменений возрастает при динамическом наблюдении (схема 3).
В норме большая часть печени располагается справа от позвоночника, а меньшая - слева от него и доходит до левой парастернальной линии. Контуры печени ровные, она имеет четкое очертание, капсула хорошо просматривается в виде гиперэхогенной структуры, окружающей ее паренхиму (за исключением участков, прилежащих к диафрагме, где капсула не дифференцируется от последней). В норме нижний край печени не выступает из-под реберной дуги. Общепринятыми являются измерение косого вертикального размера правой доли (не превышает 13-15 см) и толщины левой доли (до 5 см). Структура неизмененной печени представлена мелкозернистым изображением, состоящим из множества мелких точечных и линейных структур, равномерно расположенных по всей площади полученного среза. По эхогенности паренхима нормальной печени сопоставима или несколько выше эхогенности коркового вещества почки (при отсутствии ее патологии). Эхография позволяет дифференцировать различные трубчатые структуры, находящиеся в печени.
Отличительным признаком печеночных вен является их радиальное расположение (от периферии к центру), "отсутствие" стенок, возможность проследить ход мелких ветвей (до 1 мм в диаметре) до периферии органа. Портальная вена образуется в результате слияния верхнебрыжеечной и селезеночной вен. Лучше всего она видна при косом сканировании через правое подреберье и визуализи-руется в виде трубчатой структуры, имеющей четкие стенки. Ее можно проследить от места образования до впадения в ворота печени, где она разделяется на левую и правую ветви. В норме диаметрне превышает 13-15 мм. Печеночная артерия визуализируется в области ворот печени как трубчатая структура небольшого диаметра (до 4-6 мм) с высокоэхогенными стенками. Внутрипеченочные желчные протоки в норме могут быть визуализированы только начиная с долевых. Они также имеют высокоэхогенные стенки и малый диаметр (не более 1 мм).
Результаты исследований

Рис. 5. Эхографическая картина жировой инфильтрации печени - повышение эхогенности паренхимы с эффектом ослабления в глубоких отделах печени.

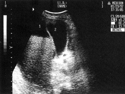
Рис. 7. Эхографическая картина одного из вариантов декомпенсированного цирроза печени: 1 - асцит, 2 - желчный пузырь, 3 - печень.

Рис. 8. Эхографическая картина порто-кавальных анастомозов в воротах печени: 1 - печень, 2 - желчный пузырь, 3 - порто-кавальные анастомозы, 4 - киста печени.

Рис. 9. Эхографическая картина одного из вариантов изображения капиллярной гемангиомы левой доли печени.
Какие функции выполняют почки
Почки представляют собой парный орган экскреторной (выделительной) системы, который в силу внешнего сходства чаще всего сравнивают с фасолиной или бобом. Однако размерами почка значительно больше: если усреднить индивидуальные вариации, то габариты почки взрослого человека составляют примерно 11 х 3,5 х 5,5 см, масса от 120 до 200 г. Расположены почки в забрюшинном пространстве, у задней брюшной стенки, по обе стороны от позвоночного столба, обычно на границе поясничного и грудного отделов. Асимметрия висцерального пространства (анатомического устройства и взаимного расположения внутренних органов) обусловливает несколько более высокое положение левой почки над правой; кроме того, левая почка немного больше.
Оболочкой почки служит жировая ткань, под которой имеется слой плотной соединительной ткани (фиброзная капсула). В вогнутую, углубленную часть «фасолины» (почечные ворота), входит почечная ножка – сложный жгут, содержащий систему кровоснабжения (подводящая кровь почечная артерия и отводящая вена), иннервирующие почку нервы, лимфатические протоки, а также устье-лоханку (полость, куда выходят открытые чашечки выводных сосочковых протоков) и мочеточник – узкий трубчатый канал, уходящий вниз к мочевому пузырю. В совокупности почечное ложе (внешняя соединительнотканная фасция), ножка, жировая и фиброзная оболочки обеспечивают целостность, фиксацию и относительную неподвижность почки, – по крайней мере, в норме она должна оставаться в пределах отведенного ей пространства и в вертикальной ориентации, где выделяют верхний и нижний полюсы. В разрезе почка имеет сложную структуру: различается темный красно-коричневый корковый слой и светло-серый мозговой, глубинный. Мозговой слой образован дренажными элементами пирамидальной формы (число почечных пирамид варьирует от 8-10 до 20-24), которые через малые и большие чашечки открываются в лоханку.
Почему важно знать точное расположение печени
Печень – один из важнейших органов человека. Она выполняет множество функций, в том числе помогает пищеварению и выводит из организма токсины. Узнаем побольше об устройстве печени и ее болезнях
Печень человека. Фото: Shutterstock
Печень – это:
- один из самых крупных органов человека;
- единственный орган, который способен восстанавливать свою структуру и функции даже при удалении 70%.
Печень можно назвать гигантской лабораторией гепатоцитов – клеток, в которых каждую секунду может происходить до 1 млн химических реакций. Рассмотрим основные моменты, связанные с печенью.
Что важно знать о печени человека
| Размеры | Поперечный – 24-28 см Вертикальный – 6-8 см |
| Вес | Около 1500 гр |
| Цвет | Красно-коричневый |
| Консистенция | Мягкая |
| Желчь | Выделяется до 2-х литров (в среднем 700-800 мл) |
| Функции печени | • пищеварительная (образование желчи); • обменная (участвует в обмене белков, жиров и углеводов); • барьерная (участвует в нейтрализации продуктов обмена веществ и токсинов); • гомеостатическая; • синтетическая (участвует в синтезе некоторых соединений (мочевина, гликоген и др.); • депонирующая (может содержать в себе до 600 мл крови); • гормональная (участвует в синтезе биологически активных веществ). |
| Доли | Правая (хвостатая, квадратная) и левая |
| Биохимические показатели | • АСАТ (аспрартатаминотрансфераза) • АЛАТ (аланинаминотрансфераза) • Гамма-Г Т ПЛ Д Г (лактатдегидрогенеза) • ЩФ (щелочная фосфотаза) • Билирубин и фракции • Общий белок • Альбумин • Холестерин и фракции • Триглицериды • Коагулограмма • Фибриноген |
Где находится печень человека
Печень располагается под диафрагмой справа вверху брюшной полости.
- Верхняя граница – по среднеключичной линии в 4 межреберье, по подмышечной — в 8 межреберье и на уровне 11 позвонка со спины (положение изменяется на 1-2 см во время дыхания). Сверху печень соприкасается с диафрагмой, верхней полой веной.
- Левая граница – на 5-7 см от средней линии (граница зависит от конституции человека и наполненности желудка).
- Нижняя граница – в норме не выходит за края ребер. Соприкасается с правой почкой, надпочечником, желудком, 12-перстной кишкой, частью пищевода, ободочной кишкой.
Расположение печени в брюшной полости
Как выглядит и работает печень человека
Чтобы понять принцип работы печени, попробуйте выпить 6 стаканов сока за минуту и точно назвать состав (апельсиновый, яблочный, мультифрукт). Ошибка для нас будет шуткой. А вот если печень ошибется и примет токсин за нормальное вещество – смерть.
Каждую минуту через печень проходит 1,5 литра крови, из которой она задерживает вредные вещества для организма.
В течение дня выделяется до 800 мл желчи, которое необходимо для нормального пищеварения.
А ночью печень депонирует гликоген, который в течение дня тратится на нужды организма.
Как работает печень
Почему может болеть печень у человека
Сама печень болеть не может. Это связано с тем, что в ней нет нервных рецепторов. Однако малейшее изменение в объеме приводит к растяжению капсулы, которая покрывает орган. Это и приводит к появлению болевого синдрома. Кроме того, болью в области правого подреберья может проявляться патология соседних органов (желчный пузырь, поджелудочная железа, почка и другие).
Камни в области желчных протоков
Желчекаменная болезнь (ЖКБ) – хроническое заболевание, преимущественно с генетической предрасположенностью, которое характеризуется образованием камней в желчных путях.
Такое заболевание встречается у 10-15% населения.
Факторы риска развития ЖКБ:
- возраст старше 40 лет;
- наследственная отягощенность;
- пол – женский;
- беременность;
- прием гормональных препаратов в период менопаузы;
- избыточная масса тела;
- сахарный диабет;
- цирроз печени;
- применение некоторых лекарственных препаратов (эстрогены, фибраты, антибактериальные препараты).
Симптомы:
- сильная режущая, схваткообразная боль в области правого подреберья и эпигастрия;
- тошнота, рвота, не приносящая облегчения;
- изменение ЧСС, АД;
- потливость;
- общая слабость.
Воспалительные заболевания печени
Чаще всего это гепатиты А, В, С, D, Е. Гепатит – воспалительное заболевание печени, чаще всего вирусного генеза.
Пути передачи:
- Для гепатитов А и Е – водный, пищевой, контактно-бытовой.
- Для B, C, D – при контакте с зараженной кровью, во время полового акта.
Все гепатиты имеют примерно сходные симптомы и имеют определенные фазы развития:
Печень – один из важнейших органов человека. Она выполняет множество функций, в том числе помогает пищеварению и выводит из организма токсины. Узнаем побольше об устройстве печени и ее болезнях
Печень человека
Печень – это гигантская лаборатория гепатоцитов – клеток, в которых каждую секунду может происходить до 1 млн химических реакций. Рассмотрим основные моменты, связанные с печенью.
Расположение печени
Печень располагается под диафрагмой справа вверху брюшной полости.
Принцип работы печени
Чтобы понять принцип работы печени, попробуйте выпить 6 стаканов сока за минуту и точно назвать состав (апельсиновый, яблочный, мультифрукт). Ошибка для нас будет шуткой. А вот если печень ошибется и примет токсин за нормальное вещество – смерть.
Каждую минуту через печень проходит 1,5 литра крови, из которой она задерживает вредные вещества для организма.
В течение дня выделяется до 800 мл желчи, которое необходимо для нормального пищеварения.
А ночью печень депонирует гликоген, который в течение дня тратится на нужды организма.
Как работает печень
Сама печень болеть не может. Это связано с тем, что в ней нет нервных рецепторов. Однако малейшее изменение в объеме приводит к растяжению капсулы, которая покрывает орган. Это и приводит к появлению болевого синдрома. Кроме того, болью в области правого подреберья может проявляться патология соседних органов (желчный пузырь, поджелудочная железа, почка и другие).
- Инкубационный период – характеризуется размножением и распространением вируса в организме, симптомов при этом нет.
- Продромальный (преджелтушный) период – симптомы неспецифичны: тошнота, общая слабость, потеря аппетита, ощущение тяжести, давления в области правого подреберья.
- Желтушная фаза – характеризуется окрашиванием кожных покровов, слизистых оболочек, склер в желтый цвет через 3-10 дней. Возможен кожный зуд. При пальпации печень увеличена в размере, болезненна.
Какую роль играют эти органы в обмене веществ
Диденко Владимир Андреевич
Статью проверил доктор медицинских наук
Голубев Михаил Аркадьевич

Обмен веществ: роль для здоровья, его виды и метаболические заболевания
Об обмене веществ чаще всего вспоминают в контексте различных способов похудения. При этом представляется упрощенная и не совсем правильная схема: чем быстрее метаболизм, тем лучше для организма и тем быстрее худеет человек. Так ли это на самом деле? И почему нормальный обмен веществ важен для здоровья в целом, разбирался MedAboutMe.
Обмен веществ в организме
Суть обмена веществ – поддержание жизнедеятельности организма. Это вся совокупность химических реакций, протекающих в теле человека. Все важные этапы, от получения энергии до роста и развития, руководствуются метаболическими процессами. В ходе реакций полученные с пищей вещества преобразуются в необходимые для функционирования организма соединения. Метаболизм отвечает и за выведение излишков и токсинов. Чаще всего, говоря об обмене веществ, подразумевают углеводный баланс (нарушение которого сказывается на весе), однако под этим понятием объединено множество других реакций.
Обмен веществ у взрослых

Поскольку процессы обмена веществ в организме отвечают, в частности, за рост тканей, метаболизм у детей ускорен по сравнению с взрослыми. К старости же реакции замедляются – каждые 10 лет жизни на 5-10%. Кроме этого, на их скорость влияют и другие факторы. Среди них:
- Пол.
В мужском организме обменные процессы протекают быстрее. Связано это прежде всего с тем, что по строению в теле мужчины процент мышечной массы выше. А мышцы более активно расходуют энергию.
- Болезни щитовидной железы.
Повышенное количество тироксина вызывает ускоренный обмен веществ, его нехватка, наоборот, замедляет метаболизм.
- Наследственность.
Скорость метаболизма часто передается по наследству, отсюда и склонность к полноте у детей тучных родителей.
- Тип телосложения.
У спортивных людей основной обмен веществ быстрее – им нужно больше калорий даже в состоянии покоя.
- Вес.
Если масса тела увеличивается за счет мышц, процессы будут ускоряться, а если за счет жира – наоборот, замедляться.
- Тип питания.
Потребление некоторых продуктов может ускорять или замедлять метаболизм. Например, блюда с содержанием трансжиров тормозят его, а вот свежие овощи, наоборот, улучшают обмен веществ. Кроме этого, на процессы влияет режим приема пищи – редкие перекусы или резкое сокращение калорийности рациона замедляет химические реакции.
- Количество выпиваемой воды.
Доказано, что у людей с привычкой пить чистую воду обмен веществ протекает быстрее.
Несмотря на наследственную предрасположенность, все же скорость обмена веществ в тканях взрослого человека во многом завит от того, какой образ жизни он ведет, от пищевых привычек и физической активности.
Обмен веществ у детей

Как уже было сказано, реакции обмена веществ в детском организме протекают быстрее. Это позволяет телу расти и полноценно развиваться. У ребёнка по сравнению с взрослым интенсивнее восстанавливаются ткани, это хорошо видно по тому, насколько быстрее срастаются переломы костей (особенно до 7 лет) и зарастают раны. При этом ускоренный обмен веществ может вызвать более тяжелую интоксикацию организма – попавшие с пищей яды усвоятся быстрее, чем у взрослого, и на момент оказания первой помощи могут уже нанести серьезные повреждения органам.
Патологические нарушения обмена веществ носят наследственный характер и при правильной диагностике обнаруживаются именно в детском возрасте. Поэтому нужно очень внимательно следить за возможными симптомами болезней:
- Задержка роста.
- Слабость, сонливость.
- Частый плач.
- Изменение цвета кожных покровов.
- Запоры и другие проблемы с пищеварением.
- Увеличение или уменьшение массы тела.
Вовремя выявленные наследственные заболевания обмена веществ помогают сохранить здоровье. Ведь часто лекарства или специфическая диета позволяют полностью исключить негативные проявления болезней. В противном случае возможны тяжелые поражения ЦНС, печени, головного мозга и прочего.
В том случае если нарушение обмена веществ вызваны не патологией, а неправильным питанием, у ребёнка могут наблюдаться такие заболевания:
- Анемия (дефицит белков и железа).
- Рахит (дефицит фосфора и кальция).
- Судорожный синдром (переизбыток кальция).
Процесс обмена веществ в организме
Метаболизм – сложная система различных химических реакций. Любой процесс обмена веществ в организме проходит две стадии:
- Катаболизм – распад питательных веществ на простые компоненты.
- Анаболизм – синтез новых соединений, которые усваиваются организмом.
На первом этапе обмена веществ энергия выделяется, а на втором, наоборот, затрачивается. Баланс этих процессов позволяет поддерживать нормальное функционирование организма.
Говоря об обмене веществ в тканях, врачи выделяют такие его виды:
- Липидный.
- Углеводный.
- Белковый.
- Водно-солевой.

Какая связь между почками и печенью
Любые изменения функционирования почек и печени негативно сказываются на состоянии всего организма. Именно поэтому доктора нашего медицинского центра в Москве говорят о необходимости срочного обращения к специалистам во избежание серьезных проблем со здоровьем. Благодаря качественному оборудованию и оснащенной лаборатории, мы сможем вовремя обнаружить заболевания почек и печени , чтобы начать терапию. Кроме того, мы гарантируем внимательное отношение к каждому пациенту и подбор эффективной методики, согласно вашим показаниям.
Заболевания почек. Общая симптоматика
Большая часть болезней почек выявляется благодаря следующим признакам:
• Общая ослабленность и чувство недомогания, а также быстрое переутомление.
• Боли в голове.
• Снижение аппетита.
• Отечность по утрам (особенно возле глаз).
• Повышение давления в артериях.
• Лихорадка, а также сильный озноб.
• Бледность кожного покрова.
Среди местных симптомов принято выделять:
• Болезненность в районе поясницы на стороне поврежденного органа;
• Краснота эпидермиса в области почек;
• Опухание поясничного отдела;
• Смена цвета урины на кровавый, коричневый.
• Участившиеся позывы к опорожнению мочевого пузыря;
• Жжение при мочеиспускании и дискомфорт.
Признаки наличия камней и песка
Главным симптомом мочекаменного недуга становится почечная колика – острое состояние, которое требует помощи специалиста. Формирование этого признака происходит при выходе конкремента из лоханки и его закупоривании мочеточника. Пути мочевыделения быстрее сокращаются, чтобы избавиться от препятствия. В итоге отток мочи нарушается, а нервные окончания раздражаются. Именно по этой причине данные симптомы трудно спутать с признаками других недугов:
• Сильнейшая боль острого характера в районе поясницы, которая напоминает схватки;
• Распространение боли в нижние отделы живота в половые органы и внутреннюю часть бедра.
Признаком наличия мочекаменного заболевания становится ухудшение общего самочувствия, сопровождающегося болями в почках. В период почечной колики человек не способен удобно расположиться в кровати, а боли становятся просто нестерпимыми. Больной начинает паниковать. Нередко можно заметить подъем температуры и давления, возникновение тошноты и рвотного рефлекса. Количество выделенной мочи существенно уменьшается, а позывы учащаются. Урина сильно концентрирована и содержит примеси крови. Такое состояние способно мучить человека от нескольких минут до пары часов с выделением мелких конкрементов и песка.
Печень
Заболевания почек и печени имеют широкий спектр состояний, поэтому нужно уметь вовремя и правильно их определять. Печень – это орган, локализованный непосредственно под грудиной справа. Она просто необходима организму для переваривания пищи и впитывания питательных элементов, а также для вывода токсинов. Болезни печени способны быть наследственными либо приобретенными в ходе инфицирования.
Как проявляют себя болезни печени?
Симптоматика недугов, связанных с печенью такова:
• Перемена окраски кожного покрова и глазных белков на желтый цвет.
• Отечность и боль живота.
• Раздражение кожи.
• Потемнение урины.
• Обесцвечивание каловых масс.
• Постоянное утомление.
• Утрата аппетита.
Причины печеночных недугов
Нарушения, формирующиеся в печени, включают в себя:
• Острую недостаточность органа.
• Недостаток ингибитора трипсина.
• Алкогольный и аутоиммунный гепатит.
• Перекрытие желчного протока.
• Цирроз.
• Увеличение размеров печени.
• Гепатиты группы А, В, С, Е.
• Злокачественную опухоль органа.
• Жировое заболевание (не алкогольное).
Профилактические мероприятия
Чтобы предотвратить формирование болезней печени, необходимо просто ее защищать:
• При приеме алкоголя не стоит им увлекаться.
• При половой близости используйте в качестве контрацепции презерватив, чтобы не получить инфекцию.
• В случае риска заражения гепатитом, обязательно сделайте прививку.
• Осуществляйте прием лишь тех медикаментов, которые вам прописал врач. К тому же, соблюдайте дозировку, и ни при каких обстоятельствах не смешивайте лекарства с приемом спиртного. Если будете принимать добавки растительного происхождения, обязательно обговорите это со специалистом.
Могут ли проблемы с почками или печенью влиять на общее состояние здоровья
Врач Кашух: слабость и отеки вокруг глаз могут быть симптомами болезней почек
Печень и почки участвуют практически во всех жизненно важных процессах организма, ежедневно очищая его от токсинов, поэтому важно позаботиться о здоровом состоянии этих органов. На это в беседе с «Известиями» указала врач-гастроэнтеролог Лаборатории «Гемотест», кандидат медицинских наук Екатерина Кашух.

Через царапину: в России снизилась смертность от заражения крови
Врачи рассказали, что такое сепсис и как его не допустить
По словам специалиста, печень называют молчаливым органом — в ней нет нервных окончаний, поэтому она не подает сигналов о развивающихся болезнях. Зачастую обнаружить отклонения в работе печени можно только с помощью анализов.
При этом особенное внимание на сдачу этих анализов следует обратить людям из группы риска. В их числе граждане, злоупотребляющие алкоголем, предпочитающие фастфуд и жирную пищу, длительно принимающие большое количество лекарственных препаратов или токсичные для печени медикаменты.
В то же время важно заняться здоровьем печени до проявления острых симптомов заболевания органа, таких как пожелтение кожи и белков глаз, потемнение мочи и обесцвечивание кала.
Нарушения в работе органа выявляют биохимические исследования ферментов, содержащихся в клетках печени — аланинаминотрансферазы АЛТ и аспартатаминотрансферазы АСТ. Повышение их уровня в крови может свидетельствовать о повреждении органа, и в таком случает следует незамедлительно обратиться за консультацией к врачу.
«За последний год в Лаборатории «Гемотест» мы наблюдаем повышение АЛТ и АСТ у подавляющего числа пациентов. Особенно ярко данная негативная тенденция наблюдается среди мужчин в возрасте 26-45 лет: у каждого третьего завышены показатели АЛТ. У представительниц прекрасного пола данной возрастной группы превышающие значения также фиксировались, но реже — не более чем в 14% случаев. Однако у каждой пятой женщины в возрасте от 46 до 65 лет мы снова видим повышение АЛТ», — рассказала Кашух.
Еще один орган, круглосуточно поддерживающий жизнеобеспечение организма — почки. Их недуги могут быть связаны не только с неправильным образом жизни, но и стать частью осложнений перенесенного COVID-19 . Повреждение почек в таком случае может быть вызвано самим вирусом, общим воспалением, продолжительной нехваткой кислорода или принимаемыми во время болезни лекарствами.
Как пояснила врач, при коронавирусной инфекции повреждаются микрососуды в почках, нарушается процесс фильтрации крови и, как следствие, образование мочи. Патологические изменения в органах могут происходить бессимптомно, причем как в остром периоде болезни, так и после выздоровления. Обнаружить их можно с помощью определения уровня креатинина в крови — это вещество, которое ежедневно образуется в мышцах. Большая его часть выводится почками с мочой, но, если почечные клетки повреждены, то креатинин задерживается в организме и его уровень в крови повышается.
Определив значение креатинина, можно выявить нарушение работы почек на ранних стадиях, до того как появятся такие характерные симптомы, как общая слабость, отеки вокруг глаз, повышение артериального давления. При этом особенно важно узнать этот показатель гражданам старше 65 лет, поскольку повышение креатинина фиксируется в каждом пятом анализе в этой возрастной категории, подчеркнула Кашух.
Повышенное внимание к организму после перенесенной короновирусной инфекции и своевременная диагностика работы печени и почек позволят выявить возможные бессимптомные нарушения, резюмировала специалист.
Ранее в сентябре врач-терапевт, врач-диетолог «СМ-Клиника» Елена Тихомирова предупредила, что избыточный высокоуглеводный рацион является самой вредоносной угрозой печени , при этом к числу наиболее опасных продуктов относятся сладости, чрезмерное количество фруктов, круп и хлеба. Как пояснила эксперт, высококалорийный рацион приводит к переизбытку углеводов, которые превращаются в жир и наносят урон печени в виде того, что в центре гепатоцита начинает расти большая жировая капля.
Какие заболевания наиболее часто затрагивают почки
Пиелонефрит — это воспаление паренхимы почек, вызванное деятельностью болезнетворных бактерий. Заболевание затрагивает всю чашечно-лоханочную область, оно имеет склонность к рецидивам и встречается в основном у молодых людей.
Пиелонефрит обнаруживается у 1% населения Земного шара, причём у представительниц прекрасной половины человечества он возникает в 6 раз чаще, чем у мужского пола. В острой форме болезнь диагностируется у 13% пациентов, у 35% наблюдается гнойная форма протекания.
У 83% людей, однажды переболевших пиелонефритом, случается повторный рецидив, а у 58% болезнь переходит в хроническую форму. В 80% случаев возбудителем инфекции, приводящей к воспалению чашечно-лоханочной системы, является кишечная палочка, а в остальных случаях — стафилококк.
У женщин в возрасте 15-40 лет пиелонефрит является осложнением цистита , в результате которого патогенная микрофлора переходит по урогинетальному тракту.
Сам по себе пиелонефрит не опасен, он не приводит к отказу в работе органа или к летальному исходу. Однако наибольшую опасность представляют последствия пиелонефрита — сепсис, возникающий в 10% случаев, и нарушение функциональности почки (42% всех рецидивов).
Кто и почему болеет пиелонефритом
- При вскрытии каждый 5-й пациент пожилого возраста имел поражение почек в результате пиелонефрита, при этом не знал о своём заболевании.
- Количество беременных, у которых диагностируется воспаление почек, за последние 20 лет увеличилось в 5 раз.
Пиелонефрит имеет исключительно бактериальную природу, т.е. его возбудителем является патогенная микрофлора. Не обязательно, что она попала из вне. Чаще всего провокатором выступают собственные условно-патогенные микроорганизмы, которые обрели силы в связи с ослаблением иммунитета или другими факторами. Бактерии попадают в мочевой пузырь из кишечника или половых органов, а также через кровь и лимфу.
Заболеванию подвержены не только взрослые, но и дети в возрасте до 7 лет. К группе риска относятся малыши, склонные к частым простудам, ОРВИ, кишечным инфекциям и заболеваниям воспалительного характера.
Подавление иммунитета способствует жизнедеятельности патогенной микрофлоры, которая является провокатором пиелонефрита. Беременность сама по себе провоцирует развитие хронических заболеваний, поэтому желательно вначале проверить почки, ведь при вынашивании плода на них ложится огромная нагрузка.
Диагностика пиелонефрита: диагноз требует комплексного обследования
Сложностью является диагностика заболевания, потому что в 80% случаев оно даёт о себе знать только в острой форме, когда ткани почки подверглись изменениям.
Сходство симптомов начальной стадии пиелонефрита с циститом приводит к постановке в 30% случаев неправильного диагноза и назначения неверного лечения, в результате чего пиелонефрит обретает хроническую форму.
Какие факторы могут негативно влиять на работу печени

Начало лекарственного гепатита зависит от препарата, который вызвал поражение органа, дозировки средства, индивидуальной чувствительности и исходного состояния гепатобилиарной системы. В среднем первые симптомы токсического поражения появляются на первой неделе, при фульминантных формах процесс развивается за короткий промежуток времени. Для развития хронических форм требуется длительный прием лекарств. Так, амиодарон вызывает изменения в печени спустя годы от начала приема.
Острые лекарственные гепатиты делятся на цитолитические (при которых разрушаются клетки печени), холестатические (при которых нарушается отток желчи) и смешанные. Все они имеют сходные симптомы, а лабораторно различаются повышением активности разных ферментов.
К симптомам поражения печени относятся:
- Отсутствие аппетита.
- Тошнота, не связанная с приемом пищи, и рвота.
- Отрыжка с горечью.
- Потеря веса.
- Расстройства стула (диарея или запор).
- Умеренные тянущие боли в правом подреберье.
- Увеличение размеров печени.
- Болезненность при пальпации правого подреберья.
Перечисленные изменения может сопровождать лихорадка и астенический синдром — слабость, головная боль, вялость.
Лекарственный гепатит редко развивается у людей со здоровой гепатобилиарной системой, соблюдающих предписанный режим приема медикаментов. Напротив, наличие факторов риска не только удваивает шансы на токсическое поражение, но и усугубляет тяжесть такового.
К факторам-провокаторам медикаментозного гепатита относят нарушение белкового состава крови, возрастную низкую функциональную активность печени (гепатотоксическому влиянию лекарств в большей степени подвержены дети и пожилые люди), патологию почек и печени. Кроме того, чаще патология встречается у женщин.
Употребление алкоголя усиливает гепатотоксичность медикаментов в два раза. Так, для развития парацетамоловой печеночной недостаточности лицам, злоупотребляющим спиртными напитками, достаточно приема 5-10 г препарата.